About   Help   FAQ
Gene Expression Data
Assay Details
Assay
Reference: J:153498 Diez-Roux G, et al., A high-resolution anatomical atlas of the transcriptome in the mouse embryo. PLoS Biol. 2011;9(1):e1000582
Assay type: RNA in situ
MGI Accession ID: MGI:4827816
Gene symbol: Rrm1
Gene name: ribonucleotide reductase M1
Probe: T31328
Probe preparation: Antisense labelled with digoxigenin RNA
Visualized with: Alkaline phosphatase
Assay notes: Cryosections of fresh frozen material were fixed in 4% paraformaldehyde for 20 min. before further processing. A tyramide-biotin/streptavidin amplification step was included in the in situ hybridization procedure.
Results
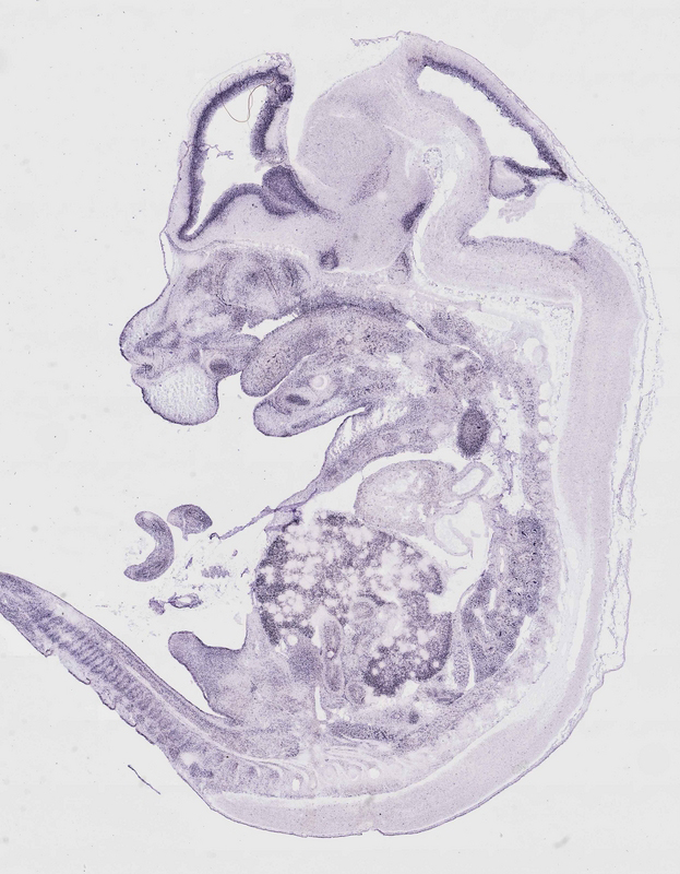
Specimen euxassay_012459_01: embryonic day 14.5 (more )
Structure Level Pattern Image Note
TS23: neural retina Strong Regionally restricted euxassay_012459_01
TS23: mandible Strong Regionally restricted euxassay_012459_01
TS23: liver lobe Strong Regionally restricted euxassay_012459_01
TS23: vibrissa Moderate Regionally restricted euxassay_012459_01
TS23: vertebral axis musculature Weak Regionally restricted euxassay_012459_01
TS23: telencephalon ventricular layer Strong Uniform euxassay_012459_01

Specimen euxassay_012459_02: embryonic day 14.5 (more )
Structure Level Pattern Image Note
TS23: neural retina Moderate Regionally restricted euxassay_012459_02
TS23: mandible Strong Regionally restricted euxassay_012459_02
TS23: liver lobe Strong Regionally restricted euxassay_012459_02
TS23: vibrissa Moderate Regionally restricted euxassay_012459_02
TS23: vertebral axis musculature Weak Regionally restricted euxassay_012459_02
TS23: telencephalon ventricular layer Strong Uniform euxassay_012459_02

Specimen euxassay_012459_03: embryonic day 14.5 (more )
Structure Level Pattern Image Note
TS23: mandible Strong Regionally restricted euxassay_012459_03
TS23: liver lobe Strong Regionally restricted euxassay_012459_03
TS23: vibrissa Moderate Regionally restricted euxassay_012459_03
TS23: lung Moderate Regionally restricted euxassay_012459_03
TS23: vertebral axis musculature Weak Regionally restricted euxassay_012459_03
TS23: telencephalon ventricular layer Strong Uniform euxassay_012459_03
TS23: rest of cerebellum ventricular layer Moderate Regionally restricted euxassay_012459_03
TS23: rest of cerebellum marginal layer Moderate Regionally restricted euxassay_012459_03

