About   Help   FAQ
Gene Expression Data
Assay Details
Assay
Reference: J:153498 Diez-Roux G, et al., A high-resolution anatomical atlas of the transcriptome in the mouse embryo. PLoS Biol. 2011;9(1):e1000582
Assay type: RNA in situ
MGI Accession ID: MGI:4828092
Gene symbol: Slc10a4
Gene name: solute carrier family 10 (sodium/bile acid cotransporter family), member 4
Probe: T38333
Probe preparation: Antisense labelled with digoxigenin RNA
Visualized with: Alkaline phosphatase
Assay notes: Cryosections of fresh frozen material were fixed in 4% paraformaldehyde for 20 min. before further processing. A tyramide-biotin/streptavidin amplification step was included in the in situ hybridization procedure.
Results
Specimen Table S6: embryonic day 14.5 (more )
Note: The probe used to generate this data was not specified; another gene-specific probe may have been used.
Structure Level Pattern Image Note
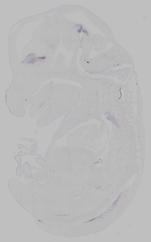
TS23: corpus striatum Moderate
TS23: medulla oblongata Moderate
TS23: midbrain Moderate
TS23: pons Moderate

Specimen euxassay_010865_05: embryonic day 14.5 (more )
Structure Level Pattern Image Note
TS23: medulla oblongata basal plate mantle layer Moderate Single cells euxassay_010865_05
TS23: pons mantle layer Moderate Single cells euxassay_010865_05
TS23: cervical ganglion Weak Single cells euxassay_010865_05

Specimen euxassay_010865_06: embryonic day 14.5 (more )
Structure Level Pattern Image Note
TS23: ventral grey horn Strong Regionally restricted euxassay_010865_06
TS23: medulla oblongata basal plate mantle layer Strong Single cells euxassay_010865_06
TS23: pons mantle layer Strong Single cells euxassay_010865_06
TS23: telencephalon mantle layer Strong Single cells euxassay_010865_06
TS23: cervico-thoracic ganglion Weak Single cells euxassay_010865_06
TS23: cervical ganglion Weak Single cells euxassay_010865_06

Specimen euxassay_010865_07: embryonic day 14.5 (more )
Structure Level Pattern Image Note
TS23: ventral grey horn Strong Regionally restricted euxassay_010865_07
TS23: medulla oblongata basal plate mantle layer Strong Single cells euxassay_010865_07
TS23: pons mantle layer Strong Single cells euxassay_010865_07
TS23: telencephalon mantle layer Strong Single cells euxassay_010865_07

Specimen euxassay_010865_08: embryonic day 14.5 (more )
Note: Additional information for this specimen was included in the Eurexpress data submission file.
Structure Level Pattern Image Note
TS23: ventral grey horn Strong Regionally restricted euxassay_010865_08
TS23: medulla oblongata basal plate mantle layer Strong Single cells euxassay_010865_08
TS23: telencephalon mantle layer Strong Single cells euxassay_010865_08
TS23: diencephalon lateral wall mantle layer Strong Single cells euxassay_010865_08 basal plate

Specimen euxassay_010865_09: embryonic day 14.5 (more )
Note: Additional information for this specimen was included in the Eurexpress data submission file.
Structure Level Pattern Image Note
TS23: ventral grey horn Strong Regionally restricted euxassay_010865_09
TS23: medulla oblongata basal plate mantle layer Strong Single cells euxassay_010865_09
TS23: telencephalon mantle layer Strong Single cells euxassay_010865_09
TS23: midbrain mantle layer Strong Single cells euxassay_010865_09 basal plate
TS23: trigeminal nerve Moderate Regionally restricted euxassay_010865_09

Specimen euxassay_010865_10: embryonic day 14.5 (more )
Note: Additional information for this specimen was included in the Eurexpress data submission file.
Structure Level Pattern Image Note
TS23: ventral grey horn Strong Regionally restricted euxassay_010865_10
TS23: pons mantle layer Strong Single cells euxassay_010865_10
TS23: medulla oblongata basal plate mantle layer Strong Single cells euxassay_010865_10
TS23: telencephalon mantle layer Strong Single cells euxassay_010865_10
TS23: midbrain mantle layer Strong Single cells euxassay_010865_10 basal plate
TS23: diencephalon lateral wall mantle layer Strong Single cells euxassay_010865_10 basal plate
TS23: trigeminal nerve Moderate Regionally restricted euxassay_010865_10
TS23: thoracic ganglion Weak Single cells euxassay_010865_10

Specimen euxassay_010865_11: embryonic day 14.5 (more )
Note: Additional information for this specimen was included in the Eurexpress data submission file.
Structure Level Pattern Image Note
TS23: ventral grey horn Strong Regionally restricted euxassay_010865_11
TS23: medulla oblongata basal plate mantle layer Strong Single cells euxassay_010865_11
TS23: pons mantle layer Strong Single cells euxassay_010865_11
TS23: telencephalon mantle layer Strong Single cells euxassay_010865_11
TS23: midbrain mantle layer Strong Single cells euxassay_010865_11 basal plate
TS23: diencephalon lateral wall mantle layer Strong Single cells euxassay_010865_11 basal plate
TS23: thoracic ganglion Weak Single cells euxassay_010865_11

