About   Help   FAQ
Gene Expression Data
Assay Details
Assay
Reference: J:153498 Diez-Roux G, et al., A high-resolution anatomical atlas of the transcriptome in the mouse embryo. PLoS Biol. 2011;9(1):e1000582
Assay type: RNA in situ
MGI Accession ID: MGI:4828160
Gene symbol: Slc25a39
Gene name: solute carrier family 25, member 39
Probe: T56042
Probe preparation: Antisense labelled with digoxigenin RNA
Visualized with: Alkaline phosphatase
Assay notes: Cryosections of fresh frozen material were fixed in 4% paraformaldehyde for 20 min. before further processing. A tyramide-biotin/streptavidin amplification step was included in the in situ hybridization procedure.
Results
Specimen euxassay_019719_01: embryonic day 14.5 (more )
Structure Level Pattern Image Note
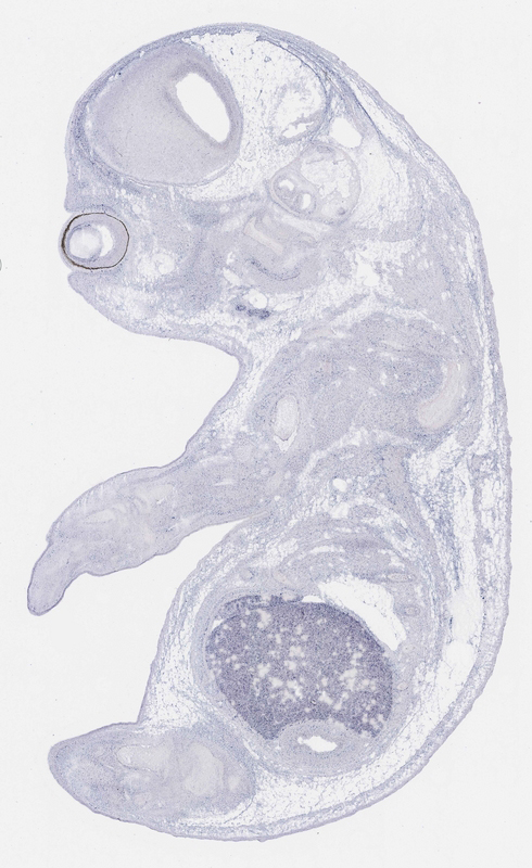
TS23: liver lobe Moderate Regionally restricted euxassay_019719_01

Specimen euxassay_019719_02: embryonic day 14.5 (more )
Structure Level Pattern Image Note
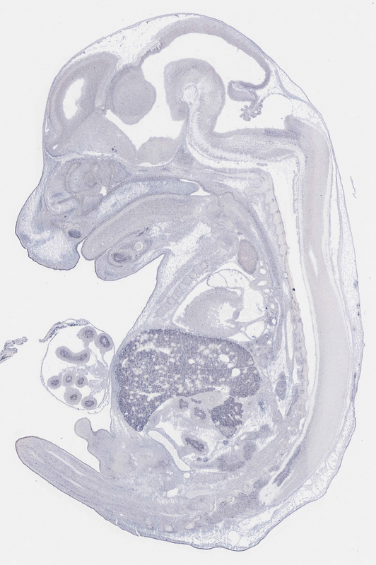
TS23: liver lobe Moderate Regionally restricted euxassay_019719_02

Specimen euxassay_019719_03: embryonic day 14.5 (more )
Structure Level Pattern Image Note
TS23: liver lobe Moderate Regionally restricted euxassay_019719_03

Specimen euxassay_019719_04: embryonic day 14.5 (more )
Structure Level Pattern Image Note
TS23: liver lobe Moderate Regionally restricted euxassay_019719_04
TS23: axial musculature Weak Regionally restricted euxassay_019719_04

Specimen euxassay_019719_05: embryonic day 14.5 (more )
Structure Level Pattern Image Note
TS23: liver lobe Moderate Regionally restricted euxassay_019719_05
TS23: axial musculature Weak Regionally restricted euxassay_019719_05

