About   Help   FAQ
Gene Expression Data
Assay Details
Assay
Reference: J:153498 Diez-Roux G, et al., A high-resolution anatomical atlas of the transcriptome in the mouse embryo. PLoS Biol. 2011;9(1):e1000582
Assay type: RNA in situ
MGI Accession ID: MGI:4827978
Gene symbol: Serpina1e
Gene name: serine (or cysteine) peptidase inhibitor, clade A, member 1E
Probe: MGC clone 74313
Probe preparation: Antisense labelled with digoxigenin RNA
Visualized with: Alkaline phosphatase
Assay notes: Cryosections of fresh frozen material were fixed in 4% paraformaldehyde for 20 min. before further processing. A tyramide-biotin/streptavidin amplification step was included in the in situ hybridization procedure.
Results
Specimen euxassay_011248_01: embryonic day 14.5 (more )
Structure Level Pattern Image Note
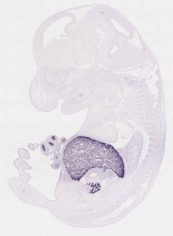
TS23: liver lobe Strong Regionally restricted euxassay_011248_01

Specimen euxassay_011248_02: embryonic day 14.5 (more )
Structure Level Pattern Image Note
TS23: liver lobe Strong Regionally restricted euxassay_011248_02

Specimen euxassay_011248_03: embryonic day 14.5 (more )
Structure Level Pattern Image Note
TS23: liver lobe Strong Regionally restricted euxassay_011248_03

Specimen euxassay_011248_04: embryonic day 14.5 (more )
Structure Level Pattern Image Note
TS23: liver lobe Strong Regionally restricted euxassay_011248_04
TS23: midgut Strong Regionally restricted euxassay_011248_04

Specimen euxassay_011248_05: embryonic day 14.5 (more )
Structure Level Pattern Image Note
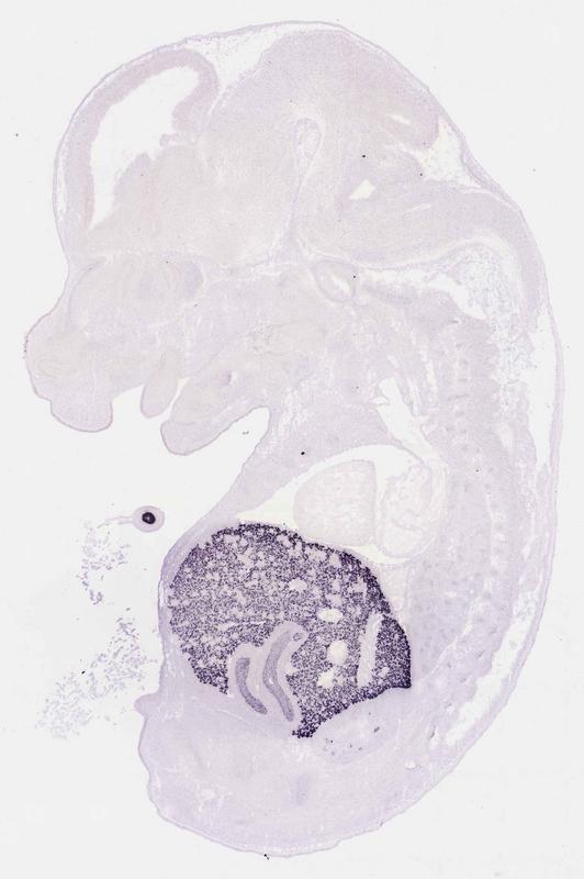
TS23: liver lobe Strong Regionally restricted euxassay_011248_05
TS23: maturing glomerular tuft Moderate Regionally restricted euxassay_011248_05
TS23: pancreas Moderate Regionally restricted euxassay_011248_05
TS23: midgut Strong Regionally restricted euxassay_011248_05

Specimen euxassay_011248_06: embryonic day 14.5 (more )
Structure Level Pattern Image Note
TS23: liver lobe Strong Regionally restricted euxassay_011248_06
TS23: pancreas Strong Regionally restricted euxassay_011248_06
TS23: midgut Strong Regionally restricted euxassay_011248_06

Specimen euxassay_011248_07: embryonic day 14.5 (more )
Structure Level Pattern Image Note
TS23: liver lobe Strong Regionally restricted euxassay_011248_07
TS23: pancreas Strong Regionally restricted euxassay_011248_07
TS23: midgut Strong Regionally restricted euxassay_011248_07

