About   Help   FAQ
Gene Expression Data
Assay Details
Assay
Reference: J:153498 Diez-Roux G, et al., A high-resolution anatomical atlas of the transcriptome in the mouse embryo. PLoS Biol. 2011;9(1):e1000582
Assay type: RNA in situ
MGI Accession ID: MGI:4827920
Gene symbol: Sdc4
Gene name: syndecan 4
Probe: IMAGE clone 2317560
Probe preparation: Antisense labelled with digoxigenin RNA
Visualized with: Alkaline phosphatase
Assay notes: Cryosections of fresh frozen material were fixed in 4% paraformaldehyde for 20 min. before further processing. A tyramide-biotin/streptavidin amplification step was included in the in situ hybridization procedure.
Results
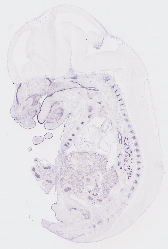
Specimen euxassay_007889_01: embryonic day 14.5 (more )
Structure Level Pattern Image Note
TS23: rib Strong Regionally restricted euxassay_007889_01
TS23: temporal bone petrous part Moderate Regionally restricted euxassay_007889_01
TS23: exoccipital bone Moderate Regionally restricted euxassay_007889_01
TS23: orbito-sphenoid Moderate Regionally restricted euxassay_007889_01
TS23: cornea epithelium Weak Regionally restricted euxassay_007889_01
TS23: femur Moderate Regionally restricted euxassay_007889_01

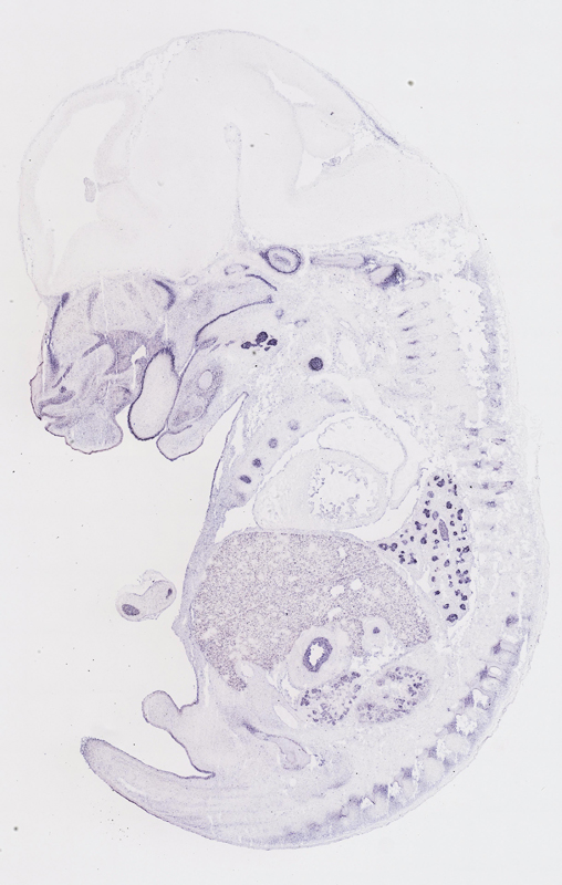
Specimen euxassay_007889_02: embryonic day 14.5 (more )
Structure Level Pattern Image Note
TS23: rib Strong Regionally restricted euxassay_007889_02
TS23: orbito-sphenoid Moderate Regionally restricted euxassay_007889_02
TS23: temporal bone petrous part Moderate Regionally restricted euxassay_007889_02
TS23: exoccipital bone Moderate Regionally restricted euxassay_007889_02
TS23: vibrissa Moderate Regionally restricted euxassay_007889_02
TS23: cornea epithelium Weak Regionally restricted euxassay_007889_02
TS23: stomach Moderate Regionally restricted euxassay_007889_02
TS23: tarsus Weak Regionally restricted euxassay_007889_02

