About   Help   FAQ
Gene Expression Data
Assay Details
Assay
Reference: J:153498 Diez-Roux G, et al., A high-resolution anatomical atlas of the transcriptome in the mouse embryo. PLoS Biol. 2011;9(1):e1000582
Assay type: RNA in situ
MGI Accession ID: MGI:4828040
Gene symbol: Sh3glb2
Gene name: SH3-domain GRB2-like endophilin B2
Probe: IMAGE clone 538849
Probe preparation: Antisense labelled with digoxigenin RNA
Visualized with: Alkaline phosphatase
Assay notes: Cryosections of fresh frozen material were fixed in 4% paraformaldehyde for 20 min. before further processing. A tyramide-biotin/streptavidin amplification step was included in the in situ hybridization procedure.
Results
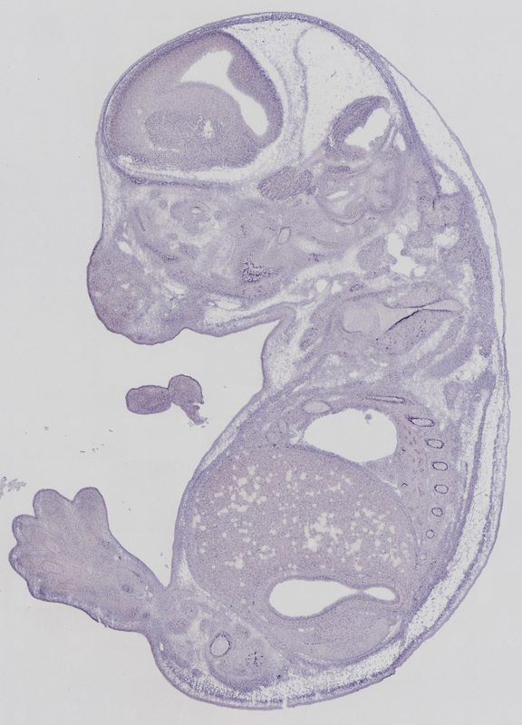
Specimen euxassay_000047_01: embryonic day 14.5 (more )
Structure Level Pattern Image Note
TS23: arm Moderate Regionally restricted euxassay_000047_01
TS23: leg Moderate Regionally restricted euxassay_000047_01
TS23: lens Moderate Regionally restricted euxassay_000047_01
TS23: cerebral cortex Weak Regionally restricted euxassay_000047_01

Specimen euxassay_000047_02: embryonic day 14.5 (more )
Structure Level Pattern Image Note
TS23: cerebral cortex Moderate Regionally restricted euxassay_000047_02
TS23: neural retina Weak Regionally restricted euxassay_000047_02
TS23: arm Moderate Regionally restricted euxassay_000047_02
TS23: leg Moderate Regionally restricted euxassay_000047_02

Specimen euxassay_000047_03: embryonic day 14.5 (more )
Structure Level Pattern Image Note
TS23: cerebral cortex Moderate Regionally restricted euxassay_000047_03
TS23: neural retina Weak Regionally restricted euxassay_000047_03
TS23: scapula Weak Regionally restricted euxassay_000047_03
TS23: clavicle Weak Regionally restricted euxassay_000047_03
TS23: thoracic vertebra Weak Regionally restricted euxassay_000047_03

Specimen euxassay_000047_04: embryonic day 14.5 (more )
Structure Level Pattern Image Note
TS23: rib Weak Regionally restricted euxassay_000047_04
TS23: scapula Weak Regionally restricted euxassay_000047_04
TS23: clavicle Weak Regionally restricted euxassay_000047_04
TS23: femur Weak Regionally restricted euxassay_000047_04
TS23: cerebral cortex Moderate Regionally restricted euxassay_000047_04
TS23: trigeminal ganglion Moderate Uniform euxassay_000047_04
TS23: lung Moderate Spotted euxassay_000047_04

Specimen euxassay_000047_05: embryonic day 14.5 (more )
Structure Level Pattern Image Note
TS23: femur Weak Regionally restricted euxassay_000047_05
TS23: telencephalon Moderate Regionally restricted euxassay_000047_05
TS23: facial ganglion Moderate Uniform euxassay_000047_05
TS23: glossopharyngeal ganglion Moderate Uniform euxassay_000047_05
TS23: trigeminal ganglion Moderate Uniform euxassay_000047_05
TS23: lung Weak Spotted euxassay_000047_05
TS23: rib Moderate Regionally restricted euxassay_000047_05
TS23: scapula Moderate Regionally restricted euxassay_000047_05
TS23: cerebellum Moderate Regionally restricted euxassay_000047_05