Specimen euxassay_012459_04: embryonic day 14.5 (more )
Structure Level Pattern Image Note
TS23: liver lobe Strong Regionally restricted euxassay_012459_04
TS23: vibrissa Moderate Regionally restricted euxassay_012459_04
TS23: lung Moderate Regionally restricted euxassay_012459_04
TS23: vertebral axis musculature Weak Regionally restricted euxassay_012459_04
TS23: telencephalon ventricular layer Strong Uniform euxassay_012459_04
TS23: rest of cerebellum ventricular layer Moderate Regionally restricted euxassay_012459_04
TS23: rest of cerebellum marginal layer Moderate Regionally restricted euxassay_012459_04

Specimen euxassay_012459_05: embryonic day 14.5 (more )
Structure Level Pattern Image Note
TS23: upper jaw molar Strong Regionally restricted euxassay_012459_05
TS23: lower jaw molar Strong Regionally restricted euxassay_012459_05
TS23: liver lobe Strong Regionally restricted euxassay_012459_05
TS23: submandibular gland primordium Moderate Regionally restricted euxassay_012459_05
TS23: vibrissa Moderate Regionally restricted euxassay_012459_05
TS23: renal cortex Moderate Regionally restricted euxassay_012459_05
TS23: lung Moderate Regionally restricted euxassay_012459_05
TS23: vertebral axis musculature Weak Regionally restricted euxassay_012459_05
TS23: telencephalon ventricular layer Strong Uniform euxassay_012459_05
TS23: rest of cerebellum ventricular layer Moderate Regionally restricted euxassay_012459_05
TS23: rest of cerebellum marginal layer Moderate Regionally restricted euxassay_012459_05

Specimen euxassay_012459_06: embryonic day 14.5 (more )
Structure Level Pattern Image Note
TS23: liver lobe Strong Regionally restricted euxassay_012459_06
TS23: submandibular gland primordium Moderate Regionally restricted euxassay_012459_06
TS23: olfactory epithelium Moderate Regionally restricted euxassay_012459_06
TS23: renal cortex Moderate Regionally restricted euxassay_012459_06
TS23: lung Moderate Regionally restricted euxassay_012459_06
TS23: vertebral axis musculature Weak Regionally restricted euxassay_012459_06
TS23: telencephalon ventricular layer Strong Uniform euxassay_012459_06
TS23: rest of cerebellum ventricular layer Weak Regionally restricted euxassay_012459_06
TS23: rest of cerebellum marginal layer Weak Regionally restricted euxassay_012459_06

Specimen euxassay_012459_07: embryonic day 14.5 (more )
Structure Level Pattern Image Note
TS23: liver lobe Strong Regionally restricted euxassay_012459_07
TS23: submandibular gland primordium Moderate Regionally restricted euxassay_012459_07
TS23: olfactory epithelium Moderate Regionally restricted euxassay_012459_07
TS23: renal cortex Moderate Regionally restricted euxassay_012459_07
TS23: lung Moderate Regionally restricted euxassay_012459_07
TS23: vertebral axis musculature Weak Regionally restricted euxassay_012459_07
TS23: telencephalon ventricular layer Strong Uniform euxassay_012459_07
TS23: rest of cerebellum ventricular layer Weak Regionally restricted euxassay_012459_07
TS23: rest of cerebellum marginal layer Weak Regionally restricted euxassay_012459_07
TS23: midbrain ventricular layer Strong Regionally restricted euxassay_012459_07

Specimen euxassay_012459_08: embryonic day 14.5 (more )
Structure Level Pattern Image Note
TS23: upper jaw incisor Strong Regionally restricted euxassay_012459_08
TS23: lower jaw incisor Strong Regionally restricted euxassay_012459_08
TS23: liver lobe Strong Regionally restricted euxassay_012459_08
TS23: submandibular gland primordium Moderate Regionally restricted euxassay_012459_08
TS23: olfactory epithelium Moderate Regionally restricted euxassay_012459_08
TS23: renal cortex Moderate Regionally restricted euxassay_012459_08
TS23: lung Moderate Regionally restricted euxassay_012459_08
TS23: vertebral axis musculature Weak Regionally restricted euxassay_012459_08
TS23: telencephalon ventricular layer Strong Uniform euxassay_012459_08
TS23: olfactory cortex ventricular layer Strong Uniform euxassay_012459_08
TS23: rest of cerebellum ventricular layer Weak Regionally restricted euxassay_012459_08
TS23: rest of cerebellum marginal layer Weak Regionally restricted euxassay_012459_08
TS23: midbrain ventricular layer Strong Regionally restricted euxassay_012459_08

