About   Help   FAQ
Gene Expression Data
Assay Details
Assay
Reference: J:153498 Diez-Roux G, et al., A high-resolution anatomical atlas of the transcriptome in the mouse embryo. PLoS Biol. 2011;9(1):e1000582
Assay type: RNA in situ
MGI Accession ID: MGI:4828214
Gene symbol: Slc38a3
Gene name: solute carrier family 38, member 3
Probe: T56036
Probe preparation: Antisense labelled with digoxigenin RNA
Visualized with: Alkaline phosphatase
Assay notes: Cryosections of fresh frozen material were fixed in 4% paraformaldehyde for 20 min. before further processing. A tyramide-biotin/streptavidin amplification step was included in the in situ hybridization procedure.
Results
Specimen Table S6: embryonic day 14.5 (more )
Note: The probe used to generate this data was not specified; another gene-specific probe may have been used.
Structure Level Pattern Image Note
TS23: blood vessel Strong Regionally restricted Expression is present in the vasculature of the brain.
TS23: choroid plexus Moderate
TS23: brain meninges Moderate

Specimen euxassay_019715_01: embryonic day 14.5 (more )
Structure Level Pattern Image Note
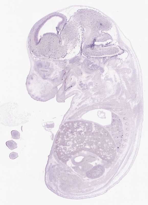
TS23: brain Moderate Regionally restricted euxassay_019715_01

Specimen euxassay_019715_02: embryonic day 14.5 (more )
Structure Level Pattern Image Note
TS23: brain Moderate Regionally restricted euxassay_019715_02

Specimen euxassay_019715_03: embryonic day 14.5 (more )
Structure Level Pattern Image Note
TS23: brain Moderate Regionally restricted euxassay_019715_03

Specimen euxassay_019715_04: embryonic day 14.5 (more )
Structure Level Pattern Image Note
TS23: brain Moderate Regionally restricted euxassay_019715_04

Specimen euxassay_019715_05: embryonic day 14.5 (more )
Structure Level Pattern Image Note
TS23: brain Moderate Regionally restricted euxassay_019715_05

Specimen euxassay_019715_06: embryonic day 14.5 (more )
Structure Level Pattern Image Note
TS23: lung Moderate Regionally restricted euxassay_019715_06
TS23: brain Moderate Regionally restricted euxassay_019715_06

Specimen euxassay_019715_07: embryonic day 14.5 (more )
Structure Level Pattern Image Note
TS23: lung Moderate Regionally restricted euxassay_019715_07
TS23: brain Moderate Regionally restricted euxassay_019715_07

Specimen euxassay_019715_08: embryonic day 14.5 (more )
Structure Level Pattern Image Note
TS23: lung Moderate Regionally restricted euxassay_019715_08
TS23: brain Moderate Regionally restricted euxassay_019715_08

Specimen euxassay_019715_09: embryonic day 14.5 (more )
Structure Level Pattern Image Note
TS23: lung Moderate Regionally restricted euxassay_019715_09
TS23: brain Moderate Regionally restricted euxassay_019715_09

Specimen euxassay_019715_10: embryonic day 14.5 (more )
Structure Level Pattern Image Note
TS23: pancreas Strong Regionally restricted euxassay_019715_10
TS23: lung Moderate Regionally restricted euxassay_019715_10
TS23: brain Moderate Regionally restricted euxassay_019715_10

Specimen euxassay_019715_11: embryonic day 14.5 (more )
Structure Level Pattern Image Note
TS23: pancreas Strong Regionally restricted euxassay_019715_11
TS23: pericardium Moderate Spotted euxassay_019715_11
TS23: lung Moderate Regionally restricted euxassay_019715_11
TS23: brain Moderate Regionally restricted euxassay_019715_11

Specimen euxassay_019715_12: embryonic day 14.5 (more )
Structure Level Pattern Image Note
TS23: pancreas Strong Regionally restricted euxassay_019715_12
TS23: pericardium Moderate Spotted euxassay_019715_12
TS23: lung Moderate Regionally restricted euxassay_019715_12
TS23: brain Moderate Regionally restricted euxassay_019715_12
TS23: spinal cord Moderate Regionally restricted euxassay_019715_12

Specimen euxassay_019715_13: embryonic day 14.5 (more )
Structure Level Pattern Image Note
TS23: pancreas Strong Regionally restricted euxassay_019715_13
TS23: pericardium Moderate Spotted euxassay_019715_13
TS23: lung Moderate Regionally restricted euxassay_019715_13
TS23: brain Moderate Regionally restricted euxassay_019715_13
TS23: spinal cord Moderate Regionally restricted euxassay_019715_13

