About   Help   FAQ
Gene Expression Data
Assay Details
Assay
Reference: J:153498 Diez-Roux G, et al., A high-resolution anatomical atlas of the transcriptome in the mouse embryo. PLoS Biol. 2011;9(1):e1000582
Assay type: RNA in situ
MGI Accession ID: MGI:4828000
Gene symbol: Serpine2
Gene name: serine (or cysteine) peptidase inhibitor, clade E, member 2
Probe: IMAGE clone 1547188
Probe preparation: Antisense labelled with digoxigenin RNA
Visualized with: Alkaline phosphatase
Assay notes: Cryosections of fresh frozen material were fixed in 4% paraformaldehyde for 20 min. before further processing. A tyramide-biotin/streptavidin amplification step was included in the in situ hybridization procedure.
Results
Specimen Table S9 - Serpine2: embryonic day 14.5 (more )
Note: The probe used to generate this data was not specified; another gene-specific probe may have been used.
Structure Level Pattern Image Note
TS23: liver Present Single cells Expression is present in single cells in which the intercellular distance between stained cells is much larger than the cell diameter of an individual cell. A thumbnail photo of the staining is contained in the table.

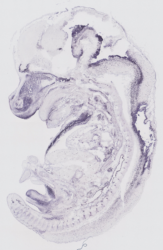
Specimen euxassay_007870_01: embryonic day 14.5 (more )
Structure Level Pattern Image Note
TS23: hindlimb digit 5 phalanx Strong Regionally restricted euxassay_007870_01
TS23: hindlimb digit 5 metatarsal Strong Regionally restricted euxassay_007870_01
TS23: hindlimb digit 4 phalanx Strong Regionally restricted euxassay_007870_01
TS23: hindlimb digit 4 metatarsal Strong Regionally restricted euxassay_007870_01
TS23: hindlimb digit 3 metatarsal Strong Regionally restricted euxassay_007870_01
TS23: hindlimb digit 2 metatarsal Strong Regionally restricted euxassay_007870_01
TS23: hindlimb digit 1 metatarsal Strong Regionally restricted euxassay_007870_01
TS23: eye skeletal muscle Strong Regionally restricted euxassay_007870_01

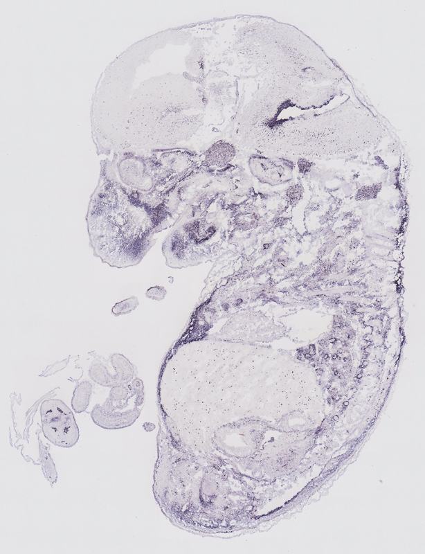
Specimen euxassay_007870_02: embryonic day 14.5 (more )
Structure Level Pattern Image Note
TS23: rest of cerebellum ventricular layer Strong Regionally restricted euxassay_007870_02
TS23: telencephalon mantle layer Strong Single cells euxassay_007870_02
TS23: hand mesenchyme Strong Regionally restricted euxassay_007870_02
TS23: foot mesenchyme Strong Regionally restricted euxassay_007870_02
TS23: eye skeletal muscle Strong Regionally restricted euxassay_007870_02
TS23: trigeminal ganglion Moderate Regionally restricted euxassay_007870_02

Specimen euxassay_007870_03: embryonic day 14.5 (more )
Structure Level Pattern Image Note
TS23: rest of cerebellum ventricular layer Strong Regionally restricted euxassay_007870_03
TS23: telencephalon mantle layer Strong Single cells euxassay_007870_03
TS23: vibrissa Moderate Regionally restricted euxassay_007870_03
TS23: forelimb digit 3 phalanx Strong Regionally restricted euxassay_007870_03
TS23: forelimb digit 2 phalanx Strong Regionally restricted euxassay_007870_03
TS23: eye skeletal muscle Strong Regionally restricted euxassay_007870_03
TS23: mandible Moderate Regionally restricted euxassay_007870_03
TS23: maxilla Moderate Regionally restricted euxassay_007870_03
TS23: trigeminal ganglion Moderate Regionally restricted euxassay_007870_03

