About   Help   FAQ
Gene Expression Data
Assay Details
Assay
Reference: J:153498 Diez-Roux G, et al., A high-resolution anatomical atlas of the transcriptome in the mouse embryo. PLoS Biol. 2011;9(1):e1000582
Assay type: RNA in situ
MGI Accession ID: MGI:4827984
Gene symbol: Serpina6
Gene name: serine (or cysteine) peptidase inhibitor, clade A, member 6
Probe: MGC clone 18492
Probe preparation: Antisense labelled with digoxigenin RNA
Visualized with: Alkaline phosphatase
Assay notes: Cryosections of fresh frozen material were fixed in 4% paraformaldehyde for 20 min. before further processing. A tyramide-biotin/streptavidin amplification step was included in the in situ hybridization procedure.
Results
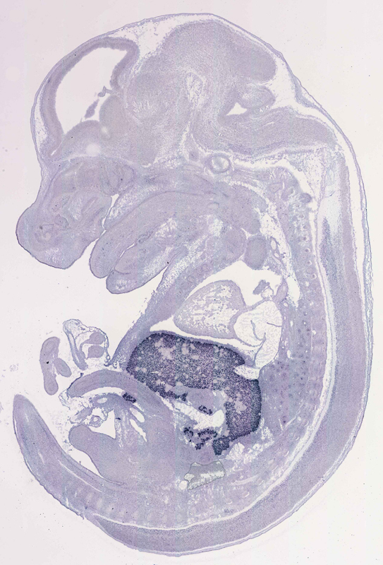
Specimen euxassay_006778_01: embryonic day 14.5 (more )
Structure Level Pattern Image Note
TS23: liver Strong Regionally restricted euxassay_006778_01

Specimen euxassay_006778_02: embryonic day 14.5 (more )
Structure Level Pattern Image Note
TS23: liver Strong Regionally restricted euxassay_006778_02

Specimen euxassay_006778_03: embryonic day 14.5 (more )
Structure Level Pattern Image Note
TS23: liver Strong Regionally restricted euxassay_006778_03

Specimen euxassay_006778_04: embryonic day 14.5 (more )
Structure Level Pattern Image Note
TS23: liver Strong Regionally restricted euxassay_006778_04

Specimen euxassay_006778_05: embryonic day 14.5 (more )
Structure Level Pattern Image Note
TS23: liver Strong Regionally restricted euxassay_006778_05

Specimen euxassay_006778_06: embryonic day 14.5 (more )
Structure Level Pattern Image Note
TS23: liver Strong Regionally restricted euxassay_006778_06

Specimen euxassay_006778_07: embryonic day 14.5 (more )
Structure Level Pattern Image Note
TS23: liver Strong Regionally restricted euxassay_006778_07

Specimen euxassay_006778_08: embryonic day 14.5 (more )
Structure Level Pattern Image Note
TS23: liver Strong Regionally restricted euxassay_006778_08

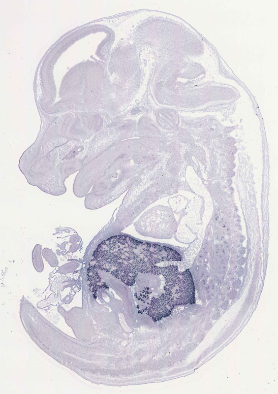
Specimen euxassay_006778_09: embryonic day 14.5 (more )
Structure Level Pattern Image Note
TS23: liver Strong Regionally restricted euxassay_006778_09
TS23: pancreas Strong Regionally restricted euxassay_006778_09

Specimen euxassay_006778_10: embryonic day 14.5 (more )
Structure Level Pattern Image Note
TS23: liver Strong Regionally restricted euxassay_006778_10
TS23: pancreas Strong Regionally restricted euxassay_006778_10

Specimen euxassay_006778_11: embryonic day 14.5 (more )
Structure Level Pattern Image Note
TS23: liver Strong Regionally restricted euxassay_006778_11
TS23: pancreas Strong Regionally restricted euxassay_006778_11

Specimen euxassay_006778_12: embryonic day 14.5 (more )
Structure Level Pattern Image Note
TS23: liver Strong Regionally restricted euxassay_006778_12
TS23: pancreas Strong Regionally restricted euxassay_006778_12

Specimen euxassay_006778_13: embryonic day 14.5 (more )
Structure Level Pattern Image Note
TS23: liver Strong Regionally restricted euxassay_006778_13
TS23: pancreas Strong Regionally restricted euxassay_006778_13

Specimen euxassay_006778_14: embryonic day 14.5 (more )
Structure Level Pattern Image Note
TS23: liver Strong Regionally restricted euxassay_006778_14
TS23: pancreas Strong Regionally restricted euxassay_006778_14

Specimen euxassay_006778_15: embryonic day 14.5 (more )
Structure Level Pattern Image Note
TS23: liver Strong Regionally restricted euxassay_006778_15
TS23: pancreas Strong Regionally restricted euxassay_006778_15

Specimen euxassay_006778_16: embryonic day 14.5 (more )
Structure Level Pattern Image Note
TS23: liver Strong Regionally restricted euxassay_006778_16
TS23: pancreas Strong Regionally restricted euxassay_006778_16

Specimen euxassay_006778_17: embryonic day 14.5 (more )
Structure Level Pattern Image Note
TS23: liver Strong Regionally restricted euxassay_006778_17
TS23: pancreas Strong Regionally restricted euxassay_006778_17

Specimen euxassay_006778_18: embryonic day 14.5 (more )
Structure Level Pattern Image Note
TS23: liver Strong Regionally restricted euxassay_006778_18
TS23: pancreas Strong Regionally restricted euxassay_006778_18

Specimen euxassay_006778_19: embryonic day 14.5 (more )
Structure Level Pattern Image Note
TS23: liver Strong Regionally restricted euxassay_006778_19
TS23: pancreas Strong Regionally restricted euxassay_006778_19

Specimen euxassay_006778_20: embryonic day 14.5 (more )
Structure Level Pattern Image Note
TS23: liver Strong Regionally restricted euxassay_006778_20

Specimen euxassay_006778_21: embryonic day 14.5 (more )
Structure Level Pattern Image Note
TS23: liver Strong Regionally restricted euxassay_006778_21

Specimen euxassay_006778_22: embryonic day 14.5 (more )
Structure Level Pattern Image Note
TS23: liver Strong Regionally restricted euxassay_006778_22

Specimen euxassay_006778_23: embryonic day 14.5 (more )
Structure Level Pattern Image Note
TS23: liver Strong Regionally restricted euxassay_006778_23

Specimen euxassay_006778_24: embryonic day 14.5 (more )
Structure Level Pattern Image Note
TS23: liver Strong Regionally restricted euxassay_006778_24


Contributing Projects:
Mouse Genome Database (MGD), Gene Expression Database (GXD), Mouse Models of Human Cancer database (MMHCdb) (formerly Mouse Tumor Biology (MTB)), Gene Ontology (GO)
Citing These Resources
Funding Information
Warranty Disclaimer, Privacy Notice, Licensing, & Copyright
Send questions and comments to User Support.
last database update
05/05/2026
MGI 6.24
The Jackson Laboratory