About   Help   FAQ
Gene Expression Data
Assay Details
Assay
Reference: J:153498 Diez-Roux G, et al., A high-resolution anatomical atlas of the transcriptome in the mouse embryo. PLoS Biol. 2011;9(1):e1000582
Assay type: RNA in situ
MGI Accession ID: MGI:4827913
Gene symbol: Scrt2
Gene name: scratch family zinc finger 2
Probe: T38745
Probe preparation: Antisense labelled with digoxigenin RNA
Visualized with: Alkaline phosphatase
Assay notes: Cryosections of fresh frozen material were fixed in 4% paraformaldehyde for 20 min. before further processing. A tyramide-biotin/streptavidin amplification step was included in the in situ hybridization procedure.
Results
Specimen euxassay_016519_03: embryonic day 14.5 (more )
Structure Level Pattern Image Note
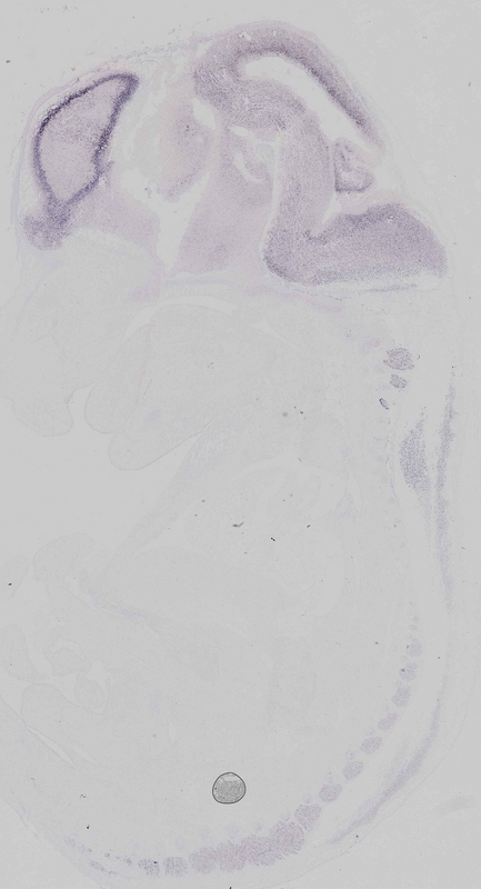
TS23: neural retina Weak Regionally restricted euxassay_016519_03
TS23: cerebral cortex mantle layer Weak Regionally restricted euxassay_016519_03

Specimen euxassay_016519_04: embryonic day 14.5 (more )
Structure Level Pattern Image Note
TS23: neural retina Weak Regionally restricted euxassay_016519_04
TS23: cerebral cortex mantle layer Weak Regionally restricted euxassay_016519_04

Specimen euxassay_016519_05: embryonic day 14.5 (more )
Structure Level Pattern Image Note
TS23: neural retina Weak Regionally restricted euxassay_016519_05
TS23: cerebral cortex mantle layer Weak Regionally restricted euxassay_016519_05
TS23: rest of cerebellum ventricular layer Weak Regionally restricted euxassay_016519_05
TS23: trigeminal ganglion Moderate Regionally restricted euxassay_016519_05
TS23: facial ganglion Moderate Regionally restricted euxassay_016519_05

Specimen euxassay_016519_06: embryonic day 14.5 (more )
Structure Level Pattern Image Note
TS23: neural retina Weak Regionally restricted euxassay_016519_06
TS23: cerebral cortex mantle layer Moderate Regionally restricted euxassay_016519_06
TS23: rest of cerebellum ventricular layer Weak Regionally restricted euxassay_016519_06
TS23: trigeminal ganglion Moderate Regionally restricted euxassay_016519_06
TS23: facial ganglion Moderate Regionally restricted euxassay_016519_06

Specimen euxassay_016519_07: embryonic day 14.5 (more )
Structure Level Pattern Image Note
TS23: cerebral cortex mantle layer Moderate Regionally restricted euxassay_016519_07
TS23: rest of cerebellum ventricular layer Weak Regionally restricted euxassay_016519_07
TS23: pons mantle layer Weak Regionally restricted euxassay_016519_07
TS23: medulla oblongata basal plate mantle layer Weak Regionally restricted euxassay_016519_07
TS23: midbrain mantle layer Weak Regionally restricted euxassay_016519_07
TS23: vestibulo-cochlear ganglion Weak Regionally restricted euxassay_016519_07
TS23: trigeminal ganglion Moderate Regionally restricted euxassay_016519_07
TS23: dorsal root ganglion Moderate Regionally restricted euxassay_016519_07