Specimen euxassay_007870_04: embryonic day 14.5 (more )
Structure Level Pattern Image Note
TS23: rest of cerebellum ventricular layer Strong Regionally restricted euxassay_007870_04
TS23: telencephalon mantle layer Strong Single cells euxassay_007870_04
TS23: vibrissa Strong Regionally restricted euxassay_007870_04
TS23: forelimb digit 1 phalanx Strong Regionally restricted euxassay_007870_04
TS23: forelimb digit 2 phalanx Strong Regionally restricted euxassay_007870_04
TS23: eye skeletal muscle Strong Regionally restricted euxassay_007870_04
TS23: lung Moderate Regionally restricted euxassay_007870_04
TS23: maxilla Strong Regionally restricted euxassay_007870_04
TS23: mandible Strong Regionally restricted euxassay_007870_04
TS23: trigeminal ganglion Moderate Regionally restricted euxassay_007870_04

Specimen euxassay_007870_05: embryonic day 14.5 (more )
Structure Level Pattern Image Note
TS23: rest of cerebellum ventricular layer Strong Regionally restricted euxassay_007870_05
TS23: pons ventricular layer Strong Regionally restricted euxassay_007870_05
TS23: telencephalon mantle layer Strong Single cells euxassay_007870_05
TS23: midbrain mantle layer Strong Single cells euxassay_007870_05
TS23: pons mantle layer Strong Single cells euxassay_007870_05
TS23: medulla oblongata alar plate mantle layer Strong Single cells euxassay_007870_05
TS23: vibrissa Strong Regionally restricted euxassay_007870_05
TS23: forelimb digit 2 phalanx Strong Regionally restricted euxassay_007870_05
TS23: forelimb digit 1 phalanx Strong Regionally restricted euxassay_007870_05
TS23: lung Moderate Regionally restricted euxassay_007870_05
TS23: mandible Strong Regionally restricted euxassay_007870_05
TS23: maxilla Strong Regionally restricted euxassay_007870_05
TS23: trigeminal ganglion Moderate Regionally restricted euxassay_007870_05
TS23: glossopharyngeal ganglion Moderate Regionally restricted euxassay_007870_05

Specimen euxassay_007870_06: embryonic day 14.5 (more )
Structure Level Pattern Image Note
TS23: rest of cerebellum ventricular layer Strong Regionally restricted euxassay_007870_06
TS23: pons ventricular layer Strong Regionally restricted euxassay_007870_06
TS23: midbrain mantle layer Strong Single cells euxassay_007870_06
TS23: telencephalon mantle layer Strong Single cells euxassay_007870_06
TS23: medulla oblongata alar plate mantle layer Strong Single cells euxassay_007870_06
TS23: medulla oblongata basal plate mantle layer Strong Single cells euxassay_007870_06
TS23: pons mantle layer Strong Single cells euxassay_007870_06
TS23: dorsal root ganglion Moderate Regionally restricted euxassay_007870_06
TS23: lung Moderate Regionally restricted euxassay_007870_06
TS23: mandible Strong Regionally restricted euxassay_007870_06
TS23: maxilla Strong Regionally restricted euxassay_007870_06
TS23: upper lip Strong Regionally restricted euxassay_007870_06
TS23: lower lip Strong Regionally restricted euxassay_007870_06
TS23: trigeminal ganglion Moderate Regionally restricted euxassay_007870_06
TS23: glossopharyngeal ganglion Moderate Regionally restricted euxassay_007870_06

Specimen euxassay_007870_07: embryonic day 14.5 (more )
Structure Level Pattern Image Note
TS23: pons ventricular layer Strong Regionally restricted euxassay_007870_07
TS23: rest of cerebellum ventricular layer Strong Regionally restricted euxassay_007870_07
TS23: midbrain mantle layer Strong Single cells euxassay_007870_07
TS23: telencephalon mantle layer Strong Single cells euxassay_007870_07
TS23: diencephalon lateral wall mantle layer Strong Single cells euxassay_007870_07
TS23: pons mantle layer Strong Single cells euxassay_007870_07
TS23: medulla oblongata basal plate mantle layer Strong Single cells euxassay_007870_07
TS23: medulla oblongata alar plate mantle layer Strong Single cells euxassay_007870_07
TS23: dorsal root ganglion Moderate Regionally restricted euxassay_007870_07
TS23: lung Moderate Regionally restricted euxassay_007870_07
TS23: turbinate bone primordium Moderate Regionally restricted euxassay_007870_07
TS23: mandible Strong Regionally restricted euxassay_007870_07
TS23: upper lip Strong Regionally restricted euxassay_007870_07
TS23: lower lip Strong Regionally restricted euxassay_007870_07
TS23: trigeminal ganglion Moderate Regionally restricted euxassay_007870_07