Specimen euxassay_007889_03: embryonic day 14.5 (more )
Structure Level Pattern Image Note
TS23: rib Strong Regionally restricted euxassay_007889_03
TS23: orbito-sphenoid Moderate Regionally restricted euxassay_007889_03
TS23: temporal bone petrous part Moderate Regionally restricted euxassay_007889_03
TS23: exoccipital bone Moderate Regionally restricted euxassay_007889_03
TS23: vibrissa Moderate Regionally restricted euxassay_007889_03
TS23: cornea epithelium Weak Regionally restricted euxassay_007889_03
TS23: lung Strong Regionally restricted euxassay_007889_03
TS23: stomach Moderate Regionally restricted euxassay_007889_03
TS23: humerus Strong Regionally restricted euxassay_007889_03
TS23: tarsus Weak Regionally restricted euxassay_007889_03
TS23: hindlimb digit 2 metatarsal Weak Regionally restricted euxassay_007889_03
TS23: hindlimb digit 3 metatarsal Weak Regionally restricted euxassay_007889_03
TS23: hindlimb digit 4 metatarsal Weak Regionally restricted euxassay_007889_03
TS23: hindlimb digit 5 metatarsal Weak Regionally restricted euxassay_007889_03

Specimen euxassay_007889_04: embryonic day 14.5 (more )
Structure Level Pattern Image Note
TS23: rib Strong Regionally restricted euxassay_007889_04
TS23: orbito-sphenoid Moderate Regionally restricted euxassay_007889_04
TS23: temporal bone petrous part Moderate Regionally restricted euxassay_007889_04
TS23: exoccipital bone Moderate Regionally restricted euxassay_007889_04
TS23: vibrissa Moderate Regionally restricted euxassay_007889_04
TS23: lung Strong Regionally restricted euxassay_007889_04
TS23: stomach Moderate Regionally restricted euxassay_007889_04
TS23: humerus Strong Regionally restricted euxassay_007889_04

Specimen euxassay_007889_05: embryonic day 14.5 (more )
Structure Level Pattern Image Note
TS23: rib Strong Regionally restricted euxassay_007889_05
TS23: temporal bone petrous part Strong Regionally restricted euxassay_007889_05
TS23: exoccipital bone Strong Regionally restricted euxassay_007889_05
TS23: orbito-sphenoid Strong Regionally restricted euxassay_007889_05
TS23: vibrissa Strong Regionally restricted euxassay_007889_05
TS23: lung Strong Regionally restricted euxassay_007889_05
TS23: stomach Moderate Regionally restricted euxassay_007889_05
TS23: humerus Strong Regionally restricted euxassay_007889_05
TS23: otic capsule Moderate Regionally restricted euxassay_007889_05
TS23: femur Moderate Regionally restricted euxassay_007889_05

Specimen euxassay_007889_06: embryonic day 14.5 (more )
Structure Level Pattern Image Note
TS23: rib Strong Regionally restricted euxassay_007889_06
TS23: orbito-sphenoid Strong Regionally restricted euxassay_007889_06
TS23: turbinate bone primordium Strong Regionally restricted euxassay_007889_06
TS23: exoccipital bone Strong Regionally restricted euxassay_007889_06
TS23: temporal bone petrous part Strong Regionally restricted euxassay_007889_06
TS23: renal calyx Weak Regionally restricted euxassay_007889_06
TS23: lung Strong Regionally restricted euxassay_007889_06
TS23: stomach Moderate Regionally restricted euxassay_007889_06
TS23: submandibular gland primordium Strong Regionally restricted euxassay_007889_06
TS23: otic capsule Moderate Regionally restricted euxassay_007889_06
TS23: femur Weak Regionally restricted euxassay_007889_06

Specimen euxassay_007889_07: embryonic day 14.5 (more )
Structure Level Pattern Image Note
TS23: rib Strong Regionally restricted euxassay_007889_07
TS23: orbito-sphenoid Strong Regionally restricted euxassay_007889_07
TS23: turbinate bone primordium Strong Regionally restricted euxassay_007889_07
TS23: exoccipital bone Strong Regionally restricted euxassay_007889_07
TS23: renal calyx Moderate Regionally restricted euxassay_007889_07
TS23: lung Strong Regionally restricted euxassay_007889_07
TS23: stomach Moderate Regionally restricted euxassay_007889_07
TS23: submandibular gland primordium Strong Regionally restricted euxassay_007889_07
TS23: otic capsule Moderate Regionally restricted euxassay_007889_07
TS23: femur Moderate Regionally restricted euxassay_007889_07

