About   Help   FAQ
Gene Expression Data
Assay Details
Assay
Reference: J:153498 Diez-Roux G, et al., A high-resolution anatomical atlas of the transcriptome in the mouse embryo. PLoS Biol. 2011;9(1):e1000582
Assay type: RNA in situ
MGI Accession ID: MGI:4827817
Gene symbol: Rrm2
Gene name: ribonucleotide reductase M2
Probe: MGC clone 113712
Probe preparation: Antisense labelled with digoxigenin RNA
Visualized with: Alkaline phosphatase
Assay notes: Cryosections of fresh frozen material were fixed in 4% paraformaldehyde for 20 min. before further processing. A tyramide-biotin/streptavidin amplification step was included in the in situ hybridization procedure.
Results
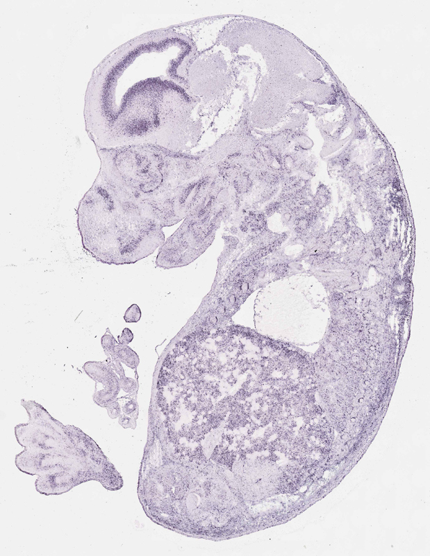
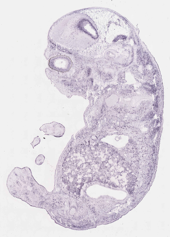
Specimen euxassay_004733_01: embryonic day 14.5 (more )
Structure Level Pattern Image Note
TS23: embryo mesenchyme Strong Regionally restricted euxassay_004733_01
TS23: liver Strong Regionally restricted euxassay_004733_01
TS23: hand Strong Regionally restricted euxassay_004733_01
TS23: foot Strong Regionally restricted euxassay_004733_01
TS23: leg Strong Regionally restricted euxassay_004733_01
TS23: retina Strong Regionally restricted euxassay_004733_01

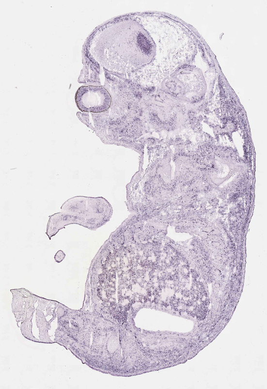
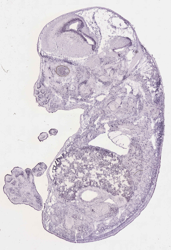
Specimen euxassay_004733_02: embryonic day 14.5 (more )
Structure Level Pattern Image Note
TS23: embryo mesenchyme Strong Regionally restricted euxassay_004733_02
TS23: liver Strong Regionally restricted euxassay_004733_02
TS23: leg Strong Regionally restricted euxassay_004733_02
TS23: foot Strong Regionally restricted euxassay_004733_02
TS23: hand Strong Regionally restricted euxassay_004733_02
TS23: retina Strong Regionally restricted euxassay_004733_02
TS23: telencephalon ventricular layer Strong Regionally restricted euxassay_004733_02

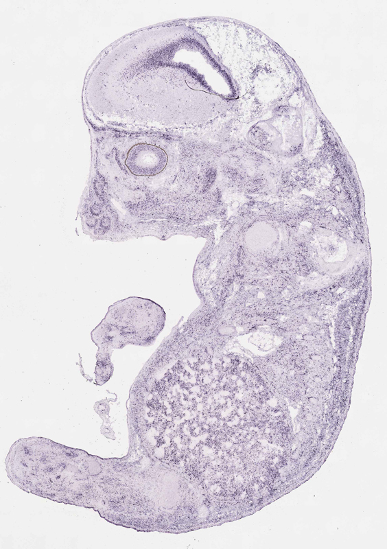
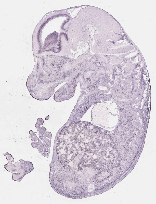
Specimen euxassay_004733_03: embryonic day 14.5 (more )
Structure Level Pattern Image Note
TS23: embryo mesenchyme Strong Regionally restricted euxassay_004733_03
TS23: liver Strong Regionally restricted euxassay_004733_03
TS23: lung Strong Regionally restricted euxassay_004733_03
TS23: foot Strong Regionally restricted euxassay_004733_03
TS23: leg Strong Regionally restricted euxassay_004733_03
TS23: retina Strong Regionally restricted euxassay_004733_03
TS23: telencephalon ventricular layer Strong Regionally restricted euxassay_004733_03