Specimen euxassay_007870_08: embryonic day 14.5 (more )
Structure Level Pattern Image Note
TS23: pons ventricular layer Strong Regionally restricted euxassay_007870_08
TS23: rest of cerebellum ventricular layer Strong Regionally restricted euxassay_007870_08
TS23: medulla oblongata alar plate ventricular layer Strong Regionally restricted euxassay_007870_08
TS23: medulla oblongata basal plate ventricular layer Strong Regionally restricted euxassay_007870_08
TS23: midbrain ventricular layer Strong Regionally restricted euxassay_007870_08
TS23: midbrain mantle layer Strong Single cells euxassay_007870_08
TS23: diencephalon lateral wall mantle layer Strong Single cells euxassay_007870_08
TS23: telencephalon mantle layer Strong Single cells euxassay_007870_08
TS23: medulla oblongata basal plate mantle layer Strong Single cells euxassay_007870_08
TS23: medulla oblongata alar plate mantle layer Strong Single cells euxassay_007870_08
TS23: pons mantle layer Strong Single cells euxassay_007870_08
TS23: ventral grey horn Strong Single cells euxassay_007870_08
TS23: dorsal root ganglion Moderate Regionally restricted euxassay_007870_08
TS23: lung Moderate Regionally restricted euxassay_007870_08
TS23: olfactory cortex marginal layer Strong Regionally restricted euxassay_007870_08
TS23: turbinate bone primordium Strong Regionally restricted euxassay_007870_08
TS23: upper lip Strong Regionally restricted euxassay_007870_08
TS23: lower lip Strong Regionally restricted euxassay_007870_08
TS23: mandible Strong Regionally restricted euxassay_007870_08

Specimen euxassay_007870_09: embryonic day 14.5 (more )
Structure Level Pattern Image Note
TS23: medulla oblongata basal plate ventricular layer Strong Regionally restricted euxassay_007870_09
TS23: medulla oblongata alar plate ventricular layer Strong Regionally restricted euxassay_007870_09
TS23: rest of cerebellum ventricular layer Strong Regionally restricted euxassay_007870_09
TS23: pons ventricular layer Strong Regionally restricted euxassay_007870_09
TS23: midbrain ventricular layer Strong Regionally restricted euxassay_007870_09
TS23: midbrain mantle layer Strong Single cells euxassay_007870_09
TS23: telencephalon mantle layer Strong Single cells euxassay_007870_09
TS23: diencephalon lateral wall marginal layer Strong Single cells euxassay_007870_09
TS23: hypothalamus mantle layer Strong Single cells euxassay_007870_09
TS23: medulla oblongata basal plate mantle layer Strong Single cells euxassay_007870_09
TS23: pons mantle layer Strong Single cells euxassay_007870_09
TS23: ventral grey horn Strong Single cells euxassay_007870_09
TS23: dorsal root ganglion Moderate Regionally restricted euxassay_007870_09
TS23: glans of male genital tubercle Moderate Regionally restricted euxassay_007870_09
TS23: lung Moderate Regionally restricted euxassay_007870_09
TS23: olfactory cortex marginal layer Strong Regionally restricted euxassay_007870_09
TS23: sternum Strong Regionally restricted euxassay_007870_09
TS23: thymus primordium Moderate Regionally restricted euxassay_007870_09
TS23: turbinate bone primordium Strong Regionally restricted euxassay_007870_09
TS23: upper jaw incisor Strong Regionally restricted euxassay_007870_09
TS23: lower jaw incisor Strong Regionally restricted euxassay_007870_09
TS23: upper lip Strong Regionally restricted euxassay_007870_09
TS23: lower lip Strong Regionally restricted euxassay_007870_09

