About   Help   FAQ
Gene Expression Data
Assay Details
Assay
Reference: J:153498 Diez-Roux G, et al., A high-resolution anatomical atlas of the transcriptome in the mouse embryo. PLoS Biol. 2011;9(1):e1000582
Assay type: RNA in situ
MGI Accession ID: MGI:4828240
Gene symbol: Slc4a1
Gene name: solute carrier family 4 (anion exchanger), member 1
Probe: MH2262 probe 1915
Probe preparation: Antisense labelled with digoxigenin RNA
Visualized with: Alkaline phosphatase
Assay notes: Cryosections of fresh frozen material were fixed in 4% paraformaldehyde for 20 min. before further processing. A tyramide-biotin/streptavidin amplification step was included in the in situ hybridization procedure.
Results
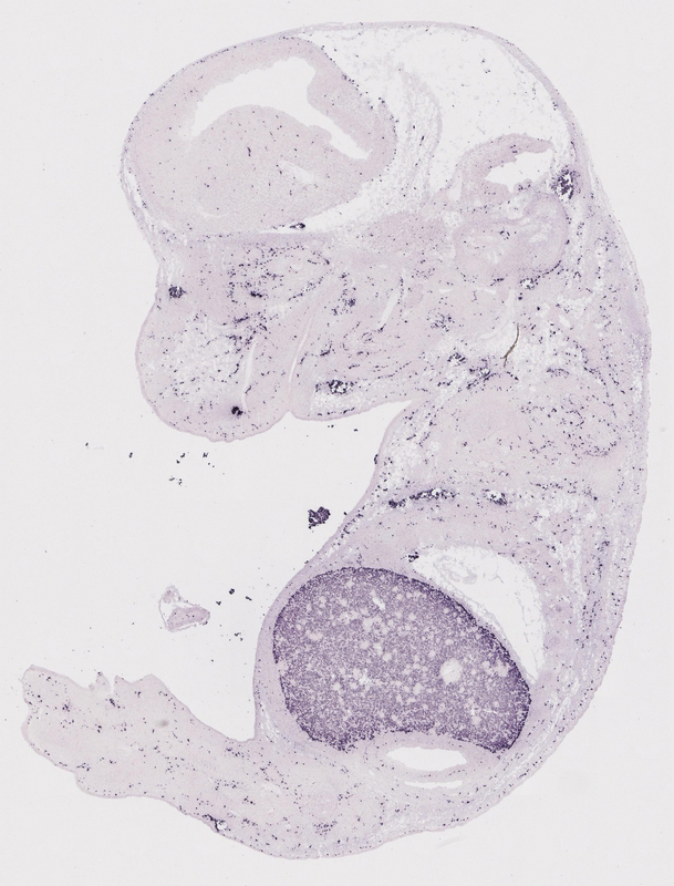
Specimen euxassay_018966_01: embryonic day 14.5 (more )
Structure Level Pattern Image Note
TS23: liver Strong Regionally restricted euxassay_018966_01
TS23: embryo mesenchyme Strong Regionally restricted euxassay_018966_01

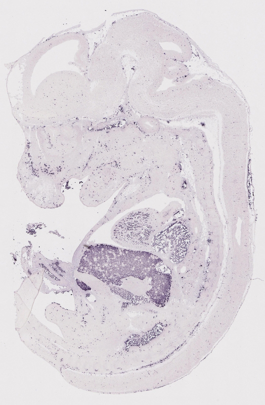
Specimen euxassay_018966_02: embryonic day 14.5 (more )
Structure Level Pattern Image Note
TS23: liver Strong Regionally restricted euxassay_018966_02
TS23: embryo mesenchyme Strong Regionally restricted euxassay_018966_02

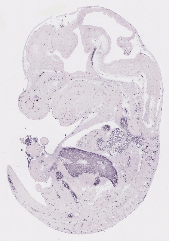
Specimen euxassay_018966_03: embryonic day 14.5 (more )
Structure Level Pattern Image Note
TS23: liver Strong Regionally restricted euxassay_018966_03
TS23: embryo mesenchyme Strong Regionally restricted euxassay_018966_03

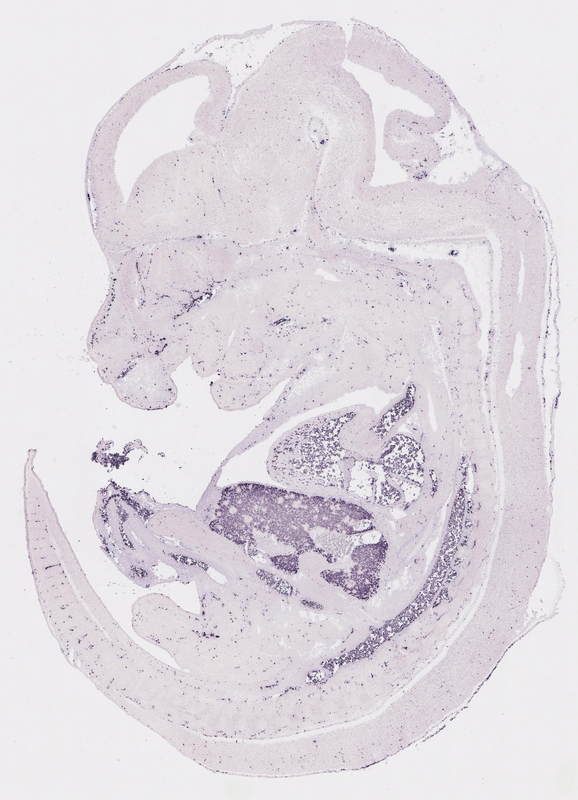
Specimen euxassay_018966_04: embryonic day 14.5 (more )
Structure Level Pattern Image Note
TS23: liver Strong Regionally restricted euxassay_018966_04
TS23: embryo mesenchyme Strong Regionally restricted euxassay_018966_04

