About   Help   FAQ
Gene Expression Data
Assay Details
Assay
Reference: J:153498 Diez-Roux G, et al., A high-resolution anatomical atlas of the transcriptome in the mouse embryo. PLoS Biol. 2011;9(1):e1000582
Assay type: RNA in situ
MGI Accession ID: MGI:4828213
Gene symbol: Slc38a2
Gene name: solute carrier family 38, member 2
Probe: T56005
Probe preparation: Antisense labelled with digoxigenin RNA
Visualized with: Alkaline phosphatase
Assay notes: Cryosections of fresh frozen material were fixed in 4% paraformaldehyde for 20 min. before further processing. A tyramide-biotin/streptavidin amplification step was included in the in situ hybridization procedure.
Results
Specimen Table S6: embryonic day 14.5 (more )
Note: The probe used to generate this data was not specified; another gene-specific probe may have been used.
Structure Level Pattern Image Note
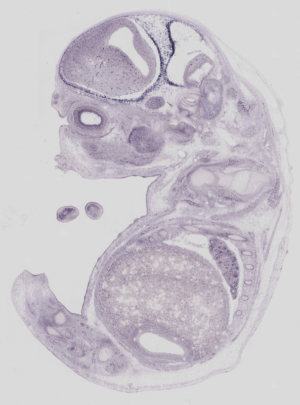
TS23: blood vessel Strong Regionally restricted Expression is present in the vasculature of the brain.
TS23: brain meninges Strong

Specimen euxassay_019685_01: embryonic day 14.5 (more )
Structure Level Pattern Image Note
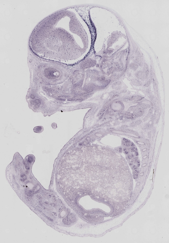
TS23: telencephalon meninges Moderate Regionally restricted euxassay_019685_01
TS23: neural retina Weak Regionally restricted euxassay_019685_01

Specimen euxassay_019685_02: embryonic day 14.5 (more )
Structure Level Pattern Image Note
TS23: forelimb digit 1 phalanx Moderate Regionally restricted euxassay_019685_02
TS23: forelimb digit 2 phalanx Moderate Regionally restricted euxassay_019685_02
TS23: telencephalon meninges Moderate Regionally restricted euxassay_019685_02
TS23: hindbrain meninges Moderate Regionally restricted euxassay_019685_02
TS23: neural retina Weak Regionally restricted euxassay_019685_02

Specimen euxassay_019685_03: embryonic day 14.5 (more )
Structure Level Pattern Image Note
TS23: lung Weak Regionally restricted euxassay_019685_03
TS23: hindbrain meninges Moderate Regionally restricted euxassay_019685_03
TS23: telencephalon meninges Moderate Regionally restricted euxassay_019685_03
TS23: neural retina Weak Regionally restricted euxassay_019685_03

Specimen euxassay_019685_04: embryonic day 14.5 (more )
Structure Level Pattern Image Note
TS23: lung Weak Regionally restricted euxassay_019685_04
TS23: hindlimb digit 1 phalanx Moderate Regionally restricted euxassay_019685_04
TS23: hindbrain meninges Moderate Regionally restricted euxassay_019685_04
TS23: telencephalon meninges Moderate Regionally restricted euxassay_019685_04
TS23: neural retina Weak Regionally restricted euxassay_019685_04

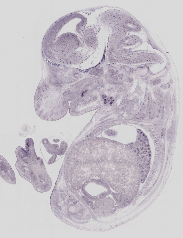
Specimen euxassay_019685_05: embryonic day 14.5 (more )
Structure Level Pattern Image Note
TS23: lung Moderate Regionally restricted euxassay_019685_05
TS23: hindlimb digit 1 phalanx Moderate Regionally restricted euxassay_019685_05
TS23: hindlimb digit 2 phalanx Moderate Regionally restricted euxassay_019685_05
TS23: telencephalon meninges Moderate Regionally restricted euxassay_019685_05

Specimen euxassay_019685_06: embryonic day 14.5 (more )
Structure Level Pattern Image Note
TS23: submandibular gland primordium Strong Regionally restricted euxassay_019685_06
TS23: lung Moderate Regionally restricted euxassay_019685_06
TS23: vibrissa Weak Regionally restricted euxassay_019685_06
TS23: hindlimb digit 2 phalanx Moderate Regionally restricted euxassay_019685_06
TS23: upper jaw molar Moderate Regionally restricted euxassay_019685_06
TS23: lower jaw molar Moderate Regionally restricted euxassay_019685_06
TS23: telencephalon meninges Moderate Regionally restricted euxassay_019685_06

