About   Help   FAQ
Gene Expression Data
Assay Details
Assay
Reference: J:153498 Diez-Roux G, et al., A high-resolution anatomical atlas of the transcriptome in the mouse embryo. PLoS Biol. 2011;9(1):e1000582
Assay type: RNA in situ
MGI Accession ID: MGI:4828227
Gene symbol: Slc3a2
Gene name: solute carrier family 3 (activators of dibasic and neutral amino acid transport), member 2
Probe: IMAGE clone 2373227
Probe preparation: Antisense labelled with digoxigenin RNA
Visualized with: Alkaline phosphatase
Assay notes: Cryosections of fresh frozen material were fixed in 4% paraformaldehyde for 20 min. before further processing. A tyramide-biotin/streptavidin amplification step was included in the in situ hybridization procedure.
Results
Specimen Table S6: embryonic day 14.5 (more )
Note: The probe used to generate this data was not specified; another gene-specific probe may have been used.
Structure Level Pattern Image Note
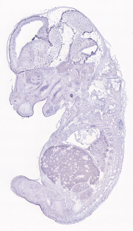
TS23: blood vessel Strong Regionally restricted Expression is present in the vasculature of the brain.
TS23: choroid plexus Weak
TS23: brain meninges Strong

Specimen euxassay_007752_01: embryonic day 14.5 (more )
Structure Level Pattern Image Note
TS23: telencephalon mantle layer Strong Single cells euxassay_007752_01
TS23: rest of cerebellum mantle layer Strong Single cells euxassay_007752_01
TS23: pons mantle layer Strong Single cells euxassay_007752_01
TS23: telencephalon meninges Strong Regionally restricted euxassay_007752_01
TS23: hindbrain meninges Strong Regionally restricted euxassay_007752_01
TS23: liver Strong Regionally restricted euxassay_007752_01

Specimen euxassay_007752_02: embryonic day 14.5 (more )
Structure Level Pattern Image Note
TS23: telencephalon mantle layer Strong Single cells euxassay_007752_02
TS23: midbrain mantle layer Strong Single cells euxassay_007752_02
TS23: rest of cerebellum mantle layer Strong Single cells euxassay_007752_02
TS23: pons mantle layer Strong Single cells euxassay_007752_02
TS23: telencephalon meninges Strong Regionally restricted euxassay_007752_02
TS23: hindbrain meninges Strong Regionally restricted euxassay_007752_02
TS23: midbrain meninges Strong Regionally restricted euxassay_007752_02
TS23: liver Strong Regionally restricted euxassay_007752_02

Specimen euxassay_007752_03: embryonic day 14.5 (more )
Structure Level Pattern Image Note
TS23: telencephalon mantle layer Strong Single cells euxassay_007752_03
TS23: midbrain mantle layer Strong Single cells euxassay_007752_03
TS23: medulla oblongata alar plate mantle layer Strong Single cells euxassay_007752_03
TS23: medulla oblongata basal plate mantle layer Strong Single cells euxassay_007752_03
TS23: rest of cerebellum mantle layer Strong Single cells euxassay_007752_03
TS23: pons mantle layer Strong Single cells euxassay_007752_03
TS23: telencephalon meninges Strong Regionally restricted euxassay_007752_03
TS23: hindbrain meninges Strong Regionally restricted euxassay_007752_03
TS23: midbrain meninges Strong Regionally restricted euxassay_007752_03
TS23: liver Strong Regionally restricted euxassay_007752_03

