About   Help   FAQ
Gene Expression Data
Assay Details
Assay
Reference: J:153498 Diez-Roux G, et al., A high-resolution anatomical atlas of the transcriptome in the mouse embryo. PLoS Biol. 2011;9(1):e1000582
Assay type: RNA in situ
MGI Accession ID: MGI:4827956
Gene symbol: Sephs2
Gene name: selenophosphate synthetase 2
Probe: MGC clone 36791
Probe preparation: Antisense labelled with digoxigenin RNA
Visualized with: Alkaline phosphatase
Assay notes: Cryosections of fresh frozen material were fixed in 4% paraformaldehyde for 20 min. before further processing. A tyramide-biotin/streptavidin amplification step was included in the in situ hybridization procedure.
Results
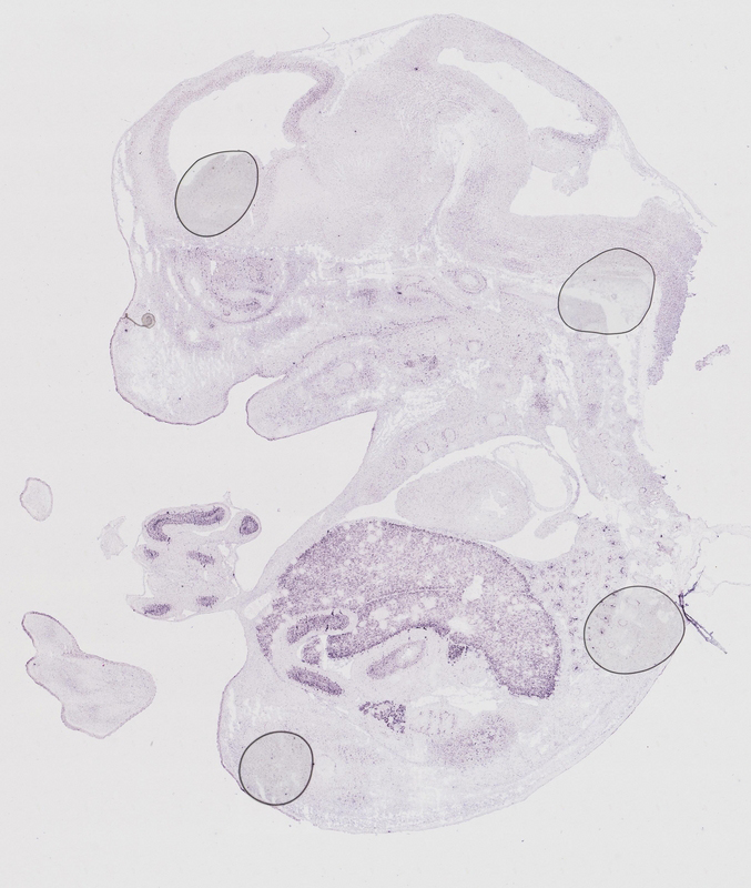
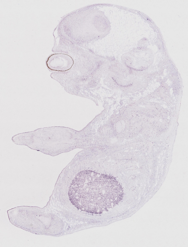
Specimen euxassay_002088_01: embryonic day 14.5 (more )
Structure Level Pattern Image Note
TS23: liver lobe Strong Regionally restricted euxassay_002088_01

Specimen euxassay_002088_02: embryonic day 14.5 (more )
Structure Level Pattern Image Note
TS23: liver lobe Strong Regionally restricted euxassay_002088_02

Specimen euxassay_002088_03: embryonic day 14.5 (more )
Structure Level Pattern Image Note
TS23: liver lobe Strong Regionally restricted euxassay_002088_03

Specimen euxassay_002088_04: embryonic day 14.5 (more )
Structure Level Pattern Image Note
TS23: liver lobe Strong Regionally restricted euxassay_002088_04

Specimen euxassay_002088_05: embryonic day 14.5 (more )
Structure Level Pattern Image Note
TS23: liver lobe Strong Regionally restricted euxassay_002088_05
TS23: stomach Moderate Regionally restricted euxassay_002088_05
TS23: midgut Moderate Regionally restricted euxassay_002088_05