Specimen euxassay_016519_08: embryonic day 14.5 (more )
Structure Level Pattern Image Note
TS23: cerebral cortex mantle layer Strong Regionally restricted euxassay_016519_08
TS23: pons mantle layer Weak Regionally restricted euxassay_016519_08
TS23: midbrain mantle layer Weak Regionally restricted euxassay_016519_08
TS23: medulla oblongata basal plate mantle layer Weak Regionally restricted euxassay_016519_08
TS23: trigeminal ganglion Weak Regionally restricted euxassay_016519_08
TS23: dorsal root ganglion Moderate Regionally restricted euxassay_016519_08

Specimen euxassay_016519_09: embryonic day 14.5 (more )
Structure Level Pattern Image Note
TS23: cerebral cortex mantle layer Strong Regionally restricted euxassay_016519_09
TS23: rest of cerebellum ventricular layer Weak Regionally restricted euxassay_016519_09
TS23: midbrain mantle layer Moderate Regionally restricted euxassay_016519_09
TS23: medulla oblongata basal plate mantle layer Weak Regionally restricted euxassay_016519_09
TS23: medulla oblongata alar plate mantle layer Weak Regionally restricted euxassay_016519_09
TS23: pons mantle layer Weak Regionally restricted euxassay_016519_09
TS23: spinal cord mantle layer Weak Regionally restricted euxassay_016519_09
TS23: vestibulo-cochlear ganglion Weak Regionally restricted euxassay_016519_09
TS23: trigeminal ganglion Weak Regionally restricted euxassay_016519_09

Specimen euxassay_016519_10: embryonic day 14.5 (more )
Structure Level Pattern Image Note
TS23: cerebral cortex mantle layer Strong Regionally restricted euxassay_016519_10
TS23: rest of cerebellum ventricular layer Weak Regionally restricted euxassay_016519_10
TS23: midbrain mantle layer Moderate Regionally restricted euxassay_016519_10
TS23: trigeminal ganglion Weak Regionally restricted euxassay_016519_10
TS23: dorsal root ganglion Weak Regionally restricted euxassay_016519_10

Specimen euxassay_016519_11: embryonic day 14.5 (more )
Structure Level Pattern Image Note
TS23: cerebral cortex mantle layer Strong Regionally restricted euxassay_016519_11
TS23: rest of cerebellum ventricular layer Weak Regionally restricted euxassay_016519_11
TS23: pons mantle layer Weak Regionally restricted euxassay_016519_11
TS23: midbrain mantle layer Weak Regionally restricted euxassay_016519_11
TS23: diencephalon lateral wall mantle layer Weak Regionally restricted euxassay_016519_11
TS23: spinal cord mantle layer Moderate Regionally restricted euxassay_016519_11
TS23: dorsal root ganglion Weak Regionally restricted euxassay_016519_11

Specimen euxassay_016519_12: embryonic day 14.5 (more )
Structure Level Pattern Image Note
TS23: cerebral cortex mantle layer Strong Regionally restricted euxassay_016519_12
TS23: pons mantle layer Weak Regionally restricted euxassay_016519_12
TS23: rest of cerebellum mantle layer Weak Regionally restricted euxassay_016519_12
TS23: midbrain mantle layer Weak Regionally restricted euxassay_016519_12
TS23: spinal cord mantle layer Moderate Regionally restricted euxassay_016519_12
TS23: diencephalon lateral wall mantle layer Weak Regionally restricted euxassay_016519_12

Specimen euxassay_016519_13: embryonic day 14.5 (more )
Structure Level Pattern Image Note
TS23: olfactory cortex mantle layer Strong Regionally restricted euxassay_016519_13
TS23: cerebral cortex mantle layer Strong Regionally restricted euxassay_016519_13
TS23: rest of cerebellum ventricular layer Weak Regionally restricted euxassay_016519_13
TS23: pons mantle layer Weak Regionally restricted euxassay_016519_13
TS23: rest of cerebellum mantle layer Weak Regionally restricted euxassay_016519_13
TS23: medulla oblongata basal plate mantle layer Weak Regionally restricted euxassay_016519_13
TS23: midbrain mantle layer Weak Regionally restricted euxassay_016519_13
TS23: spinal cord mantle layer Moderate Regionally restricted euxassay_016519_13
TS23: diencephalon lateral wall mantle layer Weak Regionally restricted euxassay_016519_13

