About   Help   FAQ
Gene Expression Data
Assay Details
Assay
Reference: J:153498 Diez-Roux G, et al., A high-resolution anatomical atlas of the transcriptome in the mouse embryo. PLoS Biol. 2011;9(1):e1000582
Assay type: RNA in situ
MGI Accession ID: MGI:4827839
Gene symbol: Rusc1
Gene name: RUN and SH3 domain containing 1
Probe: MGC clone 67218
Probe preparation: Antisense labelled with digoxigenin RNA
Visualized with: Alkaline phosphatase
Assay notes: Cryosections of fresh frozen material were fixed in 4% paraformaldehyde for 20 min. before further processing. A tyramide-biotin/streptavidin amplification step was included in the in situ hybridization procedure.
Results
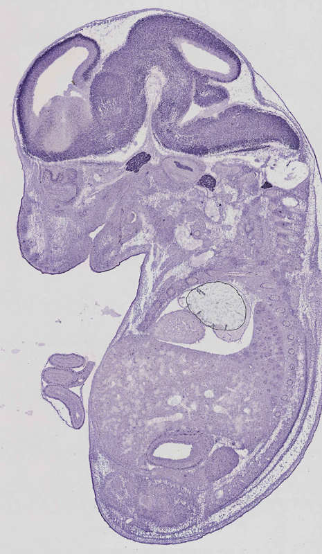
Specimen euxassay_007022_01: embryonic day 14.5 (more )
Structure Level Pattern Image Note
TS23: brain Strong Regionally restricted euxassay_007022_01
TS23: neural retina Strong Regionally restricted euxassay_007022_01

Specimen euxassay_007022_02: embryonic day 14.5 (more )
Structure Level Pattern Image Note
TS23: brain Strong Regionally restricted euxassay_007022_02
TS23: neural retina Strong Regionally restricted euxassay_007022_02

Specimen euxassay_007022_03: embryonic day 14.5 (more )
Structure Level Pattern Image Note
TS23: brain Strong Regionally restricted euxassay_007022_03
TS23: neural retina Strong Regionally restricted euxassay_007022_03
TS23: stomach Moderate Spotted euxassay_007022_03

Specimen euxassay_007022_04: embryonic day 14.5 (more )
Structure Level Pattern Image Note
TS23: brain Strong Regionally restricted euxassay_007022_04
TS23: trigeminal ganglion Strong Regionally restricted euxassay_007022_04
TS23: neural retina Strong Regionally restricted euxassay_007022_04
TS23: stomach Moderate Spotted euxassay_007022_04

Specimen euxassay_007022_05: embryonic day 14.5 (more )
Structure Level Pattern Image Note
TS23: brain Strong Regionally restricted euxassay_007022_05
TS23: trigeminal ganglion Strong Regionally restricted euxassay_007022_05
TS23: facial ganglion Strong Regionally restricted euxassay_007022_05
TS23: stomach Moderate Spotted euxassay_007022_05

Specimen euxassay_007022_06: embryonic day 14.5 (more )
Structure Level Pattern Image Note
TS23: brain Strong Regionally restricted euxassay_007022_06
TS23: trigeminal ganglion Strong Regionally restricted euxassay_007022_06
TS23: facial ganglion Strong Regionally restricted euxassay_007022_06
TS23: stomach Strong Spotted euxassay_007022_06

Specimen euxassay_007022_07: embryonic day 14.5 (more )
Structure Level Pattern Image Note
TS23: brain Strong Regionally restricted euxassay_007022_07
TS23: glossopharyngeal ganglion Strong Regionally restricted euxassay_007022_07
TS23: trigeminal ganglion Strong Regionally restricted euxassay_007022_07
TS23: vestibulo-cochlear ganglion Strong Regionally restricted euxassay_007022_07
TS23: facial ganglion Strong Regionally restricted euxassay_007022_07
TS23: stomach Strong Spotted euxassay_007022_07
TS23: midgut Strong Spotted euxassay_007022_07

Specimen euxassay_007022_08: embryonic day 14.5 (more )
Structure Level Pattern Image Note
TS23: brain Strong Regionally restricted euxassay_007022_08
TS23: trigeminal ganglion Strong Regionally restricted euxassay_007022_08
TS23: glossopharyngeal ganglion Strong Regionally restricted euxassay_007022_08
TS23: facial ganglion Strong Regionally restricted euxassay_007022_08
TS23: vestibulo-cochlear ganglion Strong Regionally restricted euxassay_007022_08
TS23: dorsal root ganglion Strong Regionally restricted euxassay_007022_08
TS23: stomach Strong Spotted euxassay_007022_08
TS23: midgut Strong Spotted euxassay_007022_08

