About   Help   FAQ
Gene Expression Data
Assay Details
Assay
Reference: J:153498 Diez-Roux G, et al., A high-resolution anatomical atlas of the transcriptome in the mouse embryo. PLoS Biol. 2011;9(1):e1000582
Assay type: RNA in situ
MGI Accession ID: MGI:4827973
Gene symbol: Serpina10
Gene name: serine (or cysteine) peptidase inhibitor, clade A (alpha-1 antiproteinase, antitrypsin), member 10
Probe: IMAGE clone 1925166
Probe preparation: Antisense labelled with digoxigenin RNA
Visualized with: Alkaline phosphatase
Assay notes: Cryosections of fresh frozen material were fixed in 4% paraformaldehyde for 20 min. before further processing. A tyramide-biotin/streptavidin amplification step was included in the in situ hybridization procedure.
Results
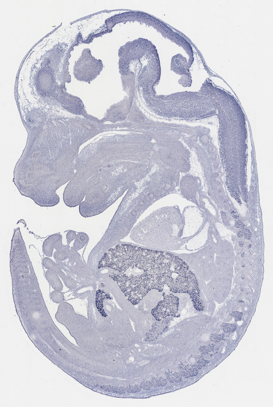
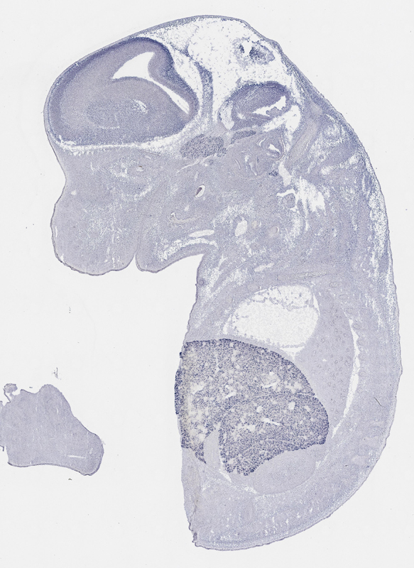
Specimen euxassay_000857_01: embryonic day 14.5 (more )
Structure Level Pattern Image Note
TS23: liver lobe Moderate Uniform euxassay_000857_01

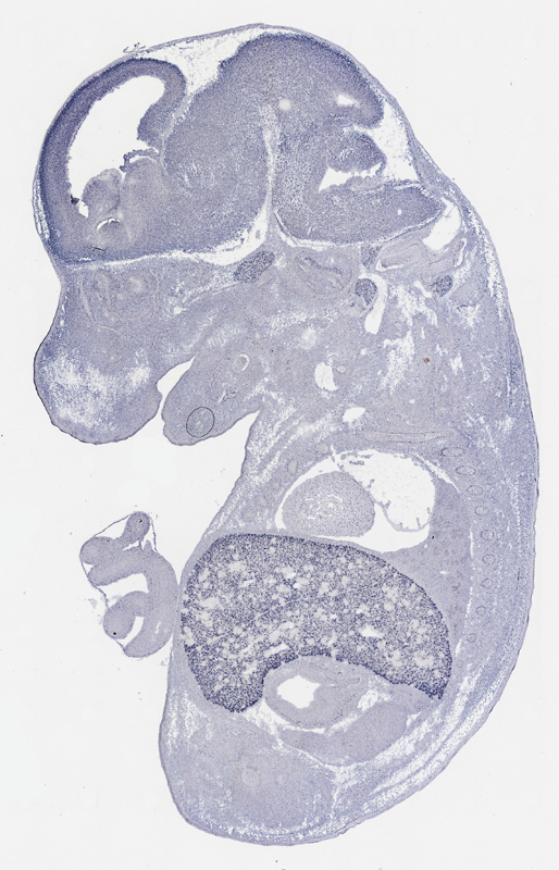
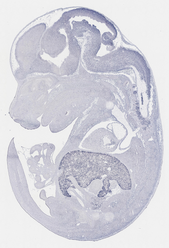
Specimen euxassay_000857_02: embryonic day 14.5 (more )
Structure Level Pattern Image Note
TS23: liver lobe Moderate Uniform euxassay_000857_02

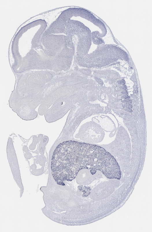
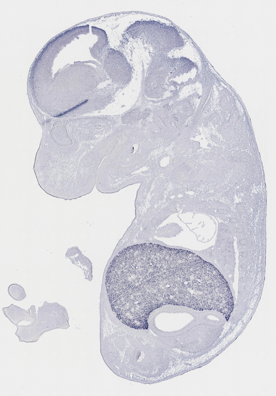
Specimen euxassay_000857_03: embryonic day 14.5 (more )
Structure Level Pattern Image Note
TS23: liver lobe Moderate Uniform euxassay_000857_03

