About   Help   FAQ
Gene Expression Data
Assay Details
Assay
Reference: J:153498 Diez-Roux G, et al., A high-resolution anatomical atlas of the transcriptome in the mouse embryo. PLoS Biol. 2011;9(1):e1000582
Assay type: RNA in situ
MGI Accession ID: MGI:4828064
Gene symbol: Shpk
Gene name: sedoheptulokinase
Probe: IMAGE clone 1886637
Probe preparation: Antisense labelled with digoxigenin RNA
Visualized with: Alkaline phosphatase
Assay notes: Cryosections of fresh frozen material were fixed in 4% paraformaldehyde for 20 min. before further processing. A tyramide-biotin/streptavidin amplification step was included in the in situ hybridization procedure.
Results
Specimen euxassay_001932_02: embryonic day 14.5 (more )
Structure Level Pattern Image Note
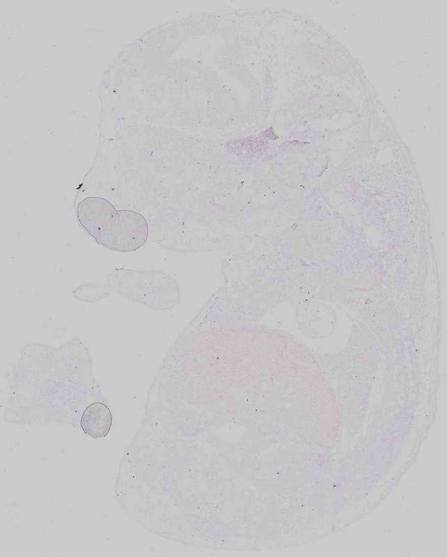
TS23: trigeminal ganglion Weak Regionally restricted euxassay_001932_02

Specimen euxassay_001932_03: embryonic day 14.5 (more )
Structure Level Pattern Image Note
TS23: trigeminal ganglion Weak Regionally restricted euxassay_001932_03

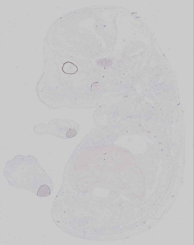
Specimen euxassay_001932_04: embryonic day 14.5 (more )
Structure Level Pattern Image Note
TS23: trigeminal ganglion Weak Regionally restricted euxassay_001932_04

Specimen euxassay_001932_05: embryonic day 14.5 (more )
Structure Level Pattern Image Note
TS23: trigeminal ganglion Weak Regionally restricted euxassay_001932_05

Specimen euxassay_001932_06: embryonic day 14.5 (more )
Structure Level Pattern Image Note
TS23: trigeminal ganglion Weak Regionally restricted euxassay_001932_06

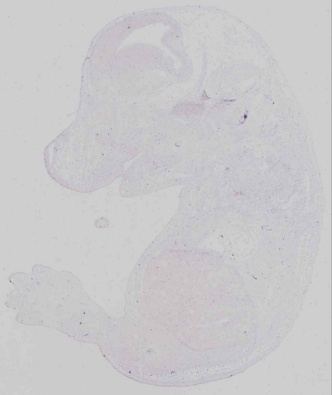
Specimen euxassay_001932_15: embryonic day 14.5 (more )
Structure Level Pattern Image Note
TS23: trigeminal ganglion Weak Regionally restricted euxassay_001932_15

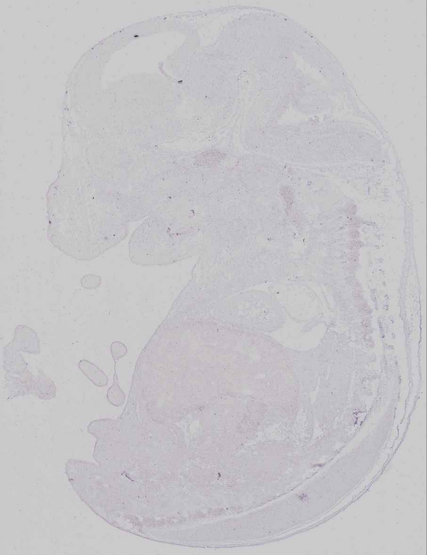
Specimen euxassay_001932_16: embryonic day 14.5 (more )
Structure Level Pattern Image Note
TS23: trigeminal ganglion Weak Regionally restricted euxassay_001932_16

Specimen euxassay_001932_17: embryonic day 14.5 (more )
Structure Level Pattern Image Note
TS23: trigeminal ganglion Weak Regionally restricted euxassay_001932_17

Specimen euxassay_001932_18: embryonic day 14.5 (more )
Structure Level Pattern Image Note
TS23: trigeminal ganglion Weak Regionally restricted euxassay_001932_18

Specimen euxassay_001932_19: embryonic day 14.5 (more )
Structure Level Pattern Image Note
TS23: trigeminal ganglion Weak Regionally restricted euxassay_001932_19


Contributing Projects:
Mouse Genome Database (MGD), Gene Expression Database (GXD), Mouse Models of Human Cancer database (MMHCdb) (formerly Mouse Tumor Biology (MTB)), Gene Ontology (GO)
Citing These Resources
Funding Information
Warranty Disclaimer, Privacy Notice, Licensing, & Copyright
Send questions and comments to User Support.
last database update
12/30/2025
MGI 6.24
The Jackson Laboratory