About   Help   FAQ
Gene Expression Data
Assay Details
Assay
Reference: J:153498 Diez-Roux G, et al., A high-resolution anatomical atlas of the transcriptome in the mouse embryo. PLoS Biol. 2011;9(1):e1000582
Assay type: RNA in situ
MGI Accession ID: MGI:4828169
Gene symbol: Slc27a1
Gene name: solute carrier family 27 (fatty acid transporter), member 1
Probe: T30252
Probe preparation: Antisense labelled with digoxigenin RNA
Visualized with: Alkaline phosphatase
Assay notes: Cryosections of fresh frozen material were fixed in 4% paraformaldehyde for 20 min. before further processing. A tyramide-biotin/streptavidin amplification step was included in the in situ hybridization procedure.
Results
Specimen Table S6: embryonic day 14.5 (more )
Note: The probe used to generate this data was not specified; another gene-specific probe may have been used.
Structure Level Pattern Image Note
TS23: cerebral cortex Moderate
TS23: thalamus Moderate
TS23: cerebellum Strong
TS23: hypothalamus Strong
TS23: medulla oblongata Strong
TS23: midbrain Strong
TS23: pons Strong
TS23: choroid plexus Weak

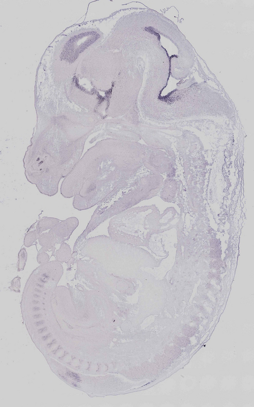
Specimen euxassay_010364_01: embryonic day 14.5 (more )
Structure Level Pattern Image Note
TS23: ear Moderate Regionally restricted euxassay_010364_01

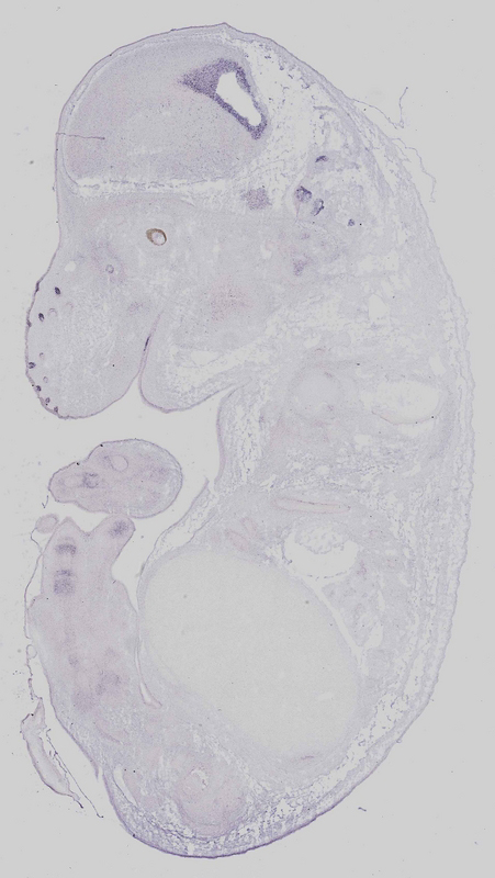
Specimen euxassay_010364_02: embryonic day 14.5 (more )
Structure Level Pattern Image Note
TS23: telencephalon ventricular layer Strong Regionally restricted euxassay_010364_02
TS23: ear Moderate Regionally restricted euxassay_010364_02

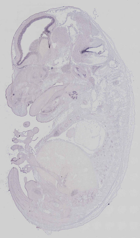
Specimen euxassay_010364_03: embryonic day 14.5 (more )
Structure Level Pattern Image Note
TS23: trigeminal ganglion Moderate Regionally restricted euxassay_010364_03
TS23: telencephalon ventricular layer Strong Regionally restricted euxassay_010364_03
TS23: metencephalon part of 4th ventricle choroid plexus Strong Regionally restricted euxassay_010364_03
TS23: pons ventricular layer Strong Regionally restricted euxassay_010364_03
TS23: rest of cerebellum ventricular layer Strong Regionally restricted euxassay_010364_03
TS23: ear Moderate Regionally restricted euxassay_010364_03

