About   Help   FAQ
Gene Expression Data
Assay Details
Assay
Reference: J:153498 Diez-Roux G, et al., A high-resolution anatomical atlas of the transcriptome in the mouse embryo. PLoS Biol. 2011;9(1):e1000582
Assay type: RNA in situ
MGI Accession ID: MGI:4828179
Gene symbol: Slc2a1
Gene name: solute carrier family 2 (facilitated glucose transporter), member 1
Probe: T56001
Probe preparation: Antisense labelled with digoxigenin RNA
Visualized with: Alkaline phosphatase
Assay notes: Cryosections of fresh frozen material were fixed in 4% paraformaldehyde for 20 min. before further processing. A tyramide-biotin/streptavidin amplification step was included in the in situ hybridization procedure.
Results
Specimen Table S6: embryonic day 14.5 (more )
Note: The probe used to generate this data was not specified; it is possible another gene-specific probe was used.
Structure Level Pattern Image Note
TS23: blood vessel Strong Regionally restricted Expression is present in the vasculature of the brain.
TS23: brain meninges Strong

Specimen euxassay_019681_01: embryonic day 14.5 (more )
Structure Level Pattern Image Note
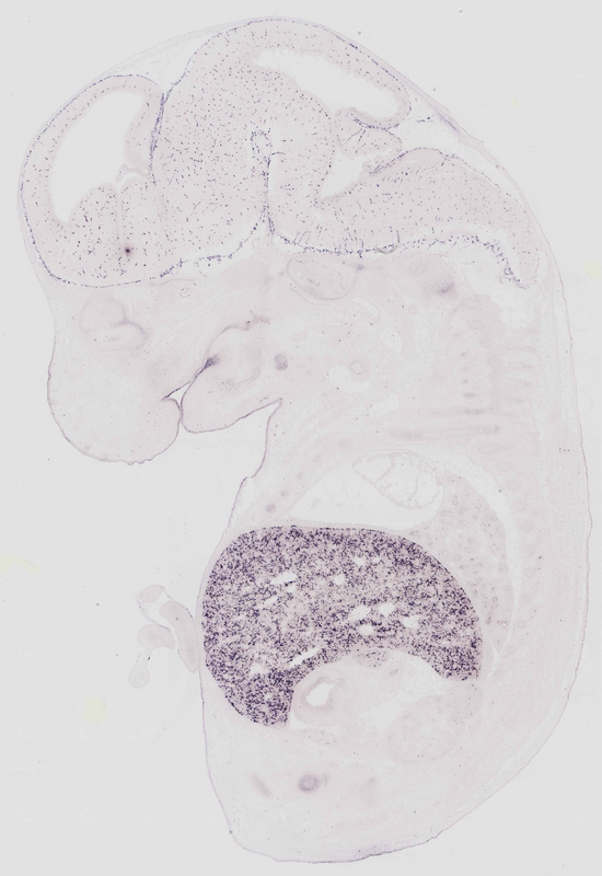
TS23: liver lobe Strong Regionally restricted euxassay_019681_01
TS23: neural retina Moderate Regionally restricted euxassay_019681_01
TS23: telencephalon meninges Moderate Regionally restricted euxassay_019681_01
TS23: brain Moderate Regionally restricted euxassay_019681_01

Specimen euxassay_019681_02: embryonic day 14.5 (more )
Structure Level Pattern Image Note
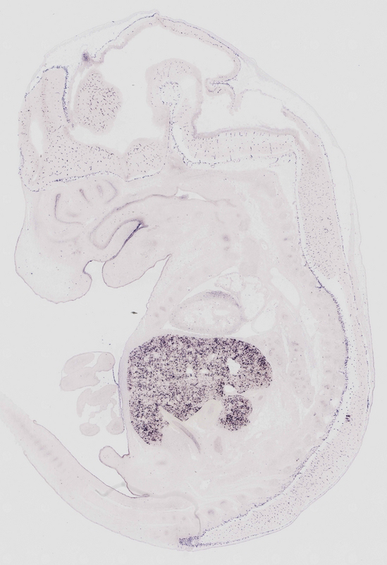
TS23: liver lobe Strong Regionally restricted euxassay_019681_02
TS23: neural retina Strong Regionally restricted euxassay_019681_02
TS23: telencephalon meninges Moderate Regionally restricted euxassay_019681_02
TS23: brain Moderate Regionally restricted euxassay_019681_02

