About   Help   FAQ
Gene Expression Data
Assay Details
Assay
Reference: J:153498 Diez-Roux G, et al., A high-resolution anatomical atlas of the transcriptome in the mouse embryo. PLoS Biol. 2011;9(1):e1000582
Assay type: RNA in situ
MGI Accession ID: MGI:4827964
Gene symbol: Serf2
Gene name: small EDRK-rich factor 2
Probe: IMAGE clone 1531448
Probe preparation: Antisense labelled with digoxigenin RNA
Visualized with: Alkaline phosphatase
Assay notes: Cryosections of fresh frozen material were fixed in 4% paraformaldehyde for 20 min. before further processing. A tyramide-biotin/streptavidin amplification step was included in the in situ hybridization procedure.
Results
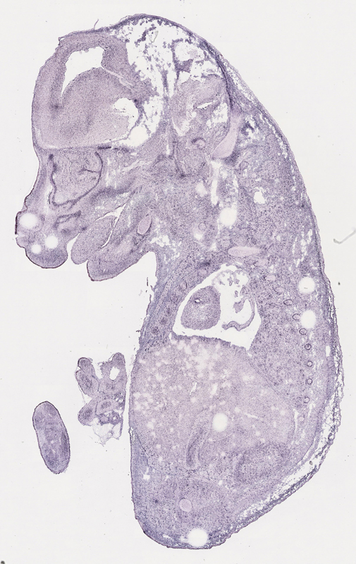
Specimen euxassay_007238_01: embryonic day 14.5 (more )
Structure Level Pattern Image Note
TS23: cranium Moderate Regionally restricted euxassay_007238_01

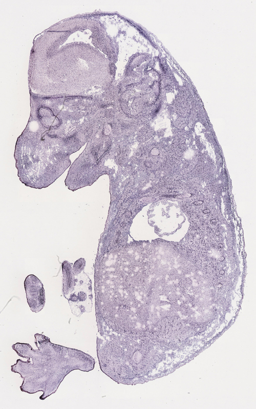
Specimen euxassay_007238_02: embryonic day 14.5 (more )
Structure Level Pattern Image Note
TS23: cranium Moderate Regionally restricted euxassay_007238_02

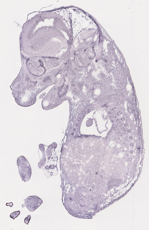
Specimen euxassay_007238_03: embryonic day 14.5 (more )
Structure Level Pattern Image Note
TS23: cranium Moderate Regionally restricted euxassay_007238_03

Specimen euxassay_007238_04: embryonic day 14.5 (more )
Structure Level Pattern Image Note
TS23: cranium Moderate Regionally restricted euxassay_007238_04

Specimen euxassay_007238_05: embryonic day 14.5 (more )
Structure Level Pattern Image Note
TS23: cranium Moderate Regionally restricted euxassay_007238_05

Specimen euxassay_007238_06: embryonic day 14.5 (more )
Structure Level Pattern Image Note
TS23: cranium Moderate Regionally restricted euxassay_007238_06

Specimen euxassay_007238_07: embryonic day 14.5 (more )
Structure Level Pattern Image Note
TS23: cranium Moderate Regionally restricted euxassay_007238_07

Specimen euxassay_007238_16: embryonic day 14.5 (more )
Structure Level Pattern Image Note
TS23: cranium Moderate Regionally restricted euxassay_007238_16

Specimen euxassay_007238_17: embryonic day 14.5 (more )
Structure Level Pattern Image Note
TS23: cranium Moderate Regionally restricted euxassay_007238_17

Specimen euxassay_007238_18: embryonic day 14.5 (more )
Structure Level Pattern Image Note
TS23: cranium Moderate Regionally restricted euxassay_007238_18

Specimen euxassay_007238_19: embryonic day 14.5 (more )
Structure Level Pattern Image Note
TS23: cranium Moderate Regionally restricted euxassay_007238_19

Specimen euxassay_007238_20: embryonic day 14.5 (more )
Structure Level Pattern Image Note
TS23: cranium Moderate Regionally restricted euxassay_007238_20

Specimen euxassay_007238_21: embryonic day 14.5 (more )
Structure Level Pattern Image Note
TS23: cranium Moderate Regionally restricted euxassay_007238_21

Specimen euxassay_007238_22: embryonic day 14.5 (more )
Structure Level Pattern Image Note
TS23: cranium Moderate Regionally restricted euxassay_007238_22

Specimen euxassay_007238_23: embryonic day 14.5 (more )
Structure Level Pattern Image Note
TS23: cranium Moderate Regionally restricted euxassay_007238_23


Contributing Projects:
Mouse Genome Database (MGD), Gene Expression Database (GXD), Mouse Models of Human Cancer database (MMHCdb) (formerly Mouse Tumor Biology (MTB)), Gene Ontology (GO)
Citing These Resources
Funding Information
Warranty Disclaimer, Privacy Notice, Licensing, & Copyright
Send questions and comments to User Support.
last database update
03/24/2026
MGI 6.24
The Jackson Laboratory