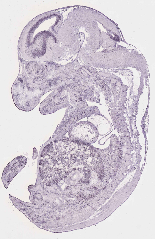
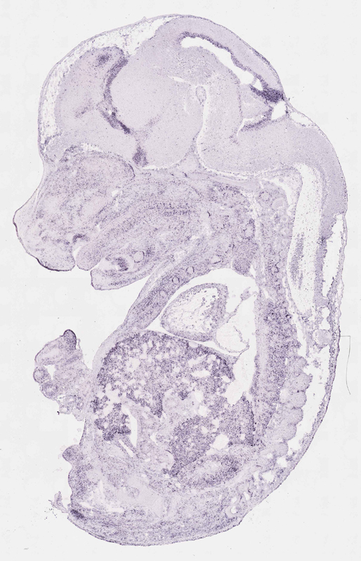
Specimen euxassay_004733_04: embryonic day 14.5 (more )
Structure Level Pattern Image Note
TS23: embryo mesenchyme Strong Regionally restricted euxassay_004733_04
TS23: liver Strong Regionally restricted euxassay_004733_04
TS23: lung Strong Regionally restricted euxassay_004733_04
TS23: foot Strong Regionally restricted euxassay_004733_04
TS23: retina Strong Regionally restricted euxassay_004733_04
TS23: telencephalon ventricular layer Strong Regionally restricted euxassay_004733_04
TS23: hindbrain Strong Regionally restricted euxassay_004733_04

Specimen euxassay_004733_05: embryonic day 14.5 (more )
Structure Level Pattern Image Note
TS23: embryo mesenchyme Strong Regionally restricted euxassay_004733_05
TS23: liver Strong Regionally restricted euxassay_004733_05
TS23: lung Strong Regionally restricted euxassay_004733_05
TS23: metanephros Strong Regionally restricted euxassay_004733_05
TS23: foot Strong Regionally restricted euxassay_004733_05
TS23: retina Strong Regionally restricted euxassay_004733_05
TS23: vibrissa Strong Regionally restricted euxassay_004733_05
TS23: telencephalon ventricular layer Strong Regionally restricted euxassay_004733_05
TS23: hindbrain Strong Regionally restricted euxassay_004733_05

Specimen euxassay_004733_06: embryonic day 14.5 (more )
Structure Level Pattern Image Note
TS23: embryo mesenchyme Strong Regionally restricted euxassay_004733_06
TS23: liver Strong Regionally restricted euxassay_004733_06
TS23: lung Strong Regionally restricted euxassay_004733_06
TS23: metanephros Strong Regionally restricted euxassay_004733_06
TS23: foot Strong Regionally restricted euxassay_004733_06
TS23: vibrissa Strong Regionally restricted euxassay_004733_06
TS23: telencephalon ventricular layer Strong Regionally restricted euxassay_004733_06
TS23: hindbrain Strong Regionally restricted euxassay_004733_06

Specimen euxassay_004733_07: embryonic day 14.5 (more )
Structure Level Pattern Image Note
TS23: embryo mesenchyme Strong Regionally restricted euxassay_004733_07
TS23: liver Strong Regionally restricted euxassay_004733_07
TS23: lung Strong Regionally restricted euxassay_004733_07
TS23: metanephros Strong Regionally restricted euxassay_004733_07
TS23: foot Strong Regionally restricted euxassay_004733_07
TS23: vibrissa Strong Regionally restricted euxassay_004733_07
TS23: telencephalon ventricular layer Strong Regionally restricted euxassay_004733_07
TS23: hindbrain Strong Regionally restricted euxassay_004733_07