Specimen euxassay_007752_04: embryonic day 14.5 (more )
Structure Level Pattern Image Note
TS23: midbrain mantle layer Strong Single cells euxassay_007752_04
TS23: telencephalon mantle layer Strong Single cells euxassay_007752_04
TS23: medulla oblongata alar plate mantle layer Strong Single cells euxassay_007752_04
TS23: medulla oblongata basal plate mantle layer Strong Single cells euxassay_007752_04
TS23: rest of cerebellum mantle layer Strong Single cells euxassay_007752_04
TS23: pons mantle layer Strong Single cells euxassay_007752_04
TS23: telencephalon meninges Strong Regionally restricted euxassay_007752_04
TS23: hindbrain meninges Strong Regionally restricted euxassay_007752_04
TS23: midbrain meninges Strong Regionally restricted euxassay_007752_04
TS23: liver Strong Regionally restricted euxassay_007752_04
TS23: vibrissa Strong Regionally restricted euxassay_007752_04

Specimen euxassay_007752_05: embryonic day 14.5 (more )
Structure Level Pattern Image Note
TS23: telencephalon mantle layer Strong Single cells euxassay_007752_05
TS23: midbrain mantle layer Strong Single cells euxassay_007752_05
TS23: medulla oblongata alar plate mantle layer Strong Single cells euxassay_007752_05
TS23: medulla oblongata basal plate mantle layer Strong Single cells euxassay_007752_05
TS23: rest of cerebellum mantle layer Strong Single cells euxassay_007752_05
TS23: pons mantle layer Strong Single cells euxassay_007752_05
TS23: spinal cord mantle layer Strong Single cells euxassay_007752_05
TS23: telencephalon meninges Strong Regionally restricted euxassay_007752_05
TS23: hindbrain meninges Strong Regionally restricted euxassay_007752_05
TS23: midbrain meninges Strong Regionally restricted euxassay_007752_05
TS23: spinal cord meninges Strong Regionally restricted euxassay_007752_05
TS23: diencephalon meninges Strong Regionally restricted euxassay_007752_05
TS23: liver Strong Regionally restricted euxassay_007752_05
TS23: submandibular gland primordium Strong Regionally restricted euxassay_007752_05
TS23: lower jaw molar Strong Regionally restricted euxassay_007752_05
TS23: upper jaw molar Strong Regionally restricted euxassay_007752_05
TS23: vibrissa Strong Regionally restricted euxassay_007752_05

Specimen euxassay_007752_06: embryonic day 14.5 (more )
Structure Level Pattern Image Note
TS23: telencephalon mantle layer Strong Single cells euxassay_007752_06
TS23: midbrain mantle layer Strong Single cells euxassay_007752_06
TS23: diencephalon lateral wall mantle layer Strong Single cells euxassay_007752_06
TS23: medulla oblongata alar plate mantle layer Strong Single cells euxassay_007752_06
TS23: medulla oblongata basal plate mantle layer Strong Single cells euxassay_007752_06
TS23: rest of cerebellum mantle layer Strong Single cells euxassay_007752_06
TS23: pons mantle layer Strong Single cells euxassay_007752_06
TS23: spinal cord mantle layer Strong Single cells euxassay_007752_06
TS23: diencephalon meninges Strong Regionally restricted euxassay_007752_06
TS23: telencephalon meninges Strong Regionally restricted euxassay_007752_06
TS23: hindbrain meninges Strong Regionally restricted euxassay_007752_06
TS23: midbrain meninges Strong Regionally restricted euxassay_007752_06
TS23: spinal cord meninges Strong Regionally restricted euxassay_007752_06
TS23: liver Strong Regionally restricted euxassay_007752_06
TS23: submandibular gland primordium Strong Regionally restricted euxassay_007752_06
TS23: lower jaw molar Strong Regionally restricted euxassay_007752_06
TS23: upper jaw molar Strong Regionally restricted euxassay_007752_06
TS23: vibrissa Strong Regionally restricted euxassay_007752_06