Specimen euxassay_010364_04: embryonic day 14.5 (more )
Structure Level Pattern Image Note
TS23: trigeminal ganglion Moderate Regionally restricted euxassay_010364_04
TS23: facial ganglion Moderate Regionally restricted euxassay_010364_04
TS23: forelimb digit 3 phalanx Moderate Regionally restricted euxassay_010364_04
TS23: telencephalon ventricular layer Strong Regionally restricted euxassay_010364_04
TS23: rest of cerebellum ventricular layer Strong Regionally restricted euxassay_010364_04
TS23: pons ventricular layer Strong Regionally restricted euxassay_010364_04
TS23: metencephalon part of 4th ventricle choroid plexus Strong Regionally restricted euxassay_010364_04

Specimen euxassay_010364_05: embryonic day 14.5 (more )
Structure Level Pattern Image Note
TS23: vibrissa Strong Regionally restricted euxassay_010364_05
TS23: trigeminal ganglion Weak Regionally restricted euxassay_010364_05
TS23: facial ganglion Weak Regionally restricted euxassay_010364_05
TS23: ovary Moderate Regionally restricted euxassay_010364_05
TS23: telencephalon ventricular layer Strong Regionally restricted euxassay_010364_05
TS23: medulla oblongata alar plate ventricular layer Strong Regionally restricted euxassay_010364_05
TS23: rest of cerebellum ventricular layer Strong Regionally restricted euxassay_010364_05
TS23: pons ventricular layer Strong Regionally restricted euxassay_010364_05

Specimen euxassay_010364_06: embryonic day 14.5 (more )
Structure Level Pattern Image Note
TS23: vibrissa Strong Regionally restricted euxassay_010364_06
TS23: dorsal root ganglion Moderate Regionally restricted euxassay_010364_06
TS23: trigeminal ganglion Weak Regionally restricted euxassay_010364_06
TS23: glossopharyngeal ganglion Moderate Regionally restricted euxassay_010364_06
TS23: vestibulo-cochlear ganglion Moderate Regionally restricted euxassay_010364_06
TS23: ovary Moderate Regionally restricted euxassay_010364_06
TS23: stomach mesentery Moderate Regionally restricted euxassay_010364_06
TS23: telencephalon ventricular layer Strong Regionally restricted euxassay_010364_06
TS23: pons ventricular layer Strong Regionally restricted euxassay_010364_06
TS23: rest of cerebellum ventricular layer Strong Regionally restricted euxassay_010364_06
TS23: medulla oblongata alar plate ventricular layer Strong Regionally restricted euxassay_010364_06

Specimen euxassay_010364_07: embryonic day 14.5 (more )
Structure Level Pattern Image Note
TS23: vibrissa Strong Regionally restricted euxassay_010364_07
TS23: submandibular gland primordium Moderate Regionally restricted euxassay_010364_07
TS23: dorsal root ganglion Moderate Regionally restricted euxassay_010364_07
TS23: vestibulo-cochlear ganglion Moderate Regionally restricted euxassay_010364_07
TS23: trigeminal ganglion Weak Regionally restricted euxassay_010364_07
TS23: facial ganglion Weak Regionally restricted euxassay_010364_07
TS23: vagus ganglion Weak Regionally restricted euxassay_010364_07
TS23: ovary Moderate Regionally restricted euxassay_010364_07
TS23: stomach mesentery Moderate Regionally restricted euxassay_010364_07
TS23: midbrain ventricular layer Strong Regionally restricted euxassay_010364_07
TS23: telencephalon ventricular layer Strong Regionally restricted euxassay_010364_07
TS23: medulla oblongata basal plate ventricular layer Strong Regionally restricted euxassay_010364_07
TS23: rest of cerebellum ventricular layer Strong Regionally restricted euxassay_010364_07
TS23: pons ventricular layer Strong Regionally restricted euxassay_010364_07

