About   Help   FAQ
Gene Expression Data
Assay Details
Assay
Reference: J:153498 Diez-Roux G, et al., A high-resolution anatomical atlas of the transcriptome in the mouse embryo. PLoS Biol. 2011;9(1):e1000582
Assay type: RNA in situ
MGI Accession ID: MGI:4828114
Gene symbol: Slc16a6
Gene name: solute carrier family 16 (monocarboxylic acid transporters), member 6
Probe: MGC clone 27628
Probe preparation: Antisense labelled with digoxigenin RNA
Visualized with: Alkaline phosphatase
Assay notes: Cryosections of fresh frozen material were fixed in 4% paraformaldehyde for 20 min. before further processing. A tyramide-biotin/streptavidin amplification step was included in the in situ hybridization procedure.
Results
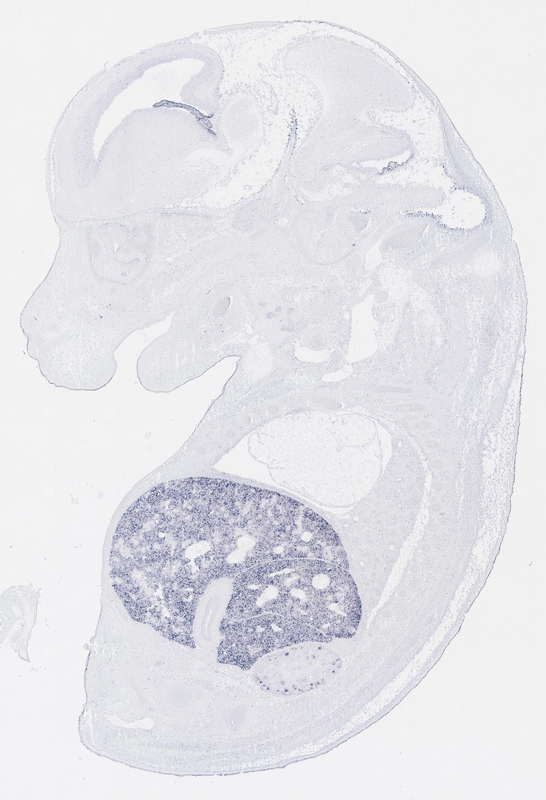
Specimen euxassay_002932_01: embryonic day 14.5 (more )
Structure Level Pattern Image Note
TS23: liver lobe Strong Regionally restricted euxassay_002932_01

Specimen euxassay_002932_02: embryonic day 14.5 (more )
Structure Level Pattern Image Note
TS23: liver lobe Strong Regionally restricted euxassay_002932_02

Specimen euxassay_002932_03: embryonic day 14.5 (more )
Structure Level Pattern Image Note
TS23: liver lobe Strong Regionally restricted euxassay_002932_03

Specimen euxassay_002932_04: embryonic day 14.5 (more )
Structure Level Pattern Image Note
TS23: liver lobe Strong Regionally restricted euxassay_002932_04

Specimen euxassay_002932_05: embryonic day 14.5 (more )
Structure Level Pattern Image Note
TS23: liver lobe Strong Regionally restricted euxassay_002932_05

Specimen euxassay_002932_06: embryonic day 14.5 (more )
Structure Level Pattern Image Note
TS23: liver lobe Strong Regionally restricted euxassay_002932_06
TS23: vibrissa Weak Regionally restricted euxassay_002932_06
TS23: 4th ventricle lateral recess Weak Regionally restricted euxassay_002932_06

Specimen euxassay_002932_07: embryonic day 14.5 (more )
Structure Level Pattern Image Note
TS23: liver lobe Strong Regionally restricted euxassay_002932_07
TS23: vibrissa Weak Regionally restricted euxassay_002932_07
TS23: renal calyx Weak Regionally restricted euxassay_002932_07
TS23: lateral ventricle choroid plexus Weak Regionally restricted euxassay_002932_07
TS23: 4th ventricle lateral recess Weak Regionally restricted euxassay_002932_07

Specimen euxassay_002932_08: embryonic day 14.5 (more )
Structure Level Pattern Image Note
TS23: liver lobe Strong Regionally restricted euxassay_002932_08
TS23: vibrissa Weak Regionally restricted euxassay_002932_08
TS23: renal calyx Weak Regionally restricted euxassay_002932_08
TS23: lateral ventricle choroid plexus Moderate Regionally restricted euxassay_002932_08
TS23: 4th ventricle lateral recess Moderate Regionally restricted euxassay_002932_08

Specimen euxassay_002932_09: embryonic day 14.5 (more )
Structure Level Pattern Image Note
TS23: liver lobe Strong Regionally restricted euxassay_002932_09
TS23: renal calyx Weak Regionally restricted euxassay_002932_09
TS23: lateral ventricle choroid plexus Moderate Regionally restricted euxassay_002932_09

Specimen euxassay_002932_10: embryonic day 14.5 (more )
Structure Level Pattern Image Note
TS23: liver lobe Strong Regionally restricted euxassay_002932_10
TS23: renal calyx Moderate Regionally restricted euxassay_002932_10
TS23: lateral ventricle choroid plexus Moderate Regionally restricted euxassay_002932_10

