About   Help   FAQ
Gene Expression Data
Assay Details
Assay
Reference: J:153498 Diez-Roux G, et al., A high-resolution anatomical atlas of the transcriptome in the mouse embryo. PLoS Biol. 2011;9(1):e1000582
Assay type: RNA in situ
MGI Accession ID: MGI:4828094
Gene symbol: Slc12a2
Gene name: solute carrier family 12, member 2
Probe: IMAGE clone 1532092
Probe preparation: Antisense labelled with digoxigenin RNA
Visualized with: Alkaline phosphatase
Assay notes: Cryosections of fresh frozen material were fixed in 4% paraformaldehyde for 20 min. before further processing. A tyramide-biotin/streptavidin amplification step was included in the in situ hybridization procedure.
Results
Specimen Table S6: embryonic day 14.5 (more )
Note: The probe used to generate this data was not specified; another gene-specific probe may have been used.
Structure Level Pattern Image Note
TS23: choroid plexus Moderate

Specimen euxassay_008837_02: embryonic day 14.5 (more )
Structure Level Pattern Image Note
TS23: pharyngo-tympanic tube Moderate Regionally restricted euxassay_008837_02

Specimen euxassay_008837_03: embryonic day 14.5 (more )
Structure Level Pattern Image Note
TS23: pharyngo-tympanic tube Strong Regionally restricted euxassay_008837_03
TS23: stomach Weak Regionally restricted euxassay_008837_03

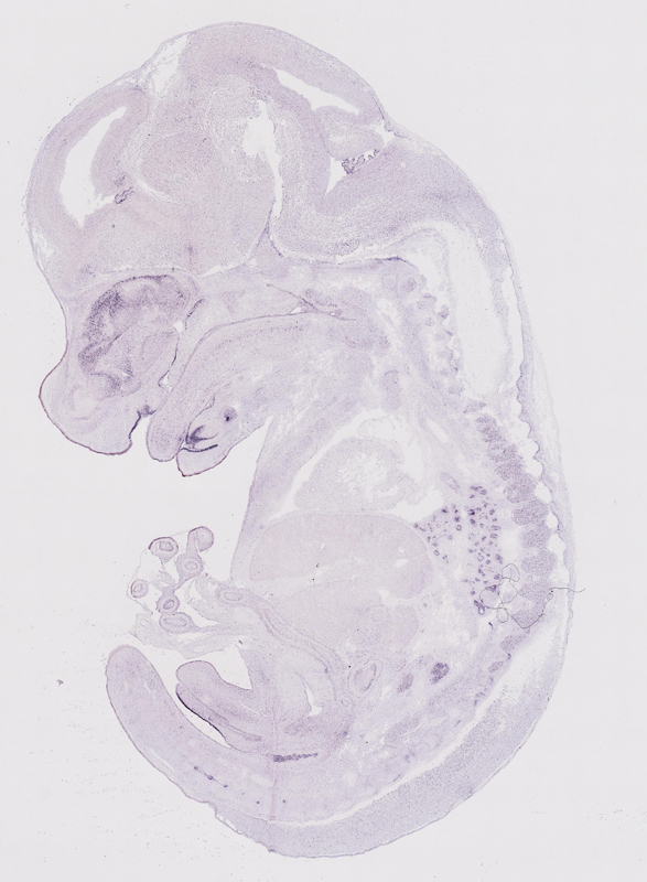
Specimen euxassay_008837_04: embryonic day 14.5 (more )
Structure Level Pattern Image Note
TS23: pharyngo-tympanic tube Strong Regionally restricted euxassay_008837_04
TS23: stomach Weak Regionally restricted euxassay_008837_04

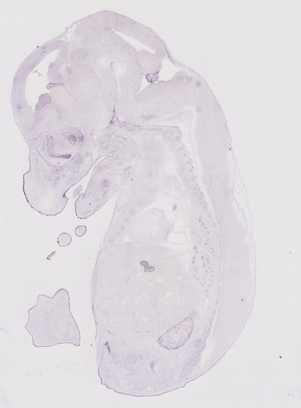
Specimen euxassay_008837_05: embryonic day 14.5 (more )
Structure Level Pattern Image Note
TS23: pharyngo-tympanic tube Strong Regionally restricted euxassay_008837_05
TS23: left lung Strong Regionally restricted euxassay_008837_05
TS23: midgut Moderate Regionally restricted euxassay_008837_05
TS23: stomach Moderate Regionally restricted euxassay_008837_05