Specimen euxassay_007752_07: embryonic day 14.5 (more )
Structure Level Pattern Image Note
TS23: diencephalon lateral wall mantle layer Strong Single cells euxassay_007752_07
TS23: telencephalon mantle layer Strong Single cells euxassay_007752_07
TS23: midbrain mantle layer Strong Single cells euxassay_007752_07
TS23: medulla oblongata alar plate mantle layer Strong Single cells euxassay_007752_07
TS23: medulla oblongata basal plate mantle layer Strong Single cells euxassay_007752_07
TS23: rest of cerebellum mantle layer Strong Single cells euxassay_007752_07
TS23: pons mantle layer Strong Single cells euxassay_007752_07
TS23: spinal cord mantle layer Strong Single cells euxassay_007752_07
TS23: diencephalon meninges Strong Regionally restricted euxassay_007752_07
TS23: telencephalon meninges Strong Regionally restricted euxassay_007752_07
TS23: hindbrain meninges Strong Regionally restricted euxassay_007752_07
TS23: midbrain meninges Strong Regionally restricted euxassay_007752_07
TS23: spinal cord meninges Strong Regionally restricted euxassay_007752_07
TS23: liver Strong Regionally restricted euxassay_007752_07
TS23: submandibular gland primordium Strong Regionally restricted euxassay_007752_07
TS23: lower jaw molar Strong Regionally restricted euxassay_007752_07
TS23: upper jaw molar Strong Regionally restricted euxassay_007752_07
TS23: vibrissa Strong Regionally restricted euxassay_007752_07

Specimen euxassay_007752_08: embryonic day 14.5 (more )
Structure Level Pattern Image Note
TS23: diencephalon lateral wall mantle layer Strong Single cells euxassay_007752_08
TS23: telencephalon mantle layer Strong Single cells euxassay_007752_08
TS23: midbrain mantle layer Strong Single cells euxassay_007752_08
TS23: medulla oblongata alar plate mantle layer Strong Single cells euxassay_007752_08
TS23: medulla oblongata basal plate mantle layer Strong Single cells euxassay_007752_08
TS23: rest of cerebellum mantle layer Strong Single cells euxassay_007752_08
TS23: pons mantle layer Strong Single cells euxassay_007752_08
TS23: spinal cord mantle layer Strong Single cells euxassay_007752_08
TS23: diencephalon meninges Strong Regionally restricted euxassay_007752_08
TS23: telencephalon meninges Strong Regionally restricted euxassay_007752_08
TS23: hindbrain meninges Strong Regionally restricted euxassay_007752_08
TS23: midbrain meninges Strong Regionally restricted euxassay_007752_08
TS23: spinal cord meninges Strong Regionally restricted euxassay_007752_08
TS23: liver Strong Regionally restricted euxassay_007752_08
TS23: thymus primordium Strong Regionally restricted euxassay_007752_08
TS23: submandibular gland primordium Strong Regionally restricted euxassay_007752_08

Specimen euxassay_007752_09: embryonic day 14.5 (more )
Structure Level Pattern Image Note
TS23: diencephalon lateral wall mantle layer Strong Single cells euxassay_007752_09
TS23: telencephalon mantle layer Strong Single cells euxassay_007752_09
TS23: midbrain mantle layer Strong Single cells euxassay_007752_09
TS23: medulla oblongata alar plate mantle layer Strong Single cells euxassay_007752_09
TS23: medulla oblongata basal plate mantle layer Strong Single cells euxassay_007752_09
TS23: rest of cerebellum mantle layer Strong Single cells euxassay_007752_09
TS23: pons mantle layer Strong Single cells euxassay_007752_09
TS23: spinal cord mantle layer Strong Single cells euxassay_007752_09
TS23: diencephalon meninges Strong Regionally restricted euxassay_007752_09
TS23: telencephalon meninges Strong Regionally restricted euxassay_007752_09
TS23: hindbrain meninges Strong Regionally restricted euxassay_007752_09
TS23: midbrain meninges Strong Regionally restricted euxassay_007752_09
TS23: spinal cord meninges Strong Regionally restricted euxassay_007752_09
TS23: liver Strong Regionally restricted euxassay_007752_09
TS23: thymus primordium Strong Regionally restricted euxassay_007752_09
TS23: midgut Strong Regionally restricted euxassay_007752_09