Specimen euxassay_019719_06: embryonic day 14.5 (more )
Structure Level Pattern Image Note
TS23: liver lobe Moderate Regionally restricted euxassay_019719_06
TS23: axial musculature Weak Regionally restricted euxassay_019719_06

Specimen euxassay_019719_07: embryonic day 14.5 (more )
Structure Level Pattern Image Note
TS23: liver lobe Moderate Regionally restricted euxassay_019719_07
TS23: axial musculature Weak Regionally restricted euxassay_019719_07
TS23: testis Weak Regionally restricted euxassay_019719_07

Specimen euxassay_019719_08: embryonic day 14.5 (more )
Structure Level Pattern Image Note
TS23: liver lobe Moderate Regionally restricted euxassay_019719_08
TS23: submandibular gland primordium Weak Regionally restricted euxassay_019719_08
TS23: testis Weak Regionally restricted euxassay_019719_08
TS23: midgut Weak Regionally restricted euxassay_019719_08

Specimen euxassay_019719_09: embryonic day 14.5 (more )
Structure Level Pattern Image Note
TS23: liver lobe Moderate Regionally restricted euxassay_019719_09
TS23: submandibular gland primordium Moderate Regionally restricted euxassay_019719_09
TS23: upper jaw molar Moderate Regionally restricted euxassay_019719_09
TS23: lower jaw molar Moderate Regionally restricted euxassay_019719_09
TS23: midgut Weak Regionally restricted euxassay_019719_09
TS23: pancreas Weak Regionally restricted euxassay_019719_09

Specimen euxassay_019719_10: embryonic day 14.5 (more )
Structure Level Pattern Image Note
TS23: liver lobe Moderate Regionally restricted euxassay_019719_10
TS23: submandibular gland primordium Weak Regionally restricted euxassay_019719_10
TS23: adrenal gland Moderate Regionally restricted euxassay_019719_10
TS23: midgut Weak Regionally restricted euxassay_019719_10
TS23: pancreas Weak Regionally restricted euxassay_019719_10

Specimen euxassay_019719_11: embryonic day 14.5 (more )
Structure Level Pattern Image Note
TS23: liver lobe Moderate Regionally restricted euxassay_019719_11
TS23: submandibular gland primordium Weak Regionally restricted euxassay_019719_11
TS23: adrenal gland Moderate Regionally restricted euxassay_019719_11
TS23: midgut Weak Regionally restricted euxassay_019719_11
TS23: pancreas Weak Regionally restricted euxassay_019719_11

Specimen euxassay_019719_12: embryonic day 14.5 (more )
Structure Level Pattern Image Note
TS23: liver lobe Weak Regionally restricted euxassay_019719_12
TS23: adrenal gland Weak Regionally restricted euxassay_019719_12
TS23: midgut Weak Regionally restricted euxassay_019719_12
TS23: pancreas Weak Regionally restricted euxassay_019719_12

Specimen euxassay_019719_13: embryonic day 14.5 (more )
Structure Level Pattern Image Note
TS23: liver lobe Moderate Regionally restricted euxassay_019719_13
TS23: upper jaw incisor Moderate Regionally restricted euxassay_019719_13
TS23: lower jaw incisor Moderate Regionally restricted euxassay_019719_13
TS23: midgut Moderate Regionally restricted euxassay_019719_13

Specimen euxassay_019719_14: embryonic day 14.5 (more )
Structure Level Pattern Image Note
TS23: liver lobe Moderate Regionally restricted euxassay_019719_14
TS23: upper jaw incisor Weak Regionally restricted euxassay_019719_14
TS23: lower jaw incisor Weak Regionally restricted euxassay_019719_14
TS23: midgut Moderate Regionally restricted euxassay_019719_14

Specimen euxassay_019719_15: embryonic day 14.5 (more )
Structure Level Pattern Image Note
TS23: liver lobe Moderate Regionally restricted euxassay_019719_15
TS23: midgut Moderate Regionally restricted euxassay_019719_15

