About   Help   FAQ
Gene Expression Data
Assay Details
Assay
Reference: J:153498 Diez-Roux G, et al., A high-resolution anatomical atlas of the transcriptome in the mouse embryo. PLoS Biol. 2011;9(1):e1000582
Assay type: RNA in situ
MGI Accession ID: MGI:4827950
Gene symbol: Sema6d
Gene name: sema domain, transmembrane domain (TM), and cytoplasmic domain, (semaphorin) 6D
Probe: T38319
Probe preparation: Antisense labelled with digoxigenin RNA
Visualized with: Alkaline phosphatase
Assay notes: Cryosections of fresh frozen material were fixed in 4% paraformaldehyde for 20 min. before further processing. A tyramide-biotin/streptavidin amplification step was included in the in situ hybridization procedure.
Results
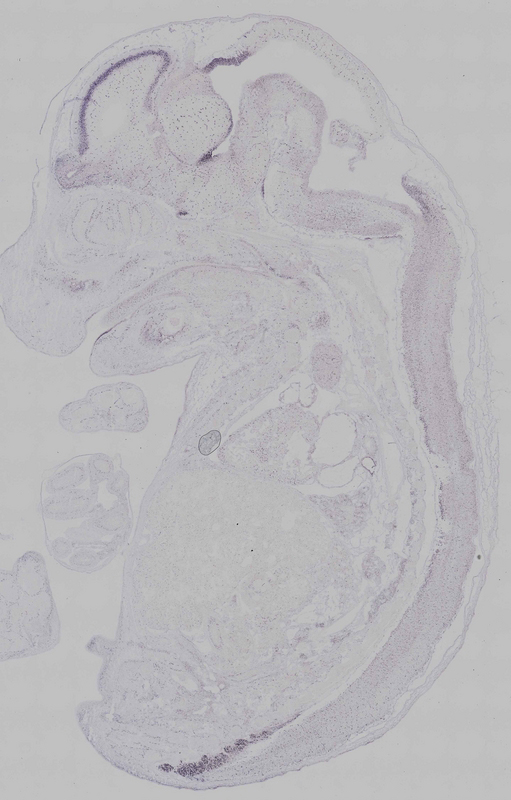
Specimen euxassay_010735_01: embryonic day 14.5 (more )
Structure Level Pattern Image Note
TS23: cerebral cortex mantle layer Strong Regionally restricted euxassay_010735_01
TS23: cerebral cortex ventricular layer Strong Regionally restricted euxassay_010735_01
TS23: telencephalon mantle layer Strong Single cells euxassay_010735_01
TS23: embryo Strong Single cells euxassay_010735_01

Specimen euxassay_010735_02: embryonic day 14.5 (more )
Structure Level Pattern Image Note
TS23: cerebral cortex mantle layer Strong Regionally restricted euxassay_010735_02
TS23: cerebral cortex ventricular layer Strong Regionally restricted euxassay_010735_02
TS23: telencephalon mantle layer Strong Single cells euxassay_010735_02
TS23: rest of cerebellum mantle layer Strong Single cells euxassay_010735_02
TS23: pons mantle layer Strong Single cells euxassay_010735_02
TS23: rest of cerebellum marginal layer Strong Regionally restricted euxassay_010735_02
TS23: embryo Strong Single cells euxassay_010735_02

Specimen euxassay_010735_03: embryonic day 14.5 (more )
Structure Level Pattern Image Note
TS23: cerebral cortex ventricular layer Strong Regionally restricted euxassay_010735_03
TS23: cerebral cortex mantle layer Strong Regionally restricted euxassay_010735_03
TS23: telencephalon mantle layer Strong Single cells euxassay_010735_03
TS23: rest of cerebellum mantle layer Strong Single cells euxassay_010735_03
TS23: pons mantle layer Strong Single cells euxassay_010735_03
TS23: rest of cerebellum marginal layer Strong Regionally restricted euxassay_010735_03
TS23: trigeminal ganglion Strong Regionally restricted euxassay_010735_03
TS23: embryo Strong Single cells euxassay_010735_03