Specimen euxassay_019715_14: embryonic day 14.5 (more )
Structure Level Pattern Image Note
TS23: pancreas Strong Regionally restricted euxassay_019715_14
TS23: pericardium Moderate Spotted euxassay_019715_14
TS23: lung Moderate Regionally restricted euxassay_019715_14
TS23: brain Moderate Regionally restricted euxassay_019715_14
TS23: spinal cord Moderate Regionally restricted euxassay_019715_14

Specimen euxassay_019715_15: embryonic day 14.5 (more )
Structure Level Pattern Image Note
TS23: pericardium Moderate Spotted euxassay_019715_15
TS23: brain Moderate Regionally restricted euxassay_019715_15
TS23: spinal cord Moderate Regionally restricted euxassay_019715_15

Specimen euxassay_019715_16: embryonic day 14.5 (more )
Structure Level Pattern Image Note
TS23: pancreas Moderate Regionally restricted euxassay_019715_16
TS23: pericardium Moderate Spotted euxassay_019715_16
TS23: brain Moderate Regionally restricted euxassay_019715_16
TS23: spinal cord Moderate Regionally restricted euxassay_019715_16

Specimen euxassay_019715_17: embryonic day 14.5 (more )
Structure Level Pattern Image Note
TS23: pancreas Strong Regionally restricted euxassay_019715_17
TS23: pericardium Moderate Spotted euxassay_019715_17
TS23: lung Moderate Regionally restricted euxassay_019715_17
TS23: brain Moderate Regionally restricted euxassay_019715_17
TS23: spinal cord Moderate Regionally restricted euxassay_019715_17

Specimen euxassay_019715_18: embryonic day 14.5 (more )
Structure Level Pattern Image Note
TS23: pancreas Strong Regionally restricted euxassay_019715_18
TS23: pericardium Moderate Spotted euxassay_019715_18
TS23: brain Moderate Regionally restricted euxassay_019715_18
TS23: spinal cord Moderate Regionally restricted euxassay_019715_18

Specimen euxassay_019715_19: embryonic day 14.5 (more )
Structure Level Pattern Image Note
TS23: pancreas Strong Regionally restricted euxassay_019715_19
TS23: pericardium Moderate Spotted euxassay_019715_19
TS23: lung Moderate Regionally restricted euxassay_019715_19
TS23: brain Moderate Regionally restricted euxassay_019715_19
TS23: spinal cord Moderate Regionally restricted euxassay_019715_19

Specimen euxassay_019715_20: embryonic day 14.5 (more )
Structure Level Pattern Image Note
TS23: pancreas Strong Regionally restricted euxassay_019715_20
TS23: pericardium Moderate Spotted euxassay_019715_20
TS23: lung Moderate Regionally restricted euxassay_019715_20
TS23: brain Moderate Regionally restricted euxassay_019715_20

Specimen euxassay_019715_21: embryonic day 14.5 (more )
Structure Level Pattern Image Note
TS23: pericardium Moderate Spotted euxassay_019715_21
TS23: lung Moderate Regionally restricted euxassay_019715_21
TS23: brain Moderate Regionally restricted euxassay_019715_21

Specimen euxassay_019715_22: embryonic day 14.5 (more )
Structure Level Pattern Image Note
TS23: lung Moderate Regionally restricted euxassay_019715_22
TS23: brain Moderate Regionally restricted euxassay_019715_22

Specimen euxassay_019715_23: embryonic day 14.5 (more )
Structure Level Pattern Image Note
TS23: lung Moderate Regionally restricted euxassay_019715_23
TS23: brain Moderate Regionally restricted euxassay_019715_23

Specimen euxassay_019715_24: embryonic day 14.5 (more )
Structure Level Pattern Image Note
TS23: lung Moderate Regionally restricted euxassay_019715_24
TS23: brain Moderate Regionally restricted euxassay_019715_24


Contributing Projects:
Mouse Genome Database (MGD), Gene Expression Database (GXD), Mouse Models of Human Cancer database (MMHCdb) (formerly Mouse Tumor Biology (MTB)), Gene Ontology (GO)
Citing These Resources
Funding Information
Warranty Disclaimer, Privacy Notice, Licensing, & Copyright
Send questions and comments to User Support.
last database update
01/20/2026
MGI 6.24
The Jackson Laboratory