About   Help   FAQ
Gene Expression Data
Assay Details
Assay
Reference: J:153498 Diez-Roux G, et al., A high-resolution anatomical atlas of the transcriptome in the mouse embryo. PLoS Biol. 2011;9(1):e1000582
Assay type: RNA in situ
MGI Accession ID: MGI:4827965
Gene symbol: Sergef
Gene name: secretion regulating guanine nucleotide exchange factor
Probe: IMAGE clone 1531453
Probe preparation: Antisense labelled with digoxigenin RNA
Visualized with: Alkaline phosphatase
Assay notes: Cryosections of fresh frozen material were fixed in 4% paraformaldehyde for 20 min. before further processing. A tyramide-biotin/streptavidin amplification step was included in the in situ hybridization procedure.
Results
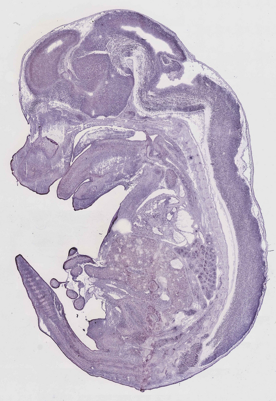
Specimen euxassay_001466_01: embryonic day 14.5 (more )
Structure Level Pattern Image Note
TS23: brain Weak Uniform euxassay_001466_01

Specimen euxassay_001466_02: embryonic day 14.5 (more )
Structure Level Pattern Image Note
TS23: trigeminal ganglion Moderate Regionally restricted euxassay_001466_02
TS23: brain Weak Uniform euxassay_001466_02

Specimen euxassay_001466_03: embryonic day 14.5 (more )
Structure Level Pattern Image Note
TS23: trigeminal ganglion Moderate Regionally restricted euxassay_001466_03
TS23: brain Weak Uniform euxassay_001466_03

Specimen euxassay_001466_04: embryonic day 14.5 (more )
Structure Level Pattern Image Note
TS23: trigeminal ganglion Moderate Regionally restricted euxassay_001466_04
TS23: brain Weak Uniform euxassay_001466_04

Specimen euxassay_001466_05: embryonic day 14.5 (more )
Structure Level Pattern Image Note
TS23: trigeminal ganglion Moderate Regionally restricted euxassay_001466_05
TS23: brain Weak Uniform euxassay_001466_05

Specimen euxassay_001466_06: embryonic day 14.5 (more )
Structure Level Pattern Image Note
TS23: trigeminal ganglion Moderate Regionally restricted euxassay_001466_06
TS23: brain Weak Uniform euxassay_001466_06

Specimen euxassay_001466_07: embryonic day 14.5 (more )
Structure Level Pattern Image Note
TS23: trigeminal ganglion Moderate Regionally restricted euxassay_001466_07
TS23: glossopharyngeal ganglion Moderate Regionally restricted euxassay_001466_07
TS23: tail dorsal root ganglion Moderate Regionally restricted euxassay_001466_07
TS23: brain Weak Uniform euxassay_001466_07

Specimen euxassay_001466_08: embryonic day 14.5 (more )
Structure Level Pattern Image Note
TS23: vagus ganglion Moderate Regionally restricted euxassay_001466_08
TS23: trigeminal ganglion Moderate Regionally restricted euxassay_001466_08
TS23: tail dorsal root ganglion Moderate Regionally restricted euxassay_001466_08
TS23: brain Weak Uniform euxassay_001466_08
TS23: spinal cord Weak Uniform euxassay_001466_08

Specimen euxassay_001466_09: embryonic day 14.5 (more )
Structure Level Pattern Image Note
TS23: tail dorsal root ganglion Moderate Regionally restricted euxassay_001466_09
TS23: cervico-thoracic ganglion Moderate Regionally restricted euxassay_001466_09
TS23: spinal cord Weak Uniform euxassay_001466_09
TS23: brain Weak Uniform euxassay_001466_09

Specimen euxassay_001466_10: embryonic day 14.5 (more )
Structure Level Pattern Image Note
TS23: thoracic ganglion Moderate Regionally restricted euxassay_001466_10
TS23: brain Weak Uniform euxassay_001466_10
TS23: spinal cord Weak Uniform euxassay_001466_10

Specimen euxassay_001466_11: embryonic day 14.5 (more )
Structure Level Pattern Image Note
TS23: thoracic ganglion Moderate Regionally restricted euxassay_001466_11
TS23: brain Weak Uniform euxassay_001466_11
TS23: spinal cord Weak Uniform euxassay_001466_11

Specimen euxassay_001466_12: embryonic day 14.5 (more )
Structure Level Pattern Image Note
TS23: thoracic ganglion Moderate Regionally restricted euxassay_001466_12
TS23: esophagus Moderate Regionally restricted euxassay_001466_12
TS23: brain Weak Uniform euxassay_001466_12
TS23: spinal cord Weak Uniform euxassay_001466_12

Specimen euxassay_001466_13: embryonic day 14.5 (more )
Structure Level Pattern Image Note
TS23: brain Weak Uniform euxassay_001466_13
TS23: spinal cord Weak Uniform euxassay_001466_13

Specimen euxassay_001466_14: embryonic day 14.5 (more )
Structure Level Pattern Image Note
TS23: tail dorsal root ganglion Moderate Regionally restricted euxassay_001466_14
TS23: brain Weak Uniform euxassay_001466_14
TS23: spinal cord Weak Uniform euxassay_001466_14

Specimen euxassay_001466_15: embryonic day 14.5 (more )
Structure Level Pattern Image Note
TS23: tail dorsal root ganglion Moderate Regionally restricted euxassay_001466_15
TS23: brain Weak Uniform euxassay_001466_15
TS23: spinal cord Weak Uniform euxassay_001466_15

Specimen euxassay_001466_16: embryonic day 14.5 (more )
Structure Level Pattern Image Note
TS23: vagus ganglion Moderate Regionally restricted euxassay_001466_16
TS23: tail dorsal root ganglion Moderate Regionally restricted euxassay_001466_16
TS23: brain Weak Uniform euxassay_001466_16

Specimen euxassay_001466_17: embryonic day 14.5 (more )
Structure Level Pattern Image Note
TS23: trigeminal ganglion Moderate Regionally restricted euxassay_001466_17
TS23: brain Weak Uniform euxassay_001466_17

Specimen euxassay_001466_18: embryonic day 14.5 (more )
Structure Level Pattern Image Note
TS23: trigeminal ganglion Moderate Regionally restricted euxassay_001466_18
TS23: brain Weak Uniform euxassay_001466_18

Specimen euxassay_001466_19: embryonic day 14.5 (more )
Structure Level Pattern Image Note
TS23: trigeminal ganglion Moderate Regionally restricted euxassay_001466_19
TS23: brain Weak Uniform euxassay_001466_19

Specimen euxassay_001466_20: embryonic day 14.5 (more )
Structure Level Pattern Image Note
TS23: brain Weak Uniform euxassay_001466_20


Contributing Projects:
Mouse Genome Database (MGD), Gene Expression Database (GXD), Mouse Models of Human Cancer database (MMHCdb) (formerly Mouse Tumor Biology (MTB)), Gene Ontology (GO)
Citing These Resources
Funding Information
Warranty Disclaimer, Privacy Notice, Licensing, & Copyright
Send questions and comments to User Support.
last database update
03/24/2026
MGI 6.24
The Jackson Laboratory