About   Help   FAQ
Gene Expression Data
Assay Details
Assay
Reference: J:153498 Diez-Roux G, et al., A high-resolution anatomical atlas of the transcriptome in the mouse embryo. PLoS Biol. 2011;9(1):e1000582
Assay type: RNA in situ
MGI Accession ID: MGI:4827974
Gene symbol: Serpina1a
Gene name: serine (or cysteine) peptidase inhibitor, clade A, member 1A
Probe: MGC clone 68256
Probe preparation: Antisense labelled with digoxigenin RNA
Visualized with: Alkaline phosphatase
Assay notes: Cryosections of fresh frozen material were fixed in 4% paraformaldehyde for 20 min. before further processing. A tyramide-biotin/streptavidin amplification step was included in the in situ hybridization procedure.
Results
Specimen euxassay_003964_01: embryonic day 14.5 (more )
Structure Level Pattern Image Note
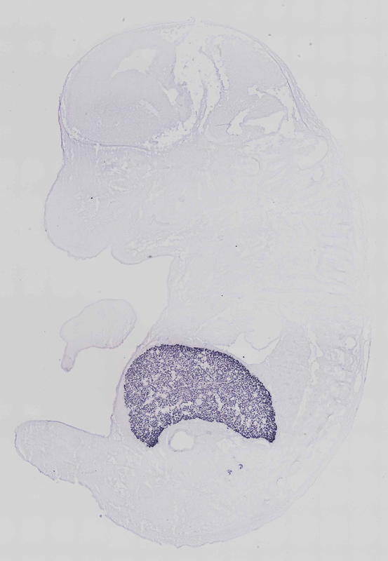
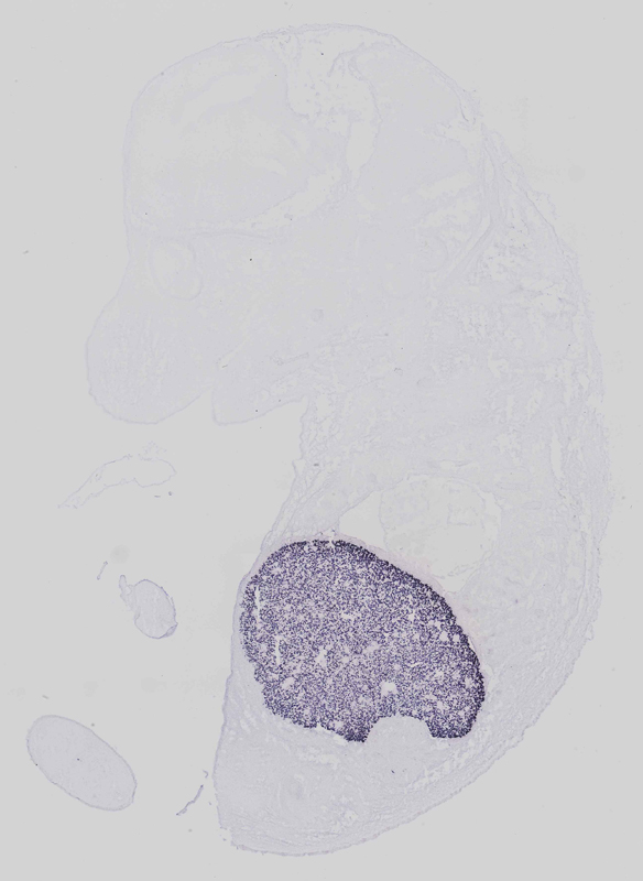
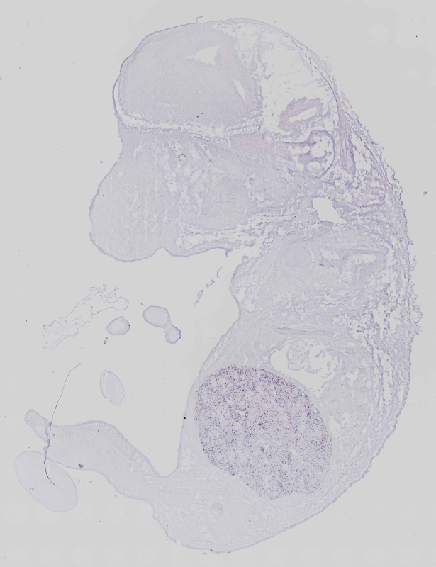
TS23: liver left lobe Strong Regionally restricted euxassay_003964_01

