About   Help   FAQ
Gene Expression Data
Assay Details
Assay
Reference: J:153498 Diez-Roux G, et al., A high-resolution anatomical atlas of the transcriptome in the mouse embryo. PLoS Biol. 2011;9(1):e1000582
Assay type: RNA in situ
MGI Accession ID: MGI:4827896
Gene symbol: Scg5
Gene name: secretogranin V
Probe: IMAGE clone 1533489
Probe preparation: Antisense labelled with digoxigenin RNA
Visualized with: Alkaline phosphatase
Assay notes: Cryosections of fresh frozen material were fixed in 4% paraformaldehyde for 20 min. before further processing. A tyramide-biotin/streptavidin amplification step was included in the in situ hybridization procedure.
Results
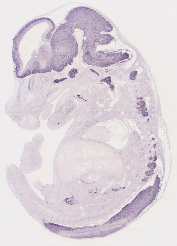
Specimen euxassay_007348_01: embryonic day 14.5 (more )
Structure Level Pattern Image Note
TS23: brain Strong Regionally restricted euxassay_007348_01
TS23: neural retina Strong Regionally restricted euxassay_007348_01
TS23: stomach Strong Spotted euxassay_007348_01

Specimen euxassay_007348_02: embryonic day 14.5 (more )
Structure Level Pattern Image Note
TS23: brain Strong Regionally restricted euxassay_007348_02
TS23: neural retina Strong Regionally restricted euxassay_007348_02
TS23: stomach Strong Spotted euxassay_007348_02

Specimen euxassay_007348_03: embryonic day 14.5 (more )
Structure Level Pattern Image Note
TS23: brain Strong Regionally restricted euxassay_007348_03
TS23: neural retina Strong Regionally restricted euxassay_007348_03
TS23: stomach Strong Spotted euxassay_007348_03

Specimen euxassay_007348_04: embryonic day 14.5 (more )
Structure Level Pattern Image Note
TS23: brain Strong Regionally restricted euxassay_007348_04
TS23: trigeminal ganglion Strong Regionally restricted euxassay_007348_04
TS23: stomach Strong Spotted euxassay_007348_04

Specimen euxassay_007348_05: embryonic day 14.5 (more )
Structure Level Pattern Image Note
TS23: brain Strong Regionally restricted euxassay_007348_05
TS23: trigeminal ganglion Strong Regionally restricted euxassay_007348_05
TS23: facial ganglion Strong Regionally restricted euxassay_007348_05
TS23: stomach Strong Spotted euxassay_007348_05

Specimen euxassay_007348_06: embryonic day 14.5 (more )
Structure Level Pattern Image Note
TS23: brain Strong Regionally restricted euxassay_007348_06
TS23: trigeminal ganglion Strong Regionally restricted euxassay_007348_06
TS23: facial ganglion Strong Regionally restricted euxassay_007348_06
TS23: stomach Strong Spotted euxassay_007348_06

Specimen euxassay_007348_07: embryonic day 14.5 (more )
Structure Level Pattern Image Note
TS23: brain Strong Regionally restricted euxassay_007348_07
TS23: spinal cord Strong Regionally restricted euxassay_007348_07
TS23: trigeminal ganglion Strong Regionally restricted euxassay_007348_07
TS23: facial ganglion Strong Regionally restricted euxassay_007348_07
TS23: vestibulo-cochlear ganglion Strong Regionally restricted euxassay_007348_07
TS23: glossopharyngeal ganglion Strong Regionally restricted euxassay_007348_07
TS23: olfactory epithelium Weak Regionally restricted euxassay_007348_07
TS23: stomach Strong Spotted euxassay_007348_07

Specimen euxassay_007348_08: embryonic day 14.5 (more )
Structure Level Pattern Image Note
TS23: brain Strong Regionally restricted euxassay_007348_08
TS23: spinal cord Strong Regionally restricted euxassay_007348_08
TS23: trigeminal ganglion Strong Regionally restricted euxassay_007348_08
TS23: vagus ganglion Strong Regionally restricted euxassay_007348_08
TS23: vestibulo-cochlear ganglion Strong Regionally restricted euxassay_007348_08
TS23: glossopharyngeal ganglion Strong Regionally restricted euxassay_007348_08
TS23: trigeminal nerve Strong Regionally restricted euxassay_007348_08
TS23: dorsal root ganglion Strong Regionally restricted euxassay_007348_08
TS23: olfactory epithelium Weak Regionally restricted euxassay_007348_08
TS23: stomach Strong Spotted euxassay_007348_08

Specimen euxassay_007348_09: embryonic day 14.5 (more )
Structure Level Pattern Image Note
TS23: brain Strong Regionally restricted euxassay_007348_09
TS23: spinal cord Strong Regionally restricted euxassay_007348_09
TS23: trigeminal ganglion Strong Regionally restricted euxassay_007348_09
TS23: trigeminal nerve Strong Regionally restricted euxassay_007348_09
TS23: vestibulo-cochlear ganglion Strong Regionally restricted euxassay_007348_09
TS23: dorsal root ganglion Strong Regionally restricted euxassay_007348_09
TS23: cervical ganglion Strong Regionally restricted euxassay_007348_09
TS23: thoracic ganglion Strong Regionally restricted euxassay_007348_09
TS23: cervico-thoracic ganglion Strong Regionally restricted euxassay_007348_09
TS23: olfactory epithelium Moderate Regionally restricted euxassay_007348_09
TS23: stomach Strong Spotted euxassay_007348_09