Specimen euxassay_010735_04: embryonic day 14.5 (more )
Structure Level Pattern Image Note
TS23: cerebral cortex mantle layer Strong Regionally restricted euxassay_010735_04
TS23: telencephalon mantle layer Strong Single cells euxassay_010735_04
TS23: midbrain mantle layer Strong Single cells euxassay_010735_04
TS23: rest of cerebellum mantle layer Strong Single cells euxassay_010735_04
TS23: pons mantle layer Strong Single cells euxassay_010735_04
TS23: medulla oblongata alar plate mantle layer Strong Single cells euxassay_010735_04
TS23: medulla oblongata basal plate mantle layer Strong Single cells euxassay_010735_04
TS23: rest of cerebellum marginal layer Strong Regionally restricted euxassay_010735_04
TS23: trigeminal ganglion Strong Regionally restricted euxassay_010735_04
TS23: vestibulo-cochlear ganglion Strong Regionally restricted euxassay_010735_04
TS23: embryo Strong Single cells euxassay_010735_04

Specimen euxassay_010735_05: embryonic day 14.5 (more )
Structure Level Pattern Image Note
TS23: cerebral cortex mantle layer Strong Regionally restricted euxassay_010735_05
TS23: diencephalon lateral wall mantle layer Strong Single cells euxassay_010735_05
TS23: telencephalon mantle layer Strong Single cells euxassay_010735_05
TS23: midbrain mantle layer Strong Single cells euxassay_010735_05
TS23: medulla oblongata alar plate mantle layer Strong Single cells euxassay_010735_05
TS23: medulla oblongata basal plate mantle layer Strong Single cells euxassay_010735_05
TS23: rest of cerebellum mantle layer Strong Single cells euxassay_010735_05
TS23: pons mantle layer Strong Single cells euxassay_010735_05
TS23: rest of cerebellum marginal layer Strong Regionally restricted euxassay_010735_05
TS23: trigeminal ganglion Strong Regionally restricted euxassay_010735_05
TS23: vestibulo-cochlear ganglion Strong Regionally restricted euxassay_010735_05
TS23: embryo Strong Single cells euxassay_010735_05

Specimen euxassay_010735_06: embryonic day 14.5 (more )
Structure Level Pattern Image Note
TS23: cerebral cortex mantle layer Strong Regionally restricted euxassay_010735_06
TS23: diencephalon lateral wall mantle layer Strong Single cells euxassay_010735_06
TS23: telencephalon mantle layer Strong Single cells euxassay_010735_06
TS23: midbrain mantle layer Strong Single cells euxassay_010735_06
TS23: medulla oblongata alar plate mantle layer Strong Single cells euxassay_010735_06
TS23: medulla oblongata basal plate mantle layer Strong Single cells euxassay_010735_06
TS23: rest of cerebellum mantle layer Strong Single cells euxassay_010735_06
TS23: pons mantle layer Strong Single cells euxassay_010735_06
TS23: rest of cerebellum marginal layer Strong Regionally restricted euxassay_010735_06
TS23: trigeminal ganglion Strong Regionally restricted euxassay_010735_06
TS23: glossopharyngeal ganglion Strong Regionally restricted euxassay_010735_06
TS23: vestibulo-cochlear ganglion Strong Regionally restricted euxassay_010735_06
TS23: embryo Strong Single cells euxassay_010735_06

Specimen euxassay_010735_07: embryonic day 14.5 (more )
Structure Level Pattern Image Note
TS23: cerebral cortex mantle layer Strong Regionally restricted euxassay_010735_07
TS23: diencephalon lateral wall mantle layer Strong Single cells euxassay_010735_07
TS23: telencephalon mantle layer Strong Single cells euxassay_010735_07
TS23: midbrain mantle layer Strong Single cells euxassay_010735_07
TS23: medulla oblongata alar plate mantle layer Strong Single cells euxassay_010735_07
TS23: medulla oblongata basal plate mantle layer Strong Single cells euxassay_010735_07
TS23: rest of cerebellum mantle layer Strong Single cells euxassay_010735_07
TS23: pons mantle layer Strong Single cells euxassay_010735_07
TS23: rest of cerebellum marginal layer Strong Regionally restricted euxassay_010735_07
TS23: trigeminal ganglion Strong Regionally restricted euxassay_010735_07
TS23: facial ganglion Strong Regionally restricted euxassay_010735_07
TS23: dorsal root ganglion Strong Regionally restricted euxassay_010735_07
TS23: embryo Strong Single cells euxassay_010735_07