Specimen euxassay_010364_08: embryonic day 14.5 (more )
Structure Level Pattern Image Note
TS23: vibrissa Strong Regionally restricted euxassay_010364_08
TS23: submandibular gland primordium Moderate Regionally restricted euxassay_010364_08
TS23: lower jaw molar Moderate Regionally restricted euxassay_010364_08
TS23: upper jaw molar Moderate Regionally restricted euxassay_010364_08
TS23: dorsal root ganglion Moderate Regionally restricted euxassay_010364_08
TS23: trigeminal ganglion Weak Regionally restricted euxassay_010364_08
TS23: vestibulo-cochlear ganglion Moderate Regionally restricted euxassay_010364_08
TS23: stomach mesentery Moderate Regionally restricted euxassay_010364_08
TS23: midbrain ventricular layer Strong Regionally restricted euxassay_010364_08
TS23: telencephalon ventricular layer Strong Regionally restricted euxassay_010364_08
TS23: medulla oblongata alar plate ventricular layer Strong Regionally restricted euxassay_010364_08
TS23: rest of cerebellum ventricular layer Strong Regionally restricted euxassay_010364_08
TS23: pons ventricular layer Strong Regionally restricted euxassay_010364_08

Specimen euxassay_010364_09: embryonic day 14.5 (more )
Structure Level Pattern Image Note
TS23: vibrissa Strong Regionally restricted euxassay_010364_09
TS23: submandibular gland primordium Moderate Regionally restricted euxassay_010364_09
TS23: hindlimb digit 3 phalanx Moderate Regionally restricted euxassay_010364_09
TS23: stomach mesentery Moderate Regionally restricted euxassay_010364_09
TS23: pancreas Moderate Regionally restricted euxassay_010364_09
TS23: midbrain ventricular layer Strong Regionally restricted euxassay_010364_09
TS23: telencephalon ventricular layer Strong Regionally restricted euxassay_010364_09
TS23: pons ventricular layer Strong Regionally restricted euxassay_010364_09
TS23: rest of cerebellum ventricular layer Strong Regionally restricted euxassay_010364_09
TS23: medulla oblongata alar plate ventricular layer Strong Regionally restricted euxassay_010364_09
TS23: medulla oblongata basal plate ventricular layer Strong Regionally restricted euxassay_010364_09
TS23: spinal cord ventricular layer Strong Regionally restricted euxassay_010364_09

Specimen euxassay_010364_10: embryonic day 14.5 (more )
Structure Level Pattern Image Note
TS23: submandibular gland primordium Moderate Regionally restricted euxassay_010364_10
TS23: heart valve Moderate Regionally restricted euxassay_010364_10
TS23: hindlimb digit 3 phalanx Moderate Regionally restricted euxassay_010364_10
TS23: stomach mesentery Moderate Regionally restricted euxassay_010364_10
TS23: pancreas Weak Regionally restricted euxassay_010364_10
TS23: midbrain ventricular layer Strong Regionally restricted euxassay_010364_10
TS23: telencephalon ventricular layer Strong Regionally restricted euxassay_010364_10
TS23: medulla oblongata alar plate ventricular layer Strong Regionally restricted euxassay_010364_10
TS23: medulla oblongata basal plate ventricular layer Strong Regionally restricted euxassay_010364_10
TS23: rest of cerebellum ventricular layer Strong Regionally restricted euxassay_010364_10
TS23: pons ventricular layer Strong Regionally restricted euxassay_010364_10
TS23: spinal cord ventricular layer Strong Regionally restricted euxassay_010364_10