Specimen euxassay_019681_03: embryonic day 14.5 (more )
Structure Level Pattern Image Note
TS23: liver lobe Strong Regionally restricted euxassay_019681_03
TS23: neural retina Strong Regionally restricted euxassay_019681_03
TS23: midbrain meninges Moderate Regionally restricted euxassay_019681_03
TS23: hindbrain meninges Moderate Regionally restricted euxassay_019681_03
TS23: telencephalon meninges Moderate Regionally restricted euxassay_019681_03
TS23: brain Moderate Regionally restricted euxassay_019681_03

Specimen euxassay_019681_04: embryonic day 14.5 (more )
Structure Level Pattern Image Note
TS23: liver lobe Strong Regionally restricted euxassay_019681_04
TS23: neural retina Strong Regionally restricted euxassay_019681_04
TS23: midbrain meninges Moderate Regionally restricted euxassay_019681_04
TS23: telencephalon meninges Moderate Regionally restricted euxassay_019681_04
TS23: hindbrain meninges Moderate Regionally restricted euxassay_019681_04
TS23: brain Moderate Regionally restricted euxassay_019681_04

Specimen euxassay_019681_05: embryonic day 14.5 (more )
Structure Level Pattern Image Note
TS23: liver lobe Strong Regionally restricted euxassay_019681_05
TS23: vibrissa Moderate Regionally restricted euxassay_019681_05
TS23: midbrain meninges Moderate Regionally restricted euxassay_019681_05
TS23: hindbrain meninges Moderate Regionally restricted euxassay_019681_05
TS23: telencephalon meninges Moderate Regionally restricted euxassay_019681_05
TS23: diencephalon meninges Moderate Regionally restricted euxassay_019681_05
TS23: brain Moderate Regionally restricted euxassay_019681_05

Specimen euxassay_019681_06: embryonic day 14.5 (more )
Structure Level Pattern Image Note
TS23: liver lobe Strong Regionally restricted euxassay_019681_06
TS23: vibrissa Weak Regionally restricted euxassay_019681_06
TS23: upper jaw molar Moderate Regionally restricted euxassay_019681_06
TS23: midbrain meninges Moderate Regionally restricted euxassay_019681_06
TS23: hindbrain meninges Moderate Regionally restricted euxassay_019681_06
TS23: telencephalon meninges Moderate Regionally restricted euxassay_019681_06
TS23: diencephalon meninges Moderate Regionally restricted euxassay_019681_06
TS23: brain Moderate Regionally restricted euxassay_019681_06

Specimen euxassay_019681_07: embryonic day 14.5 (more )
Structure Level Pattern Image Note
TS23: liver lobe Strong Regionally restricted euxassay_019681_07
TS23: lower jaw molar Moderate Regionally restricted euxassay_019681_07
TS23: midbrain meninges Moderate Regionally restricted euxassay_019681_07
TS23: hindbrain meninges Moderate Regionally restricted euxassay_019681_07
TS23: telencephalon meninges Moderate Regionally restricted euxassay_019681_07
TS23: diencephalon meninges Moderate Regionally restricted euxassay_019681_07
TS23: brain Moderate Regionally restricted euxassay_019681_07

Specimen euxassay_019681_08: embryonic day 14.5 (more )
Structure Level Pattern Image Note
TS23: liver lobe Strong Regionally restricted euxassay_019681_08
TS23: midbrain meninges Moderate Regionally restricted euxassay_019681_08
TS23: hindbrain meninges Moderate Regionally restricted euxassay_019681_08
TS23: telencephalon meninges Moderate Regionally restricted euxassay_019681_08
TS23: diencephalon meninges Moderate Regionally restricted euxassay_019681_08
TS23: spinal cord meninges Moderate Regionally restricted euxassay_019681_08
TS23: brain Moderate Regionally restricted euxassay_019681_08

