About   Help   FAQ
Gene Expression Data
Assay Details
Assay
Reference: J:153498 Diez-Roux G, et al., A high-resolution anatomical atlas of the transcriptome in the mouse embryo. PLoS Biol. 2011;9(1):e1000582
Assay type: RNA in situ
MGI Accession ID: MGI:4828196
Gene symbol: Slc35a4
Gene name: solute carrier family 35, member A4
Probe: MGC clone 8198
Probe preparation: Antisense labelled with digoxigenin RNA
Visualized with: Alkaline phosphatase
Assay notes: Cryosections of fresh frozen material were fixed in 4% paraformaldehyde for 20 min. before further processing. A tyramide-biotin/streptavidin amplification step was included in the in situ hybridization procedure.
Results
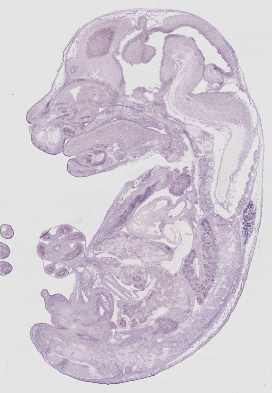
Specimen euxassay_004834_01: embryonic day 14.5 (more )
Structure Level Pattern Image Note
TS23: axial musculature Moderate Regionally restricted euxassay_004834_01
TS23: cranium Moderate Regionally restricted euxassay_004834_01

Specimen euxassay_004834_02: embryonic day 14.5 (more )
Structure Level Pattern Image Note
TS23: axial musculature Moderate Regionally restricted euxassay_004834_02
TS23: cranium Moderate Regionally restricted euxassay_004834_02

Specimen euxassay_004834_03: embryonic day 14.5 (more )
Structure Level Pattern Image Note
TS23: axial musculature Moderate Regionally restricted euxassay_004834_03
TS23: telencephalon ventricular layer Moderate Uniform euxassay_004834_03
TS23: cranium Moderate Regionally restricted euxassay_004834_03

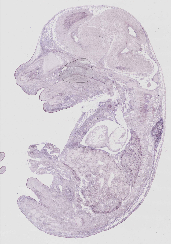
Specimen euxassay_004834_04: embryonic day 14.5 (more )
Structure Level Pattern Image Note
TS23: axial musculature Moderate Regionally restricted euxassay_004834_04
TS23: telencephalon ventricular layer Moderate Uniform euxassay_004834_04
TS23: cranium Weak Regionally restricted euxassay_004834_04

Specimen euxassay_004834_05: embryonic day 14.5 (more )
Structure Level Pattern Image Note
TS23: axial musculature Moderate Regionally restricted euxassay_004834_05
TS23: telencephalon ventricular layer Moderate Uniform euxassay_004834_05
TS23: cranium Weak Regionally restricted euxassay_004834_05

Specimen euxassay_004834_06: embryonic day 14.5 (more )
Structure Level Pattern Image Note
TS23: telencephalon ventricular layer Moderate Uniform euxassay_004834_06
TS23: cranium Weak Regionally restricted euxassay_004834_06

Specimen euxassay_004834_07: embryonic day 14.5 (more )
Structure Level Pattern Image Note
TS23: telencephalon ventricular layer Moderate Uniform euxassay_004834_07
TS23: cranium Moderate Regionally restricted euxassay_004834_07

Specimen euxassay_004834_08: embryonic day 14.5 (more )
Structure Level Pattern Image Note
TS23: telencephalon ventricular layer Moderate Uniform euxassay_004834_08
TS23: olfactory cortex ventricular layer Moderate Uniform euxassay_004834_08
TS23: cranium Moderate Regionally restricted euxassay_004834_08

Specimen euxassay_004834_09: embryonic day 14.5 (more )
Structure Level Pattern Image Note
TS23: cranium Moderate Regionally restricted euxassay_004834_09

Specimen euxassay_004834_10: embryonic day 14.5 (more )
Structure Level Pattern Image Note
TS23: telencephalon ventricular layer Moderate Uniform euxassay_004834_10

Specimen euxassay_004834_11: embryonic day 14.5 (more )
Structure Level Pattern Image Note
TS23: telencephalon ventricular layer Moderate Uniform euxassay_004834_11