Specimen euxassay_012459_09: embryonic day 14.5 (more )
Structure Level Pattern Image Note
TS23: upper jaw incisor Strong Regionally restricted euxassay_012459_09
TS23: lower jaw incisor Strong Regionally restricted euxassay_012459_09
TS23: liver lobe Strong Regionally restricted euxassay_012459_09
TS23: thymus primordium Strong Regionally restricted euxassay_012459_09
TS23: olfactory epithelium Moderate Regionally restricted euxassay_012459_09
TS23: lung Moderate Regionally restricted euxassay_012459_09
TS23: vertebral axis musculature Weak Regionally restricted euxassay_012459_09
TS23: olfactory cortex ventricular layer Strong Uniform euxassay_012459_09
TS23: telencephalon ventricular layer Strong Uniform euxassay_012459_09
TS23: rest of cerebellum ventricular layer Moderate Regionally restricted euxassay_012459_09
TS23: rest of cerebellum marginal layer Moderate Regionally restricted euxassay_012459_09
TS23: pons ventricular layer Weak Regionally restricted euxassay_012459_09
TS23: midbrain ventricular layer Strong Regionally restricted euxassay_012459_09
TS23: hypothalamus ventricular layer Strong Regionally restricted euxassay_012459_09

Specimen euxassay_012459_10: embryonic day 14.5 (more )
Structure Level Pattern Image Note
TS23: liver lobe Strong Regionally restricted euxassay_012459_10
TS23: thymus primordium Strong Regionally restricted euxassay_012459_10
TS23: olfactory epithelium Moderate Regionally restricted euxassay_012459_10
TS23: lung Moderate Regionally restricted euxassay_012459_10
TS23: vertebral axis musculature Weak Regionally restricted euxassay_012459_10
TS23: tail mesenchyme Weak Regionally restricted euxassay_012459_10
TS23: olfactory cortex ventricular layer Strong Uniform euxassay_012459_10
TS23: telencephalon ventricular layer Strong Uniform euxassay_012459_10
TS23: pons ventricular layer Weak Regionally restricted euxassay_012459_10
TS23: rest of cerebellum ventricular layer Moderate Regionally restricted euxassay_012459_10
TS23: rest of cerebellum marginal layer Moderate Regionally restricted euxassay_012459_10
TS23: midbrain ventricular layer Strong Regionally restricted euxassay_012459_10
TS23: hypothalamus ventricular layer Strong Regionally restricted euxassay_012459_10
TS23: diencephalon lateral wall ventricular layer Strong Regionally restricted euxassay_012459_10

Specimen euxassay_012459_11: embryonic day 14.5 (more )
Structure Level Pattern Image Note
TS23: liver lobe Moderate Regionally restricted euxassay_012459_11
TS23: thymus primordium Strong Regionally restricted euxassay_012459_11
TS23: olfactory epithelium Moderate Regionally restricted euxassay_012459_11
TS23: lung Moderate Regionally restricted euxassay_012459_11
TS23: vertebral axis musculature Weak Regionally restricted euxassay_012459_11
TS23: tail mesenchyme Weak Regionally restricted euxassay_012459_11
TS23: rest of cerebellum ventricular layer Weak Regionally restricted euxassay_012459_11
TS23: rest of cerebellum marginal layer Weak Regionally restricted euxassay_012459_11
TS23: pons ventricular layer Weak Regionally restricted euxassay_012459_11
TS23: midbrain ventricular layer Strong Regionally restricted euxassay_012459_11
TS23: diencephalon lateral wall ventricular layer Strong Regionally restricted euxassay_012459_11
TS23: hypothalamus ventricular layer Strong Regionally restricted euxassay_012459_11

Specimen euxassay_012459_12: embryonic day 14.5 (more )
Structure Level Pattern Image Note
TS23: upper jaw incisor Moderate Regionally restricted euxassay_012459_12
TS23: lower jaw incisor Moderate Regionally restricted euxassay_012459_12
TS23: liver lobe Moderate Regionally restricted euxassay_012459_12
TS23: thymus primordium Strong Regionally restricted euxassay_012459_12
TS23: olfactory epithelium Moderate Regionally restricted euxassay_012459_12
TS23: lung Moderate Regionally restricted euxassay_012459_12
TS23: vertebral axis musculature Weak Regionally restricted euxassay_012459_12
TS23: tail mesenchyme Weak Regionally restricted euxassay_012459_12
TS23: telencephalon ventricular layer Strong Uniform euxassay_012459_12
TS23: olfactory cortex ventricular layer Strong Uniform euxassay_012459_12
TS23: midbrain ventricular layer Strong Regionally restricted euxassay_012459_12
TS23: diencephalon lateral wall ventricular layer Strong Regionally restricted euxassay_012459_12
TS23: hypothalamus ventricular layer Strong Regionally restricted euxassay_012459_12