Specimen euxassay_002088_06: embryonic day 14.5 (more )
Structure Level Pattern Image Note
TS23: liver lobe Strong Regionally restricted euxassay_002088_06
TS23: stomach Moderate Regionally restricted euxassay_002088_06
TS23: midgut Moderate Regionally restricted euxassay_002088_06
TS23: hindgut Moderate Regionally restricted euxassay_002088_06
TS23: foregut-midgut junction Moderate Regionally restricted euxassay_002088_06

Specimen euxassay_002088_07: embryonic day 14.5 (more )
Structure Level Pattern Image Note
TS23: liver lobe Strong Regionally restricted euxassay_002088_07
TS23: thymus primordium Weak Regionally restricted euxassay_002088_07

Specimen euxassay_002088_08: embryonic day 14.5 (more )
Structure Level Pattern Image Note
TS23: liver lobe Strong Regionally restricted euxassay_002088_08
TS23: thymus primordium Weak Regionally restricted euxassay_002088_08
TS23: foregut-midgut junction Moderate Regionally restricted euxassay_002088_08
TS23: hindgut Moderate Regionally restricted euxassay_002088_08
TS23: midgut Moderate Regionally restricted euxassay_002088_08

Specimen euxassay_002088_09: embryonic day 14.5 (more )
Structure Level Pattern Image Note
TS23: liver lobe Strong Regionally restricted euxassay_002088_09
TS23: thymus primordium Weak Regionally restricted euxassay_002088_09
TS23: foregut-midgut junction Moderate Regionally restricted euxassay_002088_09
TS23: hindgut Moderate Regionally restricted euxassay_002088_09
TS23: midgut Moderate Regionally restricted euxassay_002088_09

Specimen euxassay_002088_10: embryonic day 14.5 (more )
Structure Level Pattern Image Note
TS23: liver lobe Strong Regionally restricted euxassay_002088_10
TS23: thymus primordium Weak Regionally restricted euxassay_002088_10
TS23: midgut Moderate Regionally restricted euxassay_002088_10
TS23: hindgut Moderate Regionally restricted euxassay_002088_10

Specimen euxassay_002088_11: embryonic day 14.5 (more )
Structure Level Pattern Image Note
TS23: liver lobe Strong Regionally restricted euxassay_002088_11

Specimen euxassay_002088_12: embryonic day 14.5 (more )
Structure Level Pattern Image Note
TS23: liver lobe Strong Regionally restricted euxassay_002088_12

Specimen euxassay_002088_13: embryonic day 14.5 (more )
Structure Level Pattern Image Note
TS23: liver lobe Strong Regionally restricted euxassay_002088_13

Specimen euxassay_002088_14: embryonic day 14.5 (more )
Structure Level Pattern Image Note
TS23: liver lobe Strong Regionally restricted euxassay_002088_14

Specimen euxassay_002088_15: embryonic day 14.5 (more )
Structure Level Pattern Image Note
TS23: liver lobe Strong Regionally restricted euxassay_002088_15

Specimen euxassay_002088_16: embryonic day 14.5 (more )
Structure Level Pattern Image Note
TS23: liver lobe Strong Regionally restricted euxassay_002088_16

Specimen euxassay_002088_17: embryonic day 14.5 (more )
Structure Level Pattern Image Note
TS23: liver lobe Strong Regionally restricted euxassay_002088_17

Specimen euxassay_002088_18: embryonic day 14.5 (more )
Structure Level Pattern Image Note
TS23: liver lobe Strong Regionally restricted euxassay_002088_18

Specimen euxassay_002088_19: embryonic day 14.5 (more )
Structure Level Pattern Image Note
TS23: liver lobe Strong Regionally restricted euxassay_002088_19

Specimen euxassay_002088_20: embryonic day 14.5 (more )
Structure Level Pattern Image Note
TS23: liver lobe Strong Regionally restricted euxassay_002088_20


Contributing Projects:
Mouse Genome Database (MGD), Gene Expression Database (GXD), Mouse Models of Human Cancer database (MMHCdb) (formerly Mouse Tumor Biology (MTB)), Gene Ontology (GO)
Citing These Resources
Funding Information
Warranty Disclaimer, Privacy Notice, Licensing, & Copyright
Send questions and comments to User Support.
last database update
01/28/2026
MGI 6.24
The Jackson Laboratory