About   Help   FAQ
Gene Expression Data
Assay Details
Assay
Reference: J:153498 Diez-Roux G, et al., A high-resolution anatomical atlas of the transcriptome in the mouse embryo. PLoS Biol. 2011;9(1):e1000582
Assay type: RNA in situ
MGI Accession ID: MGI:4827960
Gene symbol: Septin3
Gene name: septin 3
Probe: IMAGE clone 315515
Probe preparation: Antisense labelled with digoxigenin RNA
Visualized with: Alkaline phosphatase
Assay notes: Cryosections of fresh frozen material were fixed in 4% paraformaldehyde for 20 min. before further processing. A tyramide-biotin/streptavidin amplification step was included in the in situ hybridization procedure.
Results
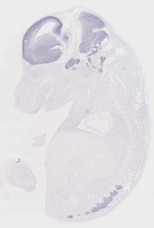
Specimen euxassay_002266_01: embryonic day 14.5 (more )
Structure Level Pattern Image Note
TS23: brain Strong Uniform euxassay_002266_01
TS23: neural retina Moderate Regionally restricted euxassay_002266_01

Specimen euxassay_002266_02: embryonic day 14.5 (more )
Structure Level Pattern Image Note
TS23: brain Strong Uniform euxassay_002266_02
TS23: neural retina Moderate Regionally restricted euxassay_002266_02

Specimen euxassay_002266_03: embryonic day 14.5 (more )
Structure Level Pattern Image Note
TS23: brain Strong Uniform euxassay_002266_03
TS23: neural retina Moderate Regionally restricted euxassay_002266_03

Specimen euxassay_002266_04: embryonic day 14.5 (more )
Structure Level Pattern Image Note
TS23: brain Strong Uniform euxassay_002266_04
TS23: trigeminal ganglion Strong Regionally restricted euxassay_002266_04
TS23: facial ganglion Strong Regionally restricted euxassay_002266_04
TS23: neural retina Moderate Regionally restricted euxassay_002266_04

Specimen euxassay_002266_05: embryonic day 14.5 (more )
Structure Level Pattern Image Note
TS23: brain Strong Uniform euxassay_002266_05
TS23: trigeminal ganglion Strong Regionally restricted euxassay_002266_05

Specimen euxassay_002266_06: embryonic day 14.5 (more )
Structure Level Pattern Image Note
TS23: brain Strong Uniform euxassay_002266_06
TS23: vestibulo-cochlear ganglion Strong Regionally restricted euxassay_002266_06
TS23: trigeminal ganglion Strong Regionally restricted euxassay_002266_06

Specimen euxassay_002266_07: embryonic day 14.5 (more )
Structure Level Pattern Image Note
TS23: brain Strong Uniform euxassay_002266_07
TS23: glossopharyngeal ganglion Strong Regionally restricted euxassay_002266_07
TS23: trigeminal ganglion Strong Regionally restricted euxassay_002266_07
TS23: vestibulo-cochlear ganglion Strong Regionally restricted euxassay_002266_07
TS23: dorsal root ganglion Moderate Regionally restricted euxassay_002266_07

Specimen euxassay_002266_08: embryonic day 14.5 (more )
Structure Level Pattern Image Note
TS23: brain Strong Uniform euxassay_002266_08
TS23: trigeminal ganglion Strong Regionally restricted euxassay_002266_08
TS23: vestibulo-cochlear ganglion Moderate Regionally restricted euxassay_002266_08
TS23: glossopharyngeal ganglion Moderate Regionally restricted euxassay_002266_08
TS23: dorsal root ganglion Moderate Regionally restricted euxassay_002266_08

Specimen euxassay_002266_09: embryonic day 14.5 (more )
Structure Level Pattern Image Note
TS23: brain Strong Uniform euxassay_002266_09
TS23: vagus ganglion Moderate Regionally restricted euxassay_002266_09
TS23: trigeminal ganglion Moderate Regionally restricted euxassay_002266_09
TS23: dorsal root ganglion Strong Regionally restricted euxassay_002266_09

Specimen euxassay_002266_10: embryonic day 14.5 (more )
Structure Level Pattern Image Note
TS23: brain Strong Uniform euxassay_002266_10
TS23: spinal cord Strong Uniform euxassay_002266_10
TS23: vagus ganglion Moderate Regionally restricted euxassay_002266_10
TS23: dorsal root ganglion Strong Regionally restricted euxassay_002266_10
TS23: olfactory epithelium Strong Regionally restricted euxassay_002266_10
TS23: cervico-thoracic ganglion Moderate Regionally restricted euxassay_002266_10
TS23: cervical ganglion Moderate Regionally restricted euxassay_002266_10

Specimen euxassay_002266_11: embryonic day 14.5 (more )
Structure Level Pattern Image Note
TS23: spinal cord Strong Uniform euxassay_002266_11
TS23: brain Strong Uniform euxassay_002266_11
TS23: dorsal root ganglion Strong Regionally restricted euxassay_002266_11
TS23: olfactory epithelium Strong Regionally restricted euxassay_002266_11

Specimen euxassay_002266_12: embryonic day 14.5 (more )
Structure Level Pattern Image Note
TS23: spinal cord Strong Uniform euxassay_002266_12
TS23: brain Strong Uniform euxassay_002266_12
TS23: dorsal root ganglion Strong Regionally restricted euxassay_002266_12
TS23: olfactory epithelium Strong Regionally restricted euxassay_002266_12