Specimen euxassay_011248_08: embryonic day 14.5 (more )
Structure Level Pattern Image Note
TS23: liver lobe Strong Regionally restricted euxassay_011248_08
TS23: pancreas Strong Regionally restricted euxassay_011248_08
TS23: midgut Strong Regionally restricted euxassay_011248_08

Specimen euxassay_011248_09: embryonic day 14.5 (more )
Structure Level Pattern Image Note
TS23: liver lobe Strong Regionally restricted euxassay_011248_09
TS23: pancreas Strong Regionally restricted euxassay_011248_09
TS23: midgut Strong Regionally restricted euxassay_011248_09

Specimen euxassay_011248_10: embryonic day 14.5 (more )
Structure Level Pattern Image Note
TS23: liver lobe Strong Regionally restricted euxassay_011248_10
TS23: rectum Strong Regionally restricted euxassay_011248_10
TS23: hindgut Strong Regionally restricted euxassay_011248_10
TS23: midgut Strong Regionally restricted euxassay_011248_10

Specimen euxassay_011248_11: embryonic day 14.5 (more )
Structure Level Pattern Image Note
TS23: liver lobe Strong Regionally restricted euxassay_011248_11
TS23: hindgut Strong Regionally restricted euxassay_011248_11
TS23: midgut Strong Regionally restricted euxassay_011248_11

Specimen euxassay_011248_12: embryonic day 14.5 (more )
Structure Level Pattern Image Note
TS23: liver lobe Strong Regionally restricted euxassay_011248_12
TS23: pancreas Strong Regionally restricted euxassay_011248_12
TS23: midgut Strong Regionally restricted euxassay_011248_12
TS23: hindgut Strong Regionally restricted euxassay_011248_12

Specimen euxassay_011248_13: embryonic day 14.5 (more )
Structure Level Pattern Image Note
TS23: liver lobe Strong Regionally restricted euxassay_011248_13
TS23: pancreas Strong Regionally restricted euxassay_011248_13
TS23: midgut Strong Regionally restricted euxassay_011248_13

Specimen euxassay_011248_14: embryonic day 14.5 (more )
Structure Level Pattern Image Note
TS23: liver lobe Strong Regionally restricted euxassay_011248_14
TS23: midgut Moderate Regionally restricted euxassay_011248_14

Specimen euxassay_011248_15: embryonic day 14.5 (more )
Structure Level Pattern Image Note
TS23: liver lobe Strong Regionally restricted euxassay_011248_15
TS23: maturing glomerular tuft Weak Regionally restricted euxassay_011248_15
TS23: midgut Moderate Regionally restricted euxassay_011248_15

Specimen euxassay_011248_16: embryonic day 14.5 (more )
Structure Level Pattern Image Note
TS23: liver lobe Strong Regionally restricted euxassay_011248_16
TS23: maturing glomerular tuft Strong Regionally restricted euxassay_011248_16

Specimen euxassay_011248_17: embryonic day 14.5 (more )
Structure Level Pattern Image Note
TS23: liver lobe Strong Regionally restricted euxassay_011248_17

Specimen euxassay_011248_18: embryonic day 14.5 (more )
Structure Level Pattern Image Note
TS23: liver lobe Strong Regionally restricted euxassay_011248_18

Specimen euxassay_011248_19: embryonic day 14.5 (more )
Structure Level Pattern Image Note
TS23: liver lobe Strong Regionally restricted euxassay_011248_19

Specimen euxassay_011248_20: embryonic day 14.5 (more )
Structure Level Pattern Image Note
TS23: liver lobe Strong Regionally restricted euxassay_011248_20

Specimen euxassay_011248_21: embryonic day 14.5 (more )
Structure Level Pattern Image Note
TS23: liver lobe Strong Regionally restricted euxassay_011248_21

Specimen euxassay_011248_22: embryonic day 14.5 (more )
Structure Level Pattern Image Note
TS23: liver lobe Strong Regionally restricted euxassay_011248_22

Specimen euxassay_011248_23: embryonic day 14.5 (more )
Structure Level Pattern Image Note
TS23: liver lobe Strong Regionally restricted euxassay_011248_23

Specimen euxassay_011248_24: embryonic day 14.5 (more )
Structure Level Pattern Image Note
TS23: liver lobe Strong Regionally restricted euxassay_011248_24


Contributing Projects:
Mouse Genome Database (MGD), Gene Expression Database (GXD), Mouse Models of Human Cancer database (MMHCdb) (formerly Mouse Tumor Biology (MTB)), Gene Ontology (GO)
Citing These Resources
Funding Information
Warranty Disclaimer, Privacy Notice, Licensing, & Copyright
Send questions and comments to User Support.
last database update
03/24/2026
MGI 6.24
The Jackson Laboratory