About   Help   FAQ
Gene Expression Data
Assay Details
Assay
Reference: J:153498 Diez-Roux G, et al., A high-resolution anatomical atlas of the transcriptome in the mouse embryo. PLoS Biol. 2011;9(1):e1000582
Assay type: RNA in situ
MGI Accession ID: MGI:4828109
Gene symbol: Slc16a12
Gene name: solute carrier family 16 (monocarboxylic acid transporters), member 12
Probe: T56020
Probe preparation: Antisense labelled with digoxigenin RNA
Visualized with: Alkaline phosphatase
Assay notes: Cryosections of fresh frozen material were fixed in 4% paraformaldehyde for 20 min. before further processing. A tyramide-biotin/streptavidin amplification step was included in the in situ hybridization procedure.
Results
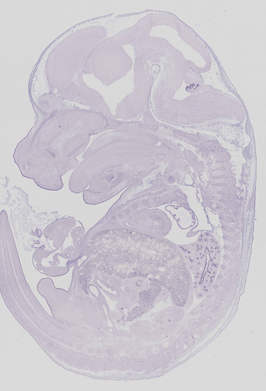
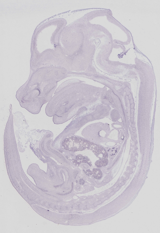
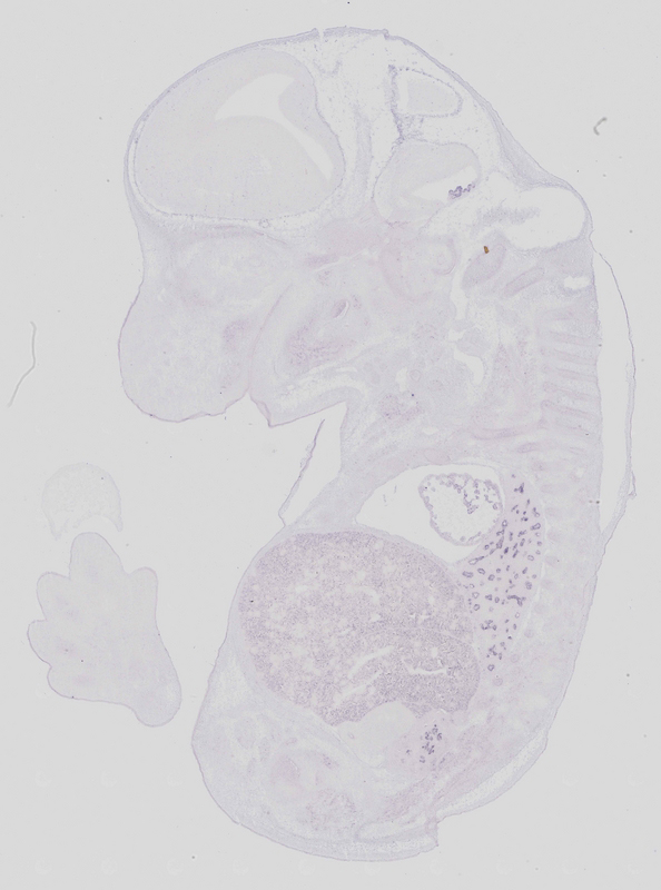
Specimen euxassay_019699_01: embryonic day 14.5 (more )
Structure Level Pattern Image Note
TS23: liver Weak Regionally restricted euxassay_019699_01

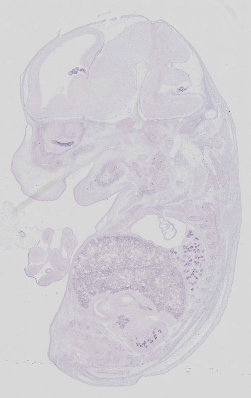
Specimen euxassay_019699_02: embryonic day 14.5 (more )
Structure Level Pattern Image Note
TS23: liver Weak Regionally restricted euxassay_019699_02

Specimen euxassay_019699_03: embryonic day 14.5 (more )
Structure Level Pattern Image Note
TS23: liver Weak Regionally restricted euxassay_019699_03

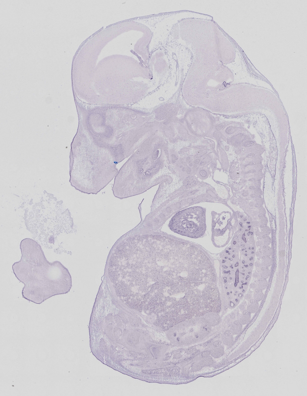
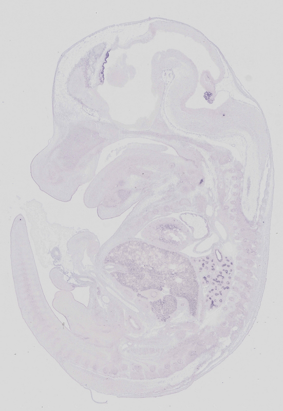
Specimen euxassay_019699_04: embryonic day 14.5 (more )
Structure Level Pattern Image Note
TS23: lung Weak Regionally restricted euxassay_019699_04
TS23: liver Weak Regionally restricted euxassay_019699_04

