About   Help   FAQ
Gene Expression Data
Assay Details
Assay
Reference: J:153498 Diez-Roux G, et al., A high-resolution anatomical atlas of the transcriptome in the mouse embryo. PLoS Biol. 2011;9(1):e1000582
Assay type: RNA in situ
MGI Accession ID: MGI:4828271
Gene symbol: Slc7a1
Gene name: solute carrier family 7 (cationic amino acid transporter, y+ system), member 1
Probe: T37042
Probe preparation: Antisense labelled with digoxigenin RNA
Visualized with: Alkaline phosphatase
Assay notes: Cryosections of fresh frozen material were fixed in 4% paraformaldehyde for 20 min. before further processing. A tyramide-biotin/streptavidin amplification step was included in the in situ hybridization procedure.
Results
Specimen Table S6: embryonic day 14.5 (more )
Note: The probe used to generate this data was not specified; another gene-specific probe may have been used.
Structure Level Pattern Image Note
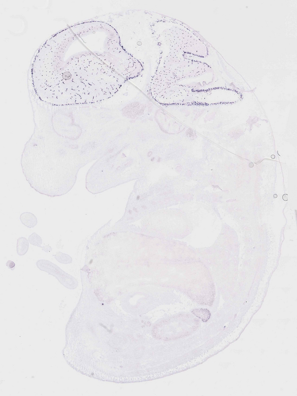
TS23: blood vessel Strong Regionally restricted Expression is present in the vasculature of the brain.
TS23: brain meninges Strong

Specimen euxassay_012248_03: embryonic day 14.5 (more )
Structure Level Pattern Image Note
TS23: telencephalon meninges Strong Regionally restricted euxassay_012248_03
TS23: telencephalon mantle layer Strong Spotted euxassay_012248_03

Specimen euxassay_012248_04: embryonic day 14.5 (more )
Structure Level Pattern Image Note
TS23: telencephalon meninges Strong Regionally restricted euxassay_012248_04
TS23: telencephalon mantle layer Strong Spotted euxassay_012248_04
TS23: mandible Weak Regionally restricted euxassay_012248_04
TS23: temporal bone Weak Regionally restricted euxassay_012248_04

Specimen euxassay_012248_05: embryonic day 14.5 (more )
Structure Level Pattern Image Note
TS23: telencephalon meninges Strong Regionally restricted euxassay_012248_05
TS23: hindbrain meninges Strong Regionally restricted euxassay_012248_05
TS23: vibrissa Moderate Regionally restricted euxassay_012248_05
TS23: rest of cerebellum mantle layer Strong Spotted euxassay_012248_05
TS23: telencephalon mantle layer Strong Spotted euxassay_012248_05
TS23: mandible Weak Regionally restricted euxassay_012248_05
TS23: orbito-sphenoid Weak Regionally restricted euxassay_012248_05
TS23: temporal bone Weak Regionally restricted euxassay_012248_05

Specimen euxassay_012248_06: embryonic day 14.5 (more )
Structure Level Pattern Image Note
TS23: hindbrain meninges Strong Regionally restricted euxassay_012248_06
TS23: telencephalon meninges Strong Regionally restricted euxassay_012248_06
TS23: vibrissa Moderate Regionally restricted euxassay_012248_06
TS23: telencephalon mantle layer Strong Spotted euxassay_012248_06
TS23: rest of cerebellum mantle layer Strong Spotted euxassay_012248_06
TS23: orbito-sphenoid Weak Regionally restricted euxassay_012248_06
TS23: temporal bone Weak Regionally restricted euxassay_012248_06

Specimen euxassay_012248_07: embryonic day 14.5 (more )
Structure Level Pattern Image Note
TS23: hindbrain meninges Strong Regionally restricted euxassay_012248_07
TS23: telencephalon meninges Strong Regionally restricted euxassay_012248_07
TS23: midbrain meninges Strong Regionally restricted euxassay_012248_07
TS23: adrenal gland Moderate Regionally restricted euxassay_012248_07
TS23: rest of cerebellum mantle layer Strong Spotted euxassay_012248_07
TS23: telencephalon mantle layer Strong Spotted euxassay_012248_07
TS23: pons mantle layer Strong Spotted euxassay_012248_07
TS23: upper jaw molar Weak Regionally restricted euxassay_012248_07
TS23: lower jaw molar Weak Regionally restricted euxassay_012248_07