Specimen euxassay_019681_09: embryonic day 14.5 (more )
Structure Level Pattern Image Note
TS23: liver lobe Strong Regionally restricted euxassay_019681_09
TS23: midbrain meninges Moderate Regionally restricted euxassay_019681_09
TS23: hindbrain meninges Moderate Regionally restricted euxassay_019681_09
TS23: telencephalon meninges Moderate Regionally restricted euxassay_019681_09
TS23: diencephalon meninges Moderate Regionally restricted euxassay_019681_09
TS23: spinal cord meninges Moderate Regionally restricted euxassay_019681_09
TS23: brain Moderate Regionally restricted euxassay_019681_09
TS23: spinal cord Moderate Regionally restricted euxassay_019681_09

Specimen euxassay_019681_10: embryonic day 14.5 (more )
Structure Level Pattern Image Note
TS23: liver lobe Strong Regionally restricted euxassay_019681_10
TS23: olfactory epithelium Weak Regionally restricted euxassay_019681_10
TS23: midbrain meninges Moderate Regionally restricted euxassay_019681_10
TS23: hindbrain meninges Moderate Regionally restricted euxassay_019681_10
TS23: telencephalon meninges Moderate Regionally restricted euxassay_019681_10
TS23: diencephalon meninges Moderate Regionally restricted euxassay_019681_10
TS23: spinal cord meninges Moderate Regionally restricted euxassay_019681_10
TS23: spinal cord Moderate Regionally restricted euxassay_019681_10
TS23: brain Moderate Regionally restricted euxassay_019681_10

Specimen euxassay_019681_11: embryonic day 14.5 (more )
Structure Level Pattern Image Note
TS23: liver lobe Strong Regionally restricted euxassay_019681_11
TS23: olfactory epithelium Weak Regionally restricted euxassay_019681_11
TS23: midbrain meninges Moderate Regionally restricted euxassay_019681_11
TS23: hindbrain meninges Moderate Regionally restricted euxassay_019681_11
TS23: telencephalon meninges Moderate Regionally restricted euxassay_019681_11
TS23: diencephalon meninges Moderate Regionally restricted euxassay_019681_11
TS23: spinal cord meninges Moderate Regionally restricted euxassay_019681_11
TS23: spinal cord Moderate Regionally restricted euxassay_019681_11
TS23: brain Moderate Regionally restricted euxassay_019681_11

Specimen euxassay_019681_12: embryonic day 14.5 (more )
Structure Level Pattern Image Note
TS23: liver lobe Strong Regionally restricted euxassay_019681_12
TS23: olfactory epithelium Moderate Regionally restricted euxassay_019681_12
TS23: lower jaw incisor Weak Regionally restricted euxassay_019681_12
TS23: upper jaw incisor Weak Regionally restricted euxassay_019681_12
TS23: midbrain meninges Moderate Regionally restricted euxassay_019681_12
TS23: hindbrain meninges Moderate Regionally restricted euxassay_019681_12
TS23: telencephalon meninges Moderate Regionally restricted euxassay_019681_12
TS23: diencephalon meninges Moderate Regionally restricted euxassay_019681_12
TS23: spinal cord meninges Weak Regionally restricted euxassay_019681_12
TS23: axial skeleton tail region Weak Regionally restricted euxassay_019681_12
TS23: spinal cord Moderate Regionally restricted euxassay_019681_12
TS23: brain Moderate Regionally restricted euxassay_019681_12

