About   Help   FAQ
Gene Expression Data
Assay Details
Assay
Reference: J:153498 Diez-Roux G, et al., A high-resolution anatomical atlas of the transcriptome in the mouse embryo. PLoS Biol. 2011;9(1):e1000582
Assay type: RNA in situ
MGI Accession ID: MGI:4827828
Gene symbol: Rtn1
Gene name: reticulon 1
Probe: MGC clone 56910
Probe preparation: Antisense labelled with digoxigenin RNA
Visualized with: Alkaline phosphatase
Assay notes: Cryosections of fresh frozen material were fixed in 4% paraformaldehyde for 20 min. before further processing. A tyramide-biotin/streptavidin amplification step was included in the in situ hybridization procedure.
Results
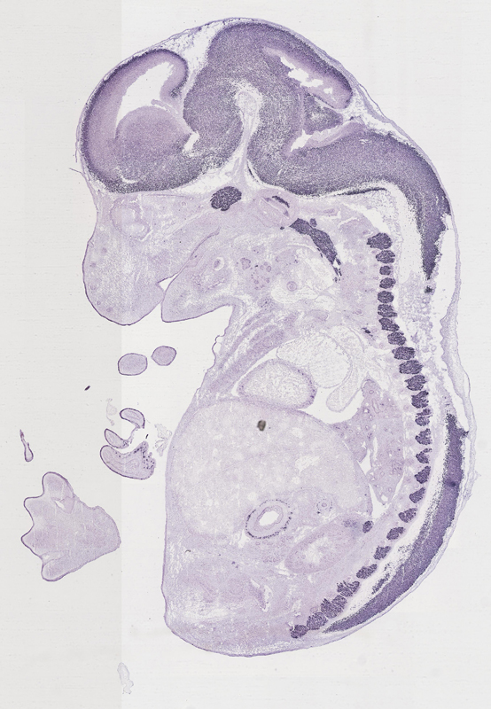
Specimen euxassay_003752_01: embryonic day 14.5 (more )
Structure Level Pattern Image Note
TS23: brain Strong Uniform euxassay_003752_01
TS23: neural retina Strong Regionally restricted euxassay_003752_01

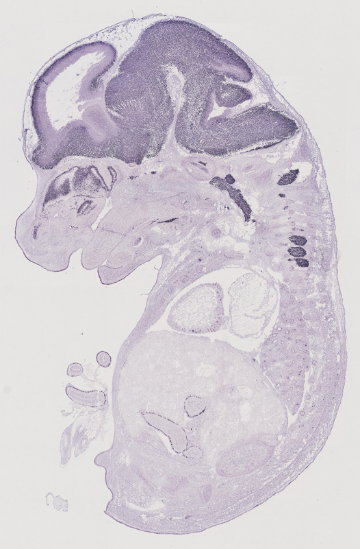
Specimen euxassay_003752_02: embryonic day 14.5 (more )
Note: Additional information for this specimen was included in the Eurexpress data submission file.
Structure Level Pattern Image Note
TS23: brain Strong Uniform euxassay_003752_02
TS23: stomach Weak Regionally restricted euxassay_003752_02 smooth muscle
TS23: smooth muscle tissue Present euxassay_003752_02
TS23: neural retina Strong Regionally restricted euxassay_003752_02

Specimen euxassay_003752_03: embryonic day 14.5 (more )
Note: Additional information for this specimen was included in the Eurexpress data submission file.
Structure Level Pattern Image Note
TS23: trigeminal ganglion Strong Regionally restricted euxassay_003752_03
TS23: facial ganglion Strong Regionally restricted euxassay_003752_03
TS23: brain Strong Uniform euxassay_003752_03
TS23: stomach Weak Regionally restricted euxassay_003752_03 smooth muscle
TS23: smooth muscle tissue Present euxassay_003752_03
TS23: neural retina Strong Regionally restricted euxassay_003752_03

Specimen euxassay_003752_04: embryonic day 14.5 (more )
Note: Additional information for this specimen was included in the Eurexpress data submission file.
Structure Level Pattern Image Note
TS23: trigeminal ganglion Strong Regionally restricted euxassay_003752_04
TS23: facial ganglion Strong Regionally restricted euxassay_003752_04
TS23: brain Strong Uniform euxassay_003752_04
TS23: stomach Moderate Regionally restricted euxassay_003752_04 smooth muscle
TS23: smooth muscle tissue Present euxassay_003752_04
TS23: neural retina Strong Regionally restricted euxassay_003752_04

Specimen euxassay_003752_05: embryonic day 14.5 (more )
Note: Additional information for this specimen was included in the Eurexpress data submission file.
Structure Level Pattern Image Note
TS23: trigeminal ganglion Strong Regionally restricted euxassay_003752_05
TS23: brain Strong Uniform euxassay_003752_05
TS23: stomach Moderate Regionally restricted euxassay_003752_05 smooth muscle
TS23: smooth muscle tissue Present euxassay_003752_05