Specimen euxassay_007752_10: embryonic day 14.5 (more )
Structure Level Pattern Image Note
TS23: diencephalon lateral wall mantle layer Strong Single cells euxassay_007752_10
TS23: telencephalon mantle layer Strong Single cells euxassay_007752_10
TS23: midbrain mantle layer Strong Single cells euxassay_007752_10
TS23: medulla oblongata alar plate mantle layer Strong Single cells euxassay_007752_10
TS23: medulla oblongata basal plate mantle layer Strong Single cells euxassay_007752_10
TS23: rest of cerebellum mantle layer Strong Single cells euxassay_007752_10
TS23: pons mantle layer Strong Single cells euxassay_007752_10
TS23: spinal cord mantle layer Strong Single cells euxassay_007752_10
TS23: diencephalon meninges Strong Regionally restricted euxassay_007752_10
TS23: telencephalon meninges Strong Regionally restricted euxassay_007752_10
TS23: hindbrain meninges Strong Regionally restricted euxassay_007752_10
TS23: midbrain meninges Strong Regionally restricted euxassay_007752_10
TS23: spinal cord meninges Strong Regionally restricted euxassay_007752_10
TS23: liver Strong Regionally restricted euxassay_007752_10
TS23: lower jaw incisor Strong Regionally restricted euxassay_007752_10
TS23: upper jaw incisor Strong Regionally restricted euxassay_007752_10
TS23: midgut Strong Regionally restricted euxassay_007752_10

Specimen euxassay_007752_11: embryonic day 14.5 (more )
Structure Level Pattern Image Note
TS23: diencephalon lateral wall mantle layer Strong Single cells euxassay_007752_11
TS23: telencephalon mantle layer Strong Single cells euxassay_007752_11
TS23: midbrain mantle layer Strong Single cells euxassay_007752_11
TS23: medulla oblongata alar plate mantle layer Strong Single cells euxassay_007752_11
TS23: medulla oblongata basal plate mantle layer Strong Single cells euxassay_007752_11
TS23: rest of cerebellum mantle layer Strong Single cells euxassay_007752_11
TS23: pons mantle layer Strong Single cells euxassay_007752_11
TS23: spinal cord mantle layer Strong Single cells euxassay_007752_11
TS23: diencephalon meninges Strong Regionally restricted euxassay_007752_11
TS23: telencephalon meninges Strong Regionally restricted euxassay_007752_11
TS23: hindbrain meninges Strong Regionally restricted euxassay_007752_11
TS23: midbrain meninges Strong Regionally restricted euxassay_007752_11
TS23: spinal cord meninges Strong Regionally restricted euxassay_007752_11
TS23: liver Strong Regionally restricted euxassay_007752_11
TS23: thymus primordium Moderate Regionally restricted euxassay_007752_11
TS23: midgut Strong Regionally restricted euxassay_007752_11

Specimen euxassay_007752_12: embryonic day 14.5 (more )
Structure Level Pattern Image Note
TS23: diencephalon lateral wall mantle layer Strong Single cells euxassay_007752_12
TS23: telencephalon mantle layer Strong Single cells euxassay_007752_12
TS23: midbrain mantle layer Strong Single cells euxassay_007752_12
TS23: medulla oblongata alar plate mantle layer Strong Single cells euxassay_007752_12
TS23: medulla oblongata basal plate mantle layer Strong Single cells euxassay_007752_12
TS23: rest of cerebellum mantle layer Strong Single cells euxassay_007752_12
TS23: pons mantle layer Strong Single cells euxassay_007752_12
TS23: spinal cord mantle layer Strong Single cells euxassay_007752_12
TS23: diencephalon meninges Strong Regionally restricted euxassay_007752_12
TS23: telencephalon meninges Strong Regionally restricted euxassay_007752_12
TS23: hindbrain meninges Strong Regionally restricted euxassay_007752_12
TS23: midbrain meninges Strong Regionally restricted euxassay_007752_12
TS23: spinal cord meninges Strong Regionally restricted euxassay_007752_12
TS23: liver Strong Regionally restricted euxassay_007752_12
TS23: thymus primordium Strong Regionally restricted euxassay_007752_12
TS23: midgut Strong Regionally restricted euxassay_007752_12

