About   Help   FAQ
Gene Expression Data
Assay Details
Assay
Reference: J:153498 Diez-Roux G, et al., A high-resolution anatomical atlas of the transcriptome in the mouse embryo. PLoS Biol. 2011;9(1):e1000582
Assay type: RNA in situ
MGI Accession ID: MGI:4828232
Gene symbol: Slc43a2
Gene name: solute carrier family 43, member 2
Probe: T56016
Probe preparation: Antisense labelled with digoxigenin RNA
Visualized with: Alkaline phosphatase
Assay notes: Cryosections of fresh frozen material were fixed in 4% paraformaldehyde for 20 min. before further processing. A tyramide-biotin/streptavidin amplification step was included in the in situ hybridization procedure.
Results
Specimen Table S6: embryonic day 14.5 (more )
Note: The probe used to generate this data was not specified; another gene-specific probe may have been used.
Structure Level Pattern Image Note
TS23: cerebellum Weak
TS23: cerebral cortex Weak
TS23: hypothalamus Weak
TS23: medulla oblongata Weak
TS23: midbrain Weak
TS23: pons Weak
TS23: thalamus Weak
TS23: blood vessel Moderate Regionally restricted Expression is present in the vasculature of the brain.
TS23: brain meninges Weak

Specimen euxassay_019695_01: embryonic day 14.5 (more )
Structure Level Pattern Image Note
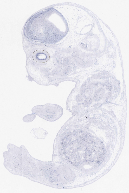
TS23: neural retina Moderate Regionally restricted euxassay_019695_01

Specimen euxassay_019695_02: embryonic day 14.5 (more )
Structure Level Pattern Image Note
TS23: neural retina Moderate Regionally restricted euxassay_019695_02

Specimen euxassay_019695_03: embryonic day 14.5 (more )
Structure Level Pattern Image Note
TS23: neural retina Moderate Regionally restricted euxassay_019695_03

Specimen euxassay_019695_04: embryonic day 14.5 (more )
Structure Level Pattern Image Note
TS23: neural retina Moderate Regionally restricted euxassay_019695_04
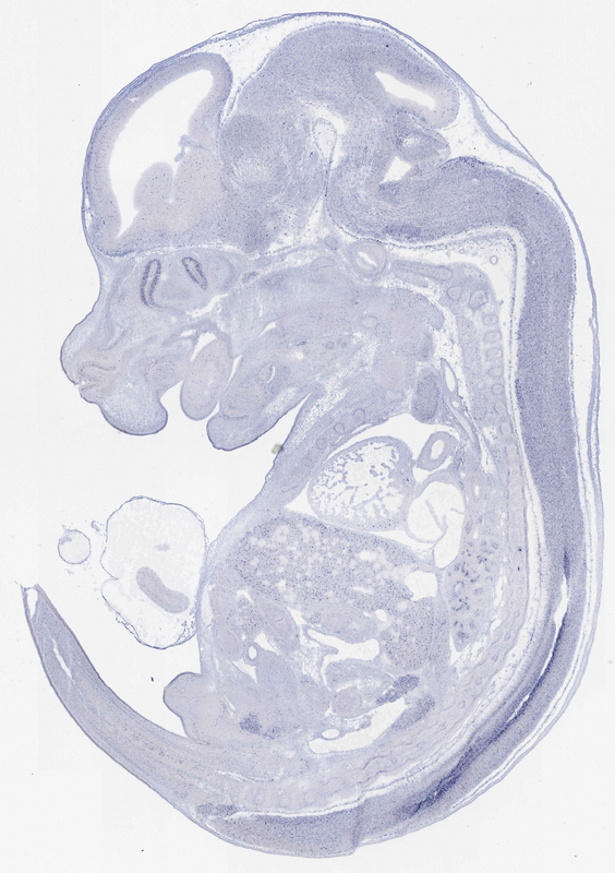
TS23: trigeminal ganglion Moderate Regionally restricted euxassay_019695_04