Specimen euxassay_000047_06: embryonic day 14.5 (more )
Structure Level Pattern Image Note
TS23: telencephalon Moderate Regionally restricted euxassay_000047_06
TS23: cerebellum Moderate Regionally restricted euxassay_000047_06
TS23: facial ganglion Moderate Uniform euxassay_000047_06
TS23: glossopharyngeal ganglion Moderate Uniform euxassay_000047_06
TS23: trigeminal ganglion Moderate Uniform euxassay_000047_06
TS23: rib Moderate Regionally restricted euxassay_000047_06

Specimen euxassay_000047_07: embryonic day 14.5 (more )
Structure Level Pattern Image Note
TS23: telencephalon Moderate Regionally restricted euxassay_000047_07
TS23: cerebellum Moderate Regionally restricted euxassay_000047_07
TS23: midbrain Moderate Regionally restricted euxassay_000047_07
TS23: metencephalon Moderate Regionally restricted euxassay_000047_07
TS23: trigeminal ganglion Moderate Uniform euxassay_000047_07
TS23: vagus ganglion Moderate Uniform euxassay_000047_07

Specimen euxassay_000047_08: embryonic day 14.5 (more )
Structure Level Pattern Image Note
TS23: telencephalon Moderate Regionally restricted euxassay_000047_08
TS23: diencephalon Moderate Regionally restricted euxassay_000047_08
TS23: cerebellum Moderate Regionally restricted euxassay_000047_08
TS23: midbrain Moderate Regionally restricted euxassay_000047_08
TS23: medulla oblongata Moderate Regionally restricted euxassay_000047_08
TS23: metencephalon Moderate Regionally restricted euxassay_000047_08
TS23: trigeminal ganglion Moderate Uniform euxassay_000047_08
TS23: vestibulo-cochlear ganglion Moderate Uniform euxassay_000047_08
TS23: vagus ganglion Moderate Uniform euxassay_000047_08
TS23: dorsal root ganglion Moderate Uniform euxassay_000047_08
TS23: lung Weak Spotted euxassay_000047_08
TS23: rib Moderate Regionally restricted euxassay_000047_08

Specimen euxassay_000047_09: embryonic day 14.5 (more )
Structure Level Pattern Image Note
TS23: telencephalon Moderate Regionally restricted euxassay_000047_09
TS23: diencephalon Moderate Regionally restricted euxassay_000047_09
TS23: medulla oblongata Moderate Regionally restricted euxassay_000047_09
TS23: metencephalon Moderate Regionally restricted euxassay_000047_09
TS23: midbrain Moderate Regionally restricted euxassay_000047_09
TS23: vagus ganglion Moderate Uniform euxassay_000047_09
TS23: trigeminal ganglion Moderate Uniform euxassay_000047_09
TS23: vestibulo-cochlear ganglion Moderate Uniform euxassay_000047_09
TS23: dorsal root ganglion Moderate Uniform euxassay_000047_09
TS23: rib Weak Regionally restricted euxassay_000047_09

Specimen euxassay_000047_10: embryonic day 14.5 (more )
Structure Level Pattern Image Note
TS23: diencephalon Moderate Regionally restricted euxassay_000047_10
TS23: telencephalon Moderate Regionally restricted euxassay_000047_10
TS23: medulla oblongata Moderate Regionally restricted euxassay_000047_10
TS23: metencephalon Moderate Regionally restricted euxassay_000047_10
TS23: midbrain Moderate Regionally restricted euxassay_000047_10
TS23: spinal cord Moderate Regionally restricted euxassay_000047_10
TS23: vagus ganglion Moderate Uniform euxassay_000047_10
TS23: dorsal root ganglion Moderate Uniform euxassay_000047_10
TS23: turbinate bone primordium Moderate Regionally restricted euxassay_000047_10

Specimen euxassay_000047_11: embryonic day 14.5 (more )
Structure Level Pattern Image Note
TS23: diencephalon Moderate Regionally restricted euxassay_000047_11
TS23: telencephalon Moderate Regionally restricted euxassay_000047_11
TS23: medulla oblongata Moderate Regionally restricted euxassay_000047_11
TS23: metencephalon Moderate Regionally restricted euxassay_000047_11
TS23: midbrain Moderate Regionally restricted euxassay_000047_11
TS23: spinal cord Moderate Regionally restricted euxassay_000047_11
TS23: vagus ganglion Moderate Uniform euxassay_000047_11
TS23: dorsal root ganglion Moderate Uniform euxassay_000047_11
TS23: turbinate bone primordium Moderate Regionally restricted euxassay_000047_11