Specimen euxassay_007348_10: embryonic day 14.5 (more )
Structure Level Pattern Image Note
TS23: brain Strong Regionally restricted euxassay_007348_10
TS23: spinal cord Strong Regionally restricted euxassay_007348_10
TS23: pituitary gland Strong Regionally restricted euxassay_007348_10
TS23: dorsal root ganglion Strong Regionally restricted euxassay_007348_10
TS23: thoracic ganglion Strong Regionally restricted euxassay_007348_10
TS23: cervico-thoracic ganglion Strong Regionally restricted euxassay_007348_10
TS23: cervical ganglion Strong Regionally restricted euxassay_007348_10
TS23: olfactory epithelium Moderate Regionally restricted euxassay_007348_10
TS23: stomach Strong Spotted euxassay_007348_10
TS23: midgut Strong Spotted euxassay_007348_10

Specimen euxassay_007348_11: embryonic day 14.5 (more )
Structure Level Pattern Image Note
TS23: brain Strong Regionally restricted euxassay_007348_11
TS23: spinal cord Strong Regionally restricted euxassay_007348_11
TS23: pituitary gland Strong Regionally restricted euxassay_007348_11
TS23: dorsal root ganglion Strong Regionally restricted euxassay_007348_11
TS23: thoracic ganglion Strong Regionally restricted euxassay_007348_11
TS23: tongue Strong Spotted euxassay_007348_11
TS23: midgut Strong Spotted euxassay_007348_11

Specimen euxassay_007348_12: embryonic day 14.5 (more )
Structure Level Pattern Image Note
TS23: brain Strong Regionally restricted euxassay_007348_12
TS23: spinal cord Strong Regionally restricted euxassay_007348_12
TS23: pituitary gland Strong Regionally restricted euxassay_007348_12
TS23: dorsal root ganglion Strong Regionally restricted euxassay_007348_12
TS23: thoracic ganglion Strong Regionally restricted euxassay_007348_12
TS23: midgut Strong Spotted euxassay_007348_12
TS23: esophagus Moderate Spotted euxassay_007348_12

Specimen euxassay_007348_13: embryonic day 14.5 (more )
Structure Level Pattern Image Note
TS23: brain Strong Regionally restricted euxassay_007348_13
TS23: spinal cord Strong Regionally restricted euxassay_007348_13
TS23: pituitary gland Strong Regionally restricted euxassay_007348_13
TS23: dorsal root ganglion Strong Regionally restricted euxassay_007348_13
TS23: thoracic ganglion Strong Regionally restricted euxassay_007348_13
TS23: cervico-thoracic ganglion Strong Regionally restricted euxassay_007348_13
TS23: tongue Strong Spotted euxassay_007348_13
TS23: olfactory epithelium Moderate Regionally restricted euxassay_007348_13
TS23: midgut Strong Spotted euxassay_007348_13
TS23: esophagus Strong Spotted euxassay_007348_13

Specimen euxassay_007348_14: embryonic day 14.5 (more )
Structure Level Pattern Image Note
TS23: brain Strong Regionally restricted euxassay_007348_14
TS23: spinal cord Strong Regionally restricted euxassay_007348_14
TS23: pituitary gland Strong Regionally restricted euxassay_007348_14
TS23: dorsal root ganglion Strong Regionally restricted euxassay_007348_14
TS23: cervico-thoracic ganglion Strong Regionally restricted euxassay_007348_14
TS23: tongue Strong Spotted euxassay_007348_14
TS23: olfactory epithelium Moderate Regionally restricted euxassay_007348_14
TS23: esophagus Strong Spotted euxassay_007348_14
TS23: midgut Strong Spotted euxassay_007348_14

Specimen euxassay_007348_15: embryonic day 14.5 (more )
Structure Level Pattern Image Note
TS23: brain Strong Regionally restricted euxassay_007348_15
TS23: spinal cord Strong Regionally restricted euxassay_007348_15
TS23: pituitary gland Strong Regionally restricted euxassay_007348_15
TS23: dorsal root ganglion Strong Regionally restricted euxassay_007348_15
TS23: cervico-thoracic ganglion Strong Regionally restricted euxassay_007348_15
TS23: olfactory epithelium Moderate Regionally restricted euxassay_007348_15
TS23: midgut Strong Spotted euxassay_007348_15