Specimen euxassay_019695_05: embryonic day 14.5 (more )
Structure Level Pattern Image Note
TS23: trigeminal ganglion Moderate Regionally restricted euxassay_019695_05
TS23: facial ganglion Moderate Regionally restricted euxassay_019695_05

Specimen euxassay_019695_06: embryonic day 14.5 (more )
Structure Level Pattern Image Note
TS23: trigeminal ganglion Moderate Regionally restricted euxassay_019695_06
TS23: facial ganglion Moderate Regionally restricted euxassay_019695_06

Specimen euxassay_019695_07: embryonic day 14.5 (more )
Structure Level Pattern Image Note
TS23: trigeminal ganglion Moderate Regionally restricted euxassay_019695_07
TS23: lung Weak Regionally restricted euxassay_019695_07

Specimen euxassay_019695_08: embryonic day 14.5 (more )
Structure Level Pattern Image Note
TS23: trigeminal ganglion Moderate Regionally restricted euxassay_019695_08
TS23: glossopharyngeal ganglion Moderate Regionally restricted euxassay_019695_08
TS23: lung Weak Regionally restricted euxassay_019695_08

Specimen euxassay_019695_09: embryonic day 14.5 (more )
Structure Level Pattern Image Note
TS23: trigeminal ganglion Moderate Regionally restricted euxassay_019695_09
TS23: glossopharyngeal ganglion Moderate Regionally restricted euxassay_019695_09
TS23: olfactory epithelium Moderate Regionally restricted euxassay_019695_09
TS23: lung Weak Regionally restricted euxassay_019695_09

Specimen euxassay_019695_10: embryonic day 14.5 (more )
Structure Level Pattern Image Note
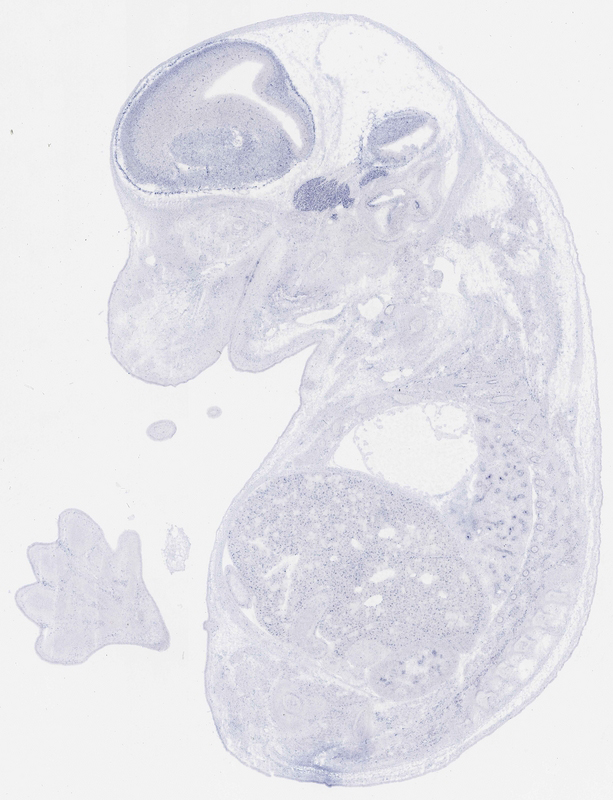
TS23: vagus ganglion Moderate Regionally restricted euxassay_019695_10
TS23: trigeminal ganglion Moderate Regionally restricted euxassay_019695_10
TS23: trigeminal nerve Moderate Regionally restricted euxassay_019695_10
TS23: dorsal root ganglion Moderate Regionally restricted euxassay_019695_10
TS23: olfactory epithelium Moderate Regionally restricted euxassay_019695_10
TS23: lung Weak Regionally restricted euxassay_019695_10

Specimen euxassay_019695_11: embryonic day 14.5 (more )
Structure Level Pattern Image Note
TS23: vagus ganglion Moderate Regionally restricted euxassay_019695_11
TS23: trigeminal nerve Moderate Regionally restricted euxassay_019695_11
TS23: dorsal root ganglion Moderate Regionally restricted euxassay_019695_11
TS23: olfactory epithelium Moderate Regionally restricted euxassay_019695_11
TS23: metanephros Weak Regionally restricted euxassay_019695_11
TS23: lung Weak Regionally restricted euxassay_019695_11

