About   Help   FAQ
Gene Expression Data
Assay Details
Assay
Reference: J:153498 Diez-Roux G, et al., A high-resolution anatomical atlas of the transcriptome in the mouse embryo. PLoS Biol. 2011;9(1):e1000582
Assay type: RNA in situ
MGI Accession ID: MGI:4827916
Gene symbol: Scx
Gene name: scleraxis scleraxis bHLH transcription factor
Probe: T55173
Probe preparation: Antisense labelled with digoxigenin RNA
Visualized with: Alkaline phosphatase
Assay notes: Cryosections of fresh frozen material were fixed in 4% paraformaldehyde for 20 min. before further processing. A tyramide-biotin/streptavidin amplification step was included in the in situ hybridization procedure.
Results
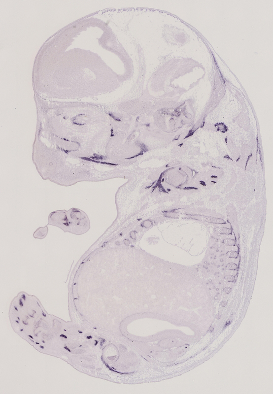
Specimen euxassay_019484_01: embryonic day 14.5 (more )
Structure Level Pattern Image Note
TS23: rib Weak Regionally restricted euxassay_019484_01
TS23: embryo mesenchyme Strong Regionally restricted euxassay_019484_01
TS23: hand mesenchyme Strong Regionally restricted euxassay_019484_01
TS23: extrinsic ocular muscle Moderate Regionally restricted euxassay_019484_01

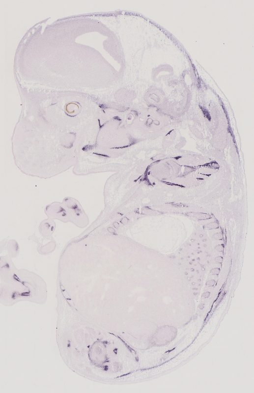
Specimen euxassay_019484_02: embryonic day 14.5 (more )
Structure Level Pattern Image Note
TS23: rib Weak Regionally restricted euxassay_019484_02
TS23: embryo mesenchyme Strong Regionally restricted euxassay_019484_02
TS23: hand mesenchyme Strong Regionally restricted euxassay_019484_02
TS23: extrinsic ocular muscle Moderate Regionally restricted euxassay_019484_02

Specimen euxassay_019484_03: embryonic day 14.5 (more )
Structure Level Pattern Image Note
TS23: rib Weak Regionally restricted euxassay_019484_03
TS23: embryo mesenchyme Strong Regionally restricted euxassay_019484_03
TS23: foot mesenchyme Strong Regionally restricted euxassay_019484_03
TS23: hand mesenchyme Strong Regionally restricted euxassay_019484_03
TS23: lung Weak Regionally restricted euxassay_019484_03
TS23: extrinsic ocular muscle Moderate Regionally restricted euxassay_019484_03

Specimen euxassay_019484_04: embryonic day 14.5 (more )
Structure Level Pattern Image Note
TS23: rib Weak Regionally restricted euxassay_019484_04
TS23: embryo mesenchyme Strong Regionally restricted euxassay_019484_04
TS23: foot mesenchyme Strong Regionally restricted euxassay_019484_04
TS23: hand mesenchyme Moderate Regionally restricted euxassay_019484_04
TS23: lung Weak Regionally restricted euxassay_019484_04
TS23: extrinsic ocular muscle Moderate Regionally restricted euxassay_019484_04

Specimen euxassay_019484_05: embryonic day 14.5 (more )
Structure Level Pattern Image Note
TS23: rib Weak Regionally restricted euxassay_019484_05
TS23: embryo mesenchyme Strong Regionally restricted euxassay_019484_05
TS23: foot mesenchyme Moderate Regionally restricted euxassay_019484_05
TS23: hand mesenchyme Moderate Regionally restricted euxassay_019484_05
TS23: lung Weak Regionally restricted euxassay_019484_05
TS23: extrinsic ocular muscle Moderate Regionally restricted euxassay_019484_05