Specimen euxassay_003752_06: embryonic day 14.5 (more )
Note: Additional information for this specimen was included in the Eurexpress data submission file.
Structure Level Pattern Image Note
TS23: trigeminal ganglion Strong Regionally restricted euxassay_003752_06
TS23: glossopharyngeal ganglion Strong Regionally restricted euxassay_003752_06
TS23: vestibulo-cochlear ganglion Strong Regionally restricted euxassay_003752_06
TS23: facial ganglion Strong Regionally restricted euxassay_003752_06
TS23: dorsal root ganglion Strong Regionally restricted euxassay_003752_06
TS23: brain Strong Uniform euxassay_003752_06
TS23: stomach Moderate Regionally restricted euxassay_003752_06 smooth muscle
TS23: smooth muscle tissue Present euxassay_003752_06

Specimen euxassay_003752_07: embryonic day 14.5 (more )
Note: Additional information for this specimen was included in the Eurexpress data submission file.
Structure Level Pattern Image Note
TS23: vestibulo-cochlear ganglion Strong Regionally restricted euxassay_003752_07
TS23: trigeminal ganglion Strong Regionally restricted euxassay_003752_07
TS23: vagus ganglion Strong Regionally restricted euxassay_003752_07
TS23: dorsal root ganglion Strong Regionally restricted euxassay_003752_07
TS23: brain Strong Uniform euxassay_003752_07
TS23: spinal cord Strong Uniform euxassay_003752_07
TS23: stomach Moderate Regionally restricted euxassay_003752_07 smooth muscle
TS23: smooth muscle tissue Present euxassay_003752_07

Specimen euxassay_003752_08: embryonic day 14.5 (more )
Note: Additional information for this specimen was included in the Eurexpress data submission file.
Structure Level Pattern Image Note
TS23: vestibulo-cochlear ganglion Strong Regionally restricted euxassay_003752_08
TS23: vagus ganglion Strong Regionally restricted euxassay_003752_08
TS23: trigeminal ganglion Strong Regionally restricted euxassay_003752_08
TS23: dorsal root ganglion Strong Regionally restricted euxassay_003752_08
TS23: brain Strong Uniform euxassay_003752_08
TS23: spinal cord Strong Uniform euxassay_003752_08
TS23: stomach Moderate Regionally restricted euxassay_003752_08 smooth muscle
TS23: smooth muscle tissue Present euxassay_003752_08

Specimen euxassay_003752_09: embryonic day 14.5 (more )
Note: Additional information for this specimen was included in the Eurexpress data submission file.
Structure Level Pattern Image Note
TS23: trigeminal ganglion Strong Regionally restricted euxassay_003752_09
TS23: dorsal root ganglion Strong Regionally restricted euxassay_003752_09
TS23: olfactory epithelium Moderate Regionally restricted euxassay_003752_09
TS23: brain Strong Uniform euxassay_003752_09
TS23: spinal cord Strong Uniform euxassay_003752_09
TS23: cervico-thoracic ganglion Strong Regionally restricted euxassay_003752_09
TS23: stomach Moderate Regionally restricted euxassay_003752_09 smooth muscle
TS23: smooth muscle tissue Present euxassay_003752_09

Specimen euxassay_003752_10: embryonic day 14.5 (more )
Structure Level Pattern Image Note
TS23: dorsal root ganglion Strong Regionally restricted euxassay_003752_10
TS23: olfactory epithelium Strong Regionally restricted euxassay_003752_10
TS23: brain Strong Uniform euxassay_003752_10
TS23: spinal cord Strong Uniform euxassay_003752_10
TS23: thoracic ganglion Strong Regionally restricted euxassay_003752_10

Specimen euxassay_003752_11: embryonic day 14.5 (more )
Structure Level Pattern Image Note
TS23: olfactory epithelium Strong Regionally restricted euxassay_003752_11
TS23: brain Strong Uniform euxassay_003752_11
TS23: spinal cord Strong Uniform euxassay_003752_11
TS23: thoracic ganglion Strong Regionally restricted euxassay_003752_11
TS23: glans of male genital tubercle Strong Regionally restricted euxassay_003752_11

Specimen euxassay_003752_12: embryonic day 14.5 (more )
Structure Level Pattern Image Note
TS23: olfactory epithelium Strong Regionally restricted euxassay_003752_12
TS23: brain Strong Uniform euxassay_003752_12
TS23: spinal cord Strong Uniform euxassay_003752_12
TS23: thoracic ganglion Strong Regionally restricted euxassay_003752_12