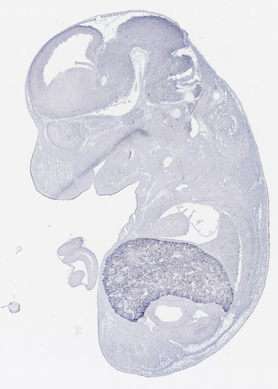
Specimen euxassay_000857_04: embryonic day 14.5 (more )
Structure Level Pattern Image Note
TS23: liver lobe Moderate Uniform euxassay_000857_04

Specimen euxassay_000857_05: embryonic day 14.5 (more )
Structure Level Pattern Image Note
TS23: liver lobe Moderate Uniform euxassay_000857_05

Specimen euxassay_000857_06: embryonic day 14.5 (more )
Structure Level Pattern Image Note
TS23: liver lobe Moderate Uniform euxassay_000857_06

Specimen euxassay_000857_07: embryonic day 14.5 (more )
Structure Level Pattern Image Note
TS23: liver lobe Moderate Uniform euxassay_000857_07

Specimen euxassay_000857_08: embryonic day 14.5 (more )
Structure Level Pattern Image Note
TS23: liver lobe Moderate Uniform euxassay_000857_08

Specimen euxassay_000857_09: embryonic day 14.5 (more )
Structure Level Pattern Image Note
TS23: liver lobe Moderate Uniform euxassay_000857_09

Specimen euxassay_000857_10: embryonic day 14.5 (more )
Structure Level Pattern Image Note
TS23: liver lobe Moderate Uniform euxassay_000857_10

Specimen euxassay_000857_11: embryonic day 14.5 (more )
Structure Level Pattern Image Note
TS23: liver lobe Moderate Uniform euxassay_000857_11

Specimen euxassay_000857_12: embryonic day 14.5 (more )
Structure Level Pattern Image Note
TS23: liver lobe Moderate Uniform euxassay_000857_12

Specimen euxassay_000857_13: embryonic day 14.5 (more )
Structure Level Pattern Image Note
TS23: liver lobe Moderate Uniform euxassay_000857_13

Specimen euxassay_000857_14: embryonic day 14.5 (more )
Structure Level Pattern Image Note
TS23: liver lobe Moderate Uniform euxassay_000857_14

Specimen euxassay_000857_15: embryonic day 14.5 (more )
Structure Level Pattern Image Note
TS23: liver lobe Moderate Uniform euxassay_000857_15

Specimen euxassay_000857_17: embryonic day 14.5 (more )
Structure Level Pattern Image Note
TS23: liver lobe Moderate Uniform euxassay_000857_17

Specimen euxassay_000857_18: embryonic day 14.5 (more )
Structure Level Pattern Image Note
TS23: liver lobe Moderate Uniform euxassay_000857_18

Specimen euxassay_000857_19: embryonic day 14.5 (more )
Structure Level Pattern Image Note
TS23: liver lobe Moderate Uniform euxassay_000857_19

Specimen euxassay_000857_20: embryonic day 14.5 (more )
Structure Level Pattern Image Note
TS23: liver lobe Moderate Uniform euxassay_000857_20

Specimen euxassay_000857_21: embryonic day 14.5 (more )
Structure Level Pattern Image Note
TS23: liver lobe Moderate Uniform euxassay_000857_21

Specimen euxassay_000857_22: embryonic day 14.5 (more )
Structure Level Pattern Image Note
TS23: liver lobe Moderate Uniform euxassay_000857_22

Specimen euxassay_000857_23: embryonic day 14.5 (more )
Structure Level Pattern Image Note
TS23: liver lobe Moderate Uniform euxassay_000857_23

Specimen euxassay_000857_24: embryonic day 14.5 (more )
Structure Level Pattern Image Note
TS23: liver lobe Moderate Uniform euxassay_000857_24


Contributing Projects:
Mouse Genome Database (MGD), Gene Expression Database (GXD), Mouse Models of Human Cancer database (MMHCdb) (formerly Mouse Tumor Biology (MTB)), Gene Ontology (GO)
Citing These Resources
Funding Information
Warranty Disclaimer, Privacy Notice, Licensing, & Copyright
Send questions and comments to User Support.
last database update
01/28/2026
MGI 6.24
The Jackson Laboratory