Specimen euxassay_012248_08: embryonic day 14.5 (more )
Structure Level Pattern Image Note
TS23: midbrain meninges Strong Regionally restricted euxassay_012248_08
TS23: hindbrain meninges Strong Regionally restricted euxassay_012248_08
TS23: telencephalon meninges Strong Regionally restricted euxassay_012248_08
TS23: diencephalon meninges Strong Regionally restricted euxassay_012248_08
TS23: adrenal gland Moderate Regionally restricted euxassay_012248_08
TS23: midbrain mantle layer Strong Spotted euxassay_012248_08
TS23: rest of cerebellum mantle layer Strong Spotted euxassay_012248_08
TS23: telencephalon mantle layer Strong Spotted euxassay_012248_08
TS23: diencephalon lateral wall mantle layer Strong Spotted euxassay_012248_08
TS23: pons mantle layer Strong Spotted euxassay_012248_08
TS23: medulla oblongata basal plate mantle layer Strong Spotted euxassay_012248_08
TS23: medulla oblongata alar plate mantle layer Strong Spotted euxassay_012248_08
TS23: submandibular gland primordium Weak Regionally restricted euxassay_012248_08

Specimen euxassay_012248_09: embryonic day 14.5 (more )
Structure Level Pattern Image Note
TS23: midbrain meninges Strong Regionally restricted euxassay_012248_09
TS23: hindbrain meninges Strong Regionally restricted euxassay_012248_09
TS23: telencephalon meninges Strong Regionally restricted euxassay_012248_09
TS23: diencephalon meninges Strong Regionally restricted euxassay_012248_09
TS23: adrenal gland Moderate Regionally restricted euxassay_012248_09
TS23: midbrain mantle layer Strong Spotted euxassay_012248_09
TS23: rest of cerebellum mantle layer Strong Spotted euxassay_012248_09
TS23: telencephalon mantle layer Strong Spotted euxassay_012248_09
TS23: diencephalon lateral wall mantle layer Strong Spotted euxassay_012248_09
TS23: pons mantle layer Strong Spotted euxassay_012248_09
TS23: medulla oblongata basal plate mantle layer Strong Spotted euxassay_012248_09
TS23: medulla oblongata alar plate mantle layer Strong Spotted euxassay_012248_09
TS23: upper jaw molar Weak Regionally restricted euxassay_012248_09
TS23: submandibular gland primordium Weak Regionally restricted euxassay_012248_09

Specimen euxassay_012248_10: embryonic day 14.5 (more )
Structure Level Pattern Image Note
TS23: midbrain meninges Strong Regionally restricted euxassay_012248_10
TS23: hindbrain meninges Strong Regionally restricted euxassay_012248_10
TS23: telencephalon meninges Strong Regionally restricted euxassay_012248_10
TS23: diencephalon meninges Strong Regionally restricted euxassay_012248_10
TS23: spinal cord meninges Strong Regionally restricted euxassay_012248_10
TS23: adrenal gland Moderate Regionally restricted euxassay_012248_10
TS23: midbrain mantle layer Strong Spotted euxassay_012248_10
TS23: rest of cerebellum mantle layer Strong Spotted euxassay_012248_10
TS23: telencephalon mantle layer Strong Spotted euxassay_012248_10
TS23: diencephalon lateral wall mantle layer Strong Spotted euxassay_012248_10
TS23: pons mantle layer Strong Spotted euxassay_012248_10
TS23: medulla oblongata basal plate mantle layer Strong Spotted euxassay_012248_10
TS23: medulla oblongata alar plate mantle layer Strong Spotted euxassay_012248_10
TS23: spinal cord mantle layer Strong Spotted euxassay_012248_10
TS23: submandibular gland primordium Weak Regionally restricted euxassay_012248_10

