About   Help   FAQ
Gene Expression Data
Assay Details
Assay
Reference: J:153498 Diez-Roux G, et al., A high-resolution anatomical atlas of the transcriptome in the mouse embryo. PLoS Biol. 2011;9(1):e1000582
Assay type: RNA in situ
MGI Accession ID: MGI:4828268
Gene symbol: Slc6a6
Gene name: solute carrier family 6 (neurotransmitter transporter, taurine), member 6
Probe: MGC clone 18313
Probe preparation: Antisense labelled with digoxigenin RNA
Visualized with: Alkaline phosphatase
Assay notes: Cryosections of fresh frozen material were fixed in 4% paraformaldehyde for 20 min. before further processing. A tyramide-biotin/streptavidin amplification step was included in the in situ hybridization procedure.
Results
Specimen Table S6: embryonic day 14.5 (more )
Note: The probe used to generate this data was not specified; another gene-specific probe may have been used.
Structure Level Pattern Image Note
TS23: blood vessel Strong Regionally restricted Expression is present in the vasculature of the brain.
TS23: brain meninges Strong

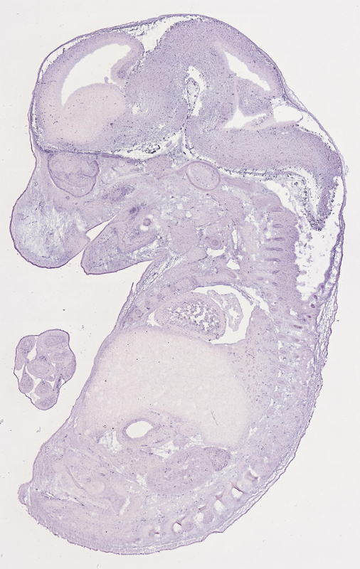
Specimen euxassay_004447_01: embryonic day 14.5 (more )
Structure Level Pattern Image Note
TS23: telencephalon meninges Strong Regionally restricted euxassay_004447_01
TS23: embryo mesenchyme Moderate Regionally restricted euxassay_004447_01
TS23: telencephalon mantle layer Moderate Regionally restricted euxassay_004447_01

Specimen euxassay_004447_02: embryonic day 14.5 (more )
Structure Level Pattern Image Note
TS23: telencephalon meninges Strong Regionally restricted euxassay_004447_02
TS23: embryo mesenchyme Moderate Regionally restricted euxassay_004447_02
TS23: telencephalon mantle layer Moderate Regionally restricted euxassay_004447_02

Specimen euxassay_004447_03: embryonic day 14.5 (more )
Structure Level Pattern Image Note
TS23: telencephalon meninges Strong Regionally restricted euxassay_004447_03
TS23: embryo mesenchyme Moderate Regionally restricted euxassay_004447_03
TS23: telencephalon mantle layer Moderate Regionally restricted euxassay_004447_03
TS23: medulla oblongata basal plate mantle layer Moderate Regionally restricted euxassay_004447_03
TS23: rest of cerebellum mantle layer Moderate Regionally restricted euxassay_004447_03
TS23: pons mantle layer Moderate Regionally restricted euxassay_004447_03

Specimen euxassay_004447_04: embryonic day 14.5 (more )
Structure Level Pattern Image Note
TS23: telencephalon meninges Strong Regionally restricted euxassay_004447_04
TS23: midbrain meninges Strong Regionally restricted euxassay_004447_04
TS23: hindbrain meninges Strong Regionally restricted euxassay_004447_04
TS23: embryo mesenchyme Moderate Regionally restricted euxassay_004447_04
TS23: telencephalon mantle layer Moderate Regionally restricted euxassay_004447_04
TS23: medulla oblongata basal plate mantle layer Moderate Regionally restricted euxassay_004447_04
TS23: rest of cerebellum mantle layer Moderate Regionally restricted euxassay_004447_04
TS23: pons mantle layer Moderate Regionally restricted euxassay_004447_04

Specimen euxassay_004447_05: embryonic day 14.5 (more )
Structure Level Pattern Image Note
TS23: telencephalon meninges Strong Regionally restricted euxassay_004447_05
TS23: midbrain meninges Strong Regionally restricted euxassay_004447_05
TS23: hindbrain meninges Strong Regionally restricted euxassay_004447_05
TS23: embryo mesenchyme Moderate Regionally restricted euxassay_004447_05
TS23: telencephalon mantle layer Moderate Regionally restricted euxassay_004447_05
TS23: medulla oblongata basal plate mantle layer Moderate Regionally restricted euxassay_004447_05
TS23: rest of cerebellum mantle layer Moderate Regionally restricted euxassay_004447_05
TS23: pons mantle layer Moderate Regionally restricted euxassay_004447_05