Specimen euxassay_019484_06: embryonic day 14.5 (more )
Structure Level Pattern Image Note
TS23: rib Weak Regionally restricted euxassay_019484_06
TS23: embryo mesenchyme Strong Regionally restricted euxassay_019484_06
TS23: hindlimb digit 1 phalanx Moderate Regionally restricted euxassay_019484_06
TS23: hindlimb digit 2 metatarsal Moderate Regionally restricted euxassay_019484_06
TS23: hindlimb digit 2 phalanx Moderate Regionally restricted euxassay_019484_06
TS23: hindlimb digit 3 phalanx Moderate Regionally restricted euxassay_019484_06
TS23: hindlimb digit 3 metatarsal Moderate Regionally restricted euxassay_019484_06
TS23: hindlimb digit 4 metatarsal Moderate Regionally restricted euxassay_019484_06
TS23: hindlimb digit 4 phalanx Moderate Regionally restricted euxassay_019484_06
TS23: hindlimb digit 5 metatarsal Moderate Regionally restricted euxassay_019484_06
TS23: hindlimb digit 5 phalanx Moderate Regionally restricted euxassay_019484_06
TS23: hindlimb digit 1 metatarsal Moderate Regionally restricted euxassay_019484_06
TS23: lung Weak Regionally restricted euxassay_019484_06

Specimen euxassay_019484_07: embryonic day 14.5 (more )
Structure Level Pattern Image Note
TS23: rib Weak Regionally restricted euxassay_019484_07
TS23: embryo mesenchyme Strong Regionally restricted euxassay_019484_07
TS23: diaphragm Weak Regionally restricted euxassay_019484_07
TS23: hindlimb digit 1 metatarsal Moderate Regionally restricted euxassay_019484_07
TS23: hindlimb digit 1 phalanx Moderate Regionally restricted euxassay_019484_07
TS23: hindlimb digit 2 phalanx Moderate Regionally restricted euxassay_019484_07
TS23: hindlimb digit 2 metatarsal Moderate Regionally restricted euxassay_019484_07
TS23: hindlimb digit 3 metatarsal Moderate Regionally restricted euxassay_019484_07
TS23: hindlimb digit 3 phalanx Moderate Regionally restricted euxassay_019484_07
TS23: hindlimb digit 4 phalanx Moderate Regionally restricted euxassay_019484_07
TS23: hindlimb digit 4 metatarsal Moderate Regionally restricted euxassay_019484_07
TS23: hindlimb digit 5 metatarsal Moderate Regionally restricted euxassay_019484_07
TS23: hindlimb digit 5 phalanx Moderate Regionally restricted euxassay_019484_07
TS23: turbinate bone primordium Weak Regionally restricted euxassay_019484_07
TS23: lung Weak Regionally restricted euxassay_019484_07

Specimen euxassay_019484_08: embryonic day 14.5 (more )
Structure Level Pattern Image Note
TS23: rib Weak Regionally restricted euxassay_019484_08
TS23: embryo mesenchyme Strong Regionally restricted euxassay_019484_08
TS23: diaphragm Weak Regionally restricted euxassay_019484_08
TS23: hindlimb digit 3 metatarsal Moderate Regionally restricted euxassay_019484_08
TS23: hindlimb digit 3 phalanx Moderate Regionally restricted euxassay_019484_08
TS23: hindlimb digit 4 phalanx Moderate Regionally restricted euxassay_019484_08
TS23: hindlimb digit 4 metatarsal Moderate Regionally restricted euxassay_019484_08
TS23: hindlimb digit 5 metatarsal Moderate Regionally restricted euxassay_019484_08
TS23: hindlimb digit 5 phalanx Moderate Regionally restricted euxassay_019484_08
TS23: turbinate bone primordium Weak Regionally restricted euxassay_019484_08
TS23: lung Weak Regionally restricted euxassay_019484_08

Specimen euxassay_019484_09: embryonic day 14.5 (more )
Structure Level Pattern Image Note
TS23: rib Weak Regionally restricted euxassay_019484_09
TS23: embryo mesenchyme Moderate Regionally restricted euxassay_019484_09
TS23: diaphragm Weak Regionally restricted euxassay_019484_09
TS23: turbinate bone primordium Weak Regionally restricted euxassay_019484_09
TS23: pelvic girdle skeleton Weak Regionally restricted euxassay_019484_09
TS23: heart valve Weak Regionally restricted euxassay_019484_09
TS23: lung Weak Regionally restricted euxassay_019484_09

Specimen euxassay_019484_10: embryonic day 14.5 (more )
Structure Level Pattern Image Note
TS23: rib Weak Regionally restricted euxassay_019484_10
TS23: embryo mesenchyme Moderate Regionally restricted euxassay_019484_10
TS23: diaphragm Weak Regionally restricted euxassay_019484_10
TS23: turbinate bone primordium Weak Regionally restricted euxassay_019484_10
TS23: pelvic girdle skeleton Weak Regionally restricted euxassay_019484_10
TS23: heart valve Weak Regionally restricted euxassay_019484_10
TS23: lung Weak Regionally restricted euxassay_019484_10

