About   Help   FAQ
Gene Expression Data
Assay Details
Assay
Reference: J:153498 Diez-Roux G, et al., A high-resolution anatomical atlas of the transcriptome in the mouse embryo. PLoS Biol. 2011;9(1):e1000582
Assay type: RNA in situ
MGI Accession ID: MGI:4828045
Gene symbol: Sh3rf2
Gene name: SH3 domain containing ring finger 2
Probe: T38001
Probe preparation: Antisense labelled with digoxigenin RNA
Visualized with: Alkaline phosphatase
Assay notes: Cryosections of fresh frozen material were fixed in 4% paraformaldehyde for 20 min. before further processing. A tyramide-biotin/streptavidin amplification step was included in the in situ hybridization procedure.
Results
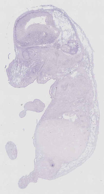
Specimen euxassay_014477_01: embryonic day 14.5 (more )
Structure Level Pattern Image Note
TS23: neural retina Moderate Regionally restricted euxassay_014477_01
TS23: telencephalon mantle layer Strong Uniform euxassay_014477_01

Specimen euxassay_014477_02: embryonic day 14.5 (more )
Structure Level Pattern Image Note
TS23: neural retina Moderate Regionally restricted euxassay_014477_02
TS23: rest of cerebellum mantle layer Strong Uniform euxassay_014477_02
TS23: telencephalon mantle layer Strong Uniform euxassay_014477_02

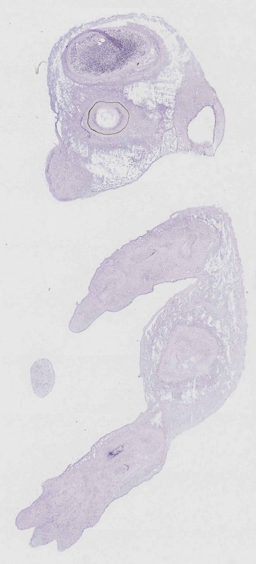
Specimen euxassay_014477_03: embryonic day 14.5 (more )
Structure Level Pattern Image Note
TS23: neural retina Moderate Regionally restricted euxassay_014477_03
TS23: trigeminal ganglion Moderate Regionally restricted euxassay_014477_03
TS23: facial ganglion Moderate Regionally restricted euxassay_014477_03
TS23: rest of cerebellum mantle layer Strong Uniform euxassay_014477_03
TS23: telencephalon mantle layer Strong Uniform euxassay_014477_03
TS23: midbrain mantle layer Strong Uniform euxassay_014477_03

Specimen euxassay_014477_04: embryonic day 14.5 (more )
Structure Level Pattern Image Note
TS23: dorsal root ganglion Moderate Regionally restricted euxassay_014477_04
TS23: trigeminal ganglion Moderate Regionally restricted euxassay_014477_04
TS23: facial ganglion Moderate Regionally restricted euxassay_014477_04
TS23: pons mantle layer Strong Uniform euxassay_014477_04
TS23: rest of cerebellum mantle layer Strong Uniform euxassay_014477_04
TS23: telencephalon mantle layer Strong Uniform euxassay_014477_04
TS23: midbrain mantle layer Strong Uniform euxassay_014477_04
TS23: medulla oblongata basal plate mantle layer Strong Uniform euxassay_014477_04
TS23: medulla oblongata alar plate mantle layer Strong Uniform euxassay_014477_04

Specimen euxassay_014477_05: embryonic day 14.5 (more )
Structure Level Pattern Image Note
TS23: dorsal root ganglion Moderate Regionally restricted euxassay_014477_05
TS23: trigeminal ganglion Moderate Regionally restricted euxassay_014477_05
TS23: glossopharyngeal ganglion Moderate Regionally restricted euxassay_014477_05
TS23: telencephalon mantle layer Strong Uniform euxassay_014477_05
TS23: rest of cerebellum mantle layer Strong Uniform euxassay_014477_05
TS23: pons mantle layer Strong Uniform euxassay_014477_05
TS23: midbrain mantle layer Strong Uniform euxassay_014477_05
TS23: medulla oblongata alar plate mantle layer Strong Uniform euxassay_014477_05
TS23: medulla oblongata basal plate mantle layer Strong Uniform euxassay_014477_05
TS23: spinal cord mantle layer Strong Regionally restricted euxassay_014477_05

