About   Help   FAQ
Gene Expression Data
Assay Details
Assay
Reference: J:153498 Diez-Roux G, et al., A high-resolution anatomical atlas of the transcriptome in the mouse embryo. PLoS Biol. 2011;9(1):e1000582
Assay type: RNA in situ
MGI Accession ID: MGI:4828115
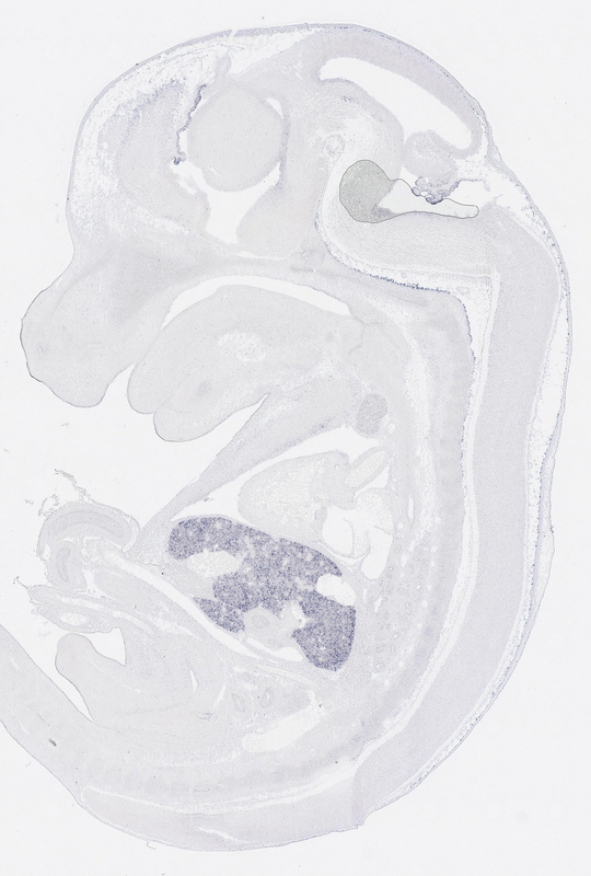
Gene symbol: Slc16a6
Gene name: solute carrier family 16 (monocarboxylic acid transporters), member 6
Probe: MGC clone 27628
Probe preparation: Antisense labelled with digoxigenin RNA
Visualized with: Alkaline phosphatase
Assay notes: Cryosections of fresh frozen material were fixed in 4% paraformaldehyde for 20 min. before further processing. A tyramide-biotin/streptavidin amplification step was included in the in situ hybridization procedure.
Results
Specimen Table S6: embryonic day 14.5 (more )
Note: The probe used to generate this data was not specified; another gene-specific probe may have been used.
Structure Level Pattern Image Note
TS23: brain meninges Moderate
TS23: choroid plexus Moderate

Specimen euxassay_001014_01: embryonic day 14.5 (more )
Structure Level Pattern Image Note
TS23: liver lobe Moderate Uniform euxassay_001014_01

Specimen euxassay_001014_02: embryonic day 14.5 (more )
Structure Level Pattern Image Note
TS23: liver lobe Moderate Uniform euxassay_001014_02

Specimen euxassay_001014_03: embryonic day 14.5 (more )
Structure Level Pattern Image Note
TS23: liver lobe Moderate Uniform euxassay_001014_03

Specimen euxassay_001014_04: embryonic day 14.5 (more )
Structure Level Pattern Image Note
TS23: liver lobe Moderate Uniform euxassay_001014_04

Specimen euxassay_001014_05: embryonic day 14.5 (more )
Structure Level Pattern Image Note
TS23: liver lobe Moderate Uniform euxassay_001014_05

Specimen euxassay_001014_06: embryonic day 14.5 (more )
Structure Level Pattern Image Note
TS23: liver lobe Moderate Uniform euxassay_001014_06

Specimen euxassay_001014_07: embryonic day 14.5 (more )
Structure Level Pattern Image Note
TS23: liver lobe Moderate Uniform euxassay_001014_07

Specimen euxassay_001014_08: embryonic day 14.5 (more )
Structure Level Pattern Image Note
TS23: liver lobe Moderate Uniform euxassay_001014_08

Specimen euxassay_001014_09: embryonic day 14.5 (more )
Structure Level Pattern Image Note
TS23: liver lobe Moderate Uniform euxassay_001014_09

Specimen euxassay_001014_10: embryonic day 14.5 (more )
Structure Level Pattern Image Note
TS23: liver lobe Moderate Uniform euxassay_001014_10

Specimen euxassay_001014_11: embryonic day 14.5 (more )
Structure Level Pattern Image Note
TS23: liver lobe Moderate Uniform euxassay_001014_11

Specimen euxassay_001014_12: embryonic day 14.5 (more )
Structure Level Pattern Image Note
TS23: liver lobe Moderate Uniform euxassay_001014_12

Specimen euxassay_001014_13: embryonic day 14.5 (more )
Structure Level Pattern Image Note
TS23: liver lobe Moderate Uniform euxassay_001014_13

Specimen euxassay_001014_14: embryonic day 14.5 (more )
Structure Level Pattern Image Note
TS23: liver lobe Moderate Uniform euxassay_001014_14

Specimen euxassay_001014_15: embryonic day 14.5 (more )
Structure Level Pattern Image Note
TS23: liver lobe Moderate Uniform euxassay_001014_15

Specimen euxassay_001014_16: embryonic day 14.5 (more )
Structure Level Pattern Image Note
TS23: liver lobe Moderate Uniform euxassay_001014_16

Specimen euxassay_001014_17: embryonic day 14.5 (more )
Structure Level Pattern Image Note
TS23: liver lobe Moderate Uniform euxassay_001014_17

Specimen euxassay_001014_18: embryonic day 14.5 (more )
Structure Level Pattern Image Note
TS23: liver lobe Moderate Uniform euxassay_001014_18

Specimen euxassay_001014_19: embryonic day 14.5 (more )
Structure Level Pattern Image Note
TS23: liver lobe Moderate Uniform euxassay_001014_19

Specimen euxassay_001014_20: embryonic day 14.5 (more )
Structure Level Pattern Image Note
TS23: liver lobe Moderate Uniform euxassay_001014_20

Specimen euxassay_001014_21: embryonic day 14.5 (more )
Structure Level Pattern Image Note
TS23: liver lobe Moderate Uniform euxassay_001014_21

Specimen euxassay_001014_22: embryonic day 14.5 (more )
Structure Level Pattern Image Note
TS23: liver lobe Moderate Uniform euxassay_001014_22

Specimen euxassay_001014_23: embryonic day 14.5 (more )
Structure Level Pattern Image Note
TS23: liver lobe Moderate Uniform euxassay_001014_23

Specimen euxassay_001014_24: embryonic day 14.5 (more )
Structure Level Pattern Image Note
TS23: liver lobe Moderate Uniform euxassay_001014_24


Contributing Projects:
Mouse Genome Database (MGD), Gene Expression Database (GXD), Mouse Models of Human Cancer database (MMHCdb) (formerly Mouse Tumor Biology (MTB)), Gene Ontology (GO)
Citing These Resources
Funding Information
Warranty Disclaimer, Privacy Notice, Licensing, & Copyright
Send questions and comments to User Support.
last database update
01/06/2026
MGI 6.24
The Jackson Laboratory