Specimen euxassay_018966_05: embryonic day 14.5 (more )
Structure Level Pattern Image Note
TS23: liver Strong Regionally restricted euxassay_018966_05
TS23: embryo mesenchyme Strong Regionally restricted euxassay_018966_05

Specimen euxassay_018966_06: embryonic day 14.5 (more )
Structure Level Pattern Image Note
TS23: liver Strong Regionally restricted euxassay_018966_06
TS23: embryo mesenchyme Strong Regionally restricted euxassay_018966_06

Specimen euxassay_018966_07: embryonic day 14.5 (more )
Structure Level Pattern Image Note
TS23: liver Strong Regionally restricted euxassay_018966_07
TS23: embryo mesenchyme Strong Regionally restricted euxassay_018966_07

Specimen euxassay_018966_08: embryonic day 14.5 (more )
Structure Level Pattern Image Note
TS23: liver Strong Regionally restricted euxassay_018966_08
TS23: embryo mesenchyme Strong Regionally restricted euxassay_018966_08

Specimen euxassay_018966_09: embryonic day 14.5 (more )
Structure Level Pattern Image Note
TS23: liver Strong Regionally restricted euxassay_018966_09
TS23: embryo mesenchyme Strong Regionally restricted euxassay_018966_09

Specimen euxassay_018966_10: embryonic day 14.5 (more )
Structure Level Pattern Image Note
TS23: liver Strong Regionally restricted euxassay_018966_10
TS23: embryo mesenchyme Strong Regionally restricted euxassay_018966_10

Specimen euxassay_018966_11: embryonic day 14.5 (more )
Structure Level Pattern Image Note
TS23: liver Strong Regionally restricted euxassay_018966_11
TS23: embryo mesenchyme Strong Regionally restricted euxassay_018966_11

Specimen euxassay_018966_12: embryonic day 14.5 (more )
Structure Level Pattern Image Note
TS23: liver Strong Regionally restricted euxassay_018966_12
TS23: embryo mesenchyme Strong Regionally restricted euxassay_018966_12

Specimen euxassay_018966_13: embryonic day 14.5 (more )
Structure Level Pattern Image Note
TS23: liver Strong Regionally restricted euxassay_018966_13
TS23: embryo mesenchyme Strong Regionally restricted euxassay_018966_13

Specimen euxassay_018966_14: embryonic day 14.5 (more )
Structure Level Pattern Image Note
TS23: liver Strong Regionally restricted euxassay_018966_14
TS23: embryo mesenchyme Strong Regionally restricted euxassay_018966_14

Specimen euxassay_018966_15: embryonic day 14.5 (more )
Structure Level Pattern Image Note
TS23: liver Strong Regionally restricted euxassay_018966_15
TS23: embryo mesenchyme Strong Regionally restricted euxassay_018966_15

Specimen euxassay_018966_16: embryonic day 14.5 (more )
Structure Level Pattern Image Note
TS23: liver Strong Regionally restricted euxassay_018966_16
TS23: embryo mesenchyme Strong Regionally restricted euxassay_018966_16

Specimen euxassay_018966_17: embryonic day 14.5 (more )
Structure Level Pattern Image Note
TS23: liver Strong Regionally restricted euxassay_018966_17
TS23: embryo mesenchyme Strong Regionally restricted euxassay_018966_17

Specimen euxassay_018966_18: embryonic day 14.5 (more )
Structure Level Pattern Image Note
TS23: liver Strong Regionally restricted euxassay_018966_18
TS23: embryo mesenchyme Strong Regionally restricted euxassay_018966_18

Specimen euxassay_018966_19: embryonic day 14.5 (more )
Structure Level Pattern Image Note
TS23: liver Strong Regionally restricted euxassay_018966_19
TS23: embryo mesenchyme Strong Regionally restricted euxassay_018966_19

Specimen euxassay_018966_20: embryonic day 14.5 (more )
Structure Level Pattern Image Note
TS23: liver Strong Regionally restricted euxassay_018966_20
TS23: embryo mesenchyme Strong Regionally restricted euxassay_018966_20

Specimen euxassay_018966_21: embryonic day 14.5 (more )
Structure Level Pattern Image Note
TS23: liver Strong Regionally restricted euxassay_018966_21
TS23: embryo mesenchyme Strong Regionally restricted euxassay_018966_21


Contributing Projects:
Mouse Genome Database (MGD), Gene Expression Database (GXD), Mouse Models of Human Cancer database (MMHCdb) (formerly Mouse Tumor Biology (MTB)), Gene Ontology (GO)
Citing These Resources
Funding Information
Warranty Disclaimer, Privacy Notice, Licensing, & Copyright
Send questions and comments to User Support.
last database update
01/06/2026
MGI 6.24
The Jackson Laboratory