Specimen euxassay_014477_06: embryonic day 14.5 (more )
Structure Level Pattern Image Note
TS23: dorsal root ganglion Moderate Regionally restricted euxassay_014477_06
TS23: trigeminal ganglion Moderate Regionally restricted euxassay_014477_06
TS23: vestibulo-cochlear ganglion Moderate Regionally restricted euxassay_014477_06
TS23: vagus ganglion Moderate Regionally restricted euxassay_014477_06
TS23: pons mantle layer Strong Uniform euxassay_014477_06
TS23: rest of cerebellum mantle layer Strong Uniform euxassay_014477_06
TS23: telencephalon mantle layer Strong Uniform euxassay_014477_06
TS23: diencephalon lateral wall mantle layer Strong Uniform euxassay_014477_06
TS23: midbrain mantle layer Strong Uniform euxassay_014477_06
TS23: medulla oblongata basal plate mantle layer Strong Uniform euxassay_014477_06
TS23: medulla oblongata alar plate mantle layer Strong Uniform euxassay_014477_06
TS23: spinal cord mantle layer Strong Regionally restricted euxassay_014477_06

Specimen euxassay_014477_07: embryonic day 14.5 (more )
Structure Level Pattern Image Note
TS23: dorsal root ganglion Moderate Regionally restricted euxassay_014477_07
TS23: trigeminal ganglion Moderate Regionally restricted euxassay_014477_07
TS23: pons mantle layer Strong Uniform euxassay_014477_07
TS23: rest of cerebellum Strong Uniform euxassay_014477_07
TS23: telencephalon mantle layer Strong Uniform euxassay_014477_07
TS23: diencephalon lateral wall mantle layer Strong Uniform euxassay_014477_07
TS23: midbrain mantle layer Strong Uniform euxassay_014477_07
TS23: medulla oblongata basal plate mantle layer Strong Uniform euxassay_014477_07
TS23: medulla oblongata alar plate mantle layer Strong Uniform euxassay_014477_07
TS23: spinal cord mantle layer Strong Regionally restricted euxassay_014477_07

Specimen euxassay_014477_08: embryonic day 14.5 (more )
Structure Level Pattern Image Note
TS23: trigeminal ganglion Moderate Regionally restricted euxassay_014477_08
TS23: pons mantle layer Moderate Uniform euxassay_014477_08
TS23: telencephalon mantle layer Moderate Uniform euxassay_014477_08
TS23: diencephalon lateral wall mantle layer Moderate Uniform euxassay_014477_08
TS23: midbrain mantle layer Moderate Uniform euxassay_014477_08
TS23: medulla oblongata basal plate mantle layer Moderate Uniform euxassay_014477_08
TS23: spinal cord mantle layer Moderate Regionally restricted euxassay_014477_08

Specimen euxassay_014477_09: embryonic day 14.5 (more )
Structure Level Pattern Image Note
TS23: pons mantle layer Strong Regionally restricted euxassay_014477_09
TS23: rest of cerebellum mantle layer Strong Regionally restricted euxassay_014477_09
TS23: telencephalon mantle layer Strong Regionally restricted euxassay_014477_09
TS23: diencephalon lateral wall mantle layer Strong Regionally restricted euxassay_014477_09
TS23: midbrain mantle layer Strong Uniform euxassay_014477_09
TS23: medulla oblongata basal plate mantle layer Strong Uniform euxassay_014477_09
TS23: medulla oblongata alar plate mantle layer Strong Uniform euxassay_014477_09
TS23: spinal cord mantle layer Strong Regionally restricted euxassay_014477_09