Specimen euxassay_004733_08: embryonic day 14.5 (more )
Structure Level Pattern Image Note
TS23: embryo mesenchyme Strong Regionally restricted euxassay_004733_08
TS23: liver Strong Regionally restricted euxassay_004733_08
TS23: lung Strong Regionally restricted euxassay_004733_08
TS23: metanephros Strong Regionally restricted euxassay_004733_08
TS23: tail Strong Regionally restricted euxassay_004733_08
TS23: olfactory epithelium Strong Regionally restricted euxassay_004733_08
TS23: vibrissa Strong Regionally restricted euxassay_004733_08
TS23: telencephalon ventricular layer Strong Regionally restricted euxassay_004733_08
TS23: hindbrain Strong Regionally restricted euxassay_004733_08

Specimen euxassay_004733_09: embryonic day 14.5 (more )
Structure Level Pattern Image Note
TS23: embryo mesenchyme Strong Regionally restricted euxassay_004733_09
TS23: liver Strong Regionally restricted euxassay_004733_09
TS23: lung Strong Regionally restricted euxassay_004733_09
TS23: tail Strong Regionally restricted euxassay_004733_09
TS23: olfactory epithelium Strong Regionally restricted euxassay_004733_09
TS23: telencephalon ventricular layer Strong Regionally restricted euxassay_004733_09
TS23: telencephalon mantle layer Strong Regionally restricted euxassay_004733_09
TS23: hindbrain Strong Regionally restricted euxassay_004733_09

Specimen euxassay_004733_10: embryonic day 14.5 (more )
Structure Level Pattern Image Note
TS23: embryo mesenchyme Strong Regionally restricted euxassay_004733_10
TS23: liver Strong Regionally restricted euxassay_004733_10
TS23: lung Strong Regionally restricted euxassay_004733_10
TS23: tail Strong Regionally restricted euxassay_004733_10
TS23: olfactory epithelium Strong Regionally restricted euxassay_004733_10
TS23: telencephalon ventricular layer Strong Regionally restricted euxassay_004733_10
TS23: telencephalon mantle layer Strong Regionally restricted euxassay_004733_10
TS23: hindbrain Strong Regionally restricted euxassay_004733_10
TS23: midbrain ventricular layer Strong Regionally restricted euxassay_004733_10

Specimen euxassay_004733_11: embryonic day 14.5 (more )
Structure Level Pattern Image Note
TS23: embryo mesenchyme Strong Regionally restricted euxassay_004733_11
TS23: liver Strong Regionally restricted euxassay_004733_11
TS23: lung Strong Regionally restricted euxassay_004733_11
TS23: tail Strong Regionally restricted euxassay_004733_11
TS23: olfactory epithelium Strong Regionally restricted euxassay_004733_11
TS23: telencephalon ventricular layer Strong Regionally restricted euxassay_004733_11
TS23: midbrain ventricular layer Strong Regionally restricted euxassay_004733_11
TS23: hindbrain Strong Regionally restricted euxassay_004733_11
TS23: spinal cord Strong Regionally restricted euxassay_004733_11

Specimen euxassay_004733_12: embryonic day 14.5 (more )
Structure Level Pattern Image Note
TS23: embryo mesenchyme Strong Regionally restricted euxassay_004733_12
TS23: liver Strong Regionally restricted euxassay_004733_12
TS23: lung Strong Regionally restricted euxassay_004733_12
TS23: tail Strong Regionally restricted euxassay_004733_12
TS23: telencephalon ventricular layer Strong Regionally restricted euxassay_004733_12
TS23: diencephalon lateral wall ventricular layer Strong Regionally restricted euxassay_004733_12
TS23: midbrain ventricular layer Strong Regionally restricted euxassay_004733_12
TS23: hindbrain Strong Regionally restricted euxassay_004733_12