Specimen euxassay_012248_11: embryonic day 14.5 (more )
Structure Level Pattern Image Note
TS23: spinal cord meninges Strong Regionally restricted euxassay_012248_11
TS23: midbrain meninges Strong Regionally restricted euxassay_012248_11
TS23: hindbrain meninges Strong Regionally restricted euxassay_012248_11
TS23: telencephalon meninges Strong Regionally restricted euxassay_012248_11
TS23: diencephalon meninges Strong Regionally restricted euxassay_012248_11
TS23: midbrain mantle layer Strong Spotted euxassay_012248_11
TS23: rest of cerebellum mantle layer Strong Spotted euxassay_012248_11
TS23: telencephalon mantle layer Strong Spotted euxassay_012248_11
TS23: diencephalon lateral wall mantle layer Strong Spotted euxassay_012248_11
TS23: spinal cord mantle layer Strong Spotted euxassay_012248_11
TS23: pons mantle layer Strong Spotted euxassay_012248_11
TS23: medulla oblongata basal plate mantle layer Strong Spotted euxassay_012248_11
TS23: medulla oblongata alar plate mantle layer Strong Spotted euxassay_012248_11
TS23: lower jaw incisor Weak Regionally restricted euxassay_012248_11
TS23: upper jaw incisor Weak Regionally restricted euxassay_012248_11

Specimen euxassay_012248_12: embryonic day 14.5 (more )
Structure Level Pattern Image Note
TS23: spinal cord meninges Strong Regionally restricted euxassay_012248_12
TS23: midbrain meninges Strong Regionally restricted euxassay_012248_12
TS23: hindbrain meninges Strong Regionally restricted euxassay_012248_12
TS23: telencephalon meninges Strong Regionally restricted euxassay_012248_12
TS23: midbrain mantle layer Strong Spotted euxassay_012248_12
TS23: rest of cerebellum mantle layer Strong Spotted euxassay_012248_12
TS23: telencephalon mantle layer Strong Spotted euxassay_012248_12
TS23: diencephalon lateral wall mantle layer Strong Spotted euxassay_012248_12
TS23: spinal cord mantle layer Strong Spotted euxassay_012248_12
TS23: pons mantle layer Strong Spotted euxassay_012248_12
TS23: medulla oblongata basal plate mantle layer Strong Spotted euxassay_012248_12
TS23: medulla oblongata alar plate mantle layer Strong Spotted euxassay_012248_12
TS23: lower jaw incisor Weak Regionally restricted euxassay_012248_12

Specimen euxassay_012248_13: embryonic day 14.5 (more )
Structure Level Pattern Image Note
TS23: spinal cord meninges Moderate Regionally restricted euxassay_012248_13
TS23: midbrain meninges Strong Regionally restricted euxassay_012248_13
TS23: hindbrain meninges Strong Regionally restricted euxassay_012248_13
TS23: telencephalon meninges Strong Regionally restricted euxassay_012248_13
TS23: diencephalon meninges Strong Regionally restricted euxassay_012248_13
TS23: midbrain mantle layer Strong Spotted euxassay_012248_13
TS23: rest of cerebellum mantle layer Strong Spotted euxassay_012248_13
TS23: telencephalon mantle layer Strong Spotted euxassay_012248_13
TS23: diencephalon lateral wall mantle layer Strong Spotted euxassay_012248_13
TS23: spinal cord mantle layer Strong Spotted euxassay_012248_13
TS23: pons mantle layer Strong Spotted euxassay_012248_13
TS23: medulla oblongata basal plate mantle layer Strong Spotted euxassay_012248_13
TS23: medulla oblongata alar plate mantle layer Strong Spotted euxassay_012248_13