Specimen euxassay_002266_13: embryonic day 14.5 (more )
Structure Level Pattern Image Note
TS23: spinal cord Strong Uniform euxassay_002266_13
TS23: brain Strong Uniform euxassay_002266_13
TS23: dorsal root ganglion Strong Regionally restricted euxassay_002266_13
TS23: thoracic ganglion Moderate Regionally restricted euxassay_002266_13

Specimen euxassay_002266_14: embryonic day 14.5 (more )
Structure Level Pattern Image Note
TS23: spinal cord Strong Uniform euxassay_002266_14
TS23: brain Strong Uniform euxassay_002266_14
TS23: dorsal root ganglion Strong Regionally restricted euxassay_002266_14
TS23: olfactory epithelium Strong Regionally restricted euxassay_002266_14
TS23: thoracic ganglion Moderate Regionally restricted euxassay_002266_14

Specimen euxassay_002266_15: embryonic day 14.5 (more )
Structure Level Pattern Image Note
TS23: spinal cord Strong Uniform euxassay_002266_15
TS23: brain Strong Uniform euxassay_002266_15
TS23: olfactory epithelium Strong Regionally restricted euxassay_002266_15
TS23: thoracic ganglion Moderate Regionally restricted euxassay_002266_15

Specimen euxassay_002266_16: embryonic day 14.5 (more )
Structure Level Pattern Image Note
TS23: spinal cord Strong Uniform euxassay_002266_16
TS23: brain Strong Uniform euxassay_002266_16
TS23: vagus ganglion Strong Regionally restricted euxassay_002266_16
TS23: olfactory epithelium Weak Regionally restricted euxassay_002266_16
TS23: cervical ganglion Moderate Regionally restricted euxassay_002266_16
TS23: cervico-thoracic ganglion Moderate Regionally restricted euxassay_002266_16
TS23: thoracic ganglion Moderate Regionally restricted euxassay_002266_16

Specimen euxassay_002266_17: embryonic day 14.5 (more )
Structure Level Pattern Image Note
TS23: spinal cord Strong Uniform euxassay_002266_17
TS23: brain Strong Uniform euxassay_002266_17
TS23: vagus ganglion Strong Regionally restricted euxassay_002266_17
TS23: trigeminal ganglion Strong Regionally restricted euxassay_002266_17
TS23: vestibulo-cochlear ganglion Strong Regionally restricted euxassay_002266_17
TS23: dorsal root ganglion Strong Regionally restricted euxassay_002266_17
TS23: olfactory epithelium Moderate Regionally restricted euxassay_002266_17

Specimen euxassay_002266_18: embryonic day 14.5 (more )
Structure Level Pattern Image Note
TS23: spinal cord Strong Uniform euxassay_002266_18
TS23: brain Strong Uniform euxassay_002266_18
TS23: glossopharyngeal ganglion Strong Regionally restricted euxassay_002266_18
TS23: trigeminal ganglion Strong Regionally restricted euxassay_002266_18
TS23: vestibulo-cochlear ganglion Strong Regionally restricted euxassay_002266_18
TS23: dorsal root ganglion Strong Regionally restricted euxassay_002266_18
TS23: olfactory epithelium Moderate Regionally restricted euxassay_002266_18

Specimen euxassay_002266_19: embryonic day 14.5 (more )
Structure Level Pattern Image Note
TS23: brain Strong Uniform euxassay_002266_19
TS23: trigeminal ganglion Strong Regionally restricted euxassay_002266_19
TS23: glossopharyngeal ganglion Strong Regionally restricted euxassay_002266_19
TS23: vestibulo-cochlear ganglion Strong Regionally restricted euxassay_002266_19
TS23: dorsal root ganglion Strong Regionally restricted euxassay_002266_19

Specimen euxassay_002266_20: embryonic day 14.5 (more )
Structure Level Pattern Image Note
TS23: brain Strong Uniform euxassay_002266_20
TS23: trigeminal ganglion Strong Regionally restricted euxassay_002266_20
TS23: facial ganglion Strong Regionally restricted euxassay_002266_20

Specimen euxassay_002266_21: embryonic day 14.5 (more )
Structure Level Pattern Image Note
TS23: brain Strong Uniform euxassay_002266_21
TS23: trigeminal ganglion Strong Regionally restricted euxassay_002266_21
TS23: facial ganglion Strong Regionally restricted euxassay_002266_21

Specimen euxassay_002266_22: embryonic day 14.5 (more )
Structure Level Pattern Image Note
TS23: brain Strong Uniform euxassay_002266_22
TS23: trigeminal ganglion Strong Regionally restricted euxassay_002266_22
TS23: facial ganglion Strong Regionally restricted euxassay_002266_22
TS23: neural retina Moderate Regionally restricted euxassay_002266_22

Specimen euxassay_002266_23: embryonic day 14.5 (more )
Structure Level Pattern Image Note
TS23: brain Strong Uniform euxassay_002266_23
TS23: neural retina Moderate Regionally restricted euxassay_002266_23


Contributing Projects:
Mouse Genome Database (MGD), Gene Expression Database (GXD), Mouse Models of Human Cancer database (MMHCdb) (formerly Mouse Tumor Biology (MTB)), Gene Ontology (GO)
Citing These Resources
Funding Information
Warranty Disclaimer, Privacy Notice, Licensing, & Copyright
Send questions and comments to User Support.
last database update
01/20/2026
MGI 6.24
The Jackson Laboratory