Specimen euxassay_007752_13: embryonic day 14.5 (more )
Structure Level Pattern Image Note
TS23: diencephalon lateral wall mantle layer Strong Single cells euxassay_007752_13
TS23: telencephalon mantle layer Strong Single cells euxassay_007752_13
TS23: midbrain mantle layer Strong Single cells euxassay_007752_13
TS23: medulla oblongata alar plate mantle layer Strong Single cells euxassay_007752_13
TS23: medulla oblongata basal plate mantle layer Strong Single cells euxassay_007752_13
TS23: rest of cerebellum mantle layer Strong Single cells euxassay_007752_13
TS23: pons mantle layer Strong Single cells euxassay_007752_13
TS23: diencephalon meninges Strong Regionally restricted euxassay_007752_13
TS23: telencephalon meninges Strong Regionally restricted euxassay_007752_13
TS23: hindbrain meninges Strong Regionally restricted euxassay_007752_13
TS23: midbrain meninges Strong Regionally restricted euxassay_007752_13
TS23: spinal cord meninges Strong Regionally restricted euxassay_007752_13
TS23: liver Strong Regionally restricted euxassay_007752_13
TS23: submandibular gland primordium Strong Regionally restricted euxassay_007752_13
TS23: lower jaw incisor Strong Regionally restricted euxassay_007752_13
TS23: midgut Strong Regionally restricted euxassay_007752_13

Specimen euxassay_007752_14: embryonic day 14.5 (more )
Structure Level Pattern Image Note
TS23: diencephalon lateral wall mantle layer Strong Single cells euxassay_007752_14
TS23: telencephalon mantle layer Strong Single cells euxassay_007752_14
TS23: midbrain mantle layer Strong Single cells euxassay_007752_14
TS23: medulla oblongata alar plate mantle layer Strong Single cells euxassay_007752_14
TS23: medulla oblongata basal plate mantle layer Strong Single cells euxassay_007752_14
TS23: rest of cerebellum mantle layer Strong Single cells euxassay_007752_14
TS23: pons mantle layer Strong Single cells euxassay_007752_14
TS23: diencephalon meninges Strong Regionally restricted euxassay_007752_14
TS23: telencephalon meninges Strong Regionally restricted euxassay_007752_14
TS23: hindbrain meninges Strong Regionally restricted euxassay_007752_14
TS23: midbrain meninges Strong Regionally restricted euxassay_007752_14
TS23: liver Strong Regionally restricted euxassay_007752_14
TS23: submandibular gland primordium Strong Regionally restricted euxassay_007752_14
TS23: midgut Strong Regionally restricted euxassay_007752_14

Specimen euxassay_007752_15: embryonic day 14.5 (more )
Structure Level Pattern Image Note
TS23: diencephalon lateral wall mantle layer Strong Single cells euxassay_007752_15
TS23: telencephalon mantle layer Strong Single cells euxassay_007752_15
TS23: midbrain mantle layer Strong Single cells euxassay_007752_15
TS23: medulla oblongata alar plate mantle layer Strong Single cells euxassay_007752_15
TS23: medulla oblongata basal plate mantle layer Strong Single cells euxassay_007752_15
TS23: rest of cerebellum mantle layer Strong Single cells euxassay_007752_15
TS23: pons mantle layer Strong Single cells euxassay_007752_15
TS23: diencephalon meninges Strong Regionally restricted euxassay_007752_15
TS23: telencephalon meninges Strong Regionally restricted euxassay_007752_15
TS23: hindbrain meninges Strong Regionally restricted euxassay_007752_15
TS23: midbrain meninges Strong Regionally restricted euxassay_007752_15
TS23: liver Strong Regionally restricted euxassay_007752_15
TS23: submandibular gland primordium Strong Regionally restricted euxassay_007752_15
TS23: midgut Strong Regionally restricted euxassay_007752_15