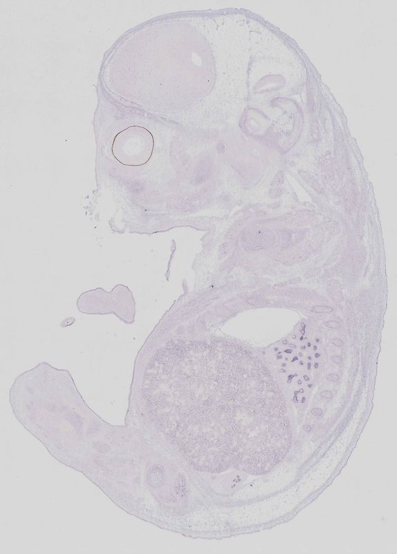
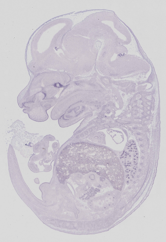
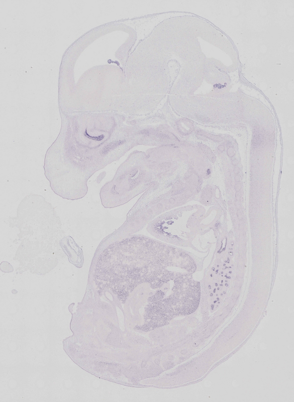
Specimen euxassay_019699_05: embryonic day 14.5 (more )
Structure Level Pattern Image Note
TS23: lateral ventricle choroid plexus Moderate Regionally restricted euxassay_019699_05
TS23: metencephalon part of 4th ventricle choroid plexus Weak Regionally restricted euxassay_019699_05
TS23: olfactory epithelium Moderate Regionally restricted euxassay_019699_05
TS23: lung Weak Regionally restricted euxassay_019699_05
TS23: liver Weak Regionally restricted euxassay_019699_05

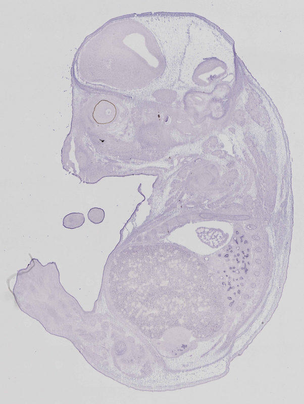
Specimen euxassay_019699_06: embryonic day 14.5 (more )
Structure Level Pattern Image Note
TS23: metencephalon part of 4th ventricle choroid plexus Weak Regionally restricted euxassay_019699_06
TS23: lateral ventricle choroid plexus Moderate Regionally restricted euxassay_019699_06
TS23: olfactory epithelium Moderate Regionally restricted euxassay_019699_06
TS23: lung Moderate Regionally restricted euxassay_019699_06
TS23: liver Weak Regionally restricted euxassay_019699_06

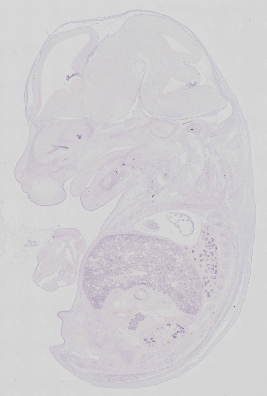
Specimen euxassay_019699_07: embryonic day 14.5 (more )
Structure Level Pattern Image Note
TS23: metencephalon part of 4th ventricle choroid plexus Moderate Regionally restricted euxassay_019699_07
TS23: lateral ventricle choroid plexus Moderate Regionally restricted euxassay_019699_07
TS23: olfactory epithelium Moderate Regionally restricted euxassay_019699_07
TS23: lung Moderate Regionally restricted euxassay_019699_07
TS23: metanephros Moderate Regionally restricted euxassay_019699_07
TS23: pancreas Weak Regionally restricted euxassay_019699_07
TS23: liver Weak Regionally restricted euxassay_019699_07

Specimen euxassay_019699_08: embryonic day 14.5 (more )
Structure Level Pattern Image Note
TS23: metencephalon part of 4th ventricle choroid plexus Moderate Regionally restricted euxassay_019699_08
TS23: lateral ventricle choroid plexus Moderate Regionally restricted euxassay_019699_08
TS23: olfactory epithelium Weak Regionally restricted euxassay_019699_08
TS23: lung Moderate Regionally restricted euxassay_019699_08
TS23: metanephros Moderate Regionally restricted euxassay_019699_08
TS23: pancreas Weak Regionally restricted euxassay_019699_08
TS23: liver Weak Regionally restricted euxassay_019699_08