Specimen euxassay_004834_12: embryonic day 14.5 (more )
Structure Level Pattern Image Note
TS23: olfactory cortex ventricular layer Moderate Uniform euxassay_004834_12
TS23: telencephalon ventricular layer Moderate Uniform euxassay_004834_12

Specimen euxassay_004834_13: embryonic day 14.5 (more )
Structure Level Pattern Image Note
TS23: olfactory cortex ventricular layer Moderate Uniform euxassay_004834_13
TS23: telencephalon ventricular layer Moderate Uniform euxassay_004834_13

Specimen euxassay_004834_14: embryonic day 14.5 (more )
Structure Level Pattern Image Note
TS23: axial musculature Moderate Regionally restricted euxassay_004834_14
TS23: telencephalon ventricular layer Moderate Uniform euxassay_004834_14

Specimen euxassay_004834_15: embryonic day 14.5 (more )
Structure Level Pattern Image Note
TS23: axial musculature Moderate Regionally restricted euxassay_004834_15

Specimen euxassay_004834_16: embryonic day 14.5 (more )
Structure Level Pattern Image Note
TS23: axial musculature Moderate Regionally restricted euxassay_004834_16
TS23: telencephalon ventricular layer Moderate Uniform euxassay_004834_16

Specimen euxassay_004834_17: embryonic day 14.5 (more )
Structure Level Pattern Image Note
TS23: axial musculature Moderate Regionally restricted euxassay_004834_17
TS23: telencephalon ventricular layer Moderate Uniform euxassay_004834_17

Specimen euxassay_004834_18: embryonic day 14.5 (more )
Structure Level Pattern Image Note
TS23: axial musculature Moderate Regionally restricted euxassay_004834_18
TS23: olfactory cortex ventricular layer Moderate Uniform euxassay_004834_18
TS23: telencephalon ventricular layer Moderate Uniform euxassay_004834_18

Specimen euxassay_004834_19: embryonic day 14.5 (more )
Structure Level Pattern Image Note
TS23: axial musculature Moderate Regionally restricted euxassay_004834_19
TS23: telencephalon ventricular layer Moderate Uniform euxassay_004834_19
TS23: olfactory cortex ventricular layer Moderate Uniform euxassay_004834_19

Specimen euxassay_004834_20: embryonic day 14.5 (more )
Structure Level Pattern Image Note
TS23: axial musculature Moderate Regionally restricted euxassay_004834_20
TS23: telencephalon ventricular layer Moderate Uniform euxassay_004834_20

Specimen euxassay_004834_21: embryonic day 14.5 (more )
Structure Level Pattern Image Note
TS23: axial musculature Moderate Regionally restricted euxassay_004834_21
TS23: telencephalon ventricular layer Moderate Uniform euxassay_004834_21

Specimen euxassay_004834_22: embryonic day 14.5 (more )
Structure Level Pattern Image Note
TS23: telencephalon ventricular layer Moderate Uniform euxassay_004834_22

Specimen euxassay_004834_23: embryonic day 14.5 (more )
Structure Level Pattern Image Note
TS23: telencephalon ventricular layer Moderate Uniform euxassay_004834_23
TS23: cranium Moderate Regionally restricted euxassay_004834_23

Specimen euxassay_004834_24: embryonic day 14.5 (more )
Structure Level Pattern Image Note
TS23: telencephalon ventricular layer Moderate Uniform euxassay_004834_24
TS23: cranium Moderate Regionally restricted euxassay_004834_24

Specimen euxassay_004834_25: embryonic day 14.5 (more )
Structure Level Pattern Image Note
TS23: cranium Moderate Regionally restricted euxassay_004834_25

Specimen euxassay_004834_26: embryonic day 14.5 (more )
Structure Level Pattern Image Note
TS23: cranium Moderate Regionally restricted euxassay_004834_26


Contributing Projects:
Mouse Genome Database (MGD), Gene Expression Database (GXD), Mouse Models of Human Cancer database (MMHCdb) (formerly Mouse Tumor Biology (MTB)), Gene Ontology (GO)
Citing These Resources
Funding Information
Warranty Disclaimer, Privacy Notice, Licensing, & Copyright
Send questions and comments to User Support.
last database update
01/06/2026
MGI 6.24
The Jackson Laboratory