Specimen euxassay_019685_07: embryonic day 14.5 (more )
Structure Level Pattern Image Note
TS23: submandibular gland primordium Strong Regionally restricted euxassay_019685_07
TS23: lung Moderate Regionally restricted euxassay_019685_07
TS23: vibrissa Weak Regionally restricted euxassay_019685_07
TS23: hindlimb digit 2 phalanx Moderate Regionally restricted euxassay_019685_07
TS23: hindlimb digit 3 phalanx Moderate Regionally restricted euxassay_019685_07
TS23: lower jaw molar Moderate Regionally restricted euxassay_019685_07
TS23: telencephalon meninges Moderate Regionally restricted euxassay_019685_07

Specimen euxassay_019685_08: embryonic day 14.5 (more )
Structure Level Pattern Image Note
TS23: submandibular gland primordium Strong Regionally restricted euxassay_019685_08
TS23: lung Moderate Regionally restricted euxassay_019685_08
TS23: vibrissa Weak Regionally restricted euxassay_019685_08
TS23: hindlimb digit 3 phalanx Moderate Regionally restricted euxassay_019685_08
TS23: metanephros Moderate Regionally restricted euxassay_019685_08
TS23: telencephalon meninges Moderate Regionally restricted euxassay_019685_08

Specimen euxassay_019685_09: embryonic day 14.5 (more )
Structure Level Pattern Image Note
TS23: submandibular gland primordium Strong Regionally restricted euxassay_019685_09
TS23: lung Moderate Regionally restricted euxassay_019685_09
TS23: turbinate bone primordium Moderate Regionally restricted euxassay_019685_09
TS23: metanephros Moderate Regionally restricted euxassay_019685_09
TS23: adrenal gland Moderate Regionally restricted euxassay_019685_09
TS23: telencephalon meninges Moderate Regionally restricted euxassay_019685_09

Specimen euxassay_019685_10: embryonic day 14.5 (more )
Structure Level Pattern Image Note
TS23: lung Moderate Regionally restricted euxassay_019685_10
TS23: clavicle Strong Regionally restricted euxassay_019685_10
TS23: turbinate bone primordium Moderate Regionally restricted euxassay_019685_10
TS23: metanephros Moderate Regionally restricted euxassay_019685_10
TS23: adrenal gland Moderate Regionally restricted euxassay_019685_10
TS23: telencephalon meninges Moderate Regionally restricted euxassay_019685_10

Specimen euxassay_019685_11: embryonic day 14.5 (more )
Structure Level Pattern Image Note
TS23: clavicle Strong Regionally restricted euxassay_019685_11
TS23: upper jaw incisor Moderate Regionally restricted euxassay_019685_11
TS23: lower jaw incisor Moderate Regionally restricted euxassay_019685_11
TS23: turbinate bone primordium Moderate Regionally restricted euxassay_019685_11
TS23: metanephros Moderate Regionally restricted euxassay_019685_11
TS23: adrenal gland Moderate Regionally restricted euxassay_019685_11
TS23: hindbrain meninges Moderate Regionally restricted euxassay_019685_11

Specimen euxassay_019685_12: embryonic day 14.5 (more )
Structure Level Pattern Image Note
TS23: upper jaw incisor Weak Regionally restricted euxassay_019685_12
TS23: lower jaw incisor Weak Regionally restricted euxassay_019685_12
TS23: turbinate bone primordium Moderate Regionally restricted euxassay_019685_12
TS23: hindbrain meninges Moderate Regionally restricted euxassay_019685_12

Specimen euxassay_019685_13: embryonic day 14.5 (more )
Structure Level Pattern Image Note
TS23: upper jaw incisor Weak Regionally restricted euxassay_019685_13
TS23: turbinate bone primordium Moderate Regionally restricted euxassay_019685_13
TS23: hindbrain meninges Moderate Regionally restricted euxassay_019685_13
TS23: telencephalon meninges Moderate Regionally restricted euxassay_019685_13