Specimen euxassay_012248_14: embryonic day 14.5 (more )
Structure Level Pattern Image Note
TS23: spinal cord meninges Moderate Regionally restricted euxassay_012248_14
TS23: midbrain meninges Strong Regionally restricted euxassay_012248_14
TS23: hindbrain meninges Strong Regionally restricted euxassay_012248_14
TS23: telencephalon meninges Strong Regionally restricted euxassay_012248_14
TS23: diencephalon meninges Strong Regionally restricted euxassay_012248_14
TS23: midbrain mantle layer Strong Spotted euxassay_012248_14
TS23: rest of cerebellum mantle layer Strong Spotted euxassay_012248_14
TS23: telencephalon mantle layer Strong Spotted euxassay_012248_14
TS23: diencephalon lateral wall mantle layer Strong Spotted euxassay_012248_14
TS23: spinal cord mantle layer Strong Spotted euxassay_012248_14
TS23: pons mantle layer Strong Spotted euxassay_012248_14
TS23: medulla oblongata basal plate mantle layer Strong Spotted euxassay_012248_14
TS23: medulla oblongata alar plate mantle layer Strong Spotted euxassay_012248_14

Specimen euxassay_012248_15: embryonic day 14.5 (more )
Structure Level Pattern Image Note
TS23: spinal cord meninges Strong Regionally restricted euxassay_012248_15
TS23: midbrain meninges Strong Regionally restricted euxassay_012248_15
TS23: hindbrain meninges Strong Regionally restricted euxassay_012248_15
TS23: telencephalon meninges Strong Regionally restricted euxassay_012248_15
TS23: diencephalon meninges Strong Regionally restricted euxassay_012248_15
TS23: midbrain mantle layer Strong Spotted euxassay_012248_15
TS23: rest of cerebellum mantle layer Strong Spotted euxassay_012248_15
TS23: telencephalon mantle layer Strong Spotted euxassay_012248_15
TS23: diencephalon lateral wall mantle layer Strong Spotted euxassay_012248_15
TS23: spinal cord mantle layer Strong Spotted euxassay_012248_15
TS23: pons mantle layer Strong Spotted euxassay_012248_15
TS23: medulla oblongata basal plate mantle layer Strong Spotted euxassay_012248_15
TS23: medulla oblongata alar plate mantle layer Strong Spotted euxassay_012248_15
TS23: lower jaw incisor Weak Regionally restricted euxassay_012248_15
TS23: upper jaw incisor Weak Regionally restricted euxassay_012248_15

Specimen euxassay_012248_16: embryonic day 14.5 (more )
Structure Level Pattern Image Note
TS23: spinal cord meninges Strong Regionally restricted euxassay_012248_16
TS23: midbrain meninges Strong Regionally restricted euxassay_012248_16
TS23: hindbrain meninges Strong Regionally restricted euxassay_012248_16
TS23: telencephalon meninges Strong Regionally restricted euxassay_012248_16
TS23: diencephalon meninges Strong Regionally restricted euxassay_012248_16
TS23: adrenal gland Weak Regionally restricted euxassay_012248_16
TS23: midbrain mantle layer Strong Spotted euxassay_012248_16
TS23: rest of cerebellum mantle layer Strong Spotted euxassay_012248_16
TS23: telencephalon mantle layer Strong Spotted euxassay_012248_16
TS23: diencephalon lateral wall mantle layer Strong Spotted euxassay_012248_16
TS23: spinal cord mantle layer Strong Spotted euxassay_012248_16
TS23: pons mantle layer Strong Spotted euxassay_012248_16
TS23: medulla oblongata basal plate mantle layer Strong Spotted euxassay_012248_16
TS23: upper jaw incisor Weak Regionally restricted euxassay_012248_16
TS23: submandibular gland primordium Weak Regionally restricted euxassay_012248_16