Specimen euxassay_014477_10: embryonic day 14.5 (more )
Structure Level Pattern Image Note
TS23: pons mantle layer Strong Regionally restricted euxassay_014477_10
TS23: rest of cerebellum mantle layer Strong Regionally restricted euxassay_014477_10
TS23: telencephalon mantle layer Strong Regionally restricted euxassay_014477_10
TS23: diencephalon lateral wall mantle layer Strong Regionally restricted euxassay_014477_10
TS23: midbrain mantle layer Strong Uniform euxassay_014477_10
TS23: medulla oblongata basal plate mantle layer Strong Uniform euxassay_014477_10
TS23: medulla oblongata alar plate mantle layer Strong Uniform euxassay_014477_10
TS23: spinal cord mantle layer Strong Regionally restricted euxassay_014477_10

Specimen euxassay_014477_11: embryonic day 14.5 (more )
Structure Level Pattern Image Note
TS23: pons mantle layer Strong Regionally restricted euxassay_014477_11
TS23: rest of cerebellum mantle layer Strong Regionally restricted euxassay_014477_11
TS23: telencephalon mantle layer Strong Regionally restricted euxassay_014477_11
TS23: diencephalon lateral wall mantle layer Strong Regionally restricted euxassay_014477_11
TS23: midbrain mantle layer Strong Uniform euxassay_014477_11
TS23: medulla oblongata basal plate mantle layer Strong Uniform euxassay_014477_11
TS23: medulla oblongata alar plate mantle layer Strong Uniform euxassay_014477_11
TS23: spinal cord mantle layer Strong Regionally restricted euxassay_014477_11

Specimen euxassay_014477_12: embryonic day 14.5 (more )
Structure Level Pattern Image Note
TS23: dorsal root ganglion Moderate Regionally restricted euxassay_014477_12
TS23: pons mantle layer Moderate Uniform euxassay_014477_12
TS23: rest of cerebellum mantle layer Moderate Uniform euxassay_014477_12
TS23: telencephalon mantle layer Moderate Uniform euxassay_014477_12
TS23: diencephalon lateral wall mantle layer Moderate Uniform euxassay_014477_12
TS23: midbrain mantle layer Moderate Uniform euxassay_014477_12
TS23: medulla oblongata basal plate mantle layer Moderate Uniform euxassay_014477_12
TS23: medulla oblongata alar plate mantle layer Moderate Uniform euxassay_014477_12

Specimen euxassay_014477_13: embryonic day 14.5 (more )
Structure Level Pattern Image Note
TS23: dorsal root ganglion Moderate Regionally restricted euxassay_014477_13
TS23: pons mantle layer Strong Uniform euxassay_014477_13
TS23: rest of cerebellum mantle layer Strong Uniform euxassay_014477_13
TS23: telencephalon mantle layer Strong Uniform euxassay_014477_13
TS23: diencephalon lateral wall mantle layer Strong Uniform euxassay_014477_13
TS23: midbrain mantle layer Strong Uniform euxassay_014477_13
TS23: medulla oblongata alar plate mantle layer Strong Uniform euxassay_014477_13
TS23: medulla oblongata basal plate mantle layer Strong Uniform euxassay_014477_13

Specimen euxassay_014477_14: embryonic day 14.5 (more )
Structure Level Pattern Image Note
TS23: dorsal root ganglion Moderate Regionally restricted euxassay_014477_14
TS23: vagus ganglion Weak Regionally restricted euxassay_014477_14
TS23: pons mantle layer Strong Uniform euxassay_014477_14
TS23: rest of cerebellum mantle layer Strong Uniform euxassay_014477_14
TS23: telencephalon mantle layer Strong Uniform euxassay_014477_14
TS23: diencephalon lateral wall mantle layer Strong Uniform euxassay_014477_14
TS23: medulla oblongata alar plate mantle layer Strong Uniform euxassay_014477_14
TS23: medulla oblongata basal plate mantle layer Strong Uniform euxassay_014477_14
TS23: midbrain mantle layer Strong Uniform euxassay_014477_14

Specimen euxassay_014477_15: embryonic day 14.5 (more )
Structure Level Pattern Image Note
TS23: glossopharyngeal ganglion Moderate Regionally restricted euxassay_014477_15
TS23: vestibulo-cochlear ganglion Moderate Regionally restricted euxassay_014477_15
TS23: pons mantle layer Strong Uniform euxassay_014477_15
TS23: rest of cerebellum mantle layer Strong Uniform euxassay_014477_15
TS23: telencephalon mantle layer Strong Uniform euxassay_014477_15
TS23: diencephalon lateral wall mantle layer Strong Uniform euxassay_014477_15
TS23: medulla oblongata alar plate mantle layer Strong Uniform euxassay_014477_15
TS23: medulla oblongata basal plate mantle layer Strong Uniform euxassay_014477_15
TS23: midbrain mantle layer Strong Uniform euxassay_014477_15