Specimen euxassay_010735_08: embryonic day 14.5 (more )
Structure Level Pattern Image Note
TS23: cerebral cortex mantle layer Strong Regionally restricted euxassay_010735_08
TS23: diencephalon lateral wall mantle layer Strong Single cells euxassay_010735_08
TS23: telencephalon mantle layer Strong Single cells euxassay_010735_08
TS23: midbrain mantle layer Strong Single cells euxassay_010735_08
TS23: medulla oblongata alar plate mantle layer Strong Single cells euxassay_010735_08
TS23: medulla oblongata basal plate mantle layer Strong Single cells euxassay_010735_08
TS23: rest of cerebellum mantle layer Strong Single cells euxassay_010735_08
TS23: pons mantle layer Strong Single cells euxassay_010735_08
TS23: rest of cerebellum marginal layer Strong Regionally restricted euxassay_010735_08
TS23: vestibulo-cochlear ganglion Strong Regionally restricted euxassay_010735_08
TS23: trigeminal ganglion Strong Regionally restricted euxassay_010735_08
TS23: dorsal root ganglion Strong Regionally restricted euxassay_010735_08
TS23: embryo Strong Single cells euxassay_010735_08

Specimen euxassay_010735_09: embryonic day 14.5 (more )
Structure Level Pattern Image Note
TS23: cerebral cortex mantle layer Strong Regionally restricted euxassay_010735_09
TS23: diencephalon lateral wall mantle layer Strong Single cells euxassay_010735_09
TS23: telencephalon mantle layer Strong Single cells euxassay_010735_09
TS23: midbrain mantle layer Strong Single cells euxassay_010735_09
TS23: medulla oblongata alar plate mantle layer Strong Single cells euxassay_010735_09
TS23: medulla oblongata basal plate mantle layer Strong Single cells euxassay_010735_09
TS23: rest of cerebellum mantle layer Strong Single cells euxassay_010735_09
TS23: pons mantle layer Strong Single cells euxassay_010735_09
TS23: rest of cerebellum marginal layer Strong Regionally restricted euxassay_010735_09
TS23: trigeminal ganglion Strong Regionally restricted euxassay_010735_09
TS23: vestibulo-cochlear ganglion Strong Regionally restricted euxassay_010735_09
TS23: dorsal root ganglion Strong Regionally restricted euxassay_010735_09
TS23: spinal cord mantle layer Strong Single cells euxassay_010735_09
TS23: embryo Strong Single cells euxassay_010735_09

Specimen euxassay_010735_10: embryonic day 14.5 (more )
Structure Level Pattern Image Note
TS23: cerebral cortex mantle layer Strong Regionally restricted euxassay_010735_10
TS23: telencephalon mantle layer Strong Single cells euxassay_010735_10
TS23: diencephalon lateral wall mantle layer Strong Single cells euxassay_010735_10
TS23: midbrain mantle layer Strong Single cells euxassay_010735_10
TS23: medulla oblongata alar plate mantle layer Strong Single cells euxassay_010735_10
TS23: medulla oblongata basal plate mantle layer Strong Single cells euxassay_010735_10
TS23: rest of cerebellum mantle layer Strong Single cells euxassay_010735_10
TS23: pons mantle layer Strong Single cells euxassay_010735_10
TS23: rest of cerebellum marginal layer Strong Regionally restricted euxassay_010735_10
TS23: dorsal root ganglion Strong Regionally restricted euxassay_010735_10
TS23: spinal cord mantle layer Strong Single cells euxassay_010735_10
TS23: embryo Strong Single cells euxassay_010735_10

Specimen euxassay_010735_11: embryonic day 14.5 (more )
Structure Level Pattern Image Note
TS23: cerebral cortex mantle layer Strong Regionally restricted euxassay_010735_11
TS23: diencephalon lateral wall mantle layer Strong Single cells euxassay_010735_11
TS23: telencephalon mantle layer Strong Single cells euxassay_010735_11
TS23: midbrain mantle layer Strong Single cells euxassay_010735_11
TS23: diencephalon lateral wall ventricular layer Strong Regionally restricted euxassay_010735_11
TS23: medulla oblongata alar plate mantle layer Strong Single cells euxassay_010735_11
TS23: medulla oblongata basal plate mantle layer Strong Single cells euxassay_010735_11
TS23: rest of cerebellum mantle layer Strong Single cells euxassay_010735_11
TS23: pons mantle layer Strong Single cells euxassay_010735_11
TS23: dorsal root ganglion Strong Regionally restricted euxassay_010735_11
TS23: spinal cord mantle layer Strong Single cells euxassay_010735_11
TS23: embryo Strong Single cells euxassay_010735_11