Specimen euxassay_012248_17: embryonic day 14.5 (more )
Structure Level Pattern Image Note
TS23: spinal cord meninges Strong Regionally restricted euxassay_012248_17
TS23: midbrain meninges Strong Regionally restricted euxassay_012248_17
TS23: hindbrain meninges Strong Regionally restricted euxassay_012248_17
TS23: telencephalon meninges Strong Regionally restricted euxassay_012248_17
TS23: diencephalon meninges Strong Regionally restricted euxassay_012248_17
TS23: adrenal gland Weak Regionally restricted euxassay_012248_17
TS23: midbrain mantle layer Strong Spotted euxassay_012248_17
TS23: rest of cerebellum mantle layer Strong Spotted euxassay_012248_17
TS23: telencephalon mantle layer Strong Spotted euxassay_012248_17
TS23: diencephalon lateral wall mantle layer Strong Spotted euxassay_012248_17
TS23: spinal cord mantle layer Strong Spotted euxassay_012248_17
TS23: pons mantle layer Strong Spotted euxassay_012248_17
TS23: medulla oblongata basal plate mantle layer Strong Spotted euxassay_012248_17
TS23: medulla oblongata alar plate mantle layer Strong Spotted euxassay_012248_17
TS23: turbinate bone primordium Weak Regionally restricted euxassay_012248_17
TS23: submandibular gland primordium Weak Regionally restricted euxassay_012248_17

Specimen euxassay_012248_18: embryonic day 14.5 (more )
Structure Level Pattern Image Note
TS23: midbrain meninges Strong Regionally restricted euxassay_012248_18
TS23: hindbrain meninges Strong Regionally restricted euxassay_012248_18
TS23: telencephalon meninges Strong Regionally restricted euxassay_012248_18
TS23: diencephalon meninges Strong Regionally restricted euxassay_012248_18
TS23: adrenal gland Weak Regionally restricted euxassay_012248_18
TS23: midbrain mantle layer Strong Spotted euxassay_012248_18
TS23: rest of cerebellum mantle layer Strong Spotted euxassay_012248_18
TS23: telencephalon mantle layer Strong Spotted euxassay_012248_18
TS23: diencephalon lateral wall mantle layer Strong Spotted euxassay_012248_18
TS23: pons mantle layer Strong Spotted euxassay_012248_18
TS23: medulla oblongata basal plate mantle layer Strong Spotted euxassay_012248_18
TS23: medulla oblongata alar plate mantle layer Strong Spotted euxassay_012248_18
TS23: upper jaw molar Weak Regionally restricted euxassay_012248_18
TS23: lower jaw molar Weak Regionally restricted euxassay_012248_18
TS23: turbinate bone primordium Weak Regionally restricted euxassay_012248_18
TS23: submandibular gland primordium Weak Regionally restricted euxassay_012248_18

Specimen euxassay_012248_19: embryonic day 14.5 (more )
Structure Level Pattern Image Note
TS23: midbrain meninges Strong Regionally restricted euxassay_012248_19
TS23: hindbrain meninges Strong Regionally restricted euxassay_012248_19
TS23: telencephalon meninges Strong Regionally restricted euxassay_012248_19
TS23: diencephalon meninges Strong Regionally restricted euxassay_012248_19
TS23: diencephalon lateral wall mantle layer Strong Spotted euxassay_012248_19
TS23: telencephalon mantle layer Strong Spotted euxassay_012248_19
TS23: rest of cerebellum mantle layer Strong Spotted euxassay_012248_19
TS23: midbrain mantle layer Strong Spotted euxassay_012248_19
TS23: pons mantle layer Strong Spotted euxassay_012248_19
TS23: medulla oblongata basal plate mantle layer Strong Spotted euxassay_012248_19
TS23: medulla oblongata alar plate mantle layer Strong Spotted euxassay_012248_19
TS23: orbito-sphenoid Weak Regionally restricted euxassay_012248_19
TS23: turbinate bone primordium Weak Regionally restricted euxassay_012248_19
TS23: submandibular gland primordium Weak Regionally restricted euxassay_012248_19