Specimen euxassay_007889_08: embryonic day 14.5 (more )
Structure Level Pattern Image Note
TS23: rib Strong Regionally restricted euxassay_007889_08
TS23: turbinate bone primordium Strong Regionally restricted euxassay_007889_08
TS23: renal pelvis Moderate Regionally restricted euxassay_007889_08
TS23: lung Strong Regionally restricted euxassay_007889_08
TS23: stomach Moderate Regionally restricted euxassay_007889_08
TS23: midgut Moderate Regionally restricted euxassay_007889_08
TS23: submandibular gland primordium Strong Regionally restricted euxassay_007889_08
TS23: hip Moderate Regionally restricted euxassay_007889_08
TS23: otic capsule Moderate Regionally restricted euxassay_007889_08
TS23: pancreas Moderate Regionally restricted euxassay_007889_08

Specimen euxassay_007889_09: embryonic day 14.5 (more )
Structure Level Pattern Image Note
TS23: rib Strong Regionally restricted euxassay_007889_09
TS23: renal calyx Moderate Regionally restricted euxassay_007889_09
TS23: lung Strong Regionally restricted euxassay_007889_09
TS23: stomach Moderate Regionally restricted euxassay_007889_09
TS23: midgut Moderate Regionally restricted euxassay_007889_09
TS23: submandibular gland primordium Strong Regionally restricted euxassay_007889_09
TS23: otic capsule Moderate Regionally restricted euxassay_007889_09
TS23: clavicle Strong Regionally restricted euxassay_007889_09
TS23: pancreas Moderate Regionally restricted euxassay_007889_09
TS23: nasal septum Moderate Regionally restricted euxassay_007889_09

Specimen euxassay_007889_10: embryonic day 14.5 (more )
Structure Level Pattern Image Note
TS23: rib Strong Regionally restricted euxassay_007889_10
TS23: lung Strong Regionally restricted euxassay_007889_10
TS23: midgut Moderate Regionally restricted euxassay_007889_10
TS23: stomach Moderate Regionally restricted euxassay_007889_10
TS23: clavicle Moderate Regionally restricted euxassay_007889_10
TS23: thyroid gland Strong Regionally restricted euxassay_007889_10
TS23: pancreas Moderate Regionally restricted euxassay_007889_10
TS23: nasal septum Moderate Regionally restricted euxassay_007889_10

Specimen euxassay_007889_11: embryonic day 14.5 (more )
Structure Level Pattern Image Note
TS23: lung Strong Regionally restricted euxassay_007889_11
TS23: rectum Strong Regionally restricted euxassay_007889_11
TS23: hindgut Moderate Regionally restricted euxassay_007889_11
TS23: midgut Moderate Regionally restricted euxassay_007889_11
TS23: thyroid gland Strong Regionally restricted euxassay_007889_11
TS23: bladder fundus Strong Regionally restricted euxassay_007889_11
TS23: urethra Strong Regionally restricted euxassay_007889_11 Originally this result was annotated to a male-specific term, but as the specimen was not sexed, it is likely the data annotator intended to use a non-sex specific term.
TS23: thoracic intervertebral disc Moderate Regionally restricted euxassay_007889_11
TS23: sacral vertebral cartilage condensation Moderate Regionally restricted euxassay_007889_11
TS23: lumbar intervertebral disc Moderate Regionally restricted euxassay_007889_11
TS23: nasal septum Moderate Regionally restricted euxassay_007889_11

Specimen euxassay_007889_12: embryonic day 14.5 (more )
Structure Level Pattern Image Note
TS23: lung Strong Regionally restricted euxassay_007889_12
TS23: hindgut Moderate Regionally restricted euxassay_007889_12
TS23: midgut Moderate Regionally restricted euxassay_007889_12
TS23: bladder fundus Strong Regionally restricted euxassay_007889_12
TS23: urethra Strong Regionally restricted euxassay_007889_12 Originally this result was annotated to a male-specific term, but as the specimen was not sexed, it is likely the data annotator intended to use a non-sex specific term.
TS23: thoracic intervertebral disc Moderate Regionally restricted euxassay_007889_12
TS23: sacral vertebral cartilage condensation Moderate Regionally restricted euxassay_007889_12
TS23: lumbar intervertebral disc Moderate Regionally restricted euxassay_007889_12
TS23: cervical intervertebral disc Moderate Regionally restricted euxassay_007889_12
TS23: esophagus Moderate Regionally restricted euxassay_007889_12
TS23: nasal septum Moderate Regionally restricted euxassay_007889_12

