About   Help   FAQ
Gene Expression Data
Assay Details
Assay
Reference: J:153498 Diez-Roux G, et al., A high-resolution anatomical atlas of the transcriptome in the mouse embryo. PLoS Biol. 2011;9(1):e1000582
Assay type: RNA in situ
MGI Accession ID: MGI:4828193
Gene symbol: Slc31a1
Gene name: solute carrier family 31, member 1
Probe: MGC clone 28108
Probe preparation: Antisense labelled with digoxigenin RNA
Visualized with: Alkaline phosphatase
Assay notes: Cryosections of fresh frozen material were fixed in 4% paraformaldehyde for 20 min. before further processing. A tyramide-biotin/streptavidin amplification step was included in the in situ hybridization procedure.
Results
Specimen Table S6: embryonic day 14.5 (more )
Note: The probe used to generate this data was not specified; another gene-specific probe may have been used.
Structure Level Pattern Image Note
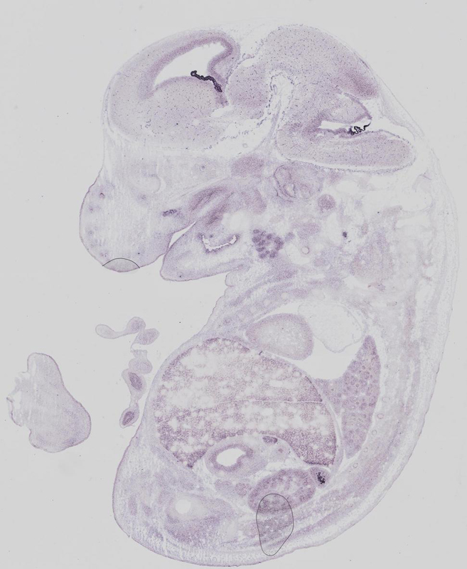
TS23: cerebral cortex Weak
TS23: blood vessel Moderate Regionally restricted Expression is present in the vasculature of the brain.
TS23: choroid plexus Strong

Specimen euxassay_004933_03: embryonic day 14.5 (more )
Structure Level Pattern Image Note
TS23: metencephalon part of 4th ventricle choroid plexus Strong Regionally restricted euxassay_004933_03
TS23: medulla oblongata part of 4th ventricle choroid plexus Strong Regionally restricted euxassay_004933_03

Specimen euxassay_004933_04: embryonic day 14.5 (more )
Structure Level Pattern Image Note
TS23: metencephalon part of 4th ventricle choroid plexus Strong Regionally restricted euxassay_004933_04
TS23: medulla oblongata part of 4th ventricle choroid plexus Strong Regionally restricted euxassay_004933_04

Specimen euxassay_004933_05: embryonic day 14.5 (more )
Structure Level Pattern Image Note
TS23: metencephalon part of 4th ventricle choroid plexus Strong Regionally restricted euxassay_004933_05
TS23: medulla oblongata part of 4th ventricle choroid plexus Strong Regionally restricted euxassay_004933_05

Specimen euxassay_004933_06: embryonic day 14.5 (more )
Structure Level Pattern Image Note
TS23: metencephalon part of 4th ventricle choroid plexus Strong Regionally restricted euxassay_004933_06
TS23: medulla oblongata part of 4th ventricle choroid plexus Strong Regionally restricted euxassay_004933_06
TS23: choroid invagination Strong Regionally restricted euxassay_004933_06

Specimen euxassay_004933_07: embryonic day 14.5 (more )
Structure Level Pattern Image Note
TS23: choroid invagination Strong Regionally restricted euxassay_004933_07
TS23: medulla oblongata part of 4th ventricle choroid plexus Strong Regionally restricted euxassay_004933_07
TS23: metencephalon part of 4th ventricle choroid plexus Strong Regionally restricted euxassay_004933_07
TS23: adrenal medulla Strong Regionally restricted euxassay_004933_07

