About   Help   FAQ
Gene Expression Data
Assay Details
Assay
Reference: J:153498 Diez-Roux G, et al., A high-resolution anatomical atlas of the transcriptome in the mouse embryo. PLoS Biol. 2011;9(1):e1000582
Assay type: RNA in situ
MGI Accession ID: MGI:4827977
Gene symbol: Serpina1d
Gene name: serine (or cysteine) peptidase inhibitor, clade A, member 1D
Probe: MGC clone 30252
Probe preparation: Antisense labelled with digoxigenin RNA
Visualized with: Alkaline phosphatase
Assay notes: Cryosections of fresh frozen material were fixed in 4% paraformaldehyde for 20 min. before further processing. A tyramide-biotin/streptavidin amplification step was included in the in situ hybridization procedure.
Results
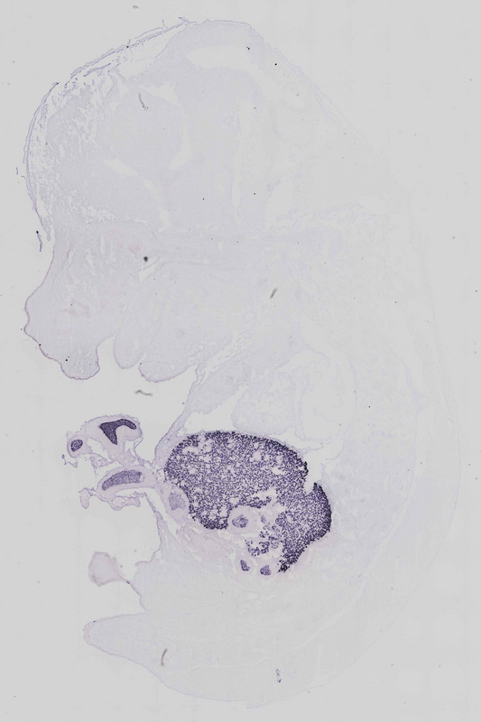
Specimen euxassay_001859_01: embryonic day 14.5 (more )
Structure Level Pattern Image Note
TS23: liver lobe Strong Regionally restricted euxassay_001859_01

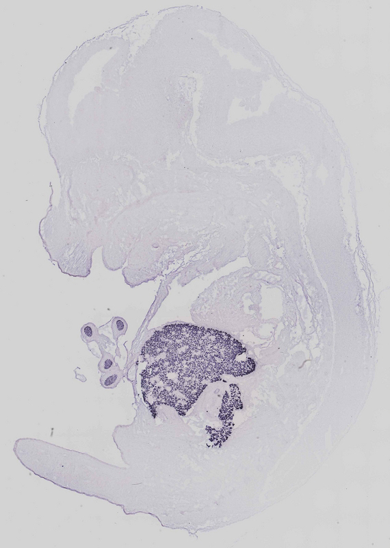
Specimen euxassay_001859_02: embryonic day 14.5 (more )
Structure Level Pattern Image Note
TS23: liver lobe Strong Regionally restricted euxassay_001859_02

Specimen euxassay_001859_03: embryonic day 14.5 (more )
Structure Level Pattern Image Note
TS23: liver lobe Strong Regionally restricted euxassay_001859_03

Specimen euxassay_001859_04: embryonic day 14.5 (more )
Structure Level Pattern Image Note
TS23: liver lobe Strong Regionally restricted euxassay_001859_04

Specimen euxassay_001859_05: embryonic day 14.5 (more )
Structure Level Pattern Image Note
TS23: liver lobe Strong Regionally restricted euxassay_001859_05

Specimen euxassay_001859_06: embryonic day 14.5 (more )
Structure Level Pattern Image Note
TS23: liver lobe Strong Regionally restricted euxassay_001859_06
TS23: midgut Strong Regionally restricted euxassay_001859_06
TS23: pancreas Strong Regionally restricted euxassay_001859_06

Specimen euxassay_001859_07: embryonic day 14.5 (more )
Structure Level Pattern Image Note
TS23: liver lobe Strong Regionally restricted euxassay_001859_07
TS23: midgut Strong Regionally restricted euxassay_001859_07
TS23: pancreas Strong Regionally restricted euxassay_001859_07

Specimen euxassay_001859_08: embryonic day 14.5 (more )
Structure Level Pattern Image Note
TS23: liver lobe Strong Regionally restricted euxassay_001859_08
TS23: midgut Strong Regionally restricted euxassay_001859_08
TS23: pancreas Strong Regionally restricted euxassay_001859_08