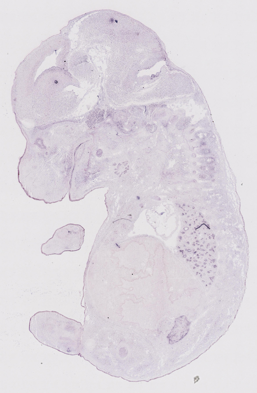
Specimen euxassay_008837_06: embryonic day 14.5 (more )
Structure Level Pattern Image Note
TS23: left lung Strong Regionally restricted euxassay_008837_06
TS23: renal cortex Strong Regionally restricted euxassay_008837_06
TS23: stomach Moderate Regionally restricted euxassay_008837_06
TS23: midgut Moderate Regionally restricted euxassay_008837_06

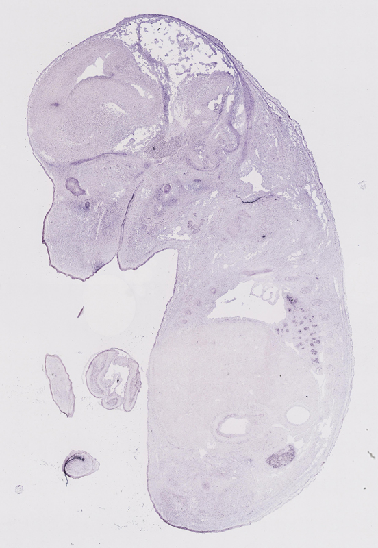
Specimen euxassay_008837_07: embryonic day 14.5 (more )
Structure Level Pattern Image Note
TS23: olfactory epithelium Strong Regionally restricted euxassay_008837_07
TS23: submandibular gland primordium Moderate Regionally restricted euxassay_008837_07
TS23: left lung Strong Regionally restricted euxassay_008837_07
TS23: renal cortex Strong Regionally restricted euxassay_008837_07
TS23: midgut Moderate Regionally restricted euxassay_008837_07
TS23: stomach Moderate Regionally restricted euxassay_008837_07

Specimen euxassay_008837_08: embryonic day 14.5 (more )
Structure Level Pattern Image Note
TS23: olfactory epithelium Strong Regionally restricted euxassay_008837_08
TS23: submandibular gland primordium Moderate Regionally restricted euxassay_008837_08
TS23: left lung Strong Regionally restricted euxassay_008837_08
TS23: renal cortex Strong Regionally restricted euxassay_008837_08
TS23: stomach Moderate Regionally restricted euxassay_008837_08
TS23: midgut Moderate Regionally restricted euxassay_008837_08

Specimen euxassay_008837_09: embryonic day 14.5 (more )
Structure Level Pattern Image Note
TS23: olfactory epithelium Strong Regionally restricted euxassay_008837_09
TS23: left lung Strong Regionally restricted euxassay_008837_09
TS23: renal cortex Strong Regionally restricted euxassay_008837_09
TS23: midgut Moderate Regionally restricted euxassay_008837_09
TS23: stomach Moderate Regionally restricted euxassay_008837_09
TS23: lower jaw incisor Strong Regionally restricted euxassay_008837_09

Specimen euxassay_008837_10: embryonic day 14.5 (more )
Structure Level Pattern Image Note
TS23: olfactory epithelium Strong Regionally restricted euxassay_008837_10
TS23: left lung Strong Regionally restricted euxassay_008837_10
TS23: renal cortex Strong Regionally restricted euxassay_008837_10
TS23: midgut Moderate Regionally restricted euxassay_008837_10
TS23: lower jaw incisor Strong Regionally restricted euxassay_008837_10
TS23: upper jaw incisor Strong Regionally restricted euxassay_008837_10

Specimen euxassay_008837_11: embryonic day 14.5 (more )
Structure Level Pattern Image Note
TS23: olfactory epithelium Strong Regionally restricted euxassay_008837_11
TS23: left lung Strong Regionally restricted euxassay_008837_11
TS23: rectum Moderate Regionally restricted euxassay_008837_11
TS23: midgut Moderate Regionally restricted euxassay_008837_11
TS23: lower jaw incisor Strong Regionally restricted euxassay_008837_11
TS23: upper jaw incisor Strong Regionally restricted euxassay_008837_11