Specimen euxassay_010364_11: embryonic day 14.5 (more )
Structure Level Pattern Image Note
TS23: heart valve Weak Regionally restricted euxassay_010364_11
TS23: hindlimb digit 3 phalanx Moderate Regionally restricted euxassay_010364_11
TS23: hindlimb digit 4 phalanx Moderate Regionally restricted euxassay_010364_11
TS23: pancreas Weak Regionally restricted euxassay_010364_11
TS23: diencephalon lateral wall ventricular layer Strong Regionally restricted euxassay_010364_11
TS23: olfactory cortex ventricular layer Strong Regionally restricted euxassay_010364_11
TS23: telencephalon ventricular layer Strong Regionally restricted euxassay_010364_11
TS23: midbrain ventricular layer Strong Regionally restricted euxassay_010364_11
TS23: medulla oblongata basal plate ventricular layer Strong Regionally restricted euxassay_010364_11
TS23: medulla oblongata alar plate ventricular layer Strong Regionally restricted euxassay_010364_11
TS23: rest of cerebellum ventricular layer Strong Regionally restricted euxassay_010364_11
TS23: pons ventricular layer Strong Regionally restricted euxassay_010364_11
TS23: spinal cord ventricular layer Strong Regionally restricted euxassay_010364_11

Specimen euxassay_010364_12: embryonic day 14.5 (more )
Structure Level Pattern Image Note
TS23: lower jaw incisor Moderate Regionally restricted euxassay_010364_12
TS23: upper jaw incisor Moderate Regionally restricted euxassay_010364_12
TS23: heart valve Weak Regionally restricted euxassay_010364_12
TS23: diencephalon lateral wall ventricular layer Strong Regionally restricted euxassay_010364_12
TS23: olfactory cortex ventricular layer Strong Regionally restricted euxassay_010364_12
TS23: telencephalon ventricular layer Strong Regionally restricted euxassay_010364_12
TS23: midbrain ventricular layer Strong Regionally restricted euxassay_010364_12
TS23: medulla oblongata basal plate ventricular layer Strong Regionally restricted euxassay_010364_12
TS23: medulla oblongata alar plate ventricular layer Strong Regionally restricted euxassay_010364_12
TS23: rest of cerebellum ventricular layer Strong Regionally restricted euxassay_010364_12
TS23: pons ventricular layer Strong Regionally restricted euxassay_010364_12
TS23: spinal cord ventricular layer Strong Regionally restricted euxassay_010364_12

Specimen euxassay_010364_13: embryonic day 14.5 (more )
Structure Level Pattern Image Note
TS23: heart valve Moderate Regionally restricted euxassay_010364_13
TS23: olfactory cortex ventricular layer Strong Regionally restricted euxassay_010364_13
TS23: midbrain ventricular layer Strong Regionally restricted euxassay_010364_13
TS23: diencephalon lateral wall ventricular layer Strong Regionally restricted euxassay_010364_13
TS23: medulla oblongata basal plate ventricular layer Strong Regionally restricted euxassay_010364_13
TS23: medulla oblongata alar plate ventricular layer Strong Regionally restricted euxassay_010364_13
TS23: rest of cerebellum ventricular layer Strong Regionally restricted euxassay_010364_13
TS23: pons ventricular layer Strong Regionally restricted euxassay_010364_13

Specimen euxassay_010364_14: embryonic day 14.5 (more )
Structure Level Pattern Image Note
TS23: dorsal root ganglion Weak Regionally restricted euxassay_010364_14
TS23: axial skeleton tail region Moderate Regionally restricted euxassay_010364_14
TS23: midbrain ventricular layer Strong Regionally restricted euxassay_010364_14
TS23: olfactory cortex ventricular layer Strong Regionally restricted euxassay_010364_14
TS23: medulla oblongata alar plate ventricular layer Strong Regionally restricted euxassay_010364_14
TS23: rest of cerebellum ventricular layer Strong Regionally restricted euxassay_010364_14
TS23: pons ventricular layer Strong Regionally restricted euxassay_010364_14

Specimen euxassay_010364_15: embryonic day 14.5 (more )
Structure Level Pattern Image Note
TS23: dorsal root ganglion Moderate Regionally restricted euxassay_010364_15
TS23: axial skeleton tail region Moderate Regionally restricted euxassay_010364_15
TS23: olfactory cortex ventricular layer Strong Regionally restricted euxassay_010364_15
TS23: telencephalon ventricular layer Strong Regionally restricted euxassay_010364_15
TS23: midbrain ventricular layer Strong Regionally restricted euxassay_010364_15
TS23: medulla oblongata alar plate ventricular layer Strong Regionally restricted euxassay_010364_15
TS23: rest of cerebellum ventricular layer Strong Regionally restricted euxassay_010364_15
TS23: pons ventricular layer Strong Regionally restricted euxassay_010364_15