Specimen euxassay_007022_09: embryonic day 14.5 (more )
Structure Level Pattern Image Note
TS23: brain Strong Regionally restricted euxassay_007022_09
TS23: spinal cord Strong Regionally restricted euxassay_007022_09
TS23: trigeminal ganglion Strong Regionally restricted euxassay_007022_09
TS23: vagus ganglion Strong Regionally restricted euxassay_007022_09
TS23: vestibulo-cochlear ganglion Strong Regionally restricted euxassay_007022_09
TS23: dorsal root ganglion Strong Regionally restricted euxassay_007022_09
TS23: olfactory epithelium Moderate Regionally restricted euxassay_007022_09
TS23: stomach Strong Spotted euxassay_007022_09
TS23: midgut Strong Spotted euxassay_007022_09

Specimen euxassay_007022_10: embryonic day 14.5 (more )
Structure Level Pattern Image Note
TS23: brain Strong Regionally restricted euxassay_007022_10
TS23: spinal cord Strong Regionally restricted euxassay_007022_10
TS23: trigeminal nerve Strong Regionally restricted euxassay_007022_10
TS23: trigeminal ganglion Strong Regionally restricted euxassay_007022_10
TS23: cervical ganglion Strong Regionally restricted euxassay_007022_10
TS23: dorsal root ganglion Strong Regionally restricted euxassay_007022_10
TS23: olfactory epithelium Moderate Regionally restricted euxassay_007022_10
TS23: stomach Strong Spotted euxassay_007022_10
TS23: midgut Strong Spotted euxassay_007022_10

Specimen euxassay_007022_11: embryonic day 14.5 (more )
Structure Level Pattern Image Note
TS23: brain Strong Regionally restricted euxassay_007022_11
TS23: spinal cord Strong Regionally restricted euxassay_007022_11
TS23: trigeminal nerve Strong Regionally restricted euxassay_007022_11
TS23: cervico-thoracic ganglion Strong Regionally restricted euxassay_007022_11
TS23: dorsal root ganglion Strong Regionally restricted euxassay_007022_11
TS23: olfactory epithelium Strong Regionally restricted euxassay_007022_11
TS23: stomach Strong Spotted euxassay_007022_11
TS23: midgut Strong Spotted euxassay_007022_11

Specimen euxassay_007022_12: embryonic day 14.5 (more )
Structure Level Pattern Image Note
TS23: brain Strong Regionally restricted euxassay_007022_12
TS23: spinal cord Strong Regionally restricted euxassay_007022_12
TS23: cervico-thoracic ganglion Strong Regionally restricted euxassay_007022_12
TS23: dorsal root ganglion Strong Regionally restricted euxassay_007022_12
TS23: olfactory epithelium Strong Regionally restricted euxassay_007022_12
TS23: stomach Strong Spotted euxassay_007022_12
TS23: midgut Strong Spotted euxassay_007022_12

Specimen euxassay_007022_13: embryonic day 14.5 (more )
Structure Level Pattern Image Note
TS23: brain Strong Regionally restricted euxassay_007022_13
TS23: spinal cord Strong Regionally restricted euxassay_007022_13
TS23: dorsal root ganglion Strong Regionally restricted euxassay_007022_13
TS23: olfactory epithelium Strong Regionally restricted euxassay_007022_13
TS23: stomach Strong Spotted euxassay_007022_13
TS23: midgut Strong Spotted euxassay_007022_13
TS23: tongue Strong Spotted euxassay_007022_13

Specimen euxassay_007022_14: embryonic day 14.5 (more )
Structure Level Pattern Image Note
TS23: brain Strong Regionally restricted euxassay_007022_14
TS23: spinal cord Strong Regionally restricted euxassay_007022_14
TS23: thoracic ganglion Strong Regionally restricted euxassay_007022_14
TS23: cervico-thoracic ganglion Strong Regionally restricted euxassay_007022_14
TS23: dorsal root ganglion Strong Regionally restricted euxassay_007022_14
TS23: olfactory epithelium Strong Regionally restricted euxassay_007022_14
TS23: midgut Strong Spotted euxassay_007022_14

Specimen euxassay_007022_15: embryonic day 14.5 (more )
Structure Level Pattern Image Note
TS23: brain Strong Regionally restricted euxassay_007022_15
TS23: spinal cord Strong Regionally restricted euxassay_007022_15
TS23: thoracic ganglion Strong Regionally restricted euxassay_007022_15
TS23: dorsal root ganglion Strong Regionally restricted euxassay_007022_15
TS23: midgut Strong Spotted euxassay_007022_15

Specimen euxassay_007022_16: embryonic day 14.5 (more )
Structure Level Pattern Image Note
TS23: brain Strong Regionally restricted euxassay_007022_16
TS23: spinal cord Strong Regionally restricted euxassay_007022_16
TS23: thoracic ganglion Strong Regionally restricted euxassay_007022_16
TS23: olfactory epithelium Strong Regionally restricted euxassay_007022_16
TS23: midgut Strong Spotted euxassay_007022_16
TS23: tongue Strong Spotted euxassay_007022_16

