About   Help   FAQ
Gene Expression Data
Assay Details
Assay
Reference: J:153498 Diez-Roux G, et al., A high-resolution anatomical atlas of the transcriptome in the mouse embryo. PLoS Biol. 2011;9(1):e1000582
Assay type: RNA in situ
MGI Accession ID: MGI:4827942
Gene symbol: Selenbp2
Gene name: selenium binding protein 2
Probe: MGC clone 35927
Probe preparation: Antisense labelled with digoxigenin RNA
Visualized with: Alkaline phosphatase
Assay notes: Cryosections of fresh frozen material were fixed in 4% paraformaldehyde for 20 min. before further processing. A tyramide-biotin/streptavidin amplification step was included in the in situ hybridization procedure.
Results
Specimen euxassay_000825_01: embryonic day 14.5 (more )
Structure Level Pattern Image Note
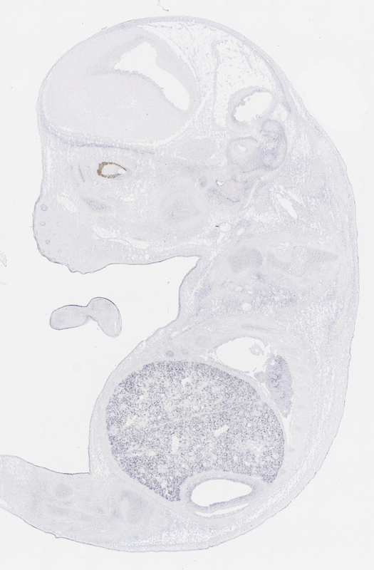
TS23: liver Moderate Uniform euxassay_000825_01

Specimen euxassay_000825_02: embryonic day 14.5 (more )
Structure Level Pattern Image Note
TS23: liver Moderate Uniform euxassay_000825_02

Specimen euxassay_000825_03: embryonic day 14.5 (more )
Structure Level Pattern Image Note
TS23: liver Moderate Uniform euxassay_000825_03

Specimen euxassay_000825_04: embryonic day 14.5 (more )
Structure Level Pattern Image Note
TS23: liver Moderate Uniform euxassay_000825_04

Specimen euxassay_000825_05: embryonic day 14.5 (more )
Structure Level Pattern Image Note
TS23: liver Moderate Uniform euxassay_000825_05
TS23: oral epithelium Moderate Uniform euxassay_000825_05

Specimen euxassay_000825_06: embryonic day 14.5 (more )
Structure Level Pattern Image Note
TS23: liver Moderate Uniform euxassay_000825_06

Specimen euxassay_000825_07: embryonic day 14.5 (more )
Structure Level Pattern Image Note
TS23: liver Moderate Uniform euxassay_000825_07

Specimen euxassay_000825_08: embryonic day 14.5 (more )
Structure Level Pattern Image Note
TS23: liver Moderate Uniform euxassay_000825_08

Specimen euxassay_000825_09: embryonic day 14.5 (more )
Structure Level Pattern Image Note
TS23: oral epithelium Moderate Uniform euxassay_000825_09
TS23: liver Moderate Uniform euxassay_000825_09

Specimen euxassay_000825_10: embryonic day 14.5 (more )
Structure Level Pattern Image Note
TS23: liver Moderate Uniform euxassay_000825_10
TS23: oral epithelium Moderate Uniform euxassay_000825_10

Specimen euxassay_000825_11: embryonic day 14.5 (more )
Structure Level Pattern Image Note
TS23: olfactory epithelium Moderate Uniform euxassay_000825_11
TS23: liver Moderate Uniform euxassay_000825_11
TS23: oral epithelium Moderate Uniform euxassay_000825_11

Specimen euxassay_000825_12: embryonic day 14.5 (more )
Structure Level Pattern Image Note
TS23: nasal cavity epithelium Moderate Uniform euxassay_000825_12
TS23: oral epithelium Moderate Uniform euxassay_000825_12
TS23: liver Moderate Uniform euxassay_000825_12
TS23: pharynx epithelium Strong Uniform euxassay_000825_12

Specimen euxassay_000825_13: embryonic day 14.5 (more )
Structure Level Pattern Image Note
TS23: pharynx epithelium Strong Uniform euxassay_000825_13
TS23: liver Moderate Uniform euxassay_000825_13

Specimen euxassay_000825_14: embryonic day 14.5 (more )
Structure Level Pattern Image Note
TS23: liver Moderate Uniform euxassay_000825_14
TS23: pharynx epithelium Strong Uniform euxassay_000825_14
TS23: esophagus epithelium Moderate Uniform euxassay_000825_14

Specimen euxassay_000825_15: embryonic day 14.5 (more )
Structure Level Pattern Image Note
TS23: pharynx epithelium Strong Uniform euxassay_000825_15
TS23: nasal cavity epithelium Moderate Uniform euxassay_000825_15
TS23: oral epithelium Moderate Uniform euxassay_000825_15

Specimen euxassay_000825_16: embryonic day 14.5 (more )
Structure Level Pattern Image Note
TS23: oral epithelium Strong Uniform euxassay_000825_16
TS23: nasal cavity epithelium Strong Uniform euxassay_000825_16
TS23: pharynx epithelium Strong Uniform euxassay_000825_16
TS23: liver Moderate Uniform euxassay_000825_16

Specimen euxassay_000825_17: embryonic day 14.5 (more )
Structure Level Pattern Image Note
TS23: liver Moderate Uniform euxassay_000825_17
TS23: oral epithelium Moderate Uniform euxassay_000825_17
TS23: nasal cavity epithelium Moderate Uniform euxassay_000825_17

Specimen euxassay_000825_18: embryonic day 14.5 (more )
Structure Level Pattern Image Note
TS23: liver Moderate Uniform euxassay_000825_18

Specimen euxassay_000825_19: embryonic day 14.5 (more )
Structure Level Pattern Image Note
TS23: liver Moderate Uniform euxassay_000825_19

Specimen euxassay_000825_20: embryonic day 14.5 (more )
Structure Level Pattern Image Note
TS23: liver Moderate Uniform euxassay_000825_20

Specimen euxassay_000825_21: embryonic day 14.5 (more )
Structure Level Pattern Image Note
TS23: liver Moderate Uniform euxassay_000825_21

Specimen euxassay_000825_22: embryonic day 14.5 (more )
Structure Level Pattern Image Note
TS23: liver Moderate Uniform euxassay_000825_22

Specimen euxassay_000825_23: embryonic day 14.5 (more )
Structure Level Pattern Image Note
TS23: liver Moderate Uniform euxassay_000825_23

Specimen euxassay_000825_24: embryonic day 14.5 (more )
Structure Level Pattern Image Note
TS23: liver Moderate Uniform euxassay_000825_24


Contributing Projects:
Mouse Genome Database (MGD), Gene Expression Database (GXD), Mouse Models of Human Cancer database (MMHCdb) (formerly Mouse Tumor Biology (MTB)), Gene Ontology (GO)
Citing These Resources
Funding Information
Warranty Disclaimer, Privacy Notice, Licensing, & Copyright
Send questions and comments to User Support.
last database update
01/20/2026
MGI 6.24
The Jackson Laboratory