Specimen euxassay_003964_02: embryonic day 14.5 (more )
Structure Level Pattern Image Note
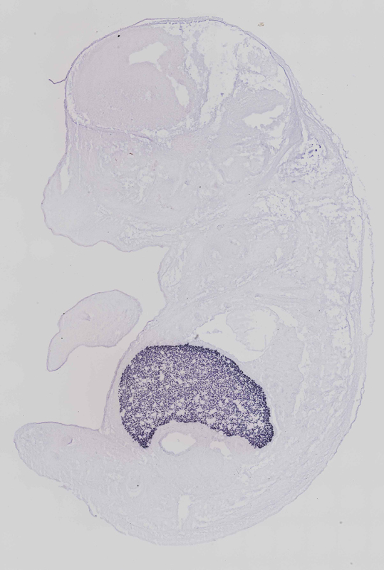
TS23: liver left lobe Strong Regionally restricted euxassay_003964_02

Specimen euxassay_003964_03: embryonic day 14.5 (more )
Structure Level Pattern Image Note
TS23: liver left lobe Strong Regionally restricted euxassay_003964_03

Specimen euxassay_003964_04: embryonic day 14.5 (more )
Structure Level Pattern Image Note
TS23: liver left lobe Strong Regionally restricted euxassay_003964_04

Specimen euxassay_003964_05: embryonic day 14.5 (more )
Structure Level Pattern Image Note
TS23: liver left lobe Strong Regionally restricted euxassay_003964_05

Specimen euxassay_003964_06: embryonic day 14.5 (more )
Structure Level Pattern Image Note
TS23: liver left lobe Strong Regionally restricted euxassay_003964_06
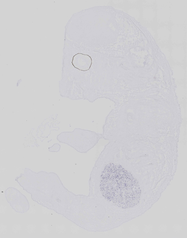
TS23: renal calyx Moderate Regionally restricted euxassay_003964_06

Specimen euxassay_003964_07: embryonic day 14.5 (more )
Structure Level Pattern Image Note
TS23: liver left lobe Strong Regionally restricted euxassay_003964_07