Specimen euxassay_007022_17: embryonic day 14.5 (more )
Structure Level Pattern Image Note
TS23: brain Strong Regionally restricted euxassay_007022_17
TS23: spinal cord Strong Regionally restricted euxassay_007022_17
TS23: thoracic ganglion Strong Regionally restricted euxassay_007022_17
TS23: cervico-thoracic ganglion Strong Regionally restricted euxassay_007022_17
TS23: olfactory epithelium Strong Regionally restricted euxassay_007022_17
TS23: midgut Strong Spotted euxassay_007022_17

Specimen euxassay_007022_18: embryonic day 14.5 (more )
Structure Level Pattern Image Note
TS23: brain Strong Regionally restricted euxassay_007022_18
TS23: spinal cord Strong Regionally restricted euxassay_007022_18
TS23: trigeminal nerve Strong Regionally restricted euxassay_007022_18
TS23: trigeminal ganglion Strong Regionally restricted euxassay_007022_18
TS23: vestibulo-cochlear ganglion Strong Regionally restricted euxassay_007022_18
TS23: cervico-thoracic ganglion Strong Regionally restricted euxassay_007022_18
TS23: cervical ganglion Strong Regionally restricted euxassay_007022_18
TS23: thoracic ganglion Strong Regionally restricted euxassay_007022_18
TS23: dorsal root ganglion Strong Regionally restricted euxassay_007022_18
TS23: olfactory epithelium Strong Regionally restricted euxassay_007022_18
TS23: midgut Strong Spotted euxassay_007022_18
TS23: tongue Strong Spotted euxassay_007022_18

Specimen euxassay_007022_19: embryonic day 14.5 (more )
Structure Level Pattern Image Note
TS23: brain Strong Regionally restricted euxassay_007022_19
TS23: spinal cord Strong Regionally restricted euxassay_007022_19
TS23: glossopharyngeal ganglion Strong Regionally restricted euxassay_007022_19
TS23: trigeminal ganglion Strong Regionally restricted euxassay_007022_19
TS23: vestibulo-cochlear ganglion Strong Regionally restricted euxassay_007022_19
TS23: vagus ganglion Strong Regionally restricted euxassay_007022_19
TS23: cervical ganglion Strong Regionally restricted euxassay_007022_19
TS23: dorsal root ganglion Strong Regionally restricted euxassay_007022_19
TS23: olfactory epithelium Strong Regionally restricted euxassay_007022_19
TS23: midgut Strong Spotted euxassay_007022_19

Specimen euxassay_007022_20: embryonic day 14.5 (more )
Structure Level Pattern Image Note
TS23: brain Strong Regionally restricted euxassay_007022_20
TS23: trigeminal ganglion Strong Regionally restricted euxassay_007022_20
TS23: facial ganglion Strong Regionally restricted euxassay_007022_20
TS23: glossopharyngeal ganglion Strong Regionally restricted euxassay_007022_20
TS23: vestibulo-cochlear ganglion Strong Regionally restricted euxassay_007022_20
TS23: vagus ganglion Strong Regionally restricted euxassay_007022_20
TS23: dorsal root ganglion Strong Regionally restricted euxassay_007022_20
TS23: olfactory epithelium Strong Regionally restricted euxassay_007022_20
TS23: midgut Strong Spotted euxassay_007022_20

Specimen euxassay_007022_21: embryonic day 14.5 (more )
Structure Level Pattern Image Note
TS23: brain Strong Regionally restricted euxassay_007022_21
TS23: trigeminal ganglion Strong Regionally restricted euxassay_007022_21
TS23: facial ganglion Strong Regionally restricted euxassay_007022_21
TS23: midgut Strong Spotted euxassay_007022_21

Specimen euxassay_007022_22: embryonic day 14.5 (more )
Structure Level Pattern Image Note
TS23: brain Strong Regionally restricted euxassay_007022_22
TS23: trigeminal ganglion Strong Regionally restricted euxassay_007022_22
TS23: facial ganglion Strong Regionally restricted euxassay_007022_22

Specimen euxassay_007022_23: embryonic day 14.5 (more )
Structure Level Pattern Image Note
TS23: brain Strong Regionally restricted euxassay_007022_23
TS23: neural retina Strong Regionally restricted euxassay_007022_23


Contributing Projects:
Mouse Genome Database (MGD), Gene Expression Database (GXD), Mouse Models of Human Cancer database (MMHCdb) (formerly Mouse Tumor Biology (MTB)), Gene Ontology (GO)
Citing These Resources
Funding Information
Warranty Disclaimer, Privacy Notice, Licensing, & Copyright
Send questions and comments to User Support.
last database update
09/30/2025
MGI 6.24
The Jackson Laboratory