Specimen euxassay_004933_08: embryonic day 14.5 (more )
Structure Level Pattern Image Note
TS23: metencephalon part of 4th ventricle choroid plexus Strong Regionally restricted euxassay_004933_08
TS23: medulla oblongata part of 4th ventricle choroid plexus Strong Regionally restricted euxassay_004933_08
TS23: choroid invagination Strong Regionally restricted euxassay_004933_08
TS23: cervical ganglion Strong Regionally restricted euxassay_004933_08
TS23: adrenal medulla Strong Regionally restricted euxassay_004933_08

Specimen euxassay_004933_09: embryonic day 14.5 (more )
Structure Level Pattern Image Note
TS23: choroid invagination Strong Regionally restricted euxassay_004933_09
TS23: medulla oblongata part of 4th ventricle choroid plexus Strong Regionally restricted euxassay_004933_09
TS23: metencephalon part of 4th ventricle choroid plexus Strong Regionally restricted euxassay_004933_09
TS23: cervico-thoracic ganglion Strong Regionally restricted euxassay_004933_09
TS23: cervical ganglion Strong Regionally restricted euxassay_004933_09
TS23: adrenal medulla Strong Regionally restricted euxassay_004933_09

Specimen euxassay_004933_10: embryonic day 14.5 (more )
Structure Level Pattern Image Note
TS23: choroid invagination Strong Regionally restricted euxassay_004933_10
TS23: medulla oblongata part of 4th ventricle choroid plexus Strong Regionally restricted euxassay_004933_10
TS23: metencephalon part of 4th ventricle choroid plexus Strong Regionally restricted euxassay_004933_10
TS23: thoracic ganglion Strong Regionally restricted euxassay_004933_10
TS23: cervico-thoracic ganglion Strong Regionally restricted euxassay_004933_10
TS23: upper jaw incisor Strong Regionally restricted euxassay_004933_10

Specimen euxassay_004933_11: embryonic day 14.5 (more )
Structure Level Pattern Image Note
TS23: choroid invagination Strong Regionally restricted euxassay_004933_11
TS23: medulla oblongata part of 4th ventricle choroid plexus Strong Regionally restricted euxassay_004933_11
TS23: metencephalon part of 4th ventricle choroid plexus Strong Regionally restricted euxassay_004933_11
TS23: thoracic ganglion Strong Regionally restricted euxassay_004933_11
TS23: upper jaw incisor Strong Regionally restricted euxassay_004933_11
TS23: lower jaw incisor Strong Regionally restricted euxassay_004933_11

Specimen euxassay_004933_12: embryonic day 14.5 (more )
Structure Level Pattern Image Note
TS23: metencephalon part of 4th ventricle choroid plexus Strong Regionally restricted euxassay_004933_12
TS23: medulla oblongata part of 4th ventricle choroid plexus Strong Regionally restricted euxassay_004933_12
TS23: diencephalon roof plate Strong Regionally restricted euxassay_004933_12
TS23: thoracic ganglion Strong Regionally restricted euxassay_004933_12

Specimen euxassay_004933_13: embryonic day 14.5 (more )
Structure Level Pattern Image Note
TS23: diencephalon roof plate Strong Regionally restricted euxassay_004933_13
TS23: medulla oblongata part of 4th ventricle choroid plexus Strong Regionally restricted euxassay_004933_13
TS23: metencephalon part of 4th ventricle choroid plexus Strong Regionally restricted euxassay_004933_13
TS23: thoracic ganglion Strong Regionally restricted euxassay_004933_13

Specimen euxassay_004933_14: embryonic day 14.5 (more )
Structure Level Pattern Image Note
TS23: metencephalon part of 4th ventricle choroid plexus Strong Regionally restricted euxassay_004933_14
TS23: medulla oblongata part of 4th ventricle choroid plexus Strong Regionally restricted euxassay_004933_14
TS23: cervico-thoracic ganglion Strong Regionally restricted euxassay_004933_14
TS23: thoracic ganglion Strong Regionally restricted euxassay_004933_14