Specimen euxassay_010865_12: embryonic day 14.5 (more )
Note: Additional information for this specimen was included in the Eurexpress data submission file.
Structure Level Pattern Image Note
TS23: ventral grey horn Strong Regionally restricted euxassay_010865_12
TS23: medulla oblongata basal plate mantle layer Strong Single cells euxassay_010865_12
TS23: telencephalon mantle layer Strong Single cells euxassay_010865_12
TS23: midbrain mantle layer Strong Single cells euxassay_010865_12 basal plate
TS23: diencephalon lateral wall mantle layer Strong Single cells euxassay_010865_12 basal plate
TS23: cervico-thoracic ganglion Moderate Single cells euxassay_010865_12

Specimen euxassay_010865_13: embryonic day 14.5 (more )
Note: Additional information for this specimen was included in the Eurexpress data submission file.
Structure Level Pattern Image Note
TS23: ventral grey horn Strong Regionally restricted euxassay_010865_13
TS23: medulla oblongata basal plate mantle layer Strong Single cells euxassay_010865_13
TS23: telencephalon mantle layer Strong Single cells euxassay_010865_13
TS23: diencephalon lateral wall mantle layer Strong Single cells euxassay_010865_13 basal plate
TS23: midbrain mantle layer Strong Single cells euxassay_010865_13 basal plate

Specimen euxassay_010865_14: embryonic day 14.5 (more )
Note: Additional information for this specimen was included in the Eurexpress data submission file.
Structure Level Pattern Image Note
TS23: medulla oblongata basal plate mantle layer Strong Single cells euxassay_010865_14
TS23: telencephalon mantle layer Moderate Single cells euxassay_010865_14
TS23: diencephalon lateral wall mantle layer Strong Single cells euxassay_010865_14 basal plate
TS23: midbrain mantle layer Strong Single cells euxassay_010865_14 basal plate
TS23: cervical ganglion Weak Single cells euxassay_010865_14

Specimen euxassay_010865_15: embryonic day 14.5 (more )
Note: Additional information for this specimen was included in the Eurexpress data submission file.
Structure Level Pattern Image Note
TS23: pons mantle layer Strong Single cells euxassay_010865_15
TS23: medulla oblongata basal plate mantle layer Strong Single cells euxassay_010865_15
TS23: telencephalon mantle layer Moderate Single cells euxassay_010865_15
TS23: diencephalon lateral wall mantle layer Strong Single cells euxassay_010865_15 basal plate
TS23: cervical ganglion Weak Single cells euxassay_010865_15

Specimen euxassay_010865_16: embryonic day 14.5 (more )
Note: Additional information for this specimen was included in the Eurexpress data submission file.
Structure Level Pattern Image Note
TS23: pons mantle layer Strong Single cells euxassay_010865_16
TS23: telencephalon mantle layer Moderate Single cells euxassay_010865_16
TS23: diencephalon lateral wall mantle layer Strong Single cells euxassay_010865_16 basal plate
TS23: trigeminal nerve Moderate Regionally restricted euxassay_010865_16

Specimen euxassay_010865_17: embryonic day 14.5 (more )
Structure Level Pattern Image Note
TS23: pons mantle layer Strong Single cells euxassay_010865_17
TS23: telencephalon mantle layer Moderate Single cells euxassay_010865_17

Specimen euxassay_010865_18: embryonic day 14.5 (more )
Structure Level Pattern Image Note
TS23: telencephalon mantle layer Strong Single cells euxassay_010865_18

Specimen euxassay_010865_19: embryonic day 14.5 (more )
Structure Level Pattern Image Note
TS23: telencephalon mantle layer Strong Single cells euxassay_010865_19

Specimen euxassay_010865_20: embryonic day 14.5 (more )
Structure Level Pattern Image Note
TS23: telencephalon mantle layer Strong Single cells euxassay_010865_20

Specimen euxassay_010865_21: embryonic day 14.5 (more )
Structure Level Pattern Image Note
TS23: telencephalon mantle layer Strong Single cells euxassay_010865_21

Specimen euxassay_010865_22: embryonic day 14.5 (more )
Structure Level Pattern Image Note
TS23: telencephalon mantle layer Strong Single cells euxassay_010865_22


Contributing Projects:
Mouse Genome Database (MGD), Gene Expression Database (GXD), Mouse Models of Human Cancer database (MMHCdb) (formerly Mouse Tumor Biology (MTB)), Gene Ontology (GO)
Citing These Resources
Funding Information
Warranty Disclaimer, Privacy Notice, Licensing, & Copyright
Send questions and comments to User Support.
last database update
01/20/2026
MGI 6.24
The Jackson Laboratory