Specimen euxassay_004447_06: embryonic day 14.5 (more )
Structure Level Pattern Image Note
TS23: midbrain meninges Strong Regionally restricted euxassay_004447_06
TS23: hindbrain meninges Strong Regionally restricted euxassay_004447_06
TS23: telencephalon meninges Strong Regionally restricted euxassay_004447_06
TS23: embryo mesenchyme Moderate Regionally restricted euxassay_004447_06
TS23: telencephalon mantle layer Moderate Regionally restricted euxassay_004447_06
TS23: midbrain mantle layer Moderate Regionally restricted euxassay_004447_06
TS23: medulla oblongata basal plate mantle layer Moderate Regionally restricted euxassay_004447_06
TS23: rest of cerebellum mantle layer Moderate Regionally restricted euxassay_004447_06
TS23: pons mantle layer Moderate Regionally restricted euxassay_004447_06

Specimen euxassay_004447_07: embryonic day 14.5 (more )
Structure Level Pattern Image Note
TS23: midbrain meninges Strong Regionally restricted euxassay_004447_07
TS23: hindbrain meninges Strong Regionally restricted euxassay_004447_07
TS23: telencephalon meninges Strong Regionally restricted euxassay_004447_07
TS23: diencephalon meninges Strong Regionally restricted euxassay_004447_07
TS23: embryo mesenchyme Moderate Regionally restricted euxassay_004447_07
TS23: midbrain mantle layer Moderate Regionally restricted euxassay_004447_07
TS23: telencephalon mantle layer Moderate Regionally restricted euxassay_004447_07
TS23: diencephalon lateral wall mantle layer Moderate Regionally restricted euxassay_004447_07
TS23: medulla oblongata basal plate mantle layer Moderate Regionally restricted euxassay_004447_07
TS23: rest of cerebellum mantle layer Moderate Regionally restricted euxassay_004447_07
TS23: pons mantle layer Moderate Regionally restricted euxassay_004447_07
TS23: upper jaw molar Moderate Regionally restricted euxassay_004447_07
TS23: lower jaw molar Moderate Regionally restricted euxassay_004447_07

Specimen euxassay_004447_08: embryonic day 14.5 (more )
Structure Level Pattern Image Note
TS23: midbrain meninges Strong Regionally restricted euxassay_004447_08
TS23: hindbrain meninges Strong Regionally restricted euxassay_004447_08
TS23: telencephalon meninges Strong Regionally restricted euxassay_004447_08
TS23: diencephalon meninges Strong Regionally restricted euxassay_004447_08
TS23: embryo mesenchyme Moderate Regionally restricted euxassay_004447_08
TS23: telencephalon mantle layer Moderate Regionally restricted euxassay_004447_08
TS23: midbrain mantle layer Moderate Regionally restricted euxassay_004447_08
TS23: diencephalon lateral wall mantle layer Moderate Regionally restricted euxassay_004447_08
TS23: medulla oblongata basal plate mantle layer Moderate Regionally restricted euxassay_004447_08
TS23: rest of cerebellum mantle layer Moderate Regionally restricted euxassay_004447_08
TS23: pons mantle layer Moderate Regionally restricted euxassay_004447_08
TS23: upper jaw molar Moderate Regionally restricted euxassay_004447_08
TS23: lower jaw molar Moderate Regionally restricted euxassay_004447_08

Specimen euxassay_004447_09: embryonic day 14.5 (more )
Structure Level Pattern Image Note
TS23: midbrain meninges Strong Regionally restricted euxassay_004447_09
TS23: hindbrain meninges Strong Regionally restricted euxassay_004447_09
TS23: telencephalon meninges Strong Regionally restricted euxassay_004447_09
TS23: diencephalon meninges Strong Regionally restricted euxassay_004447_09
TS23: embryo mesenchyme Moderate Regionally restricted euxassay_004447_09
TS23: telencephalon mantle layer Moderate Regionally restricted euxassay_004447_09
TS23: midbrain mantle layer Moderate Regionally restricted euxassay_004447_09
TS23: diencephalon lateral wall mantle layer Moderate Regionally restricted euxassay_004447_09
TS23: medulla oblongata basal plate mantle layer Moderate Regionally restricted euxassay_004447_09
TS23: rest of cerebellum mantle layer Moderate Regionally restricted euxassay_004447_09
TS23: pons mantle layer Moderate Regionally restricted euxassay_004447_09
TS23: upper jaw molar Moderate Regionally restricted euxassay_004447_09
TS23: lower jaw molar Moderate Regionally restricted euxassay_004447_09