Specimen euxassay_019719_16: embryonic day 14.5 (more )
Structure Level Pattern Image Note
TS23: liver lobe Moderate Regionally restricted euxassay_019719_16
TS23: midgut Moderate Regionally restricted euxassay_019719_16

Specimen euxassay_019719_17: embryonic day 14.5 (more )
Structure Level Pattern Image Note
TS23: liver lobe Moderate Regionally restricted euxassay_019719_17
TS23: lower jaw incisor Moderate Regionally restricted euxassay_019719_17
TS23: midgut Moderate Regionally restricted euxassay_019719_17

Specimen euxassay_019719_18: embryonic day 14.5 (more )
Structure Level Pattern Image Note
TS23: liver lobe Moderate Regionally restricted euxassay_019719_18
TS23: upper jaw incisor Moderate Regionally restricted euxassay_019719_18
TS23: lower jaw incisor Moderate Regionally restricted euxassay_019719_18
TS23: midgut Moderate Regionally restricted euxassay_019719_18

Specimen euxassay_019719_19: embryonic day 14.5 (more )
Structure Level Pattern Image Note
TS23: liver lobe Moderate Regionally restricted euxassay_019719_19
TS23: axial musculature Weak Regionally restricted euxassay_019719_19
TS23: submandibular gland primordium Moderate Regionally restricted euxassay_019719_19
TS23: adrenal gland Moderate Regionally restricted euxassay_019719_19
TS23: upper jaw incisor Moderate Regionally restricted euxassay_019719_19
TS23: lower jaw incisor Moderate Regionally restricted euxassay_019719_19
TS23: midgut Moderate Regionally restricted euxassay_019719_19

Specimen euxassay_019719_20: embryonic day 14.5 (more )
Structure Level Pattern Image Note
TS23: liver lobe Moderate Regionally restricted euxassay_019719_20
TS23: axial musculature Weak Regionally restricted euxassay_019719_20
TS23: submandibular gland primordium Moderate Regionally restricted euxassay_019719_20
TS23: adrenal gland Weak Regionally restricted euxassay_019719_20
TS23: upper jaw molar Moderate Regionally restricted euxassay_019719_20
TS23: lower jaw molar Moderate Regionally restricted euxassay_019719_20
TS23: midgut Moderate Regionally restricted euxassay_019719_20

Specimen euxassay_019719_21: embryonic day 14.5 (more )
Structure Level Pattern Image Note
TS23: liver lobe Moderate Regionally restricted euxassay_019719_21
TS23: axial musculature Weak Regionally restricted euxassay_019719_21
TS23: submandibular gland primordium Weak Regionally restricted euxassay_019719_21
TS23: adrenal gland Weak Regionally restricted euxassay_019719_21

Specimen euxassay_019719_22: embryonic day 14.5 (more )
Structure Level Pattern Image Note
TS23: liver lobe Moderate Regionally restricted euxassay_019719_22
TS23: axial musculature Weak Regionally restricted euxassay_019719_22
TS23: submandibular gland primordium Weak Regionally restricted euxassay_019719_22
TS23: testis Weak Regionally restricted euxassay_019719_22

Specimen euxassay_019719_23: embryonic day 14.5 (more )
Structure Level Pattern Image Note
TS23: liver lobe Moderate Regionally restricted euxassay_019719_23
TS23: axial musculature Weak Regionally restricted euxassay_019719_23
TS23: testis Weak Regionally restricted euxassay_019719_23

Specimen euxassay_019719_24: embryonic day 14.5 (more )
Structure Level Pattern Image Note
TS23: liver lobe Moderate Regionally restricted euxassay_019719_24


Contributing Projects:
Mouse Genome Database (MGD), Gene Expression Database (GXD), Mouse Models of Human Cancer database (MMHCdb) (formerly Mouse Tumor Biology (MTB)), Gene Ontology (GO)
Citing These Resources
Funding Information
Warranty Disclaimer, Privacy Notice, Licensing, & Copyright
Send questions and comments to User Support.
last database update
12/30/2025
MGI 6.24
The Jackson Laboratory