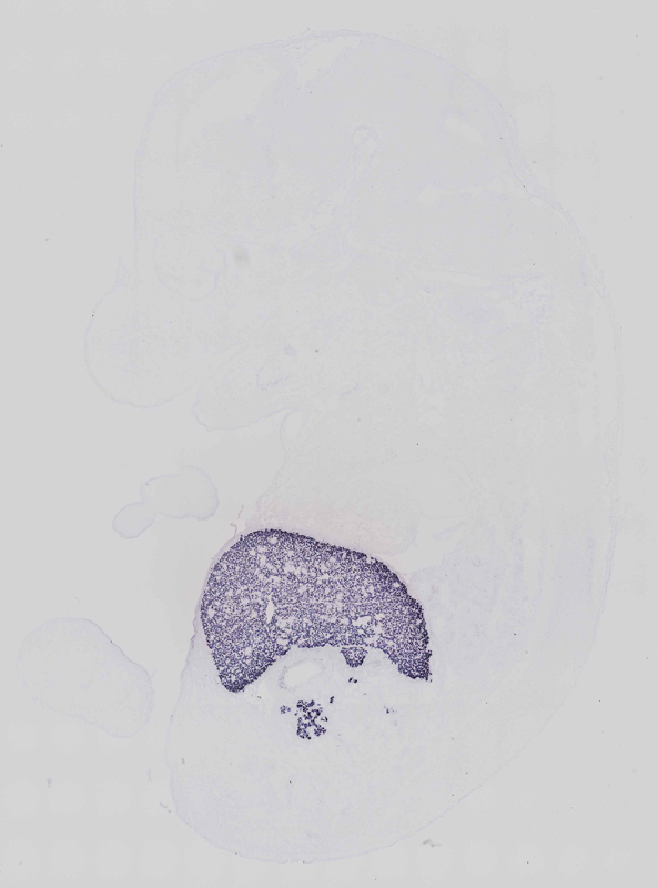
Specimen euxassay_003964_08: embryonic day 14.5 (more )
Structure Level Pattern Image Note
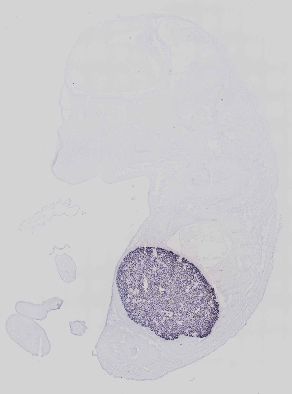
TS23: liver left lobe Strong Regionally restricted euxassay_003964_08
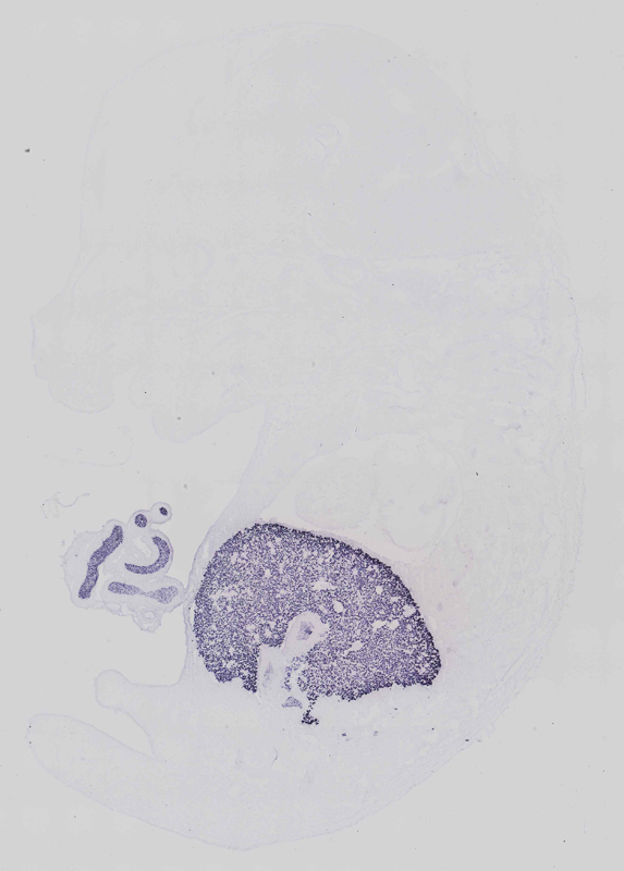
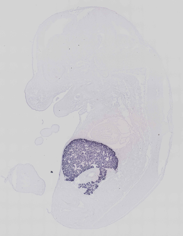
TS23: pancreas Strong Regionally restricted euxassay_003964_08

Specimen euxassay_003964_09: embryonic day 14.5 (more )
Structure Level Pattern Image Note
TS23: liver left lobe Strong Regionally restricted euxassay_003964_09
TS23: pancreas Strong Regionally restricted euxassay_003964_09

Specimen euxassay_003964_10: embryonic day 14.5 (more )
Structure Level Pattern Image Note
TS23: liver left lobe Strong Regionally restricted euxassay_003964_10
TS23: pancreas Strong Regionally restricted euxassay_003964_10