Specimen euxassay_004447_10: embryonic day 14.5 (more )
Structure Level Pattern Image Note
TS23: midbrain meninges Strong Regionally restricted euxassay_004447_10
TS23: hindbrain meninges Strong Regionally restricted euxassay_004447_10
TS23: telencephalon meninges Strong Regionally restricted euxassay_004447_10
TS23: diencephalon meninges Strong Regionally restricted euxassay_004447_10
TS23: embryo mesenchyme Moderate Regionally restricted euxassay_004447_10
TS23: telencephalon mantle layer Moderate Regionally restricted euxassay_004447_10
TS23: midbrain mantle layer Moderate Regionally restricted euxassay_004447_10
TS23: diencephalon lateral wall mantle layer Moderate Regionally restricted euxassay_004447_10
TS23: medulla oblongata basal plate mantle layer Moderate Regionally restricted euxassay_004447_10
TS23: rest of cerebellum mantle layer Moderate Regionally restricted euxassay_004447_10
TS23: pons mantle layer Moderate Regionally restricted euxassay_004447_10
TS23: spinal cord mantle layer Moderate Regionally restricted euxassay_004447_10
TS23: nose Moderate Regionally restricted euxassay_004447_10

Specimen euxassay_004447_11: embryonic day 14.5 (more )
Structure Level Pattern Image Note
TS23: midbrain meninges Strong Regionally restricted euxassay_004447_11
TS23: hindbrain meninges Strong Regionally restricted euxassay_004447_11
TS23: telencephalon meninges Strong Regionally restricted euxassay_004447_11
TS23: diencephalon meninges Strong Regionally restricted euxassay_004447_11
TS23: embryo mesenchyme Moderate Regionally restricted euxassay_004447_11
TS23: midbrain mantle layer Moderate Regionally restricted euxassay_004447_11
TS23: telencephalon mantle layer Moderate Regionally restricted euxassay_004447_11
TS23: diencephalon lateral wall mantle layer Moderate Regionally restricted euxassay_004447_11
TS23: medulla oblongata basal plate mantle layer Moderate Regionally restricted euxassay_004447_11
TS23: rest of cerebellum mantle layer Moderate Regionally restricted euxassay_004447_11
TS23: pons mantle layer Moderate Regionally restricted euxassay_004447_11
TS23: spinal cord mantle layer Moderate Regionally restricted euxassay_004447_11
TS23: nose Moderate Regionally restricted euxassay_004447_11
TS23: lower jaw incisor Moderate Regionally restricted euxassay_004447_11
TS23: upper jaw incisor Moderate Regionally restricted euxassay_004447_11

Specimen euxassay_004447_12: embryonic day 14.5 (more )
Structure Level Pattern Image Note
TS23: midbrain meninges Strong Regionally restricted euxassay_004447_12
TS23: hindbrain meninges Strong Regionally restricted euxassay_004447_12
TS23: telencephalon meninges Strong Regionally restricted euxassay_004447_12
TS23: diencephalon meninges Strong Regionally restricted euxassay_004447_12
TS23: embryo mesenchyme Moderate Regionally restricted euxassay_004447_12
TS23: diencephalon lateral wall mantle layer Moderate Regionally restricted euxassay_004447_12
TS23: telencephalon mantle layer Moderate Regionally restricted euxassay_004447_12
TS23: midbrain mantle layer Moderate Regionally restricted euxassay_004447_12
TS23: medulla oblongata basal plate mantle layer Moderate Regionally restricted euxassay_004447_12
TS23: rest of cerebellum mantle layer Moderate Regionally restricted euxassay_004447_12
TS23: pons mantle layer Moderate Regionally restricted euxassay_004447_12
TS23: spinal cord mantle layer Moderate Regionally restricted euxassay_004447_12
TS23: nose Moderate Regionally restricted euxassay_004447_12
TS23: upper jaw incisor Moderate Regionally restricted euxassay_004447_12
TS23: lower jaw incisor Moderate Regionally restricted euxassay_004447_12