Specimen euxassay_019695_12: embryonic day 14.5 (more )
Structure Level Pattern Image Note
TS23: dorsal root ganglion Moderate Regionally restricted euxassay_019695_12
TS23: olfactory epithelium Moderate Regionally restricted euxassay_019695_12
TS23: metanephros Weak Regionally restricted euxassay_019695_12
TS23: lung Weak Regionally restricted euxassay_019695_12
TS23: cervico-thoracic ganglion Weak Regionally restricted euxassay_019695_12
TS23: adrenal medulla Weak Regionally restricted euxassay_019695_12
TS23: pancreas Weak Regionally restricted euxassay_019695_12

Specimen euxassay_019695_13: embryonic day 14.5 (more )
Structure Level Pattern Image Note
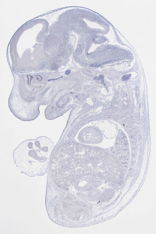
TS23: dorsal root ganglion Moderate Regionally restricted euxassay_019695_13
TS23: olfactory epithelium Moderate Regionally restricted euxassay_019695_13
TS23: vomeronasal organ Moderate Regionally restricted euxassay_019695_13
TS23: lung Weak Regionally restricted euxassay_019695_13
TS23: cervico-thoracic ganglion Weak Regionally restricted euxassay_019695_13
TS23: adrenal medulla Weak Regionally restricted euxassay_019695_13
TS23: pancreas Weak Regionally restricted euxassay_019695_13

Specimen euxassay_019695_14: embryonic day 14.5 (more )
Structure Level Pattern Image Note
TS23: dorsal root ganglion Moderate Regionally restricted euxassay_019695_14
TS23: lung Weak Regionally restricted euxassay_019695_14
TS23: pancreas Weak Regionally restricted euxassay_019695_14

Specimen euxassay_019695_15: embryonic day 14.5 (more )
Structure Level Pattern Image Note
TS23: dorsal root ganglion Moderate Regionally restricted euxassay_019695_15
TS23: lung Weak Regionally restricted euxassay_019695_15
TS23: urethra Weak Regionally restricted euxassay_019695_15 Originally this result was annotated to a male-specific term, but as the specimen was not sexed, it is likely the data annotator intended to use a non-sex specific term.
TS23: spinal cord ventricular layer Weak Regionally restricted euxassay_019695_15

Specimen euxassay_019695_16: embryonic day 14.5 (more )
Structure Level Pattern Image Note
TS23: vomeronasal organ Moderate Regionally restricted euxassay_019695_16
TS23: olfactory epithelium Moderate Regionally restricted euxassay_019695_16
TS23: thoracic ganglion Weak Regionally restricted euxassay_019695_16
TS23: urethra Weak Regionally restricted euxassay_019695_16 Originally this result was annotated to a male-specific term, but as the specimen was not sexed, it is likely the data annotator intended to use a non-sex specific term.

Specimen euxassay_019695_17: embryonic day 14.5 (more )
Structure Level Pattern Image Note
TS23: olfactory epithelium Moderate Regionally restricted euxassay_019695_17
TS23: vomeronasal organ Moderate Regionally restricted euxassay_019695_17
TS23: thoracic ganglion Weak Regionally restricted euxassay_019695_17
TS23: urethra Weak Regionally restricted euxassay_019695_17 Originally this result was annotated to a male-specific term, but as the specimen was not sexed, it is likely the data annotator intended to use a non-sex specific term.
TS23: spinal cord ventricular layer Moderate Regionally restricted euxassay_019695_17