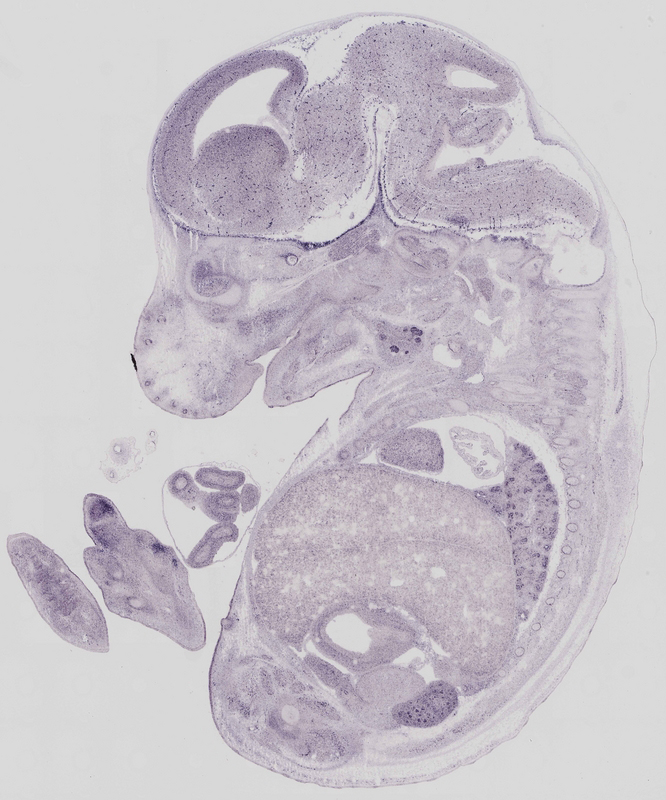
Specimen euxassay_019685_14: embryonic day 14.5 (more )
Structure Level Pattern Image Note
TS23: hindbrain meninges Moderate Regionally restricted euxassay_019685_14
TS23: telencephalon meninges Moderate Regionally restricted euxassay_019685_14

Specimen euxassay_019685_15: embryonic day 14.5 (more )
Structure Level Pattern Image Note
TS23: lung Moderate Regionally restricted euxassay_019685_15
TS23: telencephalon meninges Moderate Regionally restricted euxassay_019685_15
TS23: hindbrain meninges Moderate Regionally restricted euxassay_019685_15

Specimen euxassay_019685_16: embryonic day 14.5 (more )
Structure Level Pattern Image Note
TS23: lung Weak Regionally restricted euxassay_019685_16
TS23: lower jaw incisor Weak Regionally restricted euxassay_019685_16
TS23: turbinate bone primordium Moderate Regionally restricted euxassay_019685_16
TS23: hindbrain meninges Moderate Regionally restricted euxassay_019685_16
TS23: telencephalon meninges Moderate Regionally restricted euxassay_019685_16

Specimen euxassay_019685_17: embryonic day 14.5 (more )
Structure Level Pattern Image Note
TS23: lung Weak Regionally restricted euxassay_019685_17
TS23: clavicle Strong Regionally restricted euxassay_019685_17
TS23: upper jaw incisor Weak Regionally restricted euxassay_019685_17
TS23: lower jaw incisor Weak Regionally restricted euxassay_019685_17
TS23: turbinate bone primordium Moderate Regionally restricted euxassay_019685_17
TS23: adrenal gland Moderate Regionally restricted euxassay_019685_17

Specimen euxassay_019685_18: embryonic day 14.5 (more )
Structure Level Pattern Image Note
TS23: submandibular gland primordium Strong Regionally restricted euxassay_019685_18
TS23: lung Moderate Regionally restricted euxassay_019685_18
TS23: upper jaw incisor Weak Regionally restricted euxassay_019685_18
TS23: lower jaw incisor Weak Regionally restricted euxassay_019685_18
TS23: turbinate bone primordium Moderate Regionally restricted euxassay_019685_18
TS23: metanephros Moderate Regionally restricted euxassay_019685_18
TS23: adrenal gland Moderate Regionally restricted euxassay_019685_18