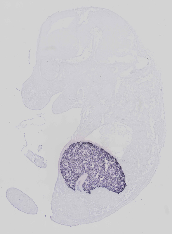
Specimen euxassay_003964_11: embryonic day 14.5 (more )
Structure Level Pattern Image Note
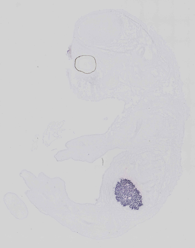
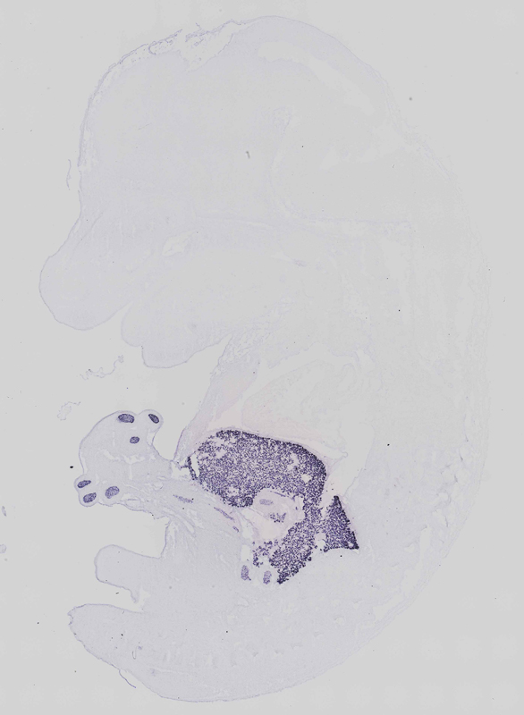
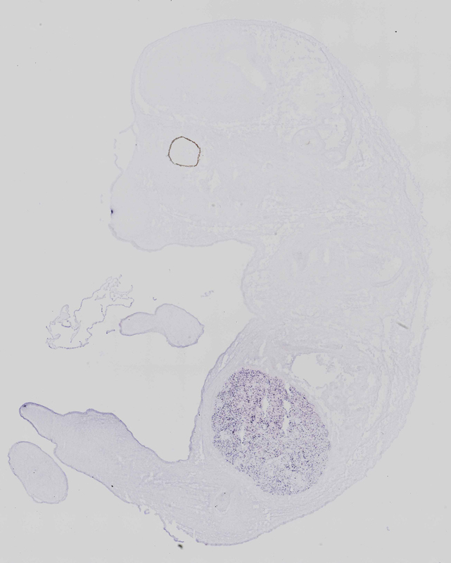
TS23: liver left lobe Strong Regionally restricted euxassay_003964_11
TS23: midgut Strong Regionally restricted euxassay_003964_11
TS23: hindgut Strong Regionally restricted euxassay_003964_11

Specimen euxassay_003964_12: embryonic day 14.5 (more )
Structure Level Pattern Image Note
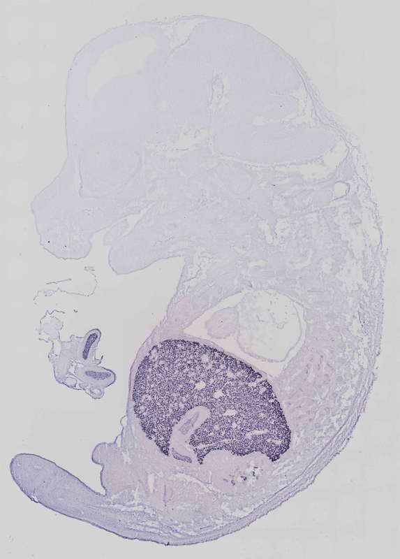
TS23: liver left lobe Strong Regionally restricted euxassay_003964_12
TS23: rectum Strong Regionally restricted euxassay_003964_12
TS23: hindgut Strong Regionally restricted euxassay_003964_12
TS23: midgut Strong Regionally restricted euxassay_003964_12

