About   Help   FAQ
Gene Expression Data
Assay Details
Assay
Reference: J:153498 Diez-Roux G, et al., A high-resolution anatomical atlas of the transcriptome in the mouse embryo. PLoS Biol. 2011;9(1):e1000582
Assay type: RNA in situ
MGI Accession ID: MGI:4828185
Gene symbol: Slc2a2
Gene name: solute carrier family 2 (facilitated glucose transporter), member 2
Probe: MGC clone 25413
Probe preparation: Antisense labelled with digoxigenin RNA
Visualized with: Alkaline phosphatase
Assay notes: Cryosections of fresh frozen material were fixed in 4% paraformaldehyde for 20 min. before further processing. A tyramide-biotin/streptavidin amplification step was included in the in situ hybridization procedure.
Results
Specimen euxassay_005057_01: embryonic day 14.5 (more )
Structure Level Pattern Image Note
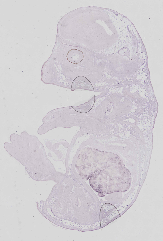
TS23: liver left lobe Strong Spotted euxassay_005057_01
TS23: renal calyx Strong Regionally restricted euxassay_005057_01

Specimen euxassay_005057_02: embryonic day 14.5 (more )
Structure Level Pattern Image Note
TS23: liver left lobe Strong Spotted euxassay_005057_02

Specimen euxassay_005057_03: embryonic day 14.5 (more )
Structure Level Pattern Image Note
TS23: liver left lobe Strong Spotted euxassay_005057_03

Specimen euxassay_005057_04: embryonic day 14.5 (more )
Structure Level Pattern Image Note
TS23: liver left lobe Strong Spotted euxassay_005057_04

Specimen euxassay_005057_05: embryonic day 14.5 (more )
Structure Level Pattern Image Note
TS23: liver left lobe Moderate Regionally restricted euxassay_005057_05

Specimen euxassay_005057_06: embryonic day 14.5 (more )
Structure Level Pattern Image Note
TS23: liver left lobe Weak Regionally restricted euxassay_005057_06

Specimen euxassay_005057_07: embryonic day 14.5 (more )
Structure Level Pattern Image Note
TS23: liver left lobe Weak Regionally restricted euxassay_005057_07

Specimen euxassay_005057_08: embryonic day 14.5 (more )
Structure Level Pattern Image Note
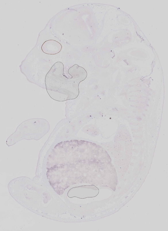
TS23: liver left lobe Weak Regionally restricted euxassay_005057_08
TS23: renal calyx Strong Regionally restricted euxassay_005057_08

Specimen euxassay_005057_09: embryonic day 14.5 (more )
Structure Level Pattern Image Note
TS23: liver left lobe Weak Regionally restricted euxassay_005057_09
TS23: renal calyx Strong Regionally restricted euxassay_005057_09

Specimen euxassay_005057_10: embryonic day 14.5 (more )
Structure Level Pattern Image Note
TS23: liver lobe Moderate Regionally restricted euxassay_005057_10
TS23: renal calyx Strong Regionally restricted euxassay_005057_10

Specimen euxassay_005057_11: embryonic day 14.5 (more )
Structure Level Pattern Image Note
TS23: liver lobe Moderate Regionally restricted euxassay_005057_11
TS23: renal calyx Strong Regionally restricted euxassay_005057_11

Specimen euxassay_005057_12: embryonic day 14.5 (more )
Structure Level Pattern Image Note
TS23: liver lobe Moderate Regionally restricted euxassay_005057_12

Specimen euxassay_005057_13: embryonic day 14.5 (more )
Structure Level Pattern Image Note
TS23: liver lobe Moderate Regionally restricted euxassay_005057_13

Specimen euxassay_005057_14: embryonic day 14.5 (more )
Structure Level Pattern Image Note
TS23: liver lobe Moderate Regionally restricted euxassay_005057_14

Specimen euxassay_005057_15: embryonic day 14.5 (more )
Structure Level Pattern Image Note
TS23: liver lobe Moderate Regionally restricted euxassay_005057_15

Specimen euxassay_005057_16: embryonic day 14.5 (more )
Structure Level Pattern Image Note
TS23: liver lobe Moderate Regionally restricted euxassay_005057_16

Specimen euxassay_005057_17: embryonic day 14.5 (more )
Structure Level Pattern Image Note
TS23: liver lobe Moderate Regionally restricted euxassay_005057_17

Specimen euxassay_005057_18: embryonic day 14.5 (more )
Structure Level Pattern Image Note
TS23: liver lobe Moderate Regionally restricted euxassay_005057_18

Specimen euxassay_005057_19: embryonic day 14.5 (more )
Structure Level Pattern Image Note
TS23: liver lobe Moderate Regionally restricted euxassay_005057_19

Specimen euxassay_005057_20: embryonic day 14.5 (more )
Structure Level Pattern Image Note
TS23: liver lobe Moderate Regionally restricted euxassay_005057_20

Specimen euxassay_005057_21: embryonic day 14.5 (more )
Structure Level Pattern Image Note
TS23: liver lobe Moderate Regionally restricted euxassay_005057_21
TS23: renal calyx Strong Regionally restricted euxassay_005057_21

Specimen euxassay_005057_22: embryonic day 14.5 (more )
Structure Level Pattern Image Note
TS23: liver lobe Moderate Regionally restricted euxassay_005057_22
TS23: renal calyx Strong Regionally restricted euxassay_005057_22


Contributing Projects:
Mouse Genome Database (MGD), Gene Expression Database (GXD), Mouse Models of Human Cancer database (MMHCdb) (formerly Mouse Tumor Biology (MTB)), Gene Ontology (GO)
Citing These Resources
Funding Information
Warranty Disclaimer, Privacy Notice, Licensing, & Copyright
Send questions and comments to User Support.
last database update
12/30/2025
MGI 6.24
The Jackson Laboratory