Specimen euxassay_001859_09: embryonic day 14.5 (more )
Structure Level Pattern Image Note
TS23: liver lobe Strong Regionally restricted euxassay_001859_09
TS23: foregut-midgut junction Strong Regionally restricted euxassay_001859_09
TS23: hindgut Strong Regionally restricted euxassay_001859_09
TS23: midgut Strong Regionally restricted euxassay_001859_09
TS23: pancreas Strong Regionally restricted euxassay_001859_09

Specimen euxassay_001859_10: embryonic day 14.5 (more )
Structure Level Pattern Image Note
TS23: liver lobe Strong Regionally restricted euxassay_001859_10
TS23: rectum Strong Regionally restricted euxassay_001859_10
TS23: midgut Strong Regionally restricted euxassay_001859_10
TS23: hindgut Strong Regionally restricted euxassay_001859_10
TS23: foregut-midgut junction Strong Regionally restricted euxassay_001859_10

Specimen euxassay_001859_11: embryonic day 14.5 (more )
Structure Level Pattern Image Note
TS23: liver lobe Strong Regionally restricted euxassay_001859_11
TS23: midgut Strong Regionally restricted euxassay_001859_11
TS23: hindgut Strong Regionally restricted euxassay_001859_11
TS23: foregut-midgut junction Strong Regionally restricted euxassay_001859_11

Specimen euxassay_001859_12: embryonic day 14.5 (more )
Structure Level Pattern Image Note
TS23: liver lobe Strong Regionally restricted euxassay_001859_12
TS23: midgut Strong Regionally restricted euxassay_001859_12
TS23: hindgut Strong Regionally restricted euxassay_001859_12
TS23: foregut-midgut junction Strong Regionally restricted euxassay_001859_12

Specimen euxassay_001859_13: embryonic day 14.5 (more )
Structure Level Pattern Image Note
TS23: liver lobe Strong Regionally restricted euxassay_001859_13
TS23: midgut Strong Regionally restricted euxassay_001859_13
TS23: hindgut Strong Regionally restricted euxassay_001859_13
TS23: foregut-midgut junction Strong Regionally restricted euxassay_001859_13

Specimen euxassay_001859_14: embryonic day 14.5 (more )
Structure Level Pattern Image Note
TS23: liver lobe Strong Regionally restricted euxassay_001859_14
TS23: midgut Strong Regionally restricted euxassay_001859_14
TS23: hindgut Strong Regionally restricted euxassay_001859_14
TS23: foregut-midgut junction Strong Regionally restricted euxassay_001859_14

Specimen euxassay_001859_15: embryonic day 14.5 (more )
Structure Level Pattern Image Note
TS23: liver lobe Strong Regionally restricted euxassay_001859_15
TS23: midgut Strong Regionally restricted euxassay_001859_15

Specimen euxassay_001859_16: embryonic day 14.5 (more )
Structure Level Pattern Image Note
TS23: liver lobe Strong Regionally restricted euxassay_001859_16

Specimen euxassay_001859_17: embryonic day 14.5 (more )
Structure Level Pattern Image Note
TS23: liver lobe Strong Regionally restricted euxassay_001859_17

Specimen euxassay_001859_18: embryonic day 14.5 (more )
Structure Level Pattern Image Note
TS23: liver lobe Strong Regionally restricted euxassay_001859_18

Specimen euxassay_001859_19: embryonic day 14.5 (more )
Structure Level Pattern Image Note
TS23: liver lobe Strong Regionally restricted euxassay_001859_19

Specimen euxassay_001859_20: embryonic day 14.5 (more )
Structure Level Pattern Image Note
TS23: liver lobe Moderate Regionally restricted euxassay_001859_20

Specimen euxassay_001859_21: embryonic day 14.5 (more )
Structure Level Pattern Image Note
TS23: liver lobe Moderate Regionally restricted euxassay_001859_21


Contributing Projects:
Mouse Genome Database (MGD), Gene Expression Database (GXD), Mouse Models of Human Cancer database (MMHCdb) (formerly Mouse Tumor Biology (MTB)), Gene Ontology (GO)
Citing These Resources
Funding Information
Warranty Disclaimer, Privacy Notice, Licensing, & Copyright
Send questions and comments to User Support.
last database update
12/30/2025
MGI 6.24
The Jackson Laboratory