Specimen euxassay_007870_10: embryonic day 14.5 (more )
Structure Level Pattern Image Note
TS23: pons ventricular layer Strong Regionally restricted euxassay_007870_10
TS23: medulla oblongata basal plate ventricular layer Strong Regionally restricted euxassay_007870_10
TS23: medulla oblongata alar plate ventricular layer Strong Regionally restricted euxassay_007870_10
TS23: midbrain ventricular layer Strong Regionally restricted euxassay_007870_10
TS23: hypothalamus ventricular layer Strong Regionally restricted euxassay_007870_10
TS23: diencephalon lateral wall ventricular layer Strong Regionally restricted euxassay_007870_10
TS23: midbrain mantle layer Strong Single cells euxassay_007870_10
TS23: diencephalon lateral wall mantle layer Strong Single cells euxassay_007870_10
TS23: hypothalamus mantle layer Strong Single cells euxassay_007870_10
TS23: medulla oblongata basal plate mantle layer Strong Single cells euxassay_007870_10
TS23: pons mantle layer Strong Single cells euxassay_007870_10
TS23: ventral grey horn Strong Single cells euxassay_007870_10
TS23: spinal cord ventricular layer Strong Regionally restricted euxassay_007870_10
TS23: glans of male genital tubercle Moderate Regionally restricted euxassay_007870_10
TS23: olfactory cortex marginal layer Strong Regionally restricted euxassay_007870_10
TS23: axial skeleton Moderate Regionally restricted euxassay_007870_10
TS23: sternum Strong Regionally restricted euxassay_007870_10
TS23: thymus primordium Moderate Regionally restricted euxassay_007870_10
TS23: turbinate bone primordium Strong Regionally restricted euxassay_007870_10
TS23: nasal septum Strong Regionally restricted euxassay_007870_10
TS23: upper jaw incisor Strong Regionally restricted euxassay_007870_10
TS23: lower jaw incisor Strong Regionally restricted euxassay_007870_10
TS23: tail mesenchyme Moderate Regionally restricted euxassay_007870_10

Specimen euxassay_007870_11: embryonic day 14.5 (more )
Structure Level Pattern Image Note
TS23: medulla oblongata basal plate ventricular layer Strong Regionally restricted euxassay_007870_11
TS23: pons ventricular layer Strong Regionally restricted euxassay_007870_11
TS23: midbrain ventricular layer Strong Regionally restricted euxassay_007870_11
TS23: hypothalamus ventricular layer Strong Regionally restricted euxassay_007870_11
TS23: diencephalon lateral wall ventricular layer Strong Regionally restricted euxassay_007870_11
TS23: midbrain mantle layer Strong Single cells euxassay_007870_11
TS23: telencephalon mantle layer Strong Single cells euxassay_007870_11
TS23: diencephalon lateral wall mantle layer Strong Single cells euxassay_007870_11
TS23: pons mantle layer Strong Single cells euxassay_007870_11
TS23: medulla oblongata basal plate mantle layer Strong Single cells euxassay_007870_11
TS23: ventral grey horn Strong Single cells euxassay_007870_11
TS23: spinal cord ventricular layer Strong Regionally restricted euxassay_007870_11
TS23: glans of male genital tubercle Moderate Regionally restricted euxassay_007870_11
TS23: lung Moderate Regionally restricted euxassay_007870_11
TS23: olfactory cortex marginal layer Strong Regionally restricted euxassay_007870_11
TS23: axial skeleton Moderate Regionally restricted euxassay_007870_11
TS23: sternum Strong Regionally restricted euxassay_007870_11
TS23: nasal septum Strong Regionally restricted euxassay_007870_11
TS23: tail mesenchyme Moderate Regionally restricted euxassay_007870_11