Specimen euxassay_004933_15: embryonic day 14.5 (more )
Structure Level Pattern Image Note
TS23: metencephalon part of 4th ventricle choroid plexus Strong Regionally restricted euxassay_004933_15
TS23: medulla oblongata part of 4th ventricle choroid plexus Strong Regionally restricted euxassay_004933_15
TS23: choroid invagination Strong Regionally restricted euxassay_004933_15
TS23: cervico-thoracic ganglion Strong Regionally restricted euxassay_004933_15
TS23: adrenal medulla Strong Regionally restricted euxassay_004933_15
TS23: lower jaw incisor Strong Regionally restricted euxassay_004933_15
TS23: upper jaw incisor Strong Regionally restricted euxassay_004933_15

Specimen euxassay_004933_16: embryonic day 14.5 (more )
Structure Level Pattern Image Note
TS23: metencephalon part of 4th ventricle choroid plexus Strong Regionally restricted euxassay_004933_16
TS23: medulla oblongata part of 4th ventricle choroid plexus Strong Regionally restricted euxassay_004933_16
TS23: choroid invagination Strong Regionally restricted euxassay_004933_16
TS23: cervical ganglion Strong Regionally restricted euxassay_004933_16
TS23: cervico-thoracic ganglion Strong Regionally restricted euxassay_004933_16
TS23: adrenal medulla Strong Regionally restricted euxassay_004933_16
TS23: upper jaw incisor Strong Regionally restricted euxassay_004933_16

Specimen euxassay_004933_17: embryonic day 14.5 (more )
Structure Level Pattern Image Note
TS23: metencephalon part of 4th ventricle choroid plexus Strong Regionally restricted euxassay_004933_17
TS23: medulla oblongata part of 4th ventricle choroid plexus Strong Regionally restricted euxassay_004933_17
TS23: choroid invagination Strong Regionally restricted euxassay_004933_17
TS23: cervical ganglion Strong Regionally restricted euxassay_004933_17

Specimen euxassay_004933_18: embryonic day 14.5 (more )
Structure Level Pattern Image Note
TS23: metencephalon part of 4th ventricle choroid plexus Strong Regionally restricted euxassay_004933_18
TS23: medulla oblongata part of 4th ventricle choroid plexus Strong Regionally restricted euxassay_004933_18
TS23: choroid invagination Strong Regionally restricted euxassay_004933_18

Specimen euxassay_004933_19: embryonic day 14.5 (more )
Structure Level Pattern Image Note
TS23: metencephalon part of 4th ventricle choroid plexus Strong Regionally restricted euxassay_004933_19
TS23: medulla oblongata part of 4th ventricle choroid plexus Strong Regionally restricted euxassay_004933_19
TS23: choroid invagination Strong Regionally restricted euxassay_004933_19

Specimen euxassay_004933_20: embryonic day 14.5 (more )
Structure Level Pattern Image Note
TS23: metencephalon part of 4th ventricle choroid plexus Strong Regionally restricted euxassay_004933_20
TS23: medulla oblongata part of 4th ventricle choroid plexus Strong Regionally restricted euxassay_004933_20

Specimen euxassay_004933_21: embryonic day 14.5 (more )
Structure Level Pattern Image Note
TS23: metencephalon part of 4th ventricle choroid plexus Strong Regionally restricted euxassay_004933_21
TS23: medulla oblongata part of 4th ventricle choroid plexus Strong Regionally restricted euxassay_004933_21

Specimen euxassay_004933_22: embryonic day 14.5 (more )
Structure Level Pattern Image Note
TS23: metencephalon part of 4th ventricle choroid plexus Strong Regionally restricted euxassay_004933_22
TS23: medulla oblongata part of 4th ventricle choroid plexus Strong Regionally restricted euxassay_004933_22


Contributing Projects:
Mouse Genome Database (MGD), Gene Expression Database (GXD), Mouse Models of Human Cancer database (MMHCdb) (formerly Mouse Tumor Biology (MTB)), Gene Ontology (GO)
Citing These Resources
Funding Information
Warranty Disclaimer, Privacy Notice, Licensing, & Copyright
Send questions and comments to User Support.
last database update
03/24/2026
MGI 6.24
The Jackson Laboratory