Specimen euxassay_007752_16: embryonic day 14.5 (more )
Structure Level Pattern Image Note
TS23: diencephalon lateral wall mantle layer Strong Single cells euxassay_007752_16
TS23: telencephalon mantle layer Strong Single cells euxassay_007752_16
TS23: midbrain mantle layer Strong Single cells euxassay_007752_16
TS23: rest of cerebellum mantle layer Strong Single cells euxassay_007752_16
TS23: pons mantle layer Strong Single cells euxassay_007752_16
TS23: medulla oblongata basal plate mantle layer Strong Single cells euxassay_007752_16
TS23: medulla oblongata alar plate mantle layer Strong Single cells euxassay_007752_16
TS23: diencephalon meninges Strong Regionally restricted euxassay_007752_16
TS23: telencephalon meninges Strong Regionally restricted euxassay_007752_16
TS23: midbrain meninges Strong Regionally restricted euxassay_007752_16
TS23: hindbrain meninges Strong Regionally restricted euxassay_007752_16
TS23: liver Strong Regionally restricted euxassay_007752_16
TS23: submandibular gland primordium Strong Regionally restricted euxassay_007752_16
TS23: lower jaw molar Strong Regionally restricted euxassay_007752_16
TS23: upper jaw molar Strong Regionally restricted euxassay_007752_16

Specimen euxassay_007752_17: embryonic day 14.5 (more )
Structure Level Pattern Image Note
TS23: telencephalon mantle layer Strong Single cells euxassay_007752_17
TS23: rest of cerebellum mantle layer Strong Single cells euxassay_007752_17
TS23: pons mantle layer Strong Single cells euxassay_007752_17
TS23: telencephalon meninges Strong Regionally restricted euxassay_007752_17
TS23: hindbrain meninges Strong Regionally restricted euxassay_007752_17
TS23: liver Strong Regionally restricted euxassay_007752_17
TS23: upper jaw molar Strong Regionally restricted euxassay_007752_17
TS23: lower jaw molar Strong Regionally restricted euxassay_007752_17

Specimen euxassay_007752_18: embryonic day 14.5 (more )
Structure Level Pattern Image Note
TS23: telencephalon mantle layer Strong Single cells euxassay_007752_18
TS23: rest of cerebellum mantle layer Strong Single cells euxassay_007752_18
TS23: pons mantle layer Strong Single cells euxassay_007752_18
TS23: telencephalon meninges Strong Regionally restricted euxassay_007752_18
TS23: hindbrain meninges Strong Regionally restricted euxassay_007752_18
TS23: liver Strong Regionally restricted euxassay_007752_18

Specimen euxassay_007752_19: embryonic day 14.5 (more )
Structure Level Pattern Image Note
TS23: telencephalon mantle layer Strong Single cells euxassay_007752_19
TS23: telencephalon meninges Strong Regionally restricted euxassay_007752_19
TS23: liver Strong Regionally restricted euxassay_007752_19

Specimen euxassay_007752_20: embryonic day 14.5 (more )
Structure Level Pattern Image Note
TS23: telencephalon mantle layer Strong Single cells euxassay_007752_20
TS23: telencephalon meninges Strong Regionally restricted euxassay_007752_20
TS23: liver Strong Regionally restricted euxassay_007752_20
TS23: vibrissa Strong Regionally restricted euxassay_007752_20


Contributing Projects:
Mouse Genome Database (MGD), Gene Expression Database (GXD), Mouse Models of Human Cancer database (MMHCdb) (formerly Mouse Tumor Biology (MTB)), Gene Ontology (GO)
Citing These Resources
Funding Information
Warranty Disclaimer, Privacy Notice, Licensing, & Copyright
Send questions and comments to User Support.
last database update
01/20/2026
MGI 6.24
The Jackson Laboratory