Specimen euxassay_010735_12: embryonic day 14.5 (more )
Structure Level Pattern Image Note
TS23: cerebral cortex mantle layer Strong Regionally restricted euxassay_010735_12
TS23: diencephalon lateral wall mantle layer Strong Single cells euxassay_010735_12
TS23: telencephalon mantle layer Strong Single cells euxassay_010735_12
TS23: midbrain mantle layer Strong Single cells euxassay_010735_12
TS23: diencephalon lateral wall ventricular layer Strong Regionally restricted euxassay_010735_12
TS23: medulla oblongata alar plate mantle layer Strong Single cells euxassay_010735_12
TS23: medulla oblongata basal plate mantle layer Strong Single cells euxassay_010735_12
TS23: rest of cerebellum mantle layer Strong Single cells euxassay_010735_12
TS23: pons mantle layer Strong Single cells euxassay_010735_12
TS23: rest of cerebellum marginal layer Strong Regionally restricted euxassay_010735_12
TS23: dorsal root ganglion Strong Regionally restricted euxassay_010735_12
TS23: spinal cord mantle layer Strong Single cells euxassay_010735_12
TS23: spinal cord ventricular layer Strong Regionally restricted euxassay_010735_12
TS23: embryo Strong Single cells euxassay_010735_12

Specimen euxassay_010735_13: embryonic day 14.5 (more )
Structure Level Pattern Image Note
TS23: cerebral cortex mantle layer Strong Regionally restricted euxassay_010735_13
TS23: telencephalon ventricular layer Strong Regionally restricted euxassay_010735_13
TS23: diencephalon lateral wall mantle layer Strong Single cells euxassay_010735_13
TS23: telencephalon mantle layer Strong Single cells euxassay_010735_13
TS23: midbrain mantle layer Strong Single cells euxassay_010735_13
TS23: medulla oblongata alar plate mantle layer Strong Single cells euxassay_010735_13
TS23: medulla oblongata basal plate mantle layer Strong Single cells euxassay_010735_13
TS23: rest of cerebellum mantle layer Strong Single cells euxassay_010735_13
TS23: pons mantle layer Strong Single cells euxassay_010735_13
TS23: rest of cerebellum marginal layer Strong Regionally restricted euxassay_010735_13
TS23: dorsal root ganglion Strong Regionally restricted euxassay_010735_13
TS23: spinal cord mantle layer Strong Single cells euxassay_010735_13
TS23: spinal cord ventricular layer Strong Regionally restricted euxassay_010735_13
TS23: embryo Strong Single cells euxassay_010735_13

Specimen euxassay_010735_14: embryonic day 14.5 (more )
Structure Level Pattern Image Note
TS23: cerebral cortex mantle layer Strong Regionally restricted euxassay_010735_14
TS23: telencephalon ventricular layer Strong Regionally restricted euxassay_010735_14
TS23: diencephalon lateral wall mantle layer Strong Single cells euxassay_010735_14
TS23: telencephalon mantle layer Strong Single cells euxassay_010735_14
TS23: midbrain mantle layer Strong Single cells euxassay_010735_14
TS23: medulla oblongata alar plate mantle layer Strong Single cells euxassay_010735_14
TS23: medulla oblongata basal plate mantle layer Strong Single cells euxassay_010735_14
TS23: rest of cerebellum mantle layer Strong Single cells euxassay_010735_14
TS23: pons mantle layer Strong Single cells euxassay_010735_14
TS23: rest of cerebellum marginal layer Strong Regionally restricted euxassay_010735_14
TS23: spinal cord mantle layer Strong Single cells euxassay_010735_14
TS23: embryo Strong Single cells euxassay_010735_14

Specimen euxassay_010735_15: embryonic day 14.5 (more )
Structure Level Pattern Image Note
TS23: cerebral cortex mantle layer Strong Regionally restricted euxassay_010735_15
TS23: diencephalon lateral wall mantle layer Strong Single cells euxassay_010735_15
TS23: telencephalon mantle layer Strong Single cells euxassay_010735_15
TS23: midbrain mantle layer Strong Single cells euxassay_010735_15
TS23: medulla oblongata alar plate mantle layer Strong Single cells euxassay_010735_15
TS23: medulla oblongata basal plate mantle layer Strong Single cells euxassay_010735_15
TS23: rest of cerebellum mantle layer Strong Single cells euxassay_010735_15
TS23: pons mantle layer Strong Single cells euxassay_010735_15
TS23: rest of cerebellum marginal layer Strong Regionally restricted euxassay_010735_15
TS23: dorsal root ganglion Strong Regionally restricted euxassay_010735_15
TS23: spinal cord mantle layer Strong Single cells euxassay_010735_15
TS23: embryo Strong Single cells euxassay_010735_15