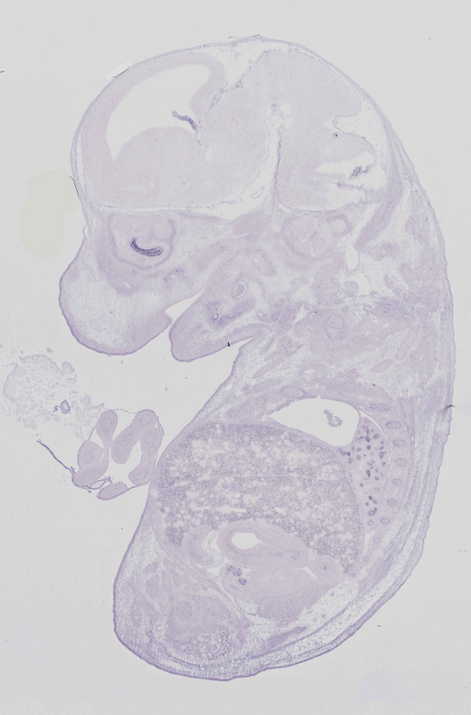
Specimen euxassay_019699_09: embryonic day 14.5 (more )
Structure Level Pattern Image Note
TS23: metencephalon part of 4th ventricle choroid plexus Moderate Regionally restricted euxassay_019699_09
TS23: lateral ventricle choroid plexus Moderate Regionally restricted euxassay_019699_09
TS23: olfactory epithelium Moderate Regionally restricted euxassay_019699_09
TS23: lung Moderate Regionally restricted euxassay_019699_09
TS23: metanephros Weak Regionally restricted euxassay_019699_09
TS23: pancreas Weak Regionally restricted euxassay_019699_09
TS23: liver Weak Regionally restricted euxassay_019699_09

Specimen euxassay_019699_10: embryonic day 14.5 (more )
Structure Level Pattern Image Note
TS23: metencephalon part of 4th ventricle choroid plexus Moderate Regionally restricted euxassay_019699_10
TS23: lung Moderate Regionally restricted euxassay_019699_10
TS23: liver Weak Regionally restricted euxassay_019699_10

Specimen euxassay_019699_11: embryonic day 14.5 (more )
Structure Level Pattern Image Note
TS23: metencephalon part of 4th ventricle choroid plexus Moderate Regionally restricted euxassay_019699_11
TS23: lateral ventricle choroid plexus Moderate Regionally restricted euxassay_019699_11
TS23: lung Moderate Regionally restricted euxassay_019699_11
TS23: liver Weak Regionally restricted euxassay_019699_11
TS23: endocardial tissue Weak Regionally restricted euxassay_019699_11

Specimen euxassay_019699_12: embryonic day 14.5 (more )
Structure Level Pattern Image Note
TS23: metencephalon part of 4th ventricle choroid plexus Moderate Regionally restricted euxassay_019699_12
TS23: lung Moderate Regionally restricted euxassay_019699_12
TS23: liver Weak Regionally restricted euxassay_019699_12
TS23: endocardial tissue Weak Regionally restricted euxassay_019699_12

Specimen euxassay_019699_13: embryonic day 14.5 (more )
Structure Level Pattern Image Note
TS23: metencephalon part of 4th ventricle choroid plexus Moderate Regionally restricted euxassay_019699_13
TS23: lateral ventricle choroid plexus Moderate Regionally restricted euxassay_019699_13
TS23: olfactory epithelium Weak Regionally restricted euxassay_019699_13
TS23: lung Moderate Regionally restricted euxassay_019699_13
TS23: liver Weak Regionally restricted euxassay_019699_13
TS23: endocardial tissue Weak Regionally restricted euxassay_019699_13
TS23: esophagus Weak Regionally restricted euxassay_019699_13

Specimen euxassay_019699_14: embryonic day 14.5 (more )
Structure Level Pattern Image Note
TS23: metencephalon part of 4th ventricle choroid plexus Moderate Regionally restricted euxassay_019699_14
TS23: lateral ventricle choroid plexus Moderate Regionally restricted euxassay_019699_14
TS23: olfactory epithelium Moderate Regionally restricted euxassay_019699_14
TS23: lung Moderate Regionally restricted euxassay_019699_14
TS23: pancreas Weak Regionally restricted euxassay_019699_14
TS23: liver Weak Regionally restricted euxassay_019699_14
TS23: endocardial tissue Weak Regionally restricted euxassay_019699_14
TS23: esophagus Weak Regionally restricted euxassay_019699_14