Specimen euxassay_000047_12: embryonic day 14.5 (more )
Structure Level Pattern Image Note
TS23: turbinate bone primordium Moderate Regionally restricted euxassay_000047_12
TS23: diencephalon Moderate Regionally restricted euxassay_000047_12
TS23: telencephalon Moderate Regionally restricted euxassay_000047_12
TS23: medulla oblongata Moderate Regionally restricted euxassay_000047_12
TS23: metencephalon Moderate Regionally restricted euxassay_000047_12
TS23: midbrain Moderate Regionally restricted euxassay_000047_12
TS23: spinal cord Moderate Regionally restricted euxassay_000047_12
TS23: dorsal root ganglion Moderate Uniform euxassay_000047_12

Specimen euxassay_000047_13: embryonic day 14.5 (more )
Structure Level Pattern Image Note
TS23: diencephalon Moderate Regionally restricted euxassay_000047_13
TS23: telencephalon Moderate Regionally restricted euxassay_000047_13
TS23: medulla oblongata Moderate Regionally restricted euxassay_000047_13
TS23: metencephalon Moderate Regionally restricted euxassay_000047_13
TS23: midbrain Moderate Regionally restricted euxassay_000047_13
TS23: spinal cord Moderate Regionally restricted euxassay_000047_13

Specimen euxassay_000047_14: embryonic day 14.5 (more )
Structure Level Pattern Image Note
TS23: spinal cord Moderate Regionally restricted euxassay_000047_14
TS23: midbrain Moderate Regionally restricted euxassay_000047_14
TS23: metencephalon Moderate Regionally restricted euxassay_000047_14
TS23: medulla oblongata Moderate Regionally restricted euxassay_000047_14
TS23: telencephalon Moderate Regionally restricted euxassay_000047_14
TS23: diencephalon Moderate Regionally restricted euxassay_000047_14

Specimen euxassay_000047_15: embryonic day 14.5 (more )
Structure Level Pattern Image Note
TS23: spinal cord Moderate Regionally restricted euxassay_000047_15
TS23: midbrain Moderate Regionally restricted euxassay_000047_15
TS23: metencephalon Moderate Regionally restricted euxassay_000047_15
TS23: medulla oblongata Moderate Regionally restricted euxassay_000047_15
TS23: telencephalon Moderate Regionally restricted euxassay_000047_15
TS23: diencephalon Moderate Regionally restricted euxassay_000047_15
TS23: turbinate bone primordium Moderate Regionally restricted euxassay_000047_15

Specimen euxassay_000047_16: embryonic day 14.5 (more )
Structure Level Pattern Image Note
TS23: turbinate bone primordium Moderate Regionally restricted euxassay_000047_16
TS23: diencephalon Moderate Regionally restricted euxassay_000047_16
TS23: telencephalon Moderate Regionally restricted euxassay_000047_16
TS23: medulla oblongata Moderate Regionally restricted euxassay_000047_16
TS23: metencephalon Moderate Regionally restricted euxassay_000047_16
TS23: midbrain Moderate Regionally restricted euxassay_000047_16
TS23: spinal cord Moderate Regionally restricted euxassay_000047_16

Specimen euxassay_000047_17: embryonic day 14.5 (more )
Structure Level Pattern Image Note
TS23: turbinate bone primordium Moderate Regionally restricted euxassay_000047_17
TS23: dorsal root ganglion Moderate Uniform euxassay_000047_17
TS23: metencephalon Moderate Regionally restricted euxassay_000047_17
TS23: midbrain Moderate Regionally restricted euxassay_000047_17
TS23: medulla oblongata Moderate Regionally restricted euxassay_000047_17
TS23: telencephalon Moderate Regionally restricted euxassay_000047_17
TS23: diencephalon Moderate Regionally restricted euxassay_000047_17

Specimen euxassay_000047_18: embryonic day 14.5 (more )
Structure Level Pattern Image Note
TS23: dorsal root ganglion Moderate Uniform euxassay_000047_18
TS23: vestibulo-cochlear ganglion Moderate Uniform euxassay_000047_18
TS23: vagus ganglion Moderate Uniform euxassay_000047_18
TS23: trigeminal ganglion Moderate Uniform euxassay_000047_18
TS23: diencephalon Moderate Regionally restricted euxassay_000047_18
TS23: telencephalon Moderate Regionally restricted euxassay_000047_18
TS23: medulla oblongata Moderate Regionally restricted euxassay_000047_18
TS23: metencephalon Moderate Regionally restricted euxassay_000047_18
TS23: midbrain Moderate Regionally restricted euxassay_000047_18