Specimen euxassay_004733_13: embryonic day 14.5 (more )
Structure Level Pattern Image Note
TS23: embryo mesenchyme Strong Regionally restricted euxassay_004733_13
TS23: liver Strong Regionally restricted euxassay_004733_13
TS23: lung Strong Regionally restricted euxassay_004733_13
TS23: tail Strong Regionally restricted euxassay_004733_13
TS23: telencephalon ventricular layer Strong Regionally restricted euxassay_004733_13
TS23: diencephalon lateral wall ventricular layer Strong Regionally restricted euxassay_004733_13
TS23: midbrain ventricular layer Strong Regionally restricted euxassay_004733_13
TS23: hindbrain Strong Regionally restricted euxassay_004733_13

Specimen euxassay_004733_14: embryonic day 14.5 (more )
Structure Level Pattern Image Note
TS23: embryo mesenchyme Strong Regionally restricted euxassay_004733_14
TS23: liver Strong Regionally restricted euxassay_004733_14
TS23: lung Strong Regionally restricted euxassay_004733_14
TS23: tail Strong Regionally restricted euxassay_004733_14
TS23: diencephalon lateral wall ventricular layer Strong Regionally restricted euxassay_004733_14
TS23: telencephalon ventricular layer Strong Regionally restricted euxassay_004733_14
TS23: midbrain ventricular layer Strong Regionally restricted euxassay_004733_14
TS23: hindbrain Strong Regionally restricted euxassay_004733_14

Specimen euxassay_004733_15: embryonic day 14.5 (more )
Structure Level Pattern Image Note
TS23: embryo mesenchyme Strong Regionally restricted euxassay_004733_15
TS23: liver Strong Regionally restricted euxassay_004733_15
TS23: lung Strong Regionally restricted euxassay_004733_15
TS23: tail Strong Regionally restricted euxassay_004733_15
TS23: telencephalon ventricular layer Strong Regionally restricted euxassay_004733_15
TS23: telencephalon mantle layer Strong Regionally restricted euxassay_004733_15
TS23: midbrain ventricular layer Strong Regionally restricted euxassay_004733_15
TS23: hindbrain Strong Regionally restricted euxassay_004733_15

Specimen euxassay_004733_16: embryonic day 14.5 (more )
Structure Level Pattern Image Note
TS23: embryo mesenchyme Strong Regionally restricted euxassay_004733_16
TS23: liver Strong Regionally restricted euxassay_004733_16
TS23: lung Strong Regionally restricted euxassay_004733_16
TS23: telencephalon ventricular layer Strong Regionally restricted euxassay_004733_16
TS23: telencephalon mantle layer Strong Regionally restricted euxassay_004733_16
TS23: midbrain ventricular layer Strong Regionally restricted euxassay_004733_16
TS23: hindbrain Strong Regionally restricted euxassay_004733_16

Specimen euxassay_004733_17: embryonic day 14.5 (more )
Structure Level Pattern Image Note
TS23: embryo mesenchyme Strong Regionally restricted euxassay_004733_17
TS23: liver Strong Regionally restricted euxassay_004733_17
TS23: lung Strong Regionally restricted euxassay_004733_17
TS23: foot Strong Regionally restricted euxassay_004733_17
TS23: olfactory epithelium Strong Regionally restricted euxassay_004733_17
TS23: telencephalon ventricular layer Strong Regionally restricted euxassay_004733_17
TS23: telencephalon mantle layer Strong Regionally restricted euxassay_004733_17
TS23: midbrain ventricular layer Strong Regionally restricted euxassay_004733_17
TS23: hindbrain Strong Regionally restricted euxassay_004733_17

Specimen euxassay_004733_18: embryonic day 14.5 (more )
Structure Level Pattern Image Note
TS23: embryo mesenchyme Strong Regionally restricted euxassay_004733_18
TS23: liver Strong Regionally restricted euxassay_004733_18
TS23: lung Strong Regionally restricted euxassay_004733_18
TS23: foot Strong Regionally restricted euxassay_004733_18
TS23: olfactory epithelium Strong Regionally restricted euxassay_004733_18
TS23: telencephalon ventricular layer Strong Regionally restricted euxassay_004733_18
TS23: hindbrain Strong Regionally restricted euxassay_004733_18