Specimen euxassay_007870_12: embryonic day 14.5 (more )
Structure Level Pattern Image Note
TS23: medulla oblongata basal plate ventricular layer Strong Regionally restricted euxassay_007870_12
TS23: medulla oblongata alar plate ventricular layer Strong Regionally restricted euxassay_007870_12
TS23: pons ventricular layer Strong Regionally restricted euxassay_007870_12
TS23: midbrain ventricular layer Strong Regionally restricted euxassay_007870_12
TS23: diencephalon lateral wall ventricular layer Strong Regionally restricted euxassay_007870_12
TS23: hypothalamus ventricular layer Strong Regionally restricted euxassay_007870_12
TS23: diencephalon lateral wall mantle layer Strong Single cells euxassay_007870_12
TS23: hypothalamus mantle layer Strong Single cells euxassay_007870_12
TS23: midbrain mantle layer Strong Single cells euxassay_007870_12
TS23: pons mantle layer Strong Single cells euxassay_007870_12
TS23: medulla oblongata basal plate mantle layer Strong Single cells euxassay_007870_12
TS23: ventral grey horn Strong Single cells euxassay_007870_12
TS23: spinal cord ventricular layer Strong Regionally restricted euxassay_007870_12
TS23: glans of male genital tubercle Moderate Regionally restricted euxassay_007870_12
TS23: lung Moderate Regionally restricted euxassay_007870_12
TS23: axial skeleton Moderate Regionally restricted euxassay_007870_12
TS23: sternum Strong Regionally restricted euxassay_007870_12
TS23: thymus primordium Moderate Regionally restricted euxassay_007870_12
TS23: nasal septum Strong Regionally restricted euxassay_007870_12
TS23: lower jaw incisor Strong Regionally restricted euxassay_007870_12
TS23: upper lip Strong Regionally restricted euxassay_007870_12
TS23: lower lip Strong Regionally restricted euxassay_007870_12
TS23: tail mesenchyme Moderate Regionally restricted euxassay_007870_12

Specimen euxassay_007870_13: embryonic day 14.5 (more )
Structure Level Pattern Image Note
TS23: pons ventricular layer Strong Regionally restricted euxassay_007870_13
TS23: medulla oblongata basal plate ventricular layer Strong Regionally restricted euxassay_007870_13
TS23: midbrain ventricular layer Strong Regionally restricted euxassay_007870_13
TS23: hypothalamus mantle layer Strong Single cells euxassay_007870_13
TS23: diencephalon lateral wall mantle layer Strong Single cells euxassay_007870_13
TS23: midbrain mantle layer Strong Single cells euxassay_007870_13
TS23: telencephalon mantle layer Strong Single cells euxassay_007870_13
TS23: medulla oblongata alar plate mantle layer Strong Single cells euxassay_007870_13
TS23: medulla oblongata basal plate mantle layer Strong Single cells euxassay_007870_13
TS23: pons mantle layer Strong Single cells euxassay_007870_13
TS23: ventral grey horn Strong Single cells euxassay_007870_13
TS23: glans of male genital tubercle Moderate Regionally restricted euxassay_007870_13
TS23: lung Moderate Regionally restricted euxassay_007870_13
TS23: olfactory cortex marginal layer Strong Regionally restricted euxassay_007870_13
TS23: axial skeleton Moderate Regionally restricted euxassay_007870_13
TS23: sternum Strong Regionally restricted euxassay_007870_13
TS23: thymus primordium Moderate Regionally restricted euxassay_007870_13
TS23: nasal septum Strong Regionally restricted euxassay_007870_13
TS23: turbinate bone primordium Strong Regionally restricted euxassay_007870_13
TS23: lower jaw incisor Strong Regionally restricted euxassay_007870_13
TS23: upper jaw incisor Strong Regionally restricted euxassay_007870_13
TS23: tail mesenchyme Moderate Regionally restricted euxassay_007870_13

Specimen euxassay_007870_14: embryonic day 14.5 (more )
Structure Level Pattern Image Note
TS23: pons ventricular layer Strong Regionally restricted euxassay_007870_14
TS23: midbrain ventricular layer Strong Regionally restricted euxassay_007870_14
TS23: diencephalon lateral wall mantle layer Strong Single cells euxassay_007870_14
TS23: hypothalamus mantle layer Strong Single cells euxassay_007870_14
TS23: midbrain mantle layer Strong Single cells euxassay_007870_14
TS23: pons mantle layer Strong Single cells euxassay_007870_14
TS23: medulla oblongata basal plate mantle layer Strong Single cells euxassay_007870_14
TS23: medulla oblongata alar plate mantle layer Strong Single cells euxassay_007870_14
TS23: ventral grey horn Strong Single cells euxassay_007870_14
TS23: dorsal root ganglion Moderate Regionally restricted euxassay_007870_14
TS23: glans of male genital tubercle Moderate Regionally restricted euxassay_007870_14
TS23: lung Moderate Regionally restricted euxassay_007870_14
TS23: olfactory cortex marginal layer Strong Regionally restricted euxassay_007870_14
TS23: sternum Strong Regionally restricted euxassay_007870_14
TS23: turbinate bone primordium Strong Regionally restricted euxassay_007870_14
TS23: mandible Strong Regionally restricted euxassay_007870_14
TS23: upper lip Strong Regionally restricted euxassay_007870_14
TS23: lower lip Strong Regionally restricted euxassay_007870_14