Specimen euxassay_000047_19: embryonic day 14.5 (more )
Structure Level Pattern Image Note
TS23: diencephalon Moderate Regionally restricted euxassay_000047_19
TS23: telencephalon Moderate Regionally restricted euxassay_000047_19
TS23: metencephalon Moderate Regionally restricted euxassay_000047_19
TS23: medulla oblongata Moderate Regionally restricted euxassay_000047_19
TS23: midbrain Moderate Regionally restricted euxassay_000047_19
TS23: vagus ganglion Moderate Regionally restricted euxassay_000047_19
TS23: vestibulo-cochlear ganglion Moderate Regionally restricted euxassay_000047_19
TS23: trigeminal ganglion Moderate Regionally restricted euxassay_000047_19

Specimen euxassay_000047_20: embryonic day 14.5 (more )
Structure Level Pattern Image Note
TS23: facial ganglion Moderate Uniform euxassay_000047_20
TS23: glossopharyngeal ganglion Moderate Uniform euxassay_000047_20
TS23: trigeminal ganglion Moderate Uniform euxassay_000047_20
TS23: vagus ganglion Moderate Uniform euxassay_000047_20
TS23: vestibulo-cochlear ganglion Moderate Uniform euxassay_000047_20
TS23: metencephalon Moderate Regionally restricted euxassay_000047_20
TS23: telencephalon Moderate Regionally restricted euxassay_000047_20
TS23: diencephalon Moderate Regionally restricted euxassay_000047_20
TS23: midbrain Moderate Regionally restricted euxassay_000047_20
TS23: rib Moderate Regionally restricted euxassay_000047_20

Specimen euxassay_000047_21: embryonic day 14.5 (more )
Structure Level Pattern Image Note
TS23: telencephalon Moderate Regionally restricted euxassay_000047_21
TS23: metencephalon Moderate Regionally restricted euxassay_000047_21
TS23: midbrain Moderate Regionally restricted euxassay_000047_21
TS23: facial ganglion Moderate Uniform euxassay_000047_21
TS23: trigeminal ganglion Moderate Uniform euxassay_000047_21
TS23: vestibulo-cochlear ganglion Moderate Uniform euxassay_000047_21
TS23: rib Moderate Regionally restricted euxassay_000047_21

Specimen euxassay_000047_22: embryonic day 14.5 (more )
Structure Level Pattern Image Note
TS23: rib Moderate Regionally restricted euxassay_000047_22
TS23: trigeminal ganglion Moderate Uniform euxassay_000047_22
TS23: facial ganglion Moderate Uniform euxassay_000047_22
TS23: telencephalon Moderate Regionally restricted euxassay_000047_22
TS23: metencephalon Moderate Regionally restricted euxassay_000047_22

Specimen euxassay_000047_23: embryonic day 14.5 (more )
Structure Level Pattern Image Note
TS23: telencephalon Moderate Regionally restricted euxassay_000047_23
TS23: metencephalon Moderate Regionally restricted euxassay_000047_23
TS23: trigeminal ganglion Moderate Uniform euxassay_000047_23
TS23: rib Weak Regionally restricted euxassay_000047_23
TS23: femur Moderate Regionally restricted euxassay_000047_23

Specimen euxassay_000047_24: embryonic day 14.5 (more )
Structure Level Pattern Image Note
TS23: femur Moderate Regionally restricted euxassay_000047_24
TS23: rib Weak Regionally restricted euxassay_000047_24
TS23: trigeminal ganglion Moderate Uniform euxassay_000047_24
TS23: telencephalon Moderate Regionally restricted euxassay_000047_24
TS23: neural retina Weak Regionally restricted euxassay_000047_24


Contributing Projects:
Mouse Genome Database (MGD), Gene Expression Database (GXD), Mouse Models of Human Cancer database (MMHCdb) (formerly Mouse Tumor Biology (MTB)), Gene Ontology (GO)
Citing These Resources
Funding Information
Warranty Disclaimer, Privacy Notice, Licensing, & Copyright
Send questions and comments to User Support.
last database update
01/06/2026
MGI 6.24
The Jackson Laboratory