Specimen euxassay_004733_19: embryonic day 14.5 (more )
Structure Level Pattern Image Note
TS23: embryo mesenchyme Strong Regionally restricted euxassay_004733_19
TS23: liver Strong Regionally restricted euxassay_004733_19
TS23: lung Strong Regionally restricted euxassay_004733_19
TS23: foot Strong Regionally restricted euxassay_004733_19
TS23: olfactory epithelium Strong Regionally restricted euxassay_004733_19
TS23: vibrissa Strong Regionally restricted euxassay_004733_19
TS23: telencephalon ventricular layer Strong Regionally restricted euxassay_004733_19
TS23: hindbrain Strong Regionally restricted euxassay_004733_19

Specimen euxassay_004733_20: embryonic day 14.5 (more )
Structure Level Pattern Image Note
TS23: embryo mesenchyme Strong Regionally restricted euxassay_004733_20
TS23: liver Strong Regionally restricted euxassay_004733_20
TS23: lung Strong Regionally restricted euxassay_004733_20
TS23: hand Strong Regionally restricted euxassay_004733_20
TS23: foot Strong Regionally restricted euxassay_004733_20
TS23: leg Strong Regionally restricted euxassay_004733_20
TS23: vibrissa Strong Regionally restricted euxassay_004733_20
TS23: telencephalon ventricular layer Strong Regionally restricted euxassay_004733_20
TS23: hindbrain Strong Regionally restricted euxassay_004733_20

Specimen euxassay_004733_21: embryonic day 14.5 (more )
Structure Level Pattern Image Note
TS23: liver Strong Regionally restricted euxassay_004733_21
TS23: embryo mesenchyme Strong Regionally restricted euxassay_004733_21
TS23: lung Strong Regionally restricted euxassay_004733_21
TS23: hand Strong Regionally restricted euxassay_004733_21
TS23: foot Strong Regionally restricted euxassay_004733_21
TS23: leg Strong Regionally restricted euxassay_004733_21
TS23: retina Strong Regionally restricted euxassay_004733_21
TS23: vibrissa Strong Regionally restricted euxassay_004733_21
TS23: telencephalon ventricular layer Strong Regionally restricted euxassay_004733_21
TS23: hindbrain Strong Regionally restricted euxassay_004733_21

Specimen euxassay_004733_22: embryonic day 14.5 (more )
Structure Level Pattern Image Note
TS23: embryo mesenchyme Strong Regionally restricted euxassay_004733_22
TS23: liver Strong Regionally restricted euxassay_004733_22
TS23: lung Strong Regionally restricted euxassay_004733_22
TS23: hand Strong Regionally restricted euxassay_004733_22
TS23: leg Strong Regionally restricted euxassay_004733_22
TS23: foot Strong Regionally restricted euxassay_004733_22
TS23: retina Strong Regionally restricted euxassay_004733_22
TS23: vibrissa Strong Regionally restricted euxassay_004733_22
TS23: telencephalon ventricular layer Strong Regionally restricted euxassay_004733_22

Specimen euxassay_004733_23: embryonic day 14.5 (more )
Structure Level Pattern Image Note
TS23: embryo mesenchyme Strong Regionally restricted euxassay_004733_23
TS23: liver Strong Regionally restricted euxassay_004733_23
TS23: lung Strong Regionally restricted euxassay_004733_23
TS23: hand Strong Regionally restricted euxassay_004733_23
TS23: foot Strong Regionally restricted euxassay_004733_23
TS23: retina Strong Regionally restricted euxassay_004733_23
TS23: telencephalon ventricular layer Strong Regionally restricted euxassay_004733_23


Contributing Projects:
Mouse Genome Database (MGD), Gene Expression Database (GXD), Mouse Models of Human Cancer database (MMHCdb) (formerly Mouse Tumor Biology (MTB)), Gene Ontology (GO)
Citing These Resources
Funding Information
Warranty Disclaimer, Privacy Notice, Licensing, & Copyright
Send questions and comments to User Support.
last database update
12/30/2025
MGI 6.24
The Jackson Laboratory