Specimen euxassay_007870_15: embryonic day 14.5 (more )
Structure Level Pattern Image Note
TS23: pons ventricular layer Strong Regionally restricted euxassay_007870_15
TS23: rest of cerebellum ventricular layer Strong Regionally restricted euxassay_007870_15
TS23: telencephalon mantle layer Strong Single cells euxassay_007870_15
TS23: diencephalon lateral wall mantle layer Strong Single cells euxassay_007870_15
TS23: hypothalamus mantle layer Strong Single cells euxassay_007870_15
TS23: midbrain mantle layer Strong Single cells euxassay_007870_15
TS23: pons mantle layer Strong Single cells euxassay_007870_15
TS23: medulla oblongata alar plate mantle layer Strong Single cells euxassay_007870_15
TS23: medulla oblongata basal plate mantle layer Strong Single cells euxassay_007870_15
TS23: dorsal root ganglion Moderate Regionally restricted euxassay_007870_15
TS23: lung Moderate Regionally restricted euxassay_007870_15
TS23: olfactory cortex marginal layer Strong Regionally restricted euxassay_007870_15
TS23: sternum Strong Regionally restricted euxassay_007870_15
TS23: turbinate bone primordium Strong Regionally restricted euxassay_007870_15
TS23: mandible Strong Regionally restricted euxassay_007870_15
TS23: upper lip Strong Regionally restricted euxassay_007870_15
TS23: vagus ganglion Moderate Regionally restricted euxassay_007870_15
TS23: trigeminal ganglion Moderate Regionally restricted euxassay_007870_15

Specimen euxassay_007870_16: embryonic day 14.5 (more )
Structure Level Pattern Image Note
TS23: pons ventricular layer Strong Regionally restricted euxassay_007870_16
TS23: rest of cerebellum ventricular layer Strong Regionally restricted euxassay_007870_16
TS23: midbrain mantle layer Strong Single cells euxassay_007870_16
TS23: pons mantle layer Strong Single cells euxassay_007870_16
TS23: medulla oblongata basal plate mantle layer Strong Single cells euxassay_007870_16
TS23: medulla oblongata alar plate mantle layer Strong Single cells euxassay_007870_16
TS23: lung Moderate Regionally restricted euxassay_007870_16
TS23: turbinate bone primordium Strong Regionally restricted euxassay_007870_16
TS23: upper lip Moderate Regionally restricted euxassay_007870_16
TS23: lower lip Moderate Regionally restricted euxassay_007870_16
TS23: maxilla Strong Regionally restricted euxassay_007870_16
TS23: mandible Strong Regionally restricted euxassay_007870_16
TS23: trigeminal ganglion Moderate Regionally restricted euxassay_007870_16
TS23: glossopharyngeal ganglion Moderate Regionally restricted euxassay_007870_16

Specimen euxassay_007870_17: embryonic day 14.5 (more )
Structure Level Pattern Image Note
TS23: rest of cerebellum ventricular layer Strong Regionally restricted euxassay_007870_17
TS23: telencephalon mantle layer Strong Single cells euxassay_007870_17
TS23: pons mantle layer Strong Single cells euxassay_007870_17
TS23: forelimb digit 1 phalanx Strong Regionally restricted euxassay_007870_17
TS23: forelimb digit 2 phalanx Strong Regionally restricted euxassay_007870_17
TS23: lung Moderate Regionally restricted euxassay_007870_17
TS23: upper lip Moderate Regionally restricted euxassay_007870_17
TS23: lower lip Moderate Regionally restricted euxassay_007870_17
TS23: maxilla Strong Regionally restricted euxassay_007870_17
TS23: mandible Strong Regionally restricted euxassay_007870_17
TS23: trigeminal ganglion Moderate Regionally restricted euxassay_007870_17

Specimen euxassay_007870_18: embryonic day 14.5 (more )
Structure Level Pattern Image Note
TS23: rest of cerebellum ventricular layer Strong Regionally restricted euxassay_007870_18
TS23: telencephalon mantle layer Strong Single cells euxassay_007870_18
TS23: vibrissa Strong Regionally restricted euxassay_007870_18
TS23: forelimb digit 1 phalanx Strong Regionally restricted euxassay_007870_18
TS23: forelimb digit 2 phalanx Strong Regionally restricted euxassay_007870_18
TS23: lung Moderate Regionally restricted euxassay_007870_18
TS23: mandible Strong Regionally restricted euxassay_007870_18
TS23: maxilla Strong Regionally restricted euxassay_007870_18
TS23: trigeminal ganglion Moderate Regionally restricted euxassay_007870_18