Specimen euxassay_019484_11: embryonic day 14.5 (more )
Structure Level Pattern Image Note
TS23: sternum Weak Regionally restricted euxassay_019484_11
TS23: embryo mesenchyme Moderate Regionally restricted euxassay_019484_11
TS23: diaphragm Weak Regionally restricted euxassay_019484_11
TS23: heart valve Weak Regionally restricted euxassay_019484_11

Specimen euxassay_019484_12: embryonic day 14.5 (more )
Structure Level Pattern Image Note
TS23: sternum Moderate Regionally restricted euxassay_019484_12
TS23: diaphragm Weak Regionally restricted euxassay_019484_12
TS23: tail mesenchyme Strong Regionally restricted euxassay_019484_12
TS23: heart valve Weak Regionally restricted euxassay_019484_12
TS23: lung Weak Regionally restricted euxassay_019484_12

Specimen euxassay_019484_13: embryonic day 14.5 (more )
Structure Level Pattern Image Note
TS23: sternum Weak Regionally restricted euxassay_019484_13
TS23: embryo mesenchyme Moderate Regionally restricted euxassay_019484_13
TS23: diaphragm Weak Regionally restricted euxassay_019484_13
TS23: tail mesenchyme Strong Regionally restricted euxassay_019484_13
TS23: urethra Weak Regionally restricted euxassay_019484_13 Originally this result was annotated to a male-specific term, but as the specimen was not sexed, it is likely the data annotator intended to use a non-sex specific term.
TS23: heart valve Weak Regionally restricted euxassay_019484_13
TS23: lung Weak Regionally restricted euxassay_019484_13

Specimen euxassay_019484_14: embryonic day 14.5 (more )
Structure Level Pattern Image Note
TS23: sternum Weak Regionally restricted euxassay_019484_14
TS23: embryo mesenchyme Moderate Regionally restricted euxassay_019484_14
TS23: diaphragm Weak Regionally restricted euxassay_019484_14
TS23: tail mesenchyme Strong Regionally restricted euxassay_019484_14
TS23: urethra Weak Regionally restricted euxassay_019484_14 Originally this result was annotated to a male-specific term, but as the specimen was not sexed, it is likely the data annotator intended to use a non-sex specific term.
TS23: lung Weak Regionally restricted euxassay_019484_14

Specimen euxassay_019484_15: embryonic day 14.5 (more )
Structure Level Pattern Image Note
TS23: sternum Moderate Regionally restricted euxassay_019484_15
TS23: embryo mesenchyme Moderate Regionally restricted euxassay_019484_15
TS23: diaphragm Weak Regionally restricted euxassay_019484_15
TS23: tail mesenchyme Strong Regionally restricted euxassay_019484_15
TS23: urethra Weak Regionally restricted euxassay_019484_15 Originally this result was annotated to a male-specific term, but as the specimen was not sexed, it is likely the data annotator intended to use a non-sex specific term.
TS23: lung Weak Regionally restricted euxassay_019484_15

Specimen euxassay_019484_16: embryonic day 14.5 (more )
Structure Level Pattern Image Note
TS23: sternum Moderate Regionally restricted euxassay_019484_16
TS23: embryo mesenchyme Strong Regionally restricted euxassay_019484_16
TS23: diaphragm Weak Regionally restricted euxassay_019484_16
TS23: tail mesenchyme Strong Regionally restricted euxassay_019484_16
TS23: turbinate bone primordium Weak Regionally restricted euxassay_019484_16
TS23: lung Weak Regionally restricted euxassay_019484_16

Specimen euxassay_019484_17: embryonic day 14.5 (more )
Structure Level Pattern Image Note
TS23: sternum Moderate Regionally restricted euxassay_019484_17
TS23: embryo mesenchyme Strong Regionally restricted euxassay_019484_17
TS23: diaphragm Moderate Regionally restricted euxassay_019484_17
TS23: tail mesenchyme Strong Regionally restricted euxassay_019484_17
TS23: turbinate bone primordium Weak Regionally restricted euxassay_019484_17
TS23: pelvic girdle skeleton Weak Regionally restricted euxassay_019484_17
TS23: lung Weak Regionally restricted euxassay_019484_17

Specimen euxassay_019484_18: embryonic day 14.5 (more )
Structure Level Pattern Image Note
TS23: rib Weak Regionally restricted euxassay_019484_18
TS23: embryo mesenchyme Strong Regionally restricted euxassay_019484_18
TS23: turbinate bone primordium Weak Regionally restricted euxassay_019484_18
TS23: pelvic girdle skeleton Weak Regionally restricted euxassay_019484_18
TS23: lung Weak Regionally restricted euxassay_019484_18