Specimen euxassay_016519_14: embryonic day 14.5 (more )
Structure Level Pattern Image Note
TS23: olfactory cortex mantle layer Strong Regionally restricted euxassay_016519_14
TS23: cerebral cortex mantle layer Strong Regionally restricted euxassay_016519_14
TS23: rest of cerebellum ventricular layer Weak Regionally restricted euxassay_016519_14
TS23: medulla oblongata alar plate mantle layer Weak Regionally restricted euxassay_016519_14
TS23: medulla oblongata basal plate mantle layer Weak Regionally restricted euxassay_016519_14
TS23: rest of cerebellum mantle layer Weak Regionally restricted euxassay_016519_14
TS23: pons mantle layer Weak Regionally restricted euxassay_016519_14
TS23: midbrain mantle layer Weak Regionally restricted euxassay_016519_14
TS23: spinal cord mantle layer Weak Regionally restricted euxassay_016519_14
TS23: diencephalon lateral wall mantle layer Weak Regionally restricted euxassay_016519_14

Specimen euxassay_016519_15: embryonic day 14.5 (more )
Structure Level Pattern Image Note
TS23: cerebral cortex mantle layer Strong Regionally restricted euxassay_016519_15
TS23: rest of cerebellum ventricular layer Weak Regionally restricted euxassay_016519_15
TS23: pons mantle layer Weak Regionally restricted euxassay_016519_15
TS23: rest of cerebellum mantle layer Weak Regionally restricted euxassay_016519_15
TS23: medulla oblongata basal plate mantle layer Weak Regionally restricted euxassay_016519_15
TS23: medulla oblongata alar plate mantle layer Weak Regionally restricted euxassay_016519_15
TS23: midbrain mantle layer Weak Regionally restricted euxassay_016519_15
TS23: diencephalon lateral wall mantle layer Weak Regionally restricted euxassay_016519_15
TS23: dorsal root ganglion Weak Regionally restricted euxassay_016519_15

Specimen euxassay_016519_16: embryonic day 14.5 (more )
Structure Level Pattern Image Note
TS23: cerebral cortex mantle layer Strong Regionally restricted euxassay_016519_16
TS23: medulla oblongata alar plate mantle layer Weak Regionally restricted euxassay_016519_16
TS23: medulla oblongata basal plate mantle layer Weak Regionally restricted euxassay_016519_16
TS23: rest of cerebellum mantle layer Weak Regionally restricted euxassay_016519_16
TS23: pons mantle layer Weak Regionally restricted euxassay_016519_16
TS23: midbrain mantle layer Weak Regionally restricted euxassay_016519_16
TS23: diencephalon lateral wall mantle layer Weak Regionally restricted euxassay_016519_16
TS23: dorsal root ganglion Weak Regionally restricted euxassay_016519_16

Specimen euxassay_016519_17: embryonic day 14.5 (more )
Structure Level Pattern Image Note
TS23: olfactory cortex mantle layer Strong Regionally restricted euxassay_016519_17
TS23: cerebral cortex mantle layer Strong Regionally restricted euxassay_016519_17
TS23: rest of cerebellum ventricular layer Weak Regionally restricted euxassay_016519_17
TS23: midbrain mantle layer Weak Regionally restricted euxassay_016519_17
TS23: pons mantle layer Weak Regionally restricted euxassay_016519_17
TS23: rest of cerebellum mantle layer Weak Regionally restricted euxassay_016519_17
TS23: medulla oblongata basal plate mantle layer Weak Regionally restricted euxassay_016519_17
TS23: medulla oblongata alar plate mantle layer Weak Regionally restricted euxassay_016519_17
TS23: diencephalon lateral wall mantle layer Weak Regionally restricted euxassay_016519_17
TS23: vestibulo-cochlear ganglion Weak Regionally restricted euxassay_016519_17