Specimen euxassay_012248_20: embryonic day 14.5 (more )
Structure Level Pattern Image Note
TS23: midbrain meninges Strong Regionally restricted euxassay_012248_20
TS23: hindbrain meninges Strong Regionally restricted euxassay_012248_20
TS23: telencephalon meninges Strong Regionally restricted euxassay_012248_20
TS23: diencephalon meninges Strong Regionally restricted euxassay_012248_20
TS23: vibrissa Moderate Regionally restricted euxassay_012248_20
TS23: midbrain mantle layer Strong Spotted euxassay_012248_20
TS23: rest of cerebellum mantle layer Strong Spotted euxassay_012248_20
TS23: telencephalon mantle layer Strong Spotted euxassay_012248_20
TS23: diencephalon lateral wall mantle layer Strong Spotted euxassay_012248_20
TS23: pons mantle layer Strong Spotted euxassay_012248_20
TS23: medulla oblongata alar plate mantle layer Strong Spotted euxassay_012248_20
TS23: upper jaw molar Weak Regionally restricted euxassay_012248_20
TS23: lower jaw molar Weak Regionally restricted euxassay_012248_20

Specimen euxassay_012248_21: embryonic day 14.5 (more )
Structure Level Pattern Image Note
TS23: midbrain meninges Strong Regionally restricted euxassay_012248_21
TS23: hindbrain meninges Strong Regionally restricted euxassay_012248_21
TS23: telencephalon meninges Strong Regionally restricted euxassay_012248_21
TS23: vibrissa Moderate Regionally restricted euxassay_012248_21
TS23: rest of cerebellum mantle layer Strong Spotted euxassay_012248_21
TS23: telencephalon mantle layer Strong Spotted euxassay_012248_21
TS23: midbrain mantle layer Strong Spotted euxassay_012248_21
TS23: pons mantle layer Strong Spotted euxassay_012248_21
TS23: orbito-sphenoid Weak Regionally restricted euxassay_012248_21
TS23: temporal bone Weak Regionally restricted euxassay_012248_21

Specimen euxassay_012248_22: embryonic day 14.5 (more )
Structure Level Pattern Image Note
TS23: midbrain meninges Strong Regionally restricted euxassay_012248_22
TS23: hindbrain meninges Strong Regionally restricted euxassay_012248_22
TS23: telencephalon meninges Strong Regionally restricted euxassay_012248_22
TS23: vibrissa Moderate Regionally restricted euxassay_012248_22
TS23: rest of cerebellum mantle layer Strong Spotted euxassay_012248_22
TS23: telencephalon mantle layer Strong Spotted euxassay_012248_22
TS23: mandible Weak Regionally restricted euxassay_012248_22
TS23: orbito-sphenoid Moderate Regionally restricted euxassay_012248_22
TS23: temporal bone Weak Regionally restricted euxassay_012248_22

Specimen euxassay_012248_23: embryonic day 14.5 (more )
Structure Level Pattern Image Note
TS23: hindbrain meninges Strong Regionally restricted euxassay_012248_23
TS23: telencephalon meninges Strong Regionally restricted euxassay_012248_23
TS23: telencephalon mantle layer Strong Spotted euxassay_012248_23
TS23: rest of cerebellum mantle layer Strong Spotted euxassay_012248_23
TS23: mandible Weak Regionally restricted euxassay_012248_23
TS23: orbito-sphenoid Weak Regionally restricted euxassay_012248_23
TS23: temporal bone Weak Regionally restricted euxassay_012248_23

Specimen euxassay_012248_24: embryonic day 14.5 (more )
Structure Level Pattern Image Note
TS23: telencephalon meninges Strong Regionally restricted euxassay_012248_24
TS23: telencephalon mantle layer Strong Spotted euxassay_012248_24
TS23: mandible Weak Regionally restricted euxassay_012248_24


Contributing Projects:
Mouse Genome Database (MGD), Gene Expression Database (GXD), Mouse Models of Human Cancer database (MMHCdb) (formerly Mouse Tumor Biology (MTB)), Gene Ontology (GO)
Citing These Resources
Funding Information
Warranty Disclaimer, Privacy Notice, Licensing, & Copyright
Send questions and comments to User Support.
last database update
10/07/2025
MGI 6.24
The Jackson Laboratory