Specimen euxassay_019484_19: embryonic day 14.5 (more )
Structure Level Pattern Image Note
TS23: rib Weak Regionally restricted euxassay_019484_19
TS23: embryo mesenchyme Moderate Regionally restricted euxassay_019484_19
TS23: turbinate bone primordium Weak Regionally restricted euxassay_019484_19
TS23: pelvic girdle skeleton Weak Regionally restricted euxassay_019484_19
TS23: lung Weak Regionally restricted euxassay_019484_19

Specimen euxassay_019484_20: embryonic day 14.5 (more )
Structure Level Pattern Image Note
TS23: rib Weak Regionally restricted euxassay_019484_20
TS23: embryo mesenchyme Moderate Regionally restricted euxassay_019484_20
TS23: turbinate bone primordium Weak Regionally restricted euxassay_019484_20
TS23: lung Weak Regionally restricted euxassay_019484_20

Specimen euxassay_019484_21: embryonic day 14.5 (more )
Structure Level Pattern Image Note
TS23: rib Weak Regionally restricted euxassay_019484_21
TS23: organ system Moderate Regionally restricted euxassay_019484_21
TS23: foot mesenchyme Moderate Regionally restricted euxassay_019484_21
TS23: hand mesenchyme Moderate Regionally restricted euxassay_019484_21
TS23: lung Weak Regionally restricted euxassay_019484_21
TS23: extrinsic ocular muscle Moderate Regionally restricted euxassay_019484_21

Specimen euxassay_019484_22: embryonic day 14.5 (more )
Structure Level Pattern Image Note
TS23: rib Weak Regionally restricted euxassay_019484_22
TS23: embryo mesenchyme Moderate Regionally restricted euxassay_019484_22
TS23: hindlimb digit 3 metatarsal Moderate Regionally restricted euxassay_019484_22
TS23: hindlimb digit 3 phalanx Moderate Regionally restricted euxassay_019484_22
TS23: hindlimb digit 4 phalanx Moderate Regionally restricted euxassay_019484_22
TS23: hindlimb digit 4 metatarsal Moderate Regionally restricted euxassay_019484_22
TS23: hindlimb digit 5 metatarsal Moderate Regionally restricted euxassay_019484_22
TS23: hindlimb digit 5 phalanx Moderate Regionally restricted euxassay_019484_22
TS23: lung Weak Regionally restricted euxassay_019484_22
TS23: extrinsic ocular muscle Weak Regionally restricted euxassay_019484_22

Specimen euxassay_019484_23: embryonic day 14.5 (more )
Structure Level Pattern Image Note
TS23: rib Weak Regionally restricted euxassay_019484_23
TS23: embryo mesenchyme Moderate Regionally restricted euxassay_019484_23
TS23: hand mesenchyme Moderate Regionally restricted euxassay_019484_23
TS23: hindlimb digit 2 phalanx Moderate Regionally restricted euxassay_019484_23
TS23: hindlimb digit 2 metatarsal Moderate Regionally restricted euxassay_019484_23
TS23: hindlimb digit 1 metatarsal Moderate Regionally restricted euxassay_019484_23
TS23: hindlimb digit 1 phalanx Moderate Regionally restricted euxassay_019484_23
TS23: hindlimb digit 3 phalanx Moderate Regionally restricted euxassay_019484_23
TS23: hindlimb digit 3 metatarsal Moderate Regionally restricted euxassay_019484_23
TS23: hindlimb digit 4 phalanx Moderate Regionally restricted euxassay_019484_23
TS23: hindlimb digit 4 metatarsal Moderate Regionally restricted euxassay_019484_23
TS23: hindlimb digit 5 phalanx Moderate Regionally restricted euxassay_019484_23
TS23: hindlimb digit 5 metatarsal Moderate Regionally restricted euxassay_019484_23
TS23: lung Weak Regionally restricted euxassay_019484_23
TS23: extrinsic ocular muscle Moderate Regionally restricted euxassay_019484_23


Contributing Projects:
Mouse Genome Database (MGD), Gene Expression Database (GXD), Mouse Models of Human Cancer database (MMHCdb) (formerly Mouse Tumor Biology (MTB)), Gene Ontology (GO)
Citing These Resources
Funding Information
Warranty Disclaimer, Privacy Notice, Licensing, & Copyright
Send questions and comments to User Support.
last database update
03/24/2026
MGI 6.24
The Jackson Laboratory