Specimen euxassay_007870_19: embryonic day 14.5 (more )
Structure Level Pattern Image Note
TS23: rest of cerebellum ventricular layer Strong Regionally restricted euxassay_007870_19
TS23: telencephalon mantle layer Strong Single cells euxassay_007870_19
TS23: vibrissa Strong Regionally restricted euxassay_007870_19
TS23: hindlimb digit 5 phalanx Strong Regionally restricted euxassay_007870_19
TS23: hindlimb digit 5 metatarsal Strong Regionally restricted euxassay_007870_19
TS23: hindlimb digit 4 phalanx Strong Regionally restricted euxassay_007870_19
TS23: hindlimb digit 4 metatarsal Strong Regionally restricted euxassay_007870_19
TS23: hindlimb digit 3 phalanx Strong Regionally restricted euxassay_007870_19
TS23: hindlimb digit 3 metatarsal Strong Regionally restricted euxassay_007870_19
TS23: hindlimb digit 2 phalanx Strong Regionally restricted euxassay_007870_19
TS23: hindlimb digit 2 metatarsal Strong Regionally restricted euxassay_007870_19
TS23: hindlimb digit 1 phalanx Strong Regionally restricted euxassay_007870_19
TS23: forelimb digit 1 phalanx Strong Regionally restricted euxassay_007870_19
TS23: forelimb digit 2 phalanx Strong Regionally restricted euxassay_007870_19
TS23: forelimb digit 3 phalanx Strong Regionally restricted euxassay_007870_19
TS23: eye skeletal muscle Strong Regionally restricted euxassay_007870_19
TS23: lung Moderate Regionally restricted euxassay_007870_19
TS23: trigeminal ganglion Moderate Regionally restricted euxassay_007870_19

Specimen euxassay_007870_20: embryonic day 14.5 (more )
Structure Level Pattern Image Note
TS23: telencephalon mantle layer Strong Single cells euxassay_007870_20
TS23: vibrissa Weak Regionally restricted euxassay_007870_20
TS23: hindlimb digit 1 phalanx Strong Regionally restricted euxassay_007870_20
TS23: hindlimb digit 2 phalanx Strong Regionally restricted euxassay_007870_20
TS23: hindlimb digit 2 metatarsal Strong Regionally restricted euxassay_007870_20
TS23: hindlimb digit 1 metatarsal Strong Regionally restricted euxassay_007870_20
TS23: hindlimb digit 3 metatarsal Strong Regionally restricted euxassay_007870_20
TS23: hindlimb digit 3 phalanx Strong Regionally restricted euxassay_007870_20
TS23: hindlimb digit 4 phalanx Strong Regionally restricted euxassay_007870_20
TS23: hindlimb digit 4 metatarsal Strong Regionally restricted euxassay_007870_20
TS23: hindlimb digit 5 phalanx Strong Regionally restricted euxassay_007870_20
TS23: hindlimb digit 5 metatarsal Strong Regionally restricted euxassay_007870_20
TS23: eye skeletal muscle Strong Regionally restricted euxassay_007870_20
TS23: trigeminal ganglion Moderate Regionally restricted euxassay_007870_20

Specimen euxassay_007870_21: embryonic day 14.5 (more )
Structure Level Pattern Image Note
TS23: telencephalon mantle layer Strong Single cells euxassay_007870_21
TS23: eye skeletal muscle Strong Regionally restricted euxassay_007870_21

Specimen euxassay_007870_22: embryonic day 14.5 (more )
Structure Level Pattern Image Note
TS23: eye skeletal muscle Strong Regionally restricted euxassay_007870_22


Contributing Projects:
Mouse Genome Database (MGD), Gene Expression Database (GXD), Mouse Models of Human Cancer database (MMHCdb) (formerly Mouse Tumor Biology (MTB)), Gene Ontology (GO)
Citing These Resources
Funding Information
Warranty Disclaimer, Privacy Notice, Licensing, & Copyright
Send questions and comments to User Support.
last database update
03/31/2026
MGI 6.24
The Jackson Laboratory