Specimen euxassay_019681_13: embryonic day 14.5 (more )
Structure Level Pattern Image Note
TS23: liver lobe Strong Regionally restricted euxassay_019681_13
TS23: olfactory epithelium Weak Regionally restricted euxassay_019681_13
TS23: upper jaw incisor Strong Regionally restricted euxassay_019681_13
TS23: lower jaw incisor Strong Regionally restricted euxassay_019681_13
TS23: midbrain meninges Moderate Regionally restricted euxassay_019681_13
TS23: hindbrain meninges Moderate Regionally restricted euxassay_019681_13
TS23: telencephalon meninges Moderate Regionally restricted euxassay_019681_13
TS23: diencephalon meninges Moderate Regionally restricted euxassay_019681_13
TS23: spinal cord meninges Weak Regionally restricted euxassay_019681_13
TS23: heart valve Moderate Regionally restricted euxassay_019681_13
TS23: axial skeleton tail region Moderate Regionally restricted euxassay_019681_13
TS23: nucleus pulposus Strong Regionally restricted euxassay_019681_13
TS23: spinal cord Moderate Regionally restricted euxassay_019681_13
TS23: brain Moderate Regionally restricted euxassay_019681_13
TS23: rectum Weak Regionally restricted euxassay_019681_13

Specimen euxassay_019681_14: embryonic day 14.5 (more )
Structure Level Pattern Image Note
TS23: liver lobe Strong Regionally restricted euxassay_019681_14
TS23: olfactory epithelium Weak Regionally restricted euxassay_019681_14
TS23: upper jaw incisor Strong Regionally restricted euxassay_019681_14
TS23: lower jaw incisor Strong Regionally restricted euxassay_019681_14
TS23: midbrain meninges Moderate Regionally restricted euxassay_019681_14
TS23: hindbrain meninges Moderate Regionally restricted euxassay_019681_14
TS23: telencephalon meninges Moderate Regionally restricted euxassay_019681_14
TS23: diencephalon meninges Moderate Regionally restricted euxassay_019681_14
TS23: spinal cord meninges Moderate Regionally restricted euxassay_019681_14
TS23: heart valve Moderate Regionally restricted euxassay_019681_14
TS23: nucleus pulposus Weak Regionally restricted euxassay_019681_14
TS23: spinal cord Moderate Regionally restricted euxassay_019681_14
TS23: brain Moderate Regionally restricted euxassay_019681_14

Specimen euxassay_019681_15: embryonic day 14.5 (more )
Structure Level Pattern Image Note
TS23: liver lobe Strong Regionally restricted euxassay_019681_15
TS23: olfactory epithelium Weak Regionally restricted euxassay_019681_15
TS23: midbrain meninges Moderate Regionally restricted euxassay_019681_15
TS23: hindbrain meninges Moderate Regionally restricted euxassay_019681_15
TS23: telencephalon meninges Moderate Regionally restricted euxassay_019681_15
TS23: diencephalon meninges Moderate Regionally restricted euxassay_019681_15
TS23: spinal cord meninges Moderate Regionally restricted euxassay_019681_15
TS23: heart valve Weak Regionally restricted euxassay_019681_15
TS23: brain Moderate Regionally restricted euxassay_019681_15
TS23: spinal cord Moderate Regionally restricted euxassay_019681_15

Specimen euxassay_019681_16: embryonic day 14.5 (more )
Structure Level Pattern Image Note
TS23: liver lobe Strong Regionally restricted euxassay_019681_16
TS23: olfactory epithelium Weak Regionally restricted euxassay_019681_16
TS23: midbrain meninges Moderate Regionally restricted euxassay_019681_16
TS23: hindbrain meninges Moderate Regionally restricted euxassay_019681_16
TS23: telencephalon meninges Moderate Regionally restricted euxassay_019681_16
TS23: diencephalon meninges Moderate Regionally restricted euxassay_019681_16
TS23: spinal cord meninges Moderate Regionally restricted euxassay_019681_16
TS23: heart valve Weak Regionally restricted euxassay_019681_16
TS23: brain Moderate Regionally restricted euxassay_019681_16
TS23: spinal cord Moderate Regionally restricted euxassay_019681_16

Specimen euxassay_019681_17: embryonic day 14.5 (more )
Structure Level Pattern Image Note
TS23: liver lobe Strong Regionally restricted euxassay_019681_17
TS23: olfactory epithelium Weak Regionally restricted euxassay_019681_17
TS23: upper jaw incisor Strong Regionally restricted euxassay_019681_17
TS23: lower jaw incisor Strong Regionally restricted euxassay_019681_17
TS23: midbrain meninges Moderate Regionally restricted euxassay_019681_17
TS23: hindbrain meninges Moderate Regionally restricted euxassay_019681_17
TS23: telencephalon meninges Moderate Regionally restricted euxassay_019681_17
TS23: diencephalon meninges Moderate Regionally restricted euxassay_019681_17
TS23: brain Moderate Regionally restricted euxassay_019681_17