Specimen euxassay_004447_13: embryonic day 14.5 (more )
Structure Level Pattern Image Note
TS23: midbrain meninges Strong Regionally restricted euxassay_004447_13
TS23: hindbrain meninges Strong Regionally restricted euxassay_004447_13
TS23: telencephalon meninges Strong Regionally restricted euxassay_004447_13
TS23: diencephalon meninges Strong Regionally restricted euxassay_004447_13
TS23: embryo mesenchyme Moderate Regionally restricted euxassay_004447_13
TS23: diencephalon lateral wall mantle layer Moderate Regionally restricted euxassay_004447_13
TS23: telencephalon mantle layer Moderate Regionally restricted euxassay_004447_13
TS23: midbrain mantle layer Moderate Regionally restricted euxassay_004447_13
TS23: medulla oblongata basal plate mantle layer Moderate Regionally restricted euxassay_004447_13
TS23: rest of cerebellum mantle layer Moderate Regionally restricted euxassay_004447_13
TS23: pons mantle layer Moderate Regionally restricted euxassay_004447_13
TS23: spinal cord mantle layer Moderate Regionally restricted euxassay_004447_13
TS23: nose Moderate Regionally restricted euxassay_004447_13

Specimen euxassay_004447_14: embryonic day 14.5 (more )
Structure Level Pattern Image Note
TS23: midbrain meninges Strong Regionally restricted euxassay_004447_14
TS23: hindbrain meninges Strong Regionally restricted euxassay_004447_14
TS23: telencephalon meninges Strong Regionally restricted euxassay_004447_14
TS23: diencephalon meninges Strong Regionally restricted euxassay_004447_14
TS23: embryo mesenchyme Moderate Regionally restricted euxassay_004447_14
TS23: midbrain mantle layer Moderate Regionally restricted euxassay_004447_14
TS23: telencephalon mantle layer Moderate Regionally restricted euxassay_004447_14
TS23: diencephalon lateral wall mantle layer Moderate Regionally restricted euxassay_004447_14
TS23: medulla oblongata basal plate mantle layer Moderate Regionally restricted euxassay_004447_14
TS23: rest of cerebellum mantle layer Moderate Regionally restricted euxassay_004447_14
TS23: pons mantle layer Moderate Regionally restricted euxassay_004447_14
TS23: spinal cord mantle layer Moderate Regionally restricted euxassay_004447_14
TS23: nose Moderate Regionally restricted euxassay_004447_14

Specimen euxassay_004447_15: embryonic day 14.5 (more )
Structure Level Pattern Image Note
TS23: midbrain meninges Strong Regionally restricted euxassay_004447_15
TS23: hindbrain meninges Strong Regionally restricted euxassay_004447_15
TS23: telencephalon meninges Strong Regionally restricted euxassay_004447_15
TS23: diencephalon meninges Strong Regionally restricted euxassay_004447_15
TS23: embryo mesenchyme Moderate Regionally restricted euxassay_004447_15
TS23: diencephalon lateral wall mantle layer Moderate Regionally restricted euxassay_004447_15
TS23: telencephalon mantle layer Moderate Regionally restricted euxassay_004447_15
TS23: midbrain mantle layer Moderate Regionally restricted euxassay_004447_15
TS23: medulla oblongata basal plate mantle layer Moderate Regionally restricted euxassay_004447_15
TS23: rest of cerebellum mantle layer Moderate Regionally restricted euxassay_004447_15
TS23: pons mantle layer Moderate Regionally restricted euxassay_004447_15
TS23: spinal cord mantle layer Moderate Regionally restricted euxassay_004447_15
TS23: nose Moderate Regionally restricted euxassay_004447_15