Specimen euxassay_002932_11: embryonic day 14.5 (more )
Structure Level Pattern Image Note
TS23: liver lobe Strong Regionally restricted euxassay_002932_11
TS23: renal calyx Moderate Regionally restricted euxassay_002932_11
TS23: lateral ventricle choroid plexus Moderate Regionally restricted euxassay_002932_11

Specimen euxassay_002932_12: embryonic day 14.5 (more )
Structure Level Pattern Image Note
TS23: liver lobe Strong Regionally restricted euxassay_002932_12
TS23: lateral ventricle choroid plexus Weak Regionally restricted euxassay_002932_12
TS23: 4th ventricle lateral recess Weak Regionally restricted euxassay_002932_12

Specimen euxassay_002932_13: embryonic day 14.5 (more )
Structure Level Pattern Image Note
TS23: liver lobe Strong Regionally restricted euxassay_002932_13
TS23: lateral ventricle choroid plexus Moderate Regionally restricted euxassay_002932_13

Specimen euxassay_002932_14: embryonic day 14.5 (more )
Structure Level Pattern Image Note
TS23: liver lobe Strong Regionally restricted euxassay_002932_14
TS23: lateral ventricle choroid plexus Moderate Regionally restricted euxassay_002932_14

Specimen euxassay_002932_15: embryonic day 14.5 (more )
Structure Level Pattern Image Note
TS23: liver lobe Strong Regionally restricted euxassay_002932_15
TS23: lateral ventricle choroid plexus Moderate Regionally restricted euxassay_002932_15

Specimen euxassay_002932_16: embryonic day 14.5 (more )
Structure Level Pattern Image Note
TS23: liver lobe Strong Regionally restricted euxassay_002932_16
TS23: lateral ventricle choroid plexus Moderate Regionally restricted euxassay_002932_16

Specimen euxassay_002932_17: embryonic day 14.5 (more )
Structure Level Pattern Image Note
TS23: liver lobe Strong Regionally restricted euxassay_002932_17
TS23: lateral ventricle choroid plexus Moderate Regionally restricted euxassay_002932_17

Specimen euxassay_002932_18: embryonic day 14.5 (more )
Structure Level Pattern Image Note
TS23: liver lobe Strong Regionally restricted euxassay_002932_18
TS23: renal calyx Moderate Regionally restricted euxassay_002932_18
TS23: lateral ventricle choroid plexus Moderate Regionally restricted euxassay_002932_18

Specimen euxassay_002932_19: embryonic day 14.5 (more )
Structure Level Pattern Image Note
TS23: liver lobe Strong Regionally restricted euxassay_002932_19
TS23: renal calyx Moderate Regionally restricted euxassay_002932_19
TS23: 4th ventricle lateral recess Moderate Regionally restricted euxassay_002932_19
TS23: lateral ventricle choroid plexus Moderate Regionally restricted euxassay_002932_19

Specimen euxassay_002932_20: embryonic day 14.5 (more )
Structure Level Pattern Image Note
TS23: liver lobe Strong Regionally restricted euxassay_002932_20
TS23: renal calyx Moderate Regionally restricted euxassay_002932_20
TS23: 4th ventricle lateral recess Moderate Regionally restricted euxassay_002932_20
TS23: lateral ventricle choroid plexus Moderate Regionally restricted euxassay_002932_20

Specimen euxassay_002932_21: embryonic day 14.5 (more )
Structure Level Pattern Image Note
TS23: liver lobe Strong Regionally restricted euxassay_002932_21
TS23: renal calyx Moderate Regionally restricted euxassay_002932_21
TS23: 4th ventricle lateral recess Moderate Regionally restricted euxassay_002932_21
TS23: lateral ventricle choroid plexus Moderate Regionally restricted euxassay_002932_21

Specimen euxassay_002932_22: embryonic day 14.5 (more )
Structure Level Pattern Image Note
TS23: liver lobe Strong Regionally restricted euxassay_002932_22
TS23: vibrissa Strong Regionally restricted euxassay_002932_22
TS23: renal calyx Moderate Regionally restricted euxassay_002932_22
TS23: 4th ventricle lateral recess Moderate Regionally restricted euxassay_002932_22

Specimen euxassay_002932_23: embryonic day 14.5 (more )
Structure Level Pattern Image Note
TS23: liver lobe Strong Regionally restricted euxassay_002932_23
TS23: vibrissa Strong Regionally restricted euxassay_002932_23
TS23: 4th ventricle lateral recess Moderate Regionally restricted euxassay_002932_23

Specimen euxassay_002932_24: embryonic day 14.5 (more )
Structure Level Pattern Image Note
TS23: liver lobe Strong Regionally restricted euxassay_002932_24
TS23: vibrissa Strong Regionally restricted euxassay_002932_24


Contributing Projects:
Mouse Genome Database (MGD), Gene Expression Database (GXD), Mouse Models of Human Cancer database (MMHCdb) (formerly Mouse Tumor Biology (MTB)), Gene Ontology (GO)
Citing These Resources
Funding Information
Warranty Disclaimer, Privacy Notice, Licensing, & Copyright
Send questions and comments to User Support.
last database update
12/30/2025
MGI 6.24
The Jackson Laboratory