About   Help   FAQ
Gene Expression Data
Assay Details
Assay
Reference: J:153498 Diez-Roux G, et al., A high-resolution anatomical atlas of the transcriptome in the mouse embryo. PLoS Biol. 2011;9(1):e1000582
Assay type: RNA in situ
MGI Accession ID: MGI:4827747
Gene symbol: Ripk3
Gene name: receptor-interacting serine-threonine kinase 3
Probe: MGC clone 35896
Probe preparation: Antisense labelled with digoxigenin RNA
Visualized with: Alkaline phosphatase
Assay notes: Cryosections of fresh frozen material were fixed in 4% paraformaldehyde for 20 min. before further processing. A tyramide-biotin/streptavidin amplification step was included in the in situ hybridization procedure.
Results
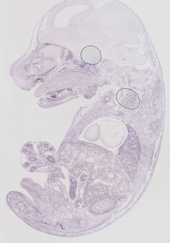
Specimen euxassay_004832_09: embryonic day 14.5 (more )
Structure Level Pattern Image Note
TS23: upper jaw molar Moderate Regionally restricted euxassay_004832_09
TS23: lower jaw molar Moderate Regionally restricted euxassay_004832_09

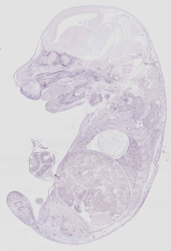
Specimen euxassay_004832_10: embryonic day 14.5 (more )
Structure Level Pattern Image Note
TS23: thymus primordium Moderate Uniform euxassay_004832_10
TS23: upper jaw molar Moderate Regionally restricted euxassay_004832_10
TS23: lower jaw molar Moderate Regionally restricted euxassay_004832_10
TS23: turbinate bone primordium Weak Regionally restricted euxassay_004832_10

Specimen euxassay_004832_11: embryonic day 14.5 (more )
Structure Level Pattern Image Note
TS23: thymus primordium Moderate Uniform euxassay_004832_11
TS23: turbinate bone primordium Weak Regionally restricted euxassay_004832_11

Specimen euxassay_004832_12: embryonic day 14.5 (more )
Structure Level Pattern Image Note
TS23: thymus primordium Moderate Uniform euxassay_004832_12
TS23: lower jaw incisor Moderate Regionally restricted euxassay_004832_12
TS23: turbinate bone primordium Moderate Regionally restricted euxassay_004832_12

Specimen euxassay_004832_13: embryonic day 14.5 (more )
Structure Level Pattern Image Note
TS23: thymus primordium Moderate Uniform euxassay_004832_13
TS23: upper jaw incisor Moderate Regionally restricted euxassay_004832_13
TS23: lower jaw incisor Moderate Regionally restricted euxassay_004832_13
TS23: turbinate bone primordium Moderate Regionally restricted euxassay_004832_13

Specimen euxassay_004832_14: embryonic day 14.5 (more )
Structure Level Pattern Image Note
TS23: thymus primordium Moderate Uniform euxassay_004832_14
TS23: upper jaw incisor Moderate Regionally restricted euxassay_004832_14
TS23: lower jaw incisor Moderate Regionally restricted euxassay_004832_14
TS23: turbinate bone primordium Moderate Regionally restricted euxassay_004832_14

Specimen euxassay_004832_15: embryonic day 14.5 (more )
Structure Level Pattern Image Note
TS23: thymus primordium Moderate Uniform euxassay_004832_15

Specimen euxassay_004832_17: embryonic day 14.5 (more )
Structure Level Pattern Image Note
TS23: upper jaw incisor Moderate Regionally restricted euxassay_004832_17
TS23: lower jaw incisor Moderate Regionally restricted euxassay_004832_17
TS23: turbinate bone primordium Moderate Regionally restricted euxassay_004832_17

Specimen euxassay_004832_18: embryonic day 14.5 (more )
Structure Level Pattern Image Note
TS23: upper jaw incisor Moderate Regionally restricted euxassay_004832_18
TS23: lower jaw incisor Moderate Regionally restricted euxassay_004832_18
TS23: turbinate bone primordium Moderate Regionally restricted euxassay_004832_18

Specimen euxassay_004832_19: embryonic day 14.5 (more )
Structure Level Pattern Image Note
TS23: turbinate bone primordium Moderate Regionally restricted euxassay_004832_19

Specimen euxassay_004832_20: embryonic day 14.5 (more )
Structure Level Pattern Image Note
TS23: upper jaw molar Moderate Regionally restricted euxassay_004832_20
TS23: lower jaw molar Moderate Regionally restricted euxassay_004832_20
TS23: turbinate bone primordium Moderate Regionally restricted euxassay_004832_20

Specimen euxassay_004832_21: embryonic day 14.5 (more )
Structure Level Pattern Image Note
TS23: upper jaw molar Moderate Regionally restricted euxassay_004832_21
TS23: lower jaw molar Moderate Regionally restricted euxassay_004832_21
TS23: turbinate bone primordium Moderate Regionally restricted euxassay_004832_21


Contributing Projects:
Mouse Genome Database (MGD), Gene Expression Database (GXD), Mouse Models of Human Cancer database (MMHCdb) (formerly Mouse Tumor Biology (MTB)), Gene Ontology (GO)
Citing These Resources
Funding Information
Warranty Disclaimer, Privacy Notice, Licensing, & Copyright
Send questions and comments to User Support.
last database update
12/30/2025
MGI 6.24
The Jackson Laboratory