Specimen euxassay_007889_13: embryonic day 14.5 (more )
Structure Level Pattern Image Note
TS23: rib Strong Regionally restricted euxassay_007889_13
TS23: lung Strong Regionally restricted euxassay_007889_13
TS23: hindgut Moderate Regionally restricted euxassay_007889_13
TS23: midgut Moderate Regionally restricted euxassay_007889_13
TS23: cervical intervertebral disc Moderate Regionally restricted euxassay_007889_13
TS23: lumbar intervertebral disc Moderate Regionally restricted euxassay_007889_13
TS23: sacral vertebral cartilage condensation Moderate Regionally restricted euxassay_007889_13
TS23: thoracic intervertebral disc Moderate Regionally restricted euxassay_007889_13
TS23: esophagus Moderate Regionally restricted euxassay_007889_13
TS23: trachea Moderate Regionally restricted euxassay_007889_13
TS23: nasal septum Moderate Regionally restricted euxassay_007889_13

Specimen euxassay_007889_14: embryonic day 14.5 (more )
Structure Level Pattern Image Note
TS23: rib Strong Regionally restricted euxassay_007889_14
TS23: lung Strong Regionally restricted euxassay_007889_14
TS23: midgut Moderate Regionally restricted euxassay_007889_14
TS23: thyroid gland Moderate Regionally restricted euxassay_007889_14
TS23: pancreas Moderate Regionally restricted euxassay_007889_14
TS23: cervical intervertebral disc Moderate Regionally restricted euxassay_007889_14
TS23: lumbar intervertebral disc Moderate Regionally restricted euxassay_007889_14
TS23: thoracic intervertebral disc Moderate Regionally restricted euxassay_007889_14
TS23: esophagus Moderate Regionally restricted euxassay_007889_14
TS23: nasal septum Moderate Regionally restricted euxassay_007889_14

Specimen euxassay_007889_15: embryonic day 14.5 (more )
Structure Level Pattern Image Note
TS23: rib Strong Regionally restricted euxassay_007889_15
TS23: turbinate bone primordium Strong Regionally restricted euxassay_007889_15
TS23: renal calyx Weak Regionally restricted euxassay_007889_15
TS23: lung Strong Regionally restricted euxassay_007889_15
TS23: midgut Moderate Regionally restricted euxassay_007889_15
TS23: submandibular gland primordium Strong Regionally restricted euxassay_007889_15
TS23: hip Moderate Regionally restricted euxassay_007889_15
TS23: otic capsule Moderate Regionally restricted euxassay_007889_15
TS23: clavicle Strong Regionally restricted euxassay_007889_15
TS23: thyroid gland Moderate Regionally restricted euxassay_007889_15
TS23: pancreas Moderate Regionally restricted euxassay_007889_15

Specimen euxassay_007889_16: embryonic day 14.5 (more )
Structure Level Pattern Image Note
TS23: rib Strong Regionally restricted euxassay_007889_16
TS23: turbinate bone primordium Strong Regionally restricted euxassay_007889_16
TS23: renal pelvis Weak Regionally restricted euxassay_007889_16
TS23: lung Strong Regionally restricted euxassay_007889_16
TS23: midgut Moderate Regionally restricted euxassay_007889_16
TS23: submandibular gland primordium Strong Regionally restricted euxassay_007889_16
TS23: hip Weak Regionally restricted euxassay_007889_16
TS23: otic capsule Moderate Regionally restricted euxassay_007889_16
TS23: clavicle Weak Regionally restricted euxassay_007889_16
TS23: femur Moderate Regionally restricted euxassay_007889_16

Specimen euxassay_007889_17: embryonic day 14.5 (more )
Structure Level Pattern Image Note
TS23: rib Strong Regionally restricted euxassay_007889_17
TS23: orbito-sphenoid Strong Regionally restricted euxassay_007889_17
TS23: turbinate bone primordium Strong Regionally restricted euxassay_007889_17
TS23: renal pelvis Strong Regionally restricted euxassay_007889_17
TS23: lung Strong Regionally restricted euxassay_007889_17
TS23: midgut Moderate Regionally restricted euxassay_007889_17
TS23: submandibular gland primordium Strong Regionally restricted euxassay_007889_17
TS23: otic capsule Moderate Regionally restricted euxassay_007889_17
TS23: femur Weak Regionally restricted euxassay_007889_17