Specimen euxassay_004447_16: embryonic day 14.5 (more )
Structure Level Pattern Image Note
TS23: midbrain meninges Strong Regionally restricted euxassay_004447_16
TS23: hindbrain meninges Strong Regionally restricted euxassay_004447_16
TS23: telencephalon meninges Strong Regionally restricted euxassay_004447_16
TS23: diencephalon meninges Strong Regionally restricted euxassay_004447_16
TS23: embryo mesenchyme Moderate Regionally restricted euxassay_004447_16
TS23: diencephalon lateral wall mantle layer Moderate Regionally restricted euxassay_004447_16
TS23: telencephalon mantle layer Moderate Regionally restricted euxassay_004447_16
TS23: midbrain mantle layer Moderate Regionally restricted euxassay_004447_16
TS23: medulla oblongata basal plate mantle layer Moderate Regionally restricted euxassay_004447_16
TS23: rest of cerebellum mantle layer Moderate Regionally restricted euxassay_004447_16
TS23: pons mantle layer Moderate Regionally restricted euxassay_004447_16
TS23: spinal cord mantle layer Moderate Regionally restricted euxassay_004447_16
TS23: nose Moderate Regionally restricted euxassay_004447_16

Specimen euxassay_004447_17: embryonic day 14.5 (more )
Structure Level Pattern Image Note
TS23: midbrain meninges Strong Regionally restricted euxassay_004447_17
TS23: hindbrain meninges Strong Regionally restricted euxassay_004447_17
TS23: telencephalon meninges Strong Regionally restricted euxassay_004447_17
TS23: diencephalon meninges Strong Regionally restricted euxassay_004447_17
TS23: embryo mesenchyme Moderate Regionally restricted euxassay_004447_17
TS23: diencephalon lateral wall mantle layer Moderate Regionally restricted euxassay_004447_17
TS23: telencephalon mantle layer Moderate Regionally restricted euxassay_004447_17
TS23: midbrain mantle layer Moderate Regionally restricted euxassay_004447_17
TS23: medulla oblongata basal plate mantle layer Moderate Regionally restricted euxassay_004447_17
TS23: rest of cerebellum mantle layer Moderate Regionally restricted euxassay_004447_17
TS23: pons mantle layer Moderate Regionally restricted euxassay_004447_17
TS23: nose Strong Regionally restricted euxassay_004447_17
TS23: lower jaw incisor Strong Regionally restricted euxassay_004447_17
TS23: upper jaw incisor Strong Regionally restricted euxassay_004447_17

Specimen euxassay_004447_18: embryonic day 14.5 (more )
Structure Level Pattern Image Note
TS23: midbrain meninges Strong Regionally restricted euxassay_004447_18
TS23: hindbrain meninges Strong Regionally restricted euxassay_004447_18
TS23: telencephalon meninges Strong Regionally restricted euxassay_004447_18
TS23: diencephalon meninges Strong Regionally restricted euxassay_004447_18
TS23: embryo mesenchyme Moderate Regionally restricted euxassay_004447_18
TS23: diencephalon lateral wall mantle layer Moderate Regionally restricted euxassay_004447_18
TS23: telencephalon mantle layer Moderate Regionally restricted euxassay_004447_18
TS23: midbrain mantle layer Moderate Regionally restricted euxassay_004447_18
TS23: medulla oblongata basal plate mantle layer Moderate Regionally restricted euxassay_004447_18
TS23: rest of cerebellum mantle layer Moderate Regionally restricted euxassay_004447_18
TS23: pons mantle layer Moderate Regionally restricted euxassay_004447_18
TS23: nose Moderate Regionally restricted euxassay_004447_18

Specimen euxassay_004447_19: embryonic day 14.5 (more )
Structure Level Pattern Image Note
TS23: midbrain meninges Strong Regionally restricted euxassay_004447_19
TS23: hindbrain meninges Strong Regionally restricted euxassay_004447_19
TS23: telencephalon meninges Strong Regionally restricted euxassay_004447_19
TS23: diencephalon meninges Strong Regionally restricted euxassay_004447_19
TS23: embryo mesenchyme Moderate Regionally restricted euxassay_004447_19
TS23: diencephalon lateral wall mantle layer Moderate Regionally restricted euxassay_004447_19
TS23: midbrain mantle layer Moderate Regionally restricted euxassay_004447_19
TS23: telencephalon mantle layer Moderate Regionally restricted euxassay_004447_19
TS23: medulla oblongata basal plate mantle layer Moderate Regionally restricted euxassay_004447_19
TS23: rest of cerebellum mantle layer Moderate Regionally restricted euxassay_004447_19
TS23: pons mantle layer Moderate Regionally restricted euxassay_004447_19
TS23: nose Moderate Regionally restricted euxassay_004447_19
TS23: upper jaw molar Moderate Regionally restricted euxassay_004447_19
TS23: lower jaw molar Moderate Regionally restricted euxassay_004447_19

