About   Help   FAQ
Gene Expression Data
Assay Details
Assay
Reference: J:153498 Diez-Roux G, et al., A high-resolution anatomical atlas of the transcriptome in the mouse embryo. PLoS Biol. 2011;9(1):e1000582
Assay type: RNA in situ
MGI Accession ID: MGI:4827906
Gene symbol: Scnn1g
Gene name: sodium channel, nonvoltage-gated 1 gamma
Probe: MGC clone 29058
Probe preparation: Antisense labelled with digoxigenin RNA
Visualized with: Alkaline phosphatase
Assay notes: Cryosections of fresh frozen material were fixed in 4% paraformaldehyde for 20 min. before further processing. A tyramide-biotin/streptavidin amplification step was included in the in situ hybridization procedure.
Results
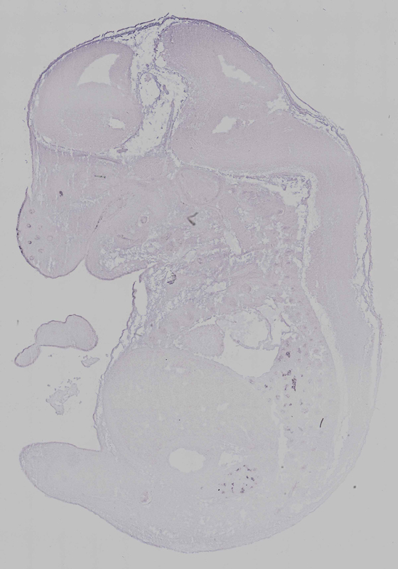
Specimen euxassay_005496_01: embryonic day 14.5 (more )
Structure Level Pattern Image Note
TS23: pharyngo-tympanic tube Strong Regionally restricted euxassay_005496_01

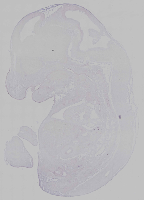
Specimen euxassay_005496_02: embryonic day 14.5 (more )
Structure Level Pattern Image Note
TS23: pharyngo-tympanic tube Strong Regionally restricted euxassay_005496_02
TS23: left lung Weak Regionally restricted euxassay_005496_02

Specimen euxassay_005496_03: embryonic day 14.5 (more )
Structure Level Pattern Image Note
TS23: pharyngo-tympanic tube Strong Regionally restricted euxassay_005496_03
TS23: left lung Weak Regionally restricted euxassay_005496_03

Specimen euxassay_005496_04: embryonic day 14.5 (more )
Structure Level Pattern Image Note
TS23: pharyngo-tympanic tube Strong Regionally restricted euxassay_005496_04
TS23: vibrissa Moderate Regionally restricted euxassay_005496_04
TS23: left lung Weak Regionally restricted euxassay_005496_04

Specimen euxassay_005496_05: embryonic day 14.5 (more )
Structure Level Pattern Image Note
TS23: vibrissa Moderate Regionally restricted euxassay_005496_05
TS23: left lung Weak Regionally restricted euxassay_005496_05

Specimen euxassay_005496_06: embryonic day 14.5 (more )
Structure Level Pattern Image Note
TS23: vibrissa Moderate Regionally restricted euxassay_005496_06
TS23: left lung Weak Regionally restricted euxassay_005496_06
TS23: renal calyx Strong Regionally restricted euxassay_005496_06

Specimen euxassay_005496_07: embryonic day 14.5 (more )
Structure Level Pattern Image Note
TS23: vibrissa Moderate Regionally restricted euxassay_005496_07
TS23: left lung Weak Regionally restricted euxassay_005496_07
TS23: renal calyx Strong Regionally restricted euxassay_005496_07

Specimen euxassay_005496_08: embryonic day 14.5 (more )
Structure Level Pattern Image Note
TS23: left lung Weak Regionally restricted euxassay_005496_08
TS23: renal calyx Strong Regionally restricted euxassay_005496_08