Specimen euxassay_007889_18: embryonic day 14.5 (more )
Structure Level Pattern Image Note
TS23: rib Strong Regionally restricted euxassay_007889_18
TS23: orbito-sphenoid Moderate Regionally restricted euxassay_007889_18
TS23: exoccipital bone Moderate Regionally restricted euxassay_007889_18
TS23: vibrissa Strong Regionally restricted euxassay_007889_18
TS23: renal calyx Strong Regionally restricted euxassay_007889_18
TS23: lung Strong Regionally restricted euxassay_007889_18
TS23: midgut Moderate Regionally restricted euxassay_007889_18
TS23: submandibular gland primordium Strong Regionally restricted euxassay_007889_18
TS23: otic capsule Moderate Regionally restricted euxassay_007889_18

Specimen euxassay_007889_19: embryonic day 14.5 (more )
Structure Level Pattern Image Note
TS23: rib Moderate Regionally restricted euxassay_007889_19
TS23: orbito-sphenoid Moderate Regionally restricted euxassay_007889_19
TS23: exoccipital bone Moderate Regionally restricted euxassay_007889_19
TS23: temporal bone petrous part Moderate Regionally restricted euxassay_007889_19
TS23: vibrissa Strong Regionally restricted euxassay_007889_19
TS23: lung Strong Regionally restricted euxassay_007889_19
TS23: midgut Moderate Regionally restricted euxassay_007889_19
TS23: humerus Strong Regionally restricted euxassay_007889_19
TS23: tarsus Weak Regionally restricted euxassay_007889_19
TS23: hindlimb digit 1 metatarsal Weak Regionally restricted euxassay_007889_19
TS23: hindlimb digit 2 metatarsal Weak Regionally restricted euxassay_007889_19
TS23: hindlimb digit 5 metatarsal Weak Regionally restricted euxassay_007889_19

Specimen euxassay_007889_20: embryonic day 14.5 (more )
Structure Level Pattern Image Note
TS23: rib Moderate Regionally restricted euxassay_007889_20
TS23: orbito-sphenoid Weak Regionally restricted euxassay_007889_20
TS23: temporal bone petrous part Moderate Regionally restricted euxassay_007889_20
TS23: exoccipital bone Moderate Regionally restricted euxassay_007889_20
TS23: vibrissa Strong Regionally restricted euxassay_007889_20
TS23: cornea epithelium Weak Regionally restricted euxassay_007889_20
TS23: lung Strong Regionally restricted euxassay_007889_20
TS23: humerus Strong Regionally restricted euxassay_007889_20
TS23: tarsus Weak Regionally restricted euxassay_007889_20
TS23: hindlimb digit 2 metatarsal Weak Regionally restricted euxassay_007889_20
TS23: hindlimb digit 3 metatarsal Weak Regionally restricted euxassay_007889_20
TS23: hindlimb digit 4 metatarsal Weak Regionally restricted euxassay_007889_20

Specimen euxassay_007889_21: embryonic day 14.5 (more )
Structure Level Pattern Image Note
TS23: rib Weak Regionally restricted euxassay_007889_21
TS23: exoccipital bone Weak Regionally restricted euxassay_007889_21
TS23: temporal bone petrous part Weak Regionally restricted euxassay_007889_21
TS23: orbito-sphenoid Weak Regionally restricted euxassay_007889_21
TS23: vibrissa Weak Regionally restricted euxassay_007889_21
TS23: cornea epithelium Weak Regionally restricted euxassay_007889_21
TS23: lung Moderate Regionally restricted euxassay_007889_21
TS23: humerus Weak Regionally restricted euxassay_007889_21

Specimen euxassay_007889_22: embryonic day 14.5 (more )
Structure Level Pattern Image Note
TS23: temporal bone petrous part Weak Regionally restricted euxassay_007889_22
TS23: orbito-sphenoid Weak Regionally restricted euxassay_007889_22


Contributing Projects:
Mouse Genome Database (MGD), Gene Expression Database (GXD), Mouse Models of Human Cancer database (MMHCdb) (formerly Mouse Tumor Biology (MTB)), Gene Ontology (GO)
Citing These Resources
Funding Information
Warranty Disclaimer, Privacy Notice, Licensing, & Copyright
Send questions and comments to User Support.
last database update
01/20/2026
MGI 6.24
The Jackson Laboratory