Specimen euxassay_010735_16: embryonic day 14.5 (more )
Structure Level Pattern Image Note
TS23: cerebral cortex mantle layer Strong Regionally restricted euxassay_010735_16
TS23: diencephalon lateral wall mantle layer Strong Single cells euxassay_010735_16
TS23: telencephalon mantle layer Strong Single cells euxassay_010735_16
TS23: midbrain mantle layer Strong Single cells euxassay_010735_16
TS23: medulla oblongata alar plate mantle layer Strong Single cells euxassay_010735_16
TS23: medulla oblongata basal plate mantle layer Strong Single cells euxassay_010735_16
TS23: rest of cerebellum mantle layer Strong Single cells euxassay_010735_16
TS23: pons mantle layer Strong Single cells euxassay_010735_16
TS23: rest of cerebellum marginal layer Strong Regionally restricted euxassay_010735_16
TS23: vestibulo-cochlear ganglion Strong Regionally restricted euxassay_010735_16
TS23: dorsal root ganglion Strong Regionally restricted euxassay_010735_16
TS23: embryo Strong Single cells euxassay_010735_16

Specimen euxassay_010735_17: embryonic day 14.5 (more )
Structure Level Pattern Image Note
TS23: cerebral cortex mantle layer Strong Regionally restricted euxassay_010735_17
TS23: telencephalon mantle layer Strong Single cells euxassay_010735_17
TS23: diencephalon lateral wall mantle layer Strong Single cells euxassay_010735_17
TS23: midbrain mantle layer Strong Single cells euxassay_010735_17
TS23: medulla oblongata alar plate mantle layer Strong Single cells euxassay_010735_17
TS23: medulla oblongata basal plate mantle layer Strong Single cells euxassay_010735_17
TS23: rest of cerebellum mantle layer Strong Single cells euxassay_010735_17
TS23: pons mantle layer Strong Single cells euxassay_010735_17
TS23: rest of cerebellum marginal layer Strong Regionally restricted euxassay_010735_17
TS23: trigeminal ganglion Strong Regionally restricted euxassay_010735_17
TS23: vestibulo-cochlear ganglion Strong Regionally restricted euxassay_010735_17
TS23: dorsal root ganglion Strong Regionally restricted euxassay_010735_17
TS23: embryo Strong Single cells euxassay_010735_17

Specimen euxassay_010735_18: embryonic day 14.5 (more )
Structure Level Pattern Image Note
TS23: cerebral cortex mantle layer Strong Regionally restricted euxassay_010735_18
TS23: telencephalon mantle layer Strong Single cells euxassay_010735_18
TS23: diencephalon lateral wall mantle layer Strong Single cells euxassay_010735_18
TS23: midbrain mantle layer Strong Single cells euxassay_010735_18
TS23: medulla oblongata alar plate mantle layer Strong Single cells euxassay_010735_18
TS23: medulla oblongata basal plate mantle layer Strong Single cells euxassay_010735_18
TS23: rest of cerebellum mantle layer Strong Single cells euxassay_010735_18
TS23: pons mantle layer Strong Single cells euxassay_010735_18
TS23: rest of cerebellum marginal layer Strong Regionally restricted euxassay_010735_18
TS23: trigeminal ganglion Strong Regionally restricted euxassay_010735_18
TS23: glossopharyngeal ganglion Strong Regionally restricted euxassay_010735_18
TS23: vestibulo-cochlear ganglion Strong Regionally restricted euxassay_010735_18
TS23: dorsal root ganglion Strong Regionally restricted euxassay_010735_18
TS23: embryo Strong Single cells euxassay_010735_18