Specimen euxassay_005496_09: embryonic day 14.5 (more )
Structure Level Pattern Image Note
TS23: left lung Weak Regionally restricted euxassay_005496_09
TS23: renal calyx Strong Regionally restricted euxassay_005496_09

Specimen euxassay_005496_10: embryonic day 14.5 (more )
Structure Level Pattern Image Note
TS23: right lung Weak Regionally restricted euxassay_005496_10

Specimen euxassay_005496_11: embryonic day 14.5 (more )
Structure Level Pattern Image Note
TS23: right lung Weak Regionally restricted euxassay_005496_11

Specimen euxassay_005496_12: embryonic day 14.5 (more )
Structure Level Pattern Image Note
TS23: right lung Moderate Regionally restricted euxassay_005496_12

Specimen euxassay_005496_13: embryonic day 14.5 (more )
Structure Level Pattern Image Note
TS23: right lung Moderate Regionally restricted euxassay_005496_13
TS23: bladder fundus Moderate Regionally restricted euxassay_005496_13

Specimen euxassay_005496_14: embryonic day 14.5 (more )
Structure Level Pattern Image Note
TS23: right lung Moderate Regionally restricted euxassay_005496_14
TS23: renal calyx Strong Regionally restricted euxassay_005496_14
TS23: bladder fundus Moderate Regionally restricted euxassay_005496_14

Specimen euxassay_005496_15: embryonic day 14.5 (more )
Structure Level Pattern Image Note
TS23: right lung Moderate Regionally restricted euxassay_005496_15
TS23: renal calyx Strong Regionally restricted euxassay_005496_15

Specimen euxassay_005496_16: embryonic day 14.5 (more )
Structure Level Pattern Image Note
TS23: right lung Moderate Regionally restricted euxassay_005496_16
TS23: renal calyx Strong Regionally restricted euxassay_005496_16

Specimen euxassay_005496_17: embryonic day 14.5 (more )
Structure Level Pattern Image Note
TS23: right lung Weak Regionally restricted euxassay_005496_17
TS23: renal calyx Strong Regionally restricted euxassay_005496_17

Specimen euxassay_005496_18: embryonic day 14.5 (more )
Structure Level Pattern Image Note
TS23: right lung Weak Regionally restricted euxassay_005496_18

Specimen euxassay_005496_19: embryonic day 14.5 (more )
Structure Level Pattern Image Note
TS23: pharyngo-tympanic tube Strong Regionally restricted euxassay_005496_19
TS23: right lung Weak Regionally restricted euxassay_005496_19

Specimen euxassay_005496_20: embryonic day 14.5 (more )
Structure Level Pattern Image Note
TS23: pharyngo-tympanic tube Strong Regionally restricted euxassay_005496_20
TS23: right lung Weak Regionally restricted euxassay_005496_20

Specimen euxassay_005496_21: embryonic day 14.5 (more )
Structure Level Pattern Image Note
TS23: pharyngo-tympanic tube Strong Regionally restricted euxassay_005496_21
TS23: vibrissa Moderate Regionally restricted euxassay_005496_21

Specimen euxassay_005496_22: embryonic day 14.5 (more )
Structure Level Pattern Image Note
TS23: pharyngo-tympanic tube Moderate Regionally restricted euxassay_005496_22
TS23: vibrissa Moderate Regionally restricted euxassay_005496_22

Specimen euxassay_005496_23: embryonic day 14.5 (more )
Structure Level Pattern Image Note
TS23: vibrissa Moderate Regionally restricted euxassay_005496_23


Contributing Projects:
Mouse Genome Database (MGD), Gene Expression Database (GXD), Mouse Models of Human Cancer database (MMHCdb) (formerly Mouse Tumor Biology (MTB)), Gene Ontology (GO)
Citing These Resources
Funding Information
Warranty Disclaimer, Privacy Notice, Licensing, & Copyright
Send questions and comments to User Support.
last database update
03/24/2026
MGI 6.24
The Jackson Laboratory