Specimen euxassay_019685_19: embryonic day 14.5 (more )
Structure Level Pattern Image Note
TS23: submandibular gland primordium Strong Regionally restricted euxassay_019685_19
TS23: lung Moderate Regionally restricted euxassay_019685_19
TS23: hindlimb digit 2 phalanx Moderate Regionally restricted euxassay_019685_19
TS23: hindlimb digit 3 phalanx Moderate Regionally restricted euxassay_019685_19
TS23: hindlimb digit 4 phalanx Moderate Regionally restricted euxassay_019685_19
TS23: hindlimb digit 5 phalanx Moderate Regionally restricted euxassay_019685_19
TS23: turbinate bone primordium Moderate Regionally restricted euxassay_019685_19
TS23: metanephros Moderate Regionally restricted euxassay_019685_19
TS23: adrenal gland Moderate Regionally restricted euxassay_019685_19
TS23: telencephalon meninges Moderate Regionally restricted euxassay_019685_19

Specimen euxassay_019685_20: embryonic day 14.5 (more )
Structure Level Pattern Image Note
TS23: submandibular gland primordium Strong Regionally restricted euxassay_019685_20
TS23: lung Weak Regionally restricted euxassay_019685_20
TS23: hindlimb digit 3 phalanx Moderate Regionally restricted euxassay_019685_20
TS23: hindlimb digit 2 phalanx Moderate Regionally restricted euxassay_019685_20
TS23: hindlimb digit 1 phalanx Moderate Regionally restricted euxassay_019685_20
TS23: upper jaw molar Moderate Regionally restricted euxassay_019685_20
TS23: turbinate bone primordium Moderate Regionally restricted euxassay_019685_20
TS23: metanephros Moderate Regionally restricted euxassay_019685_20
TS23: telencephalon meninges Moderate Regionally restricted euxassay_019685_20

Specimen euxassay_019685_21: embryonic day 14.5 (more )
Structure Level Pattern Image Note
TS23: submandibular gland primordium Strong Regionally restricted euxassay_019685_21
TS23: lung Moderate Regionally restricted euxassay_019685_21
TS23: vibrissa Weak Regionally restricted euxassay_019685_21
TS23: hindlimb digit 2 phalanx Moderate Regionally restricted euxassay_019685_21
TS23: hindlimb digit 1 phalanx Moderate Regionally restricted euxassay_019685_21
TS23: hindlimb digit 5 phalanx Moderate Regionally restricted euxassay_019685_21
TS23: upper jaw molar Moderate Regionally restricted euxassay_019685_21
TS23: lower jaw molar Moderate Regionally restricted euxassay_019685_21
TS23: turbinate bone primordium Moderate Regionally restricted euxassay_019685_21
TS23: metanephros Moderate Regionally restricted euxassay_019685_21
TS23: telencephalon meninges Moderate Regionally restricted euxassay_019685_21

Specimen euxassay_019685_22: embryonic day 14.5 (more )
Structure Level Pattern Image Note
TS23: lung Moderate Regionally restricted euxassay_019685_22
TS23: vibrissa Weak Regionally restricted euxassay_019685_22
TS23: hindlimb digit 2 phalanx Weak Regionally restricted euxassay_019685_22
TS23: hindlimb digit 1 phalanx Weak Regionally restricted euxassay_019685_22
TS23: metanephros Moderate Regionally restricted euxassay_019685_22
TS23: telencephalon meninges Moderate Regionally restricted euxassay_019685_22

Specimen euxassay_019685_23: embryonic day 14.5 (more )
Structure Level Pattern Image Note
TS23: lung Weak Regionally restricted euxassay_019685_23
TS23: vibrissa Weak Regionally restricted euxassay_019685_23
TS23: telencephalon meninges Moderate Regionally restricted euxassay_019685_23
TS23: neural retina Weak Regionally restricted euxassay_019685_23

Specimen euxassay_019685_24: embryonic day 14.5 (more )
Structure Level Pattern Image Note
TS23: lung Weak Regionally restricted euxassay_019685_24
TS23: vibrissa Weak Regionally restricted euxassay_019685_24
TS23: telencephalon meninges Moderate Regionally restricted euxassay_019685_24
TS23: neural retina Weak Regionally restricted euxassay_019685_24


Contributing Projects:
Mouse Genome Database (MGD), Gene Expression Database (GXD), Mouse Models of Human Cancer database (MMHCdb) (formerly Mouse Tumor Biology (MTB)), Gene Ontology (GO)
Citing These Resources
Funding Information
Warranty Disclaimer, Privacy Notice, Licensing, & Copyright
Send questions and comments to User Support.
last database update
12/30/2025
MGI 6.24
The Jackson Laboratory