Specimen euxassay_019695_18: embryonic day 14.5 (more )
Structure Level Pattern Image Note
TS23: olfactory epithelium Moderate Regionally restricted euxassay_019695_18
TS23: lung Weak Regionally restricted euxassay_019695_18
TS23: thoracic ganglion Weak Regionally restricted euxassay_019695_18
TS23: spinal cord ventricular layer Moderate Regionally restricted euxassay_019695_18

Specimen euxassay_019695_19: embryonic day 14.5 (more )
Structure Level Pattern Image Note
TS23: trigeminal ganglion Moderate Regionally restricted euxassay_019695_19
TS23: trigeminal nerve Moderate Regionally restricted euxassay_019695_19
TS23: dorsal root ganglion Moderate Regionally restricted euxassay_019695_19
TS23: olfactory epithelium Moderate Regionally restricted euxassay_019695_19
TS23: lung Weak Regionally restricted euxassay_019695_19
TS23: cervico-thoracic ganglion Weak Regionally restricted euxassay_019695_19
TS23: cervical ganglion Weak Regionally restricted euxassay_019695_19
TS23: nephric duct of male Weak Regionally restricted euxassay_019695_19

Specimen euxassay_019695_20: embryonic day 14.5 (more )
Structure Level Pattern Image Note
TS23: trigeminal ganglion Moderate Regionally restricted euxassay_019695_20
TS23: vagus ganglion Moderate Regionally restricted euxassay_019695_20
TS23: dorsal root ganglion Weak Regionally restricted euxassay_019695_20
TS23: olfactory epithelium Moderate Regionally restricted euxassay_019695_20
TS23: lung Weak Regionally restricted euxassay_019695_20
TS23: cervico-thoracic ganglion Weak Regionally restricted euxassay_019695_20
TS23: adrenal medulla Weak Regionally restricted euxassay_019695_20

Specimen euxassay_019695_21: embryonic day 14.5 (more )
Structure Level Pattern Image Note
TS23: trigeminal ganglion Moderate Regionally restricted euxassay_019695_21
TS23: glossopharyngeal ganglion Moderate Regionally restricted euxassay_019695_21
TS23: dorsal root ganglion Moderate Regionally restricted euxassay_019695_21
TS23: olfactory epithelium Moderate Regionally restricted euxassay_019695_21
TS23: adrenal medulla Weak Regionally restricted euxassay_019695_21

Specimen euxassay_019695_22: embryonic day 14.5 (more )
Structure Level Pattern Image Note
TS23: trigeminal ganglion Moderate Regionally restricted euxassay_019695_22
TS23: facial ganglion Moderate Regionally restricted euxassay_019695_22
TS23: dorsal root ganglion Moderate Regionally restricted euxassay_019695_22
TS23: metanephros Weak Regionally restricted euxassay_019695_22
TS23: lung Weak Regionally restricted euxassay_019695_22
TS23: adrenal medulla Weak Regionally restricted euxassay_019695_22

Specimen euxassay_019695_23: embryonic day 14.5 (more )
Structure Level Pattern Image Note
TS23: trigeminal ganglion Moderate Regionally restricted euxassay_019695_23
TS23: facial ganglion Moderate Regionally restricted euxassay_019695_23
TS23: metanephros Weak Regionally restricted euxassay_019695_23
TS23: lung Weak Regionally restricted euxassay_019695_23

Specimen euxassay_019695_24: embryonic day 14.5 (more )
Structure Level Pattern Image Note
TS23: trigeminal ganglion Moderate Regionally restricted euxassay_019695_24
TS23: facial ganglion Moderate Regionally restricted euxassay_019695_24
TS23: metanephros Weak Regionally restricted euxassay_019695_24
TS23: lung Weak Regionally restricted euxassay_019695_24


Contributing Projects:
Mouse Genome Database (MGD), Gene Expression Database (GXD), Mouse Models of Human Cancer database (MMHCdb) (formerly Mouse Tumor Biology (MTB)), Gene Ontology (GO)
Citing These Resources
Funding Information
Warranty Disclaimer, Privacy Notice, Licensing, & Copyright
Send questions and comments to User Support.
last database update
09/30/2025
MGI 6.24
The Jackson Laboratory