About   Help   FAQ
Gene Expression Data
Assay Details
Assay
Reference: J:153498 Diez-Roux G, et al., A high-resolution anatomical atlas of the transcriptome in the mouse embryo. PLoS Biol. 2011;9(1):e1000582
Assay type: RNA in situ
MGI Accession ID: MGI:4827805
Gene symbol: Rprd1a
Gene name: regulation of nuclear pre-mRNA domain containing 1A
Probe: MGC clone 29396
Probe preparation: Antisense labelled with digoxigenin RNA
Visualized with: Alkaline phosphatase
Assay notes: Cryosections of fresh frozen material were fixed in 4% paraformaldehyde for 20 min. before further processing. A tyramide-biotin/streptavidin amplification step was included in the in situ hybridization procedure.
Results
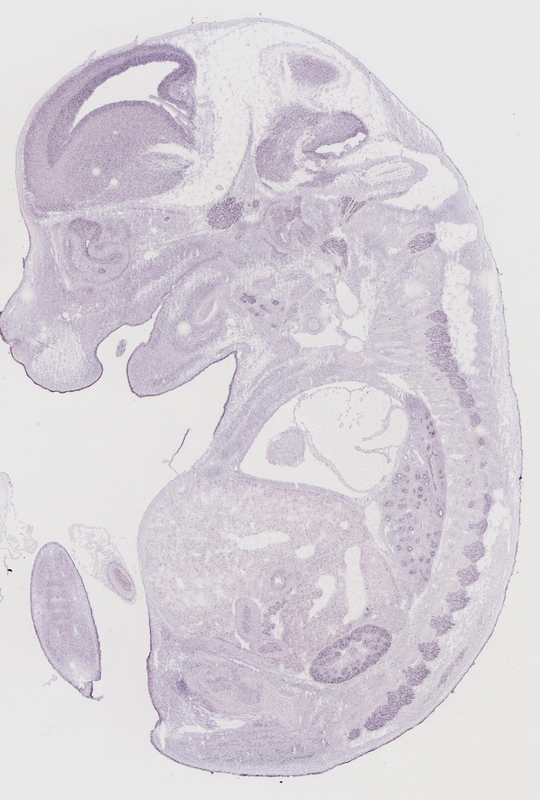
Specimen euxassay_001211_08: embryonic day 14.5 (more )
Structure Level Pattern Image Note
TS23: submandibular gland primordium Weak Regionally restricted euxassay_001211_08

Specimen euxassay_001211_09: embryonic day 14.5 (more )
Structure Level Pattern Image Note
TS23: renal calyx Weak Regionally restricted euxassay_001211_09
TS23: submandibular gland primordium Weak Regionally restricted euxassay_001211_09

Specimen euxassay_001211_10: embryonic day 14.5 (more )
Structure Level Pattern Image Note
TS23: renal calyx Weak Regionally restricted euxassay_001211_10
TS23: submandibular gland primordium Weak Regionally restricted euxassay_001211_10

Specimen euxassay_001211_11: embryonic day 14.5 (more )
Structure Level Pattern Image Note
TS23: renal calyx Weak Regionally restricted euxassay_001211_11
TS23: submandibular gland primordium Weak Regionally restricted euxassay_001211_11
TS23: dorsal root ganglion Weak Regionally restricted euxassay_001211_11

Specimen euxassay_001211_12: embryonic day 14.5 (more )
Structure Level Pattern Image Note
TS23: renal calyx Weak Regionally restricted euxassay_001211_12

Specimen euxassay_001211_13: embryonic day 14.5 (more )
Structure Level Pattern Image Note
TS23: renal calyx Weak Regionally restricted euxassay_001211_13
TS23: dorsal root ganglion Weak Regionally restricted euxassay_001211_13

Specimen euxassay_001211_18: embryonic day 14.5 (more )
Structure Level Pattern Image Note
TS23: dorsal root ganglion Weak Regionally restricted euxassay_001211_18

Specimen euxassay_001211_19: embryonic day 14.5 (more )
Structure Level Pattern Image Note
TS23: renal calyx Weak Regionally restricted euxassay_001211_19
TS23: dorsal root ganglion Weak Regionally restricted euxassay_001211_19

Specimen euxassay_001211_20: embryonic day 14.5 (more )
Structure Level Pattern Image Note
TS23: renal calyx Weak Regionally restricted euxassay_001211_20
TS23: submandibular gland primordium Weak Regionally restricted euxassay_001211_20
TS23: dorsal root ganglion Weak Regionally restricted euxassay_001211_20

Specimen euxassay_001211_21: embryonic day 14.5 (more )
Structure Level Pattern Image Note
TS23: renal calyx Weak Regionally restricted euxassay_001211_21
TS23: submandibular gland primordium Weak Regionally restricted euxassay_001211_21

Specimen euxassay_001211_22: embryonic day 14.5 (more )
Structure Level Pattern Image Note
TS23: renal calyx Weak Regionally restricted euxassay_001211_22
TS23: submandibular gland primordium Weak Regionally restricted euxassay_001211_22

Specimen euxassay_001211_23: embryonic day 14.5 (more )
Structure Level Pattern Image Note
TS23: renal calyx Weak Regionally restricted euxassay_001211_23

Specimen euxassay_001211_24: embryonic day 14.5 (more )
Structure Level Pattern Image Note
TS23: renal calyx Weak Regionally restricted euxassay_001211_24


Contributing Projects:
Mouse Genome Database (MGD), Gene Expression Database (GXD), Mouse Models of Human Cancer database (MMHCdb) (formerly Mouse Tumor Biology (MTB)), Gene Ontology (GO)
Citing These Resources
Funding Information
Warranty Disclaimer, Privacy Notice, Licensing, & Copyright
Send questions and comments to User Support.
last database update
12/30/2025
MGI 6.24
The Jackson Laboratory