Specimen euxassay_008837_12: embryonic day 14.5 (more )
Structure Level Pattern Image Note
TS23: left lung Strong Regionally restricted euxassay_008837_12
TS23: midgut Moderate Regionally restricted euxassay_008837_12

Specimen euxassay_008837_13: embryonic day 14.5 (more )
Structure Level Pattern Image Note
TS23: left lung Strong Regionally restricted euxassay_008837_13
TS23: midgut Moderate Regionally restricted euxassay_008837_13
TS23: upper jaw incisor Strong Regionally restricted euxassay_008837_13

Specimen euxassay_008837_14: embryonic day 14.5 (more )
Structure Level Pattern Image Note
TS23: olfactory epithelium Strong Regionally restricted euxassay_008837_14
TS23: right lung Strong Regionally restricted euxassay_008837_14
TS23: lower jaw incisor Strong Regionally restricted euxassay_008837_14
TS23: upper jaw incisor Strong Regionally restricted euxassay_008837_14

Specimen euxassay_008837_15: embryonic day 14.5 (more )
Structure Level Pattern Image Note
TS23: olfactory epithelium Strong Regionally restricted euxassay_008837_15
TS23: right lung Strong Regionally restricted euxassay_008837_15
TS23: renal cortex Strong Regionally restricted euxassay_008837_15
TS23: lower jaw incisor Strong Regionally restricted euxassay_008837_15

Specimen euxassay_008837_16: embryonic day 14.5 (more )
Structure Level Pattern Image Note
TS23: olfactory epithelium Strong Regionally restricted euxassay_008837_16
TS23: right lung Strong Regionally restricted euxassay_008837_16
TS23: renal cortex Strong Regionally restricted euxassay_008837_16

Specimen euxassay_008837_17: embryonic day 14.5 (more )
Structure Level Pattern Image Note
TS23: olfactory epithelium Strong Regionally restricted euxassay_008837_17
TS23: submandibular gland primordium Moderate Regionally restricted euxassay_008837_17
TS23: right lung Strong Regionally restricted euxassay_008837_17
TS23: renal cortex Strong Regionally restricted euxassay_008837_17

Specimen euxassay_008837_18: embryonic day 14.5 (more )
Structure Level Pattern Image Note
TS23: olfactory epithelium Strong Regionally restricted euxassay_008837_18
TS23: submandibular gland primordium Moderate Regionally restricted euxassay_008837_18
TS23: right lung Strong Regionally restricted euxassay_008837_18
TS23: renal cortex Strong Regionally restricted euxassay_008837_18

Specimen euxassay_008837_19: embryonic day 14.5 (more )
Structure Level Pattern Image Note
TS23: submandibular gland primordium Moderate Regionally restricted euxassay_008837_19
TS23: right lung Strong Regionally restricted euxassay_008837_19
TS23: renal cortex Strong Regionally restricted euxassay_008837_19

Specimen euxassay_008837_20: embryonic day 14.5 (more )
Structure Level Pattern Image Note
TS23: right lung Strong Regionally restricted euxassay_008837_20
TS23: renal cortex Strong Regionally restricted euxassay_008837_20

Specimen euxassay_008837_21: embryonic day 14.5 (more )
Structure Level Pattern Image Note
TS23: pharyngo-tympanic tube Strong Regionally restricted euxassay_008837_21
TS23: right lung Strong Regionally restricted euxassay_008837_21

Specimen euxassay_008837_22: embryonic day 14.5 (more )
Structure Level Pattern Image Note
TS23: pharyngo-tympanic tube Strong Regionally restricted euxassay_008837_22
TS23: right lung Strong Regionally restricted euxassay_008837_22

Specimen euxassay_008837_23: embryonic day 14.5 (more )
Structure Level Pattern Image Note
TS23: pharyngo-tympanic tube Strong Regionally restricted euxassay_008837_23
TS23: right lung Strong Regionally restricted euxassay_008837_23

Specimen euxassay_008837_24: embryonic day 14.5 (more )
Structure Level Pattern Image Note
TS23: right lung Strong Regionally restricted euxassay_008837_24


Contributing Projects:
Mouse Genome Database (MGD), Gene Expression Database (GXD), Mouse Models of Human Cancer database (MMHCdb) (formerly Mouse Tumor Biology (MTB)), Gene Ontology (GO)
Citing These Resources
Funding Information
Warranty Disclaimer, Privacy Notice, Licensing, & Copyright
Send questions and comments to User Support.
last database update
01/20/2026
MGI 6.24
The Jackson Laboratory