Specimen euxassay_003964_13: embryonic day 14.5 (more )
Structure Level Pattern Image Note
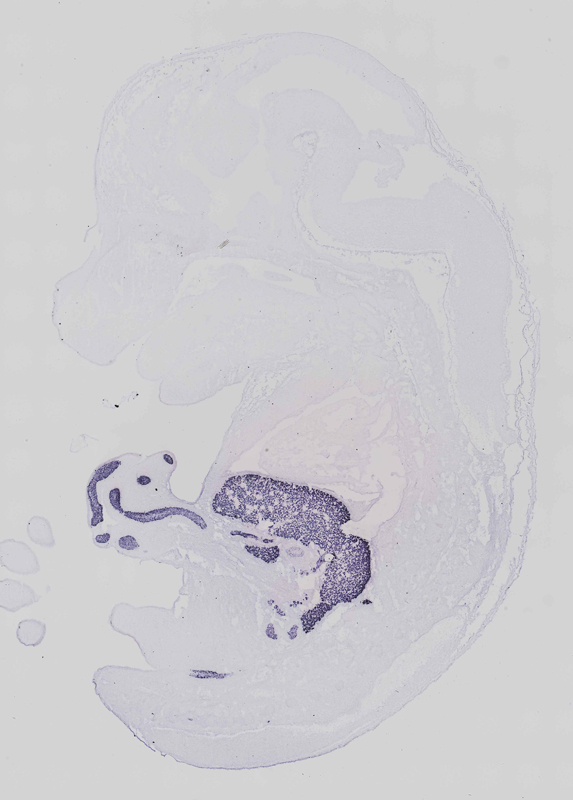
TS23: liver right lobe Strong Regionally restricted euxassay_003964_13
TS23: midgut Strong Regionally restricted euxassay_003964_13
TS23: rectum Strong Regionally restricted euxassay_003964_13
TS23: hindgut Strong Regionally restricted euxassay_003964_13

Specimen euxassay_003964_14: embryonic day 14.5 (more )
Structure Level Pattern Image Note
TS23: liver right lobe Strong Regionally restricted euxassay_003964_14
TS23: midgut Strong Regionally restricted euxassay_003964_14

Specimen euxassay_003964_15: embryonic day 14.5 (more )
Structure Level Pattern Image Note
TS23: liver right lobe Strong Regionally restricted euxassay_003964_15
TS23: midgut Strong Regionally restricted euxassay_003964_15

Specimen euxassay_003964_16: embryonic day 14.5 (more )
Structure Level Pattern Image Note
TS23: liver right lobe Strong Regionally restricted euxassay_003964_16
TS23: midgut Strong Regionally restricted euxassay_003964_16

Specimen euxassay_003964_17: embryonic day 14.5 (more )
Structure Level Pattern Image Note
TS23: liver right lobe Strong Regionally restricted euxassay_003964_17
TS23: midgut Strong Regionally restricted euxassay_003964_17
TS23: renal calyx Moderate Regionally restricted euxassay_003964_17

Specimen euxassay_003964_18: embryonic day 14.5 (more )
Structure Level Pattern Image Note
TS23: liver right lobe Strong Regionally restricted euxassay_003964_18

Specimen euxassay_003964_19: embryonic day 14.5 (more )
Structure Level Pattern Image Note
TS23: liver right lobe Strong Regionally restricted euxassay_003964_19

Specimen euxassay_003964_20: embryonic day 14.5 (more )
Structure Level Pattern Image Note
TS23: liver right lobe Strong Regionally restricted euxassay_003964_20

Specimen euxassay_003964_21: embryonic day 14.5 (more )
Structure Level Pattern Image Note
TS23: liver right lobe Moderate Regionally restricted euxassay_003964_21

Specimen euxassay_003964_22: embryonic day 14.5 (more )
Structure Level Pattern Image Note
TS23: liver right lobe Moderate Regionally restricted euxassay_003964_22

Specimen euxassay_003964_23: embryonic day 14.5 (more )
Structure Level Pattern Image Note
TS23: liver right lobe Moderate Regionally restricted euxassay_003964_23

Specimen euxassay_003964_24: embryonic day 14.5 (more )
Structure Level Pattern Image Note
TS23: liver right lobe Strong Regionally restricted euxassay_003964_24


Contributing Projects:
Mouse Genome Database (MGD), Gene Expression Database (GXD), Mouse Models of Human Cancer database (MMHCdb) (formerly Mouse Tumor Biology (MTB)), Gene Ontology (GO)
Citing These Resources
Funding Information
Warranty Disclaimer, Privacy Notice, Licensing, & Copyright
Send questions and comments to User Support.
last database update
12/30/2025
MGI 6.24
The Jackson Laboratory