Specimen euxassay_012459_13: embryonic day 14.5 (more )
Structure Level Pattern Image Note
TS23: upper jaw incisor Strong Regionally restricted euxassay_012459_13
TS23: lower jaw incisor Strong Regionally restricted euxassay_012459_13
TS23: liver lobe Strong Regionally restricted euxassay_012459_13
TS23: thymus primordium Strong Regionally restricted euxassay_012459_13
TS23: olfactory epithelium Moderate Regionally restricted euxassay_012459_13
TS23: lung Moderate Regionally restricted euxassay_012459_13
TS23: tail mesenchyme Weak Regionally restricted euxassay_012459_13
TS23: vertebral axis musculature Weak Regionally restricted euxassay_012459_13
TS23: olfactory cortex ventricular layer Strong Uniform euxassay_012459_13
TS23: telencephalon ventricular layer Strong Uniform euxassay_012459_13
TS23: pons ventricular layer Weak Regionally restricted euxassay_012459_13
TS23: rest of cerebellum ventricular layer Weak Regionally restricted euxassay_012459_13
TS23: rest of cerebellum marginal layer Weak Regionally restricted euxassay_012459_13
TS23: hypothalamus ventricular layer Strong Regionally restricted euxassay_012459_13
TS23: diencephalon lateral wall ventricular layer Strong Regionally restricted euxassay_012459_13
TS23: midbrain ventricular layer Strong Regionally restricted euxassay_012459_13

Specimen euxassay_012459_14: embryonic day 14.5 (more )
Structure Level Pattern Image Note
TS23: liver lobe Strong Regionally restricted euxassay_012459_14
TS23: olfactory epithelium Moderate Regionally restricted euxassay_012459_14
TS23: renal cortex Moderate Regionally restricted euxassay_012459_14
TS23: lung Moderate Regionally restricted euxassay_012459_14
TS23: vertebral axis musculature Weak Regionally restricted euxassay_012459_14
TS23: tail mesenchyme Weak Regionally restricted euxassay_012459_14
TS23: olfactory cortex ventricular layer Strong Uniform euxassay_012459_14
TS23: telencephalon ventricular layer Strong Uniform euxassay_012459_14
TS23: rest of cerebellum ventricular layer Weak Regionally restricted euxassay_012459_14
TS23: pons ventricular layer Weak Regionally restricted euxassay_012459_14
TS23: midbrain ventricular layer Strong Regionally restricted euxassay_012459_14

Specimen euxassay_012459_15: embryonic day 14.5 (more )
Structure Level Pattern Image Note
TS23: liver lobe Strong Regionally restricted euxassay_012459_15
TS23: submandibular gland primordium Moderate Regionally restricted euxassay_012459_15
TS23: olfactory epithelium Moderate Regionally restricted euxassay_012459_15
TS23: renal cortex Moderate Regionally restricted euxassay_012459_15
TS23: lung Moderate Regionally restricted euxassay_012459_15
TS23: vertebral axis musculature Weak Regionally restricted euxassay_012459_15
TS23: telencephalon ventricular layer Strong Uniform euxassay_012459_15
TS23: rest of cerebellum ventricular layer Moderate Regionally restricted euxassay_012459_15
TS23: rest of cerebellum marginal layer Moderate Regionally restricted euxassay_012459_15
TS23: midbrain ventricular layer Strong Regionally restricted euxassay_012459_15

Specimen euxassay_012459_16: embryonic day 14.5 (more )
Structure Level Pattern Image Note
TS23: liver lobe Strong Regionally restricted euxassay_012459_16
TS23: submandibular gland primordium Moderate Regionally restricted euxassay_012459_16
TS23: olfactory epithelium Moderate Regionally restricted euxassay_012459_16
TS23: vibrissa Moderate Regionally restricted euxassay_012459_16
TS23: renal cortex Moderate Regionally restricted euxassay_012459_16
TS23: lung Moderate Regionally restricted euxassay_012459_16
TS23: vertebral axis musculature Weak Regionally restricted euxassay_012459_16
TS23: telencephalon ventricular layer Strong Uniform euxassay_012459_16
TS23: rest of cerebellum marginal layer Moderate Regionally restricted euxassay_012459_16
TS23: rest of cerebellum ventricular layer Moderate Regionally restricted euxassay_012459_16
TS23: midbrain ventricular layer Strong Regionally restricted euxassay_012459_16