Specimen euxassay_003752_13: embryonic day 14.5 (more )
Structure Level Pattern Image Note
TS23: dorsal root ganglion Strong Regionally restricted euxassay_003752_13
TS23: olfactory epithelium Strong Regionally restricted euxassay_003752_13
TS23: brain Strong Uniform euxassay_003752_13
TS23: spinal cord Strong Uniform euxassay_003752_13
TS23: cervico-thoracic ganglion Strong Regionally restricted euxassay_003752_13

Specimen euxassay_003752_14: embryonic day 14.5 (more )
Structure Level Pattern Image Note
TS23: dorsal root ganglion Strong Regionally restricted euxassay_003752_14
TS23: brain Strong Uniform euxassay_003752_14
TS23: spinal cord Strong Uniform euxassay_003752_14
TS23: cervico-thoracic ganglion Strong Regionally restricted euxassay_003752_14
TS23: glans of male genital tubercle Strong Regionally restricted euxassay_003752_14

Specimen euxassay_003752_15: embryonic day 14.5 (more )
Structure Level Pattern Image Note
TS23: dorsal root ganglion Strong Regionally restricted euxassay_003752_15
TS23: olfactory epithelium Strong Regionally restricted euxassay_003752_15
TS23: brain Strong Uniform euxassay_003752_15
TS23: spinal cord Strong Uniform euxassay_003752_15
TS23: cervico-thoracic ganglion Strong Regionally restricted euxassay_003752_15

Specimen euxassay_003752_16: embryonic day 14.5 (more )
Structure Level Pattern Image Note
TS23: vagus ganglion Strong Regionally restricted euxassay_003752_16
TS23: dorsal root ganglion Strong Regionally restricted euxassay_003752_16
TS23: olfactory epithelium Strong Regionally restricted euxassay_003752_16
TS23: brain Strong Uniform euxassay_003752_16

Specimen euxassay_003752_17: embryonic day 14.5 (more )
Structure Level Pattern Image Note
TS23: glossopharyngeal ganglion Strong Regionally restricted euxassay_003752_17
TS23: vestibulo-cochlear ganglion Strong Regionally restricted euxassay_003752_17
TS23: trigeminal ganglion Strong Regionally restricted euxassay_003752_17
TS23: dorsal root ganglion Strong Regionally restricted euxassay_003752_17
TS23: olfactory epithelium Strong Regionally restricted euxassay_003752_17
TS23: brain Strong Uniform euxassay_003752_17

Specimen euxassay_003752_18: embryonic day 14.5 (more )
Structure Level Pattern Image Note
TS23: glossopharyngeal ganglion Strong Regionally restricted euxassay_003752_18
TS23: trigeminal ganglion Strong Regionally restricted euxassay_003752_18
TS23: vestibulo-cochlear ganglion Strong Regionally restricted euxassay_003752_18
TS23: olfactory epithelium Strong Regionally restricted euxassay_003752_18
TS23: brain Strong Uniform euxassay_003752_18

Specimen euxassay_003752_19: embryonic day 14.5 (more )
Structure Level Pattern Image Note
TS23: trigeminal ganglion Strong Regionally restricted euxassay_003752_19
TS23: olfactory epithelium Strong Regionally restricted euxassay_003752_19
TS23: brain Strong Uniform euxassay_003752_19

Specimen euxassay_003752_20: embryonic day 14.5 (more )
Structure Level Pattern Image Note
TS23: trigeminal ganglion Strong Regionally restricted euxassay_003752_20
TS23: facial ganglion Strong Regionally restricted euxassay_003752_20
TS23: brain Strong Uniform euxassay_003752_20

Specimen euxassay_003752_21: embryonic day 14.5 (more )
Structure Level Pattern Image Note
TS23: trigeminal ganglion Strong Regionally restricted euxassay_003752_21
TS23: facial ganglion Strong Regionally restricted euxassay_003752_21
TS23: brain Strong Uniform euxassay_003752_21

Specimen euxassay_003752_22: embryonic day 14.5 (more )
Structure Level Pattern Image Note
TS23: trigeminal ganglion Strong Regionally restricted euxassay_003752_22
TS23: brain Strong Uniform euxassay_003752_22

Specimen euxassay_003752_23: embryonic day 14.5 (more )
Structure Level Pattern Image Note
TS23: brain Strong Uniform euxassay_003752_23
TS23: neural retina Strong Regionally restricted euxassay_003752_23

Specimen euxassay_003752_24: embryonic day 14.5 (more )
Structure Level Pattern Image Note
TS23: brain Strong Uniform euxassay_003752_24
TS23: neural retina Strong Regionally restricted euxassay_003752_24


Contributing Projects:
Mouse Genome Database (MGD), Gene Expression Database (GXD), Mouse Models of Human Cancer database (MMHCdb) (formerly Mouse Tumor Biology (MTB)), Gene Ontology (GO)
Citing These Resources
Funding Information
Warranty Disclaimer, Privacy Notice, Licensing, & Copyright
Send questions and comments to User Support.
last database update
12/30/2025
MGI 6.24
The Jackson Laboratory