Specimen euxassay_010364_16: embryonic day 14.5 (more )
Structure Level Pattern Image Note
TS23: submandibular gland primordium Moderate Regionally restricted euxassay_010364_16
TS23: vestibulo-cochlear ganglion Moderate Regionally restricted euxassay_010364_16
TS23: telencephalon ventricular layer Strong Regionally restricted euxassay_010364_16
TS23: olfactory cortex ventricular layer Strong Regionally restricted euxassay_010364_16
TS23: medulla oblongata alar plate ventricular layer Strong Regionally restricted euxassay_010364_16
TS23: rest of cerebellum ventricular layer Strong Regionally restricted euxassay_010364_16
TS23: pons ventricular layer Strong Regionally restricted euxassay_010364_16

Specimen euxassay_010364_17: embryonic day 14.5 (more )
Structure Level Pattern Image Note
TS23: submandibular gland primordium Moderate Regionally restricted euxassay_010364_17
TS23: vestibulo-cochlear ganglion Moderate Regionally restricted euxassay_010364_17
TS23: trigeminal ganglion Weak Regionally restricted euxassay_010364_17
TS23: glossopharyngeal ganglion Weak Regionally restricted euxassay_010364_17
TS23: vagus ganglion Weak Regionally restricted euxassay_010364_17
TS23: ovary Moderate Regionally restricted euxassay_010364_17
TS23: telencephalon ventricular layer Strong Regionally restricted euxassay_010364_17
TS23: olfactory cortex ventricular layer Strong Regionally restricted euxassay_010364_17
TS23: medulla oblongata alar plate ventricular layer Strong Regionally restricted euxassay_010364_17
TS23: rest of cerebellum ventricular layer Strong Regionally restricted euxassay_010364_17
TS23: pons ventricular layer Strong Regionally restricted euxassay_010364_17

Specimen euxassay_010364_18: embryonic day 14.5 (more )
Structure Level Pattern Image Note
TS23: submandibular gland primordium Moderate Regionally restricted euxassay_010364_18
TS23: trigeminal ganglion Weak Regionally restricted euxassay_010364_18
TS23: vestibulo-cochlear ganglion Moderate Regionally restricted euxassay_010364_18
TS23: ovary Moderate Regionally restricted euxassay_010364_18
TS23: telencephalon ventricular layer Strong Regionally restricted euxassay_010364_18
TS23: medulla oblongata alar plate ventricular layer Strong Regionally restricted euxassay_010364_18
TS23: rest of cerebellum ventricular layer Strong Regionally restricted euxassay_010364_18
TS23: pons ventricular layer Strong Regionally restricted euxassay_010364_18

Specimen euxassay_010364_19: embryonic day 14.5 (more )
Structure Level Pattern Image Note
TS23: submandibular gland primordium Moderate Regionally restricted euxassay_010364_19
TS23: upper jaw molar Moderate Regionally restricted euxassay_010364_19
TS23: lower jaw molar Moderate Regionally restricted euxassay_010364_19
TS23: vestibulo-cochlear ganglion Moderate Regionally restricted euxassay_010364_19
TS23: trigeminal ganglion Weak Regionally restricted euxassay_010364_19
TS23: ovary Moderate Regionally restricted euxassay_010364_19
TS23: telencephalon ventricular layer Strong Regionally restricted euxassay_010364_19
TS23: rest of cerebellum ventricular layer Strong Regionally restricted euxassay_010364_19
TS23: pons ventricular layer Strong Regionally restricted euxassay_010364_19