Specimen euxassay_012459_17: embryonic day 14.5 (more )
Structure Level Pattern Image Note
TS23: lower jaw molar Strong Regionally restricted euxassay_012459_17
TS23: upper jaw molar Strong Regionally restricted euxassay_012459_17
TS23: liver lobe Strong Regionally restricted euxassay_012459_17
TS23: submandibular gland primordium Moderate Regionally restricted euxassay_012459_17
TS23: vibrissa Moderate Regionally restricted euxassay_012459_17
TS23: renal cortex Moderate Regionally restricted euxassay_012459_17
TS23: lung Moderate Regionally restricted euxassay_012459_17
TS23: vertebral axis musculature Weak Regionally restricted euxassay_012459_17
TS23: telencephalon ventricular layer Strong Uniform euxassay_012459_17
TS23: rest of cerebellum ventricular layer Moderate Regionally restricted euxassay_012459_17
TS23: rest of cerebellum marginal layer Moderate Regionally restricted euxassay_012459_17
TS23: midbrain ventricular layer Strong Regionally restricted euxassay_012459_17

Specimen euxassay_012459_18: embryonic day 14.5 (more )
Structure Level Pattern Image Note
TS23: liver lobe Strong Regionally restricted euxassay_012459_18
TS23: vibrissa Moderate Regionally restricted euxassay_012459_18
TS23: lung Moderate Regionally restricted euxassay_012459_18
TS23: vertebral axis musculature Weak Regionally restricted euxassay_012459_18
TS23: telencephalon ventricular layer Strong Uniform euxassay_012459_18
TS23: rest of cerebellum ventricular layer Moderate Regionally restricted euxassay_012459_18
TS23: rest of cerebellum marginal layer Moderate Regionally restricted euxassay_012459_18

Specimen euxassay_012459_19: embryonic day 14.5 (more )
Structure Level Pattern Image Note
TS23: mandible Moderate Regionally restricted euxassay_012459_19
TS23: liver lobe Strong Regionally restricted euxassay_012459_19
TS23: vibrissa Moderate Regionally restricted euxassay_012459_19
TS23: lung Moderate Regionally restricted euxassay_012459_19
TS23: vertebral axis musculature Weak Regionally restricted euxassay_012459_19
TS23: telencephalon ventricular layer Strong Uniform euxassay_012459_19
TS23: rest of cerebellum ventricular layer Moderate Regionally restricted euxassay_012459_19
TS23: rest of cerebellum marginal layer Moderate Regionally restricted euxassay_012459_19

Specimen euxassay_012459_20: embryonic day 14.5 (more )
Structure Level Pattern Image Note
TS23: neural retina Moderate Regionally restricted euxassay_012459_20
TS23: mandible Moderate Regionally restricted euxassay_012459_20
TS23: liver lobe Strong Regionally restricted euxassay_012459_20
TS23: vibrissa Moderate Regionally restricted euxassay_012459_20
TS23: lung Moderate Regionally restricted euxassay_012459_20
TS23: vertebral axis musculature Weak Regionally restricted euxassay_012459_20
TS23: telencephalon ventricular layer Strong Uniform euxassay_012459_20
TS23: rest of cerebellum ventricular layer Moderate Regionally restricted euxassay_012459_20
TS23: rest of cerebellum marginal layer Moderate Regionally restricted euxassay_012459_20

Specimen euxassay_012459_21: embryonic day 14.5 (more )
Structure Level Pattern Image Note
TS23: neural retina Moderate Regionally restricted euxassay_012459_21
TS23: mandible Moderate Regionally restricted euxassay_012459_21
TS23: liver lobe Strong Regionally restricted euxassay_012459_21
TS23: vertebral axis musculature Weak Regionally restricted euxassay_012459_21
TS23: telencephalon ventricular layer Strong Uniform euxassay_012459_21

Specimen euxassay_012459_22: embryonic day 14.5 (more )
Structure Level Pattern Image Note
TS23: neural retina Moderate Regionally restricted euxassay_012459_22
TS23: liver lobe Strong Regionally restricted euxassay_012459_22
TS23: vertebral axis musculature Weak Regionally restricted euxassay_012459_22
TS23: telencephalon ventricular layer Strong Uniform euxassay_012459_22


Contributing Projects:
Mouse Genome Database (MGD), Gene Expression Database (GXD), Mouse Models of Human Cancer database (MMHCdb) (formerly Mouse Tumor Biology (MTB)), Gene Ontology (GO)
Citing These Resources
Funding Information
Warranty Disclaimer, Privacy Notice, Licensing, & Copyright
Send questions and comments to User Support.
last database update
12/30/2025
MGI 6.24
The Jackson Laboratory