Specimen euxassay_016519_18: embryonic day 14.5 (more )
Structure Level Pattern Image Note
TS23: olfactory cortex mantle layer Strong Regionally restricted euxassay_016519_18
TS23: cerebral cortex mantle layer Strong Regionally restricted euxassay_016519_18
TS23: rest of cerebellum ventricular layer Weak Regionally restricted euxassay_016519_18
TS23: midbrain mantle layer Weak Regionally restricted euxassay_016519_18
TS23: pons mantle layer Weak Regionally restricted euxassay_016519_18
TS23: rest of cerebellum mantle layer Weak Regionally restricted euxassay_016519_18
TS23: trigeminal ganglion Moderate Regionally restricted euxassay_016519_18
TS23: vestibulo-cochlear ganglion Weak Regionally restricted euxassay_016519_18
TS23: glossopharyngeal ganglion Weak Regionally restricted euxassay_016519_18

Specimen euxassay_016519_19: embryonic day 14.5 (more )
Structure Level Pattern Image Note
TS23: cerebral cortex mantle layer Strong Regionally restricted euxassay_016519_19
TS23: olfactory cortex mantle layer Strong Regionally restricted euxassay_016519_19
TS23: rest of cerebellum ventricular layer Weak Regionally restricted euxassay_016519_19
TS23: rest of cerebellum mantle layer Weak Regionally restricted euxassay_016519_19
TS23: pons mantle layer Weak Regionally restricted euxassay_016519_19
TS23: midbrain mantle layer Weak Regionally restricted euxassay_016519_19
TS23: trigeminal ganglion Moderate Regionally restricted euxassay_016519_19
TS23: vestibulo-cochlear ganglion Moderate Regionally restricted euxassay_016519_19

Specimen euxassay_016519_20: embryonic day 14.5 (more )
Structure Level Pattern Image Note
TS23: cerebral cortex mantle layer Strong Regionally restricted euxassay_016519_20
TS23: telencephalon mantle layer Weak Regionally restricted euxassay_016519_20
TS23: rest of cerebellum ventricular layer Weak Regionally restricted euxassay_016519_20
TS23: rest of cerebellum mantle layer Weak Regionally restricted euxassay_016519_20
TS23: pons mantle layer Weak Regionally restricted euxassay_016519_20
TS23: trigeminal ganglion Moderate Regionally restricted euxassay_016519_20
TS23: facial ganglion Moderate Regionally restricted euxassay_016519_20

Specimen euxassay_016519_21: embryonic day 14.5 (more )
Structure Level Pattern Image Note
TS23: telencephalon mantle layer Moderate Regionally restricted euxassay_016519_21
TS23: cerebral cortex mantle layer Strong Regionally restricted euxassay_016519_21
TS23: rest of cerebellum ventricular layer Weak Regionally restricted euxassay_016519_21
TS23: trigeminal ganglion Moderate Regionally restricted euxassay_016519_21
TS23: facial ganglion Moderate Regionally restricted euxassay_016519_21

Specimen euxassay_016519_22: embryonic day 14.5 (more )
Structure Level Pattern Image Note
TS23: telencephalon mantle layer Moderate Regionally restricted euxassay_016519_22
TS23: cerebral cortex mantle layer Moderate Regionally restricted euxassay_016519_22
TS23: trigeminal ganglion Moderate Regionally restricted euxassay_016519_22

Specimen euxassay_016519_23: embryonic day 14.5 (more )
Structure Level Pattern Image Note
TS23: telencephalon mantle layer Moderate Regionally restricted euxassay_016519_23
TS23: cerebral cortex mantle layer Moderate Regionally restricted euxassay_016519_23
TS23: trigeminal ganglion Moderate Regionally restricted euxassay_016519_23

Specimen euxassay_016519_24: embryonic day 14.5 (more )
Structure Level Pattern Image Note
TS23: neural retina Weak Regionally restricted euxassay_016519_24
TS23: telencephalon mantle layer Moderate Regionally restricted euxassay_016519_24


Contributing Projects:
Mouse Genome Database (MGD), Gene Expression Database (GXD), Mouse Models of Human Cancer database (MMHCdb) (formerly Mouse Tumor Biology (MTB)), Gene Ontology (GO)
Citing These Resources
Funding Information
Warranty Disclaimer, Privacy Notice, Licensing, & Copyright
Send questions and comments to User Support.
last database update
12/30/2025
MGI 6.24
The Jackson Laboratory