Specimen euxassay_010364_20: embryonic day 14.5 (more )
Structure Level Pattern Image Note
TS23: vibrissa Strong Regionally restricted euxassay_010364_20
TS23: submandibular gland primordium Moderate Regionally restricted euxassay_010364_20
TS23: upper jaw molar Moderate Regionally restricted euxassay_010364_20
TS23: trigeminal ganglion Weak Regionally restricted euxassay_010364_20
TS23: facial ganglion Weak Regionally restricted euxassay_010364_20
TS23: vestibulo-cochlear ganglion Moderate Regionally restricted euxassay_010364_20
TS23: telencephalon ventricular layer Strong Regionally restricted euxassay_010364_20
TS23: rest of cerebellum ventricular layer Strong Regionally restricted euxassay_010364_20
TS23: pons ventricular layer Strong Regionally restricted euxassay_010364_20
TS23: metencephalon part of 4th ventricle choroid plexus Strong Regionally restricted euxassay_010364_20

Specimen euxassay_010364_21: embryonic day 14.5 (more )
Structure Level Pattern Image Note
TS23: vibrissa Strong Regionally restricted euxassay_010364_21
TS23: vestibulo-cochlear ganglion Moderate Regionally restricted euxassay_010364_21
TS23: trigeminal ganglion Weak Regionally restricted euxassay_010364_21
TS23: hindlimb digit 4 phalanx Moderate Regionally restricted euxassay_010364_21
TS23: hindlimb digit 3 phalanx Moderate Regionally restricted euxassay_010364_21
TS23: forelimb digit 4 phalanx Moderate Regionally restricted euxassay_010364_21
TS23: forelimb digit 3 phalanx Moderate Regionally restricted euxassay_010364_21
TS23: forelimb digit 2 phalanx Moderate Regionally restricted euxassay_010364_21
TS23: telencephalon ventricular layer Strong Regionally restricted euxassay_010364_21

Specimen euxassay_010364_22: embryonic day 14.5 (more )
Structure Level Pattern Image Note
TS23: vibrissa Strong Regionally restricted euxassay_010364_22
TS23: trigeminal ganglion Weak Regionally restricted euxassay_010364_22
TS23: forelimb digit 2 phalanx Moderate Regionally restricted euxassay_010364_22
TS23: forelimb digit 3 phalanx Moderate Regionally restricted euxassay_010364_22
TS23: forelimb digit 4 phalanx Moderate Regionally restricted euxassay_010364_22
TS23: telencephalon ventricular layer Strong Regionally restricted euxassay_010364_22
TS23: ear Moderate Regionally restricted euxassay_010364_22

Specimen euxassay_010364_23: embryonic day 14.5 (more )
Structure Level Pattern Image Note
TS23: vibrissa Strong Regionally restricted euxassay_010364_23
TS23: forelimb digit 2 phalanx Moderate Regionally restricted euxassay_010364_23
TS23: forelimb digit 3 phalanx Moderate Regionally restricted euxassay_010364_23
TS23: forelimb digit 4 phalanx Moderate Regionally restricted euxassay_010364_23
TS23: hindlimb digit 3 phalanx Moderate Regionally restricted euxassay_010364_23
TS23: hindlimb digit 4 phalanx Moderate Regionally restricted euxassay_010364_23
TS23: tail mesenchyme Strong Regionally restricted euxassay_010364_23
TS23: telencephalon ventricular layer Strong Regionally restricted euxassay_010364_23
TS23: ear Moderate Regionally restricted euxassay_010364_23

Specimen euxassay_010364_24: embryonic day 14.5 (more )
Structure Level Pattern Image Note
TS23: vibrissa Strong Regionally restricted euxassay_010364_24


Contributing Projects:
Mouse Genome Database (MGD), Gene Expression Database (GXD), Mouse Models of Human Cancer database (MMHCdb) (formerly Mouse Tumor Biology (MTB)), Gene Ontology (GO)
Citing These Resources
Funding Information
Warranty Disclaimer, Privacy Notice, Licensing, & Copyright
Send questions and comments to User Support.
last database update
03/24/2026
MGI 6.24
The Jackson Laboratory