Specimen euxassay_010735_19: embryonic day 14.5 (more )
Structure Level Pattern Image Note
TS23: cerebral cortex mantle layer Strong Regionally restricted euxassay_010735_19
TS23: telencephalon mantle layer Strong Single cells euxassay_010735_19
TS23: rest of cerebellum mantle layer Strong Single cells euxassay_010735_19
TS23: pons mantle layer Strong Single cells euxassay_010735_19
TS23: medulla oblongata basal plate mantle layer Strong Single cells euxassay_010735_19
TS23: medulla oblongata alar plate mantle layer Strong Single cells euxassay_010735_19
TS23: rest of cerebellum marginal layer Strong Regionally restricted euxassay_010735_19
TS23: trigeminal ganglion Strong Regionally restricted euxassay_010735_19
TS23: glossopharyngeal ganglion Strong Regionally restricted euxassay_010735_19
TS23: vestibulo-cochlear ganglion Strong Regionally restricted euxassay_010735_19
TS23: embryo Strong Single cells euxassay_010735_19

Specimen euxassay_010735_20: embryonic day 14.5 (more )
Structure Level Pattern Image Note
TS23: cerebral cortex mantle layer Strong Regionally restricted euxassay_010735_20
TS23: telencephalon mantle layer Strong Single cells euxassay_010735_20
TS23: pons mantle layer Strong Single cells euxassay_010735_20
TS23: rest of cerebellum mantle layer Strong Single cells euxassay_010735_20
TS23: medulla oblongata basal plate mantle layer Strong Single cells euxassay_010735_20
TS23: medulla oblongata alar plate mantle layer Strong Single cells euxassay_010735_20
TS23: rest of cerebellum marginal layer Strong Regionally restricted euxassay_010735_20
TS23: trigeminal ganglion Strong Regionally restricted euxassay_010735_20
TS23: vestibulo-cochlear ganglion Strong Regionally restricted euxassay_010735_20
TS23: embryo Strong Single cells euxassay_010735_20

Specimen euxassay_010735_21: embryonic day 14.5 (more )
Structure Level Pattern Image Note
TS23: cerebral cortex mantle layer Strong Regionally restricted euxassay_010735_21
TS23: telencephalon mantle layer Strong Single cells euxassay_010735_21
TS23: rest of cerebellum marginal layer Strong Regionally restricted euxassay_010735_21
TS23: trigeminal ganglion Strong Regionally restricted euxassay_010735_21
TS23: vestibulo-cochlear ganglion Strong Regionally restricted euxassay_010735_21
TS23: embryo Strong Single cells euxassay_010735_21

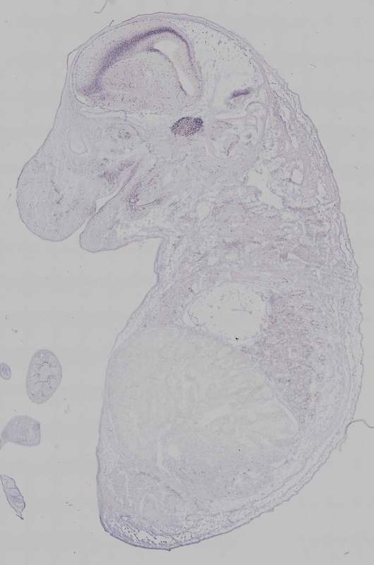
Specimen euxassay_010735_22: embryonic day 14.5 (more )
Structure Level Pattern Image Note
TS23: cerebral cortex mantle layer Strong Regionally restricted euxassay_010735_22
TS23: cerebral cortex ventricular layer Strong Regionally restricted euxassay_010735_22
TS23: telencephalon mantle layer Strong Single cells euxassay_010735_22
TS23: trigeminal ganglion Strong Regionally restricted euxassay_010735_22
TS23: embryo Strong Single cells euxassay_010735_22

Specimen euxassay_010735_23: embryonic day 14.5 (more )
Structure Level Pattern Image Note
TS23: cerebral cortex mantle layer Strong Regionally restricted euxassay_010735_23
TS23: cerebral cortex ventricular layer Strong Regionally restricted euxassay_010735_23
TS23: telencephalon mantle layer Strong Single cells euxassay_010735_23
TS23: embryo Strong Single cells euxassay_010735_23


Contributing Projects:
Mouse Genome Database (MGD), Gene Expression Database (GXD), Mouse Models of Human Cancer database (MMHCdb) (formerly Mouse Tumor Biology (MTB)), Gene Ontology (GO)
Citing These Resources
Funding Information
Warranty Disclaimer, Privacy Notice, Licensing, & Copyright
Send questions and comments to User Support.
last database update
01/06/2026
MGI 6.24
The Jackson Laboratory