Specimen euxassay_007348_16: embryonic day 14.5 (more )
Structure Level Pattern Image Note
TS23: brain Strong Regionally restricted euxassay_007348_16
TS23: spinal cord Strong Regionally restricted euxassay_007348_16
TS23: trigeminal nerve Strong Regionally restricted euxassay_007348_16
TS23: trigeminal ganglion Strong Regionally restricted euxassay_007348_16
TS23: pituitary gland Strong Regionally restricted euxassay_007348_16
TS23: dorsal root ganglion Strong Regionally restricted euxassay_007348_16
TS23: cervico-thoracic ganglion Strong Regionally restricted euxassay_007348_16
TS23: cervical ganglion Strong Regionally restricted euxassay_007348_16
TS23: olfactory epithelium Weak Regionally restricted euxassay_007348_16
TS23: midgut Strong Spotted euxassay_007348_16

Specimen euxassay_007348_17: embryonic day 14.5 (more )
Structure Level Pattern Image Note
TS23: brain Strong Regionally restricted euxassay_007348_17
TS23: spinal cord Strong Regionally restricted euxassay_007348_17
TS23: trigeminal ganglion Strong Regionally restricted euxassay_007348_17
TS23: dorsal root ganglion Strong Regionally restricted euxassay_007348_17
TS23: cervical ganglion Strong Regionally restricted euxassay_007348_17
TS23: cervico-thoracic ganglion Strong Regionally restricted euxassay_007348_17
TS23: olfactory epithelium Weak Regionally restricted euxassay_007348_17
TS23: midgut Strong Spotted euxassay_007348_17

Specimen euxassay_007348_18: embryonic day 14.5 (more )
Structure Level Pattern Image Note
TS23: brain Strong Regionally restricted euxassay_007348_18
TS23: spinal cord Strong Regionally restricted euxassay_007348_18
TS23: vestibulo-cochlear ganglion Strong Regionally restricted euxassay_007348_18
TS23: trigeminal ganglion Strong Regionally restricted euxassay_007348_18
TS23: facial ganglion Strong Regionally restricted euxassay_007348_18
TS23: dorsal root ganglion Strong Regionally restricted euxassay_007348_18
TS23: cervical ganglion Strong Regionally restricted euxassay_007348_18
TS23: midgut Strong Spotted euxassay_007348_18

Specimen euxassay_007348_19: embryonic day 14.5 (more )
Structure Level Pattern Image Note
TS23: brain Strong Regionally restricted euxassay_007348_19
TS23: trigeminal ganglion Strong Regionally restricted euxassay_007348_19
TS23: glossopharyngeal ganglion Strong Regionally restricted euxassay_007348_19
TS23: facial ganglion Strong Regionally restricted euxassay_007348_19
TS23: vagus ganglion Strong Regionally restricted euxassay_007348_19
TS23: vestibulo-cochlear ganglion Strong Regionally restricted euxassay_007348_19
TS23: dorsal root ganglion Strong Regionally restricted euxassay_007348_19
TS23: midgut Strong Spotted euxassay_007348_19

Specimen euxassay_007348_20: embryonic day 14.5 (more )
Structure Level Pattern Image Note
TS23: brain Strong Regionally restricted euxassay_007348_20
TS23: trigeminal ganglion Strong Regionally restricted euxassay_007348_20
TS23: vestibulo-cochlear ganglion Strong Regionally restricted euxassay_007348_20
TS23: facial ganglion Strong Regionally restricted euxassay_007348_20
TS23: glossopharyngeal ganglion Strong Regionally restricted euxassay_007348_20
TS23: midgut Strong Spotted euxassay_007348_20

Specimen euxassay_007348_21: embryonic day 14.5 (more )
Structure Level Pattern Image Note
TS23: brain Strong Regionally restricted euxassay_007348_21
TS23: trigeminal ganglion Strong Regionally restricted euxassay_007348_21
TS23: facial ganglion Strong Regionally restricted euxassay_007348_21
TS23: neural retina Strong Regionally restricted euxassay_007348_21
TS23: midgut Strong Spotted euxassay_007348_21

Specimen euxassay_007348_22: embryonic day 14.5 (more )
Structure Level Pattern Image Note
TS23: brain Strong Regionally restricted euxassay_007348_22
TS23: trigeminal ganglion Strong Regionally restricted euxassay_007348_22
TS23: neural retina Strong Regionally restricted euxassay_007348_22
TS23: midgut Strong Spotted euxassay_007348_22

Specimen euxassay_007348_23: embryonic day 14.5 (more )
Structure Level Pattern Image Note
TS23: brain Strong Regionally restricted euxassay_007348_23
TS23: neural retina Strong Regionally restricted euxassay_007348_23
TS23: midgut Moderate Spotted euxassay_007348_23

Specimen euxassay_007348_24: embryonic day 14.5 (more )
Structure Level Pattern Image Note
TS23: brain Strong Regionally restricted euxassay_007348_24
TS23: neural retina Strong Regionally restricted euxassay_007348_24


Contributing Projects:
Mouse Genome Database (MGD), Gene Expression Database (GXD), Mouse Models of Human Cancer database (MMHCdb) (formerly Mouse Tumor Biology (MTB)), Gene Ontology (GO)
Citing These Resources
Funding Information
Warranty Disclaimer, Privacy Notice, Licensing, & Copyright
Send questions and comments to User Support.
last database update
01/20/2026
MGI 6.24
The Jackson Laboratory