Specimen euxassay_014477_16: embryonic day 14.5 (more )
Structure Level Pattern Image Note
TS23: trigeminal ganglion Moderate Regionally restricted euxassay_014477_16
TS23: vestibulo-cochlear ganglion Moderate Regionally restricted euxassay_014477_16
TS23: pons mantle layer Moderate Uniform euxassay_014477_16
TS23: rest of cerebellum mantle layer Moderate Uniform euxassay_014477_16
TS23: telencephalon mantle layer Moderate Uniform euxassay_014477_16
TS23: diencephalon lateral wall mantle layer Moderate Uniform euxassay_014477_16
TS23: midbrain mantle layer Strong Uniform euxassay_014477_16

Specimen euxassay_014477_17: embryonic day 14.5 (more )
Structure Level Pattern Image Note
TS23: trigeminal ganglion Moderate Regionally restricted euxassay_014477_17
TS23: diencephalon lateral wall mantle layer Moderate Uniform euxassay_014477_17
TS23: telencephalon mantle layer Moderate Uniform euxassay_014477_17
TS23: rest of cerebellum mantle layer Moderate Uniform euxassay_014477_17
TS23: pons mantle layer Moderate Uniform euxassay_014477_17

Specimen euxassay_014477_18: embryonic day 14.5 (more )
Structure Level Pattern Image Note
TS23: trigeminal ganglion Moderate Regionally restricted euxassay_014477_18
TS23: facial ganglion Moderate Regionally restricted euxassay_014477_18
TS23: rest of cerebellum mantle layer Moderate Uniform euxassay_014477_18
TS23: telencephalon mantle layer Moderate Uniform euxassay_014477_18

Specimen euxassay_014477_19: embryonic day 14.5 (more )
Structure Level Pattern Image Note
TS23: trigeminal ganglion Moderate Regionally restricted euxassay_014477_19
TS23: telencephalon mantle layer Moderate Uniform euxassay_014477_19
TS23: rest of cerebellum mantle layer Moderate Uniform euxassay_014477_19

Specimen euxassay_014477_20: embryonic day 14.5 (more )
Structure Level Pattern Image Note
TS23: trigeminal ganglion Weak Regionally restricted euxassay_014477_20
TS23: telencephalon mantle layer Moderate Uniform euxassay_014477_20

Specimen euxassay_014477_21: embryonic day 14.5 (more )
Structure Level Pattern Image Note
TS23: telencephalon mantle layer Moderate Uniform euxassay_014477_21

Specimen euxassay_014477_22: embryonic day 14.5 (more )
Structure Level Pattern Image Note
TS23: neural retina Weak Regionally restricted euxassay_014477_22
TS23: telencephalon mantle layer Moderate Uniform euxassay_014477_22

Specimen euxassay_014477_23: embryonic day 14.5 (more )
Structure Level Pattern Image Note
TS23: neural retina Moderate Regionally restricted euxassay_014477_23
TS23: telencephalon mantle layer Moderate Uniform euxassay_014477_23

Specimen euxassay_014477_24: embryonic day 14.5 (more )
Structure Level Pattern Image Note
TS23: neural retina Weak Regionally restricted euxassay_014477_24
TS23: telencephalon mantle layer Moderate Uniform euxassay_014477_24


Contributing Projects:
Mouse Genome Database (MGD), Gene Expression Database (GXD), Mouse Models of Human Cancer database (MMHCdb) (formerly Mouse Tumor Biology (MTB)), Gene Ontology (GO)
Citing These Resources
Funding Information
Warranty Disclaimer, Privacy Notice, Licensing, & Copyright
Send questions and comments to User Support.
last database update
01/20/2026
MGI 6.24
The Jackson Laboratory