Specimen euxassay_004447_20: embryonic day 14.5 (more )
Structure Level Pattern Image Note
TS23: midbrain meninges Strong Regionally restricted euxassay_004447_20
TS23: hindbrain meninges Strong Regionally restricted euxassay_004447_20
TS23: telencephalon meninges Strong Regionally restricted euxassay_004447_20
TS23: diencephalon meninges Strong Regionally restricted euxassay_004447_20
TS23: embryo mesenchyme Moderate Regionally restricted euxassay_004447_20
TS23: diencephalon lateral wall mantle layer Moderate Regionally restricted euxassay_004447_20
TS23: midbrain mantle layer Moderate Regionally restricted euxassay_004447_20
TS23: medulla oblongata basal plate mantle layer Moderate Regionally restricted euxassay_004447_20
TS23: rest of cerebellum mantle layer Moderate Regionally restricted euxassay_004447_20
TS23: pons mantle layer Moderate Regionally restricted euxassay_004447_20
TS23: lower jaw molar Moderate Regionally restricted euxassay_004447_20
TS23: upper jaw molar Moderate Regionally restricted euxassay_004447_20

Specimen euxassay_004447_21: embryonic day 14.5 (more )
Structure Level Pattern Image Note
TS23: midbrain meninges Strong Regionally restricted euxassay_004447_21
TS23: hindbrain meninges Strong Regionally restricted euxassay_004447_21
TS23: telencephalon meninges Strong Regionally restricted euxassay_004447_21
TS23: embryo mesenchyme Moderate Regionally restricted euxassay_004447_21
TS23: telencephalon mantle layer Moderate Regionally restricted euxassay_004447_21
TS23: medulla oblongata basal plate mantle layer Moderate Regionally restricted euxassay_004447_21
TS23: rest of cerebellum mantle layer Moderate Regionally restricted euxassay_004447_21
TS23: pons mantle layer Moderate Regionally restricted euxassay_004447_21

Specimen euxassay_004447_22: embryonic day 14.5 (more )
Structure Level Pattern Image Note
TS23: telencephalon meninges Strong Regionally restricted euxassay_004447_22
TS23: midbrain meninges Strong Regionally restricted euxassay_004447_22
TS23: hindbrain meninges Strong Regionally restricted euxassay_004447_22
TS23: embryo mesenchyme Moderate Regionally restricted euxassay_004447_22
TS23: telencephalon mantle layer Moderate Regionally restricted euxassay_004447_22
TS23: medulla oblongata basal plate mantle layer Moderate Regionally restricted euxassay_004447_22
TS23: rest of cerebellum mantle layer Moderate Regionally restricted euxassay_004447_22
TS23: pons mantle layer Moderate Regionally restricted euxassay_004447_22

Specimen euxassay_004447_23: embryonic day 14.5 (more )
Structure Level Pattern Image Note
TS23: telencephalon meninges Strong Regionally restricted euxassay_004447_23
TS23: hindbrain meninges Strong Regionally restricted euxassay_004447_23
TS23: midbrain meninges Strong Regionally restricted euxassay_004447_23
TS23: embryo mesenchyme Moderate Regionally restricted euxassay_004447_23
TS23: telencephalon mantle layer Moderate Regionally restricted euxassay_004447_23

Specimen euxassay_004447_24: embryonic day 14.5 (more )
Structure Level Pattern Image Note
TS23: telencephalon meninges Strong Regionally restricted euxassay_004447_24
TS23: midbrain meninges Strong Regionally restricted euxassay_004447_24
TS23: hindbrain meninges Strong Regionally restricted euxassay_004447_24
TS23: embryo mesenchyme Moderate Regionally restricted euxassay_004447_24
TS23: telencephalon mantle layer Moderate Regionally restricted euxassay_004447_24


Contributing Projects:
Mouse Genome Database (MGD), Gene Expression Database (GXD), Mouse Models of Human Cancer database (MMHCdb) (formerly Mouse Tumor Biology (MTB)), Gene Ontology (GO)
Citing These Resources
Funding Information
Warranty Disclaimer, Privacy Notice, Licensing, & Copyright
Send questions and comments to User Support.
last database update
12/30/2025
MGI 6.24
The Jackson Laboratory