Specimen euxassay_019699_15: embryonic day 14.5 (more )
Structure Level Pattern Image Note
TS23: metencephalon part of 4th ventricle choroid plexus Moderate Regionally restricted euxassay_019699_15
TS23: lateral ventricle choroid plexus Moderate Regionally restricted euxassay_019699_15
TS23: olfactory epithelium Moderate Regionally restricted euxassay_019699_15
TS23: lung Moderate Regionally restricted euxassay_019699_15
TS23: pancreas Weak Regionally restricted euxassay_019699_15
TS23: liver Weak Regionally restricted euxassay_019699_15
TS23: esophagus Moderate Regionally restricted euxassay_019699_15

Specimen euxassay_019699_16: embryonic day 14.5 (more )
Structure Level Pattern Image Note
TS23: metencephalon part of 4th ventricle choroid plexus Moderate Regionally restricted euxassay_019699_16
TS23: lateral ventricle choroid plexus Moderate Regionally restricted euxassay_019699_16
TS23: olfactory epithelium Moderate Regionally restricted euxassay_019699_16
TS23: lung Moderate Regionally restricted euxassay_019699_16
TS23: liver Weak Regionally restricted euxassay_019699_16
TS23: endocardial tissue Weak Regionally restricted euxassay_019699_16

Specimen euxassay_019699_17: embryonic day 14.5 (more )
Structure Level Pattern Image Note
TS23: metencephalon part of 4th ventricle choroid plexus Moderate Regionally restricted euxassay_019699_17
TS23: lateral ventricle choroid plexus Moderate Regionally restricted euxassay_019699_17
TS23: olfactory epithelium Moderate Regionally restricted euxassay_019699_17
TS23: lung Moderate Regionally restricted euxassay_019699_17
TS23: metanephros Weak Regionally restricted euxassay_019699_17
TS23: liver Weak Regionally restricted euxassay_019699_17
TS23: endocardial tissue Weak Regionally restricted euxassay_019699_17

Specimen euxassay_019699_18: embryonic day 14.5 (more )
Structure Level Pattern Image Note
TS23: metencephalon part of 4th ventricle choroid plexus Moderate Regionally restricted euxassay_019699_18
TS23: lateral ventricle choroid plexus Moderate Regionally restricted euxassay_019699_18
TS23: lung Moderate Regionally restricted euxassay_019699_18
TS23: metanephros Weak Regionally restricted euxassay_019699_18
TS23: liver Weak Regionally restricted euxassay_019699_18

Specimen euxassay_019699_19: embryonic day 14.5 (more )
Structure Level Pattern Image Note
TS23: lung Moderate Regionally restricted euxassay_019699_19
TS23: metanephros Moderate Regionally restricted euxassay_019699_19
TS23: liver Weak Regionally restricted euxassay_019699_19

Specimen euxassay_019699_20: embryonic day 14.5 (more )
Structure Level Pattern Image Note
TS23: metencephalon part of 4th ventricle choroid plexus Weak Regionally restricted euxassay_019699_20
TS23: lung Moderate Regionally restricted euxassay_019699_20
TS23: metanephros Moderate Regionally restricted euxassay_019699_20
TS23: liver Weak Regionally restricted euxassay_019699_20

Specimen euxassay_019699_21: embryonic day 14.5 (more )
Structure Level Pattern Image Note
TS23: metencephalon part of 4th ventricle choroid plexus Weak Regionally restricted euxassay_019699_21
TS23: lung Moderate Regionally restricted euxassay_019699_21
TS23: liver Weak Regionally restricted euxassay_019699_21

Specimen euxassay_019699_22: embryonic day 14.5 (more )
Structure Level Pattern Image Note
TS23: metencephalon part of 4th ventricle choroid plexus Weak Regionally restricted euxassay_019699_22
TS23: lung Moderate Regionally restricted euxassay_019699_22
TS23: liver Weak Regionally restricted euxassay_019699_22

Specimen euxassay_019699_23: embryonic day 14.5 (more )
Structure Level Pattern Image Note
TS23: lung Moderate Regionally restricted euxassay_019699_23

Specimen euxassay_019699_24: embryonic day 14.5 (more )
Structure Level Pattern Image Note
TS23: lung Moderate Regionally restricted euxassay_019699_24


Contributing Projects:
Mouse Genome Database (MGD), Gene Expression Database (GXD), Mouse Models of Human Cancer database (MMHCdb) (formerly Mouse Tumor Biology (MTB)), Gene Ontology (GO)
Citing These Resources
Funding Information
Warranty Disclaimer, Privacy Notice, Licensing, & Copyright
Send questions and comments to User Support.
last database update
01/28/2026
MGI 6.24
The Jackson Laboratory