Specimen euxassay_019681_18: embryonic day 14.5 (more )
Structure Level Pattern Image Note
TS23: liver lobe Strong Regionally restricted euxassay_019681_18
TS23: upper jaw incisor Moderate Regionally restricted euxassay_019681_18
TS23: lower jaw incisor Moderate Regionally restricted euxassay_019681_18
TS23: hindbrain meninges Moderate Regionally restricted euxassay_019681_18
TS23: midbrain meninges Moderate Regionally restricted euxassay_019681_18
TS23: telencephalon meninges Moderate Regionally restricted euxassay_019681_18
TS23: brain Moderate Regionally restricted euxassay_019681_18

Specimen euxassay_019681_19: embryonic day 14.5 (more )
Structure Level Pattern Image Note
TS23: liver lobe Strong Regionally restricted euxassay_019681_19
TS23: hindbrain meninges Moderate Regionally restricted euxassay_019681_19
TS23: telencephalon meninges Moderate Regionally restricted euxassay_019681_19
TS23: brain Moderate Regionally restricted euxassay_019681_19

Specimen euxassay_019681_20: embryonic day 14.5 (more )
Structure Level Pattern Image Note
TS23: liver lobe Strong Regionally restricted euxassay_019681_20
TS23: upper jaw molar Moderate Regionally restricted euxassay_019681_20
TS23: lower jaw molar Moderate Regionally restricted euxassay_019681_20
TS23: telencephalon meninges Moderate Regionally restricted euxassay_019681_20
TS23: hindbrain meninges Moderate Regionally restricted euxassay_019681_20
TS23: brain Moderate Regionally restricted euxassay_019681_20

Specimen euxassay_019681_21: embryonic day 14.5 (more )
Structure Level Pattern Image Note
TS23: liver lobe Strong Regionally restricted euxassay_019681_21
TS23: upper jaw molar Moderate Regionally restricted euxassay_019681_21
TS23: telencephalon meninges Moderate Regionally restricted euxassay_019681_21
TS23: brain Moderate Regionally restricted euxassay_019681_21

Specimen euxassay_019681_22: embryonic day 14.5 (more )
Structure Level Pattern Image Note
TS23: liver lobe Strong Regionally restricted euxassay_019681_22
TS23: neural retina Strong Regionally restricted euxassay_019681_22
TS23: telencephalon meninges Moderate Regionally restricted euxassay_019681_22
TS23: brain Moderate Regionally restricted euxassay_019681_22

Specimen euxassay_019681_23: embryonic day 14.5 (more )
Structure Level Pattern Image Note
TS23: liver lobe Strong Regionally restricted euxassay_019681_23
TS23: neural retina Strong Regionally restricted euxassay_019681_23
TS23: telencephalon meninges Moderate Regionally restricted euxassay_019681_23
TS23: brain Moderate Regionally restricted euxassay_019681_23

Specimen euxassay_019681_24: embryonic day 14.5 (more )
Structure Level Pattern Image Note
TS23: liver lobe Strong Regionally restricted euxassay_019681_24
TS23: neural retina Strong Regionally restricted euxassay_019681_24
TS23: vibrissa Weak Regionally restricted euxassay_019681_24
TS23: telencephalon meninges Moderate Regionally restricted euxassay_019681_24
TS23: brain Moderate Regionally restricted euxassay_019681_24


Contributing Projects:
Mouse Genome Database (MGD), Gene Expression Database (GXD), Mouse Models of Human Cancer database (MMHCdb) (formerly Mouse Tumor Biology (MTB)), Gene Ontology (GO)
Citing These Resources
Funding Information
Warranty Disclaimer, Privacy Notice, Licensing, & Copyright
Send questions and comments to User Support.
last database update
12/30/2025
MGI 6.24
The Jackson Laboratory