About   Help   FAQ
Gene Expression Data
Assay Details
Assay
Reference: J:153498 Diez-Roux G, et al., A high-resolution anatomical atlas of the transcriptome in the mouse embryo. PLoS Biol. 2011;9(1):e1000582
Assay type: RNA in situ
MGI Accession ID: MGI:4827746
Gene symbol: Riok3
Gene name: RIO kinase 3
Probe: MGC clone 25438
Probe preparation: Antisense labelled with digoxigenin RNA
Visualized with: Alkaline phosphatase
Assay notes: Cryosections of fresh frozen material were fixed in 4% paraformaldehyde for 20 min. before further processing. A tyramide-biotin/streptavidin amplification step was included in the in situ hybridization procedure.
Results
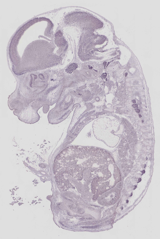
Specimen euxassay_006646_01: embryonic day 14.5 (more )
Structure Level Pattern Image Note
TS23: neural retina Strong Regionally restricted euxassay_006646_01

Specimen euxassay_006646_02: embryonic day 14.5 (more )
Structure Level Pattern Image Note
TS23: neural retina Strong Regionally restricted euxassay_006646_02

Specimen euxassay_006646_03: embryonic day 14.5 (more )
Structure Level Pattern Image Note
TS23: neural retina Strong Regionally restricted euxassay_006646_03

Specimen euxassay_006646_04: embryonic day 14.5 (more )
Structure Level Pattern Image Note
TS23: trigeminal ganglion Moderate Regionally restricted euxassay_006646_04
TS23: facial ganglion Moderate Regionally restricted euxassay_006646_04
TS23: neural retina Moderate Regionally restricted euxassay_006646_04

Specimen euxassay_006646_05: embryonic day 14.5 (more )
Structure Level Pattern Image Note
TS23: trigeminal ganglion Moderate Regionally restricted euxassay_006646_05
TS23: facial ganglion Moderate Regionally restricted euxassay_006646_05
TS23: neural retina Moderate Regionally restricted euxassay_006646_05

Specimen euxassay_006646_06: embryonic day 14.5 (more )
Structure Level Pattern Image Note
TS23: trigeminal ganglion Moderate Regionally restricted euxassay_006646_06
TS23: facial ganglion Moderate Regionally restricted euxassay_006646_06

Specimen euxassay_006646_07: embryonic day 14.5 (more )
Structure Level Pattern Image Note
TS23: trigeminal ganglion Moderate Regionally restricted euxassay_006646_07
TS23: glossopharyngeal ganglion Moderate Regionally restricted euxassay_006646_07
TS23: vestibulo-cochlear ganglion Moderate Regionally restricted euxassay_006646_07
TS23: vibrissa Moderate Regionally restricted euxassay_006646_07

Specimen euxassay_006646_08: embryonic day 14.5 (more )
Structure Level Pattern Image Note
TS23: vestibulo-cochlear ganglion Moderate Regionally restricted euxassay_006646_08
TS23: glossopharyngeal ganglion Moderate Regionally restricted euxassay_006646_08
TS23: trigeminal ganglion Moderate Regionally restricted euxassay_006646_08
TS23: vibrissa Moderate Regionally restricted euxassay_006646_08
TS23: dorsal root ganglion Moderate Regionally restricted euxassay_006646_08

Specimen euxassay_006646_09: embryonic day 14.5 (more )
Structure Level Pattern Image Note
TS23: trigeminal ganglion Moderate Regionally restricted euxassay_006646_09
TS23: vagus ganglion Moderate Regionally restricted euxassay_006646_09
TS23: vestibulo-cochlear ganglion Moderate Regionally restricted euxassay_006646_09
TS23: vibrissa Moderate Regionally restricted euxassay_006646_09
TS23: dorsal root ganglion Moderate Regionally restricted euxassay_006646_09
TS23: olfactory epithelium Moderate Regionally restricted euxassay_006646_09

Specimen euxassay_006646_10: embryonic day 14.5 (more )
Structure Level Pattern Image Note
TS23: trigeminal ganglion Moderate Regionally restricted euxassay_006646_10
TS23: dorsal root ganglion Moderate Regionally restricted euxassay_006646_10
TS23: cervical ganglion Moderate Regionally restricted euxassay_006646_10
TS23: olfactory epithelium Moderate Regionally restricted euxassay_006646_10

Specimen euxassay_006646_11: embryonic day 14.5 (more )
Structure Level Pattern Image Note
TS23: trigeminal nerve Moderate Regionally restricted euxassay_006646_11
TS23: dorsal root ganglion Moderate Regionally restricted euxassay_006646_11
TS23: cervico-thoracic ganglion Moderate Regionally restricted euxassay_006646_11
TS23: olfactory epithelium Moderate Regionally restricted euxassay_006646_11

Specimen euxassay_006646_12: embryonic day 14.5 (more )
Structure Level Pattern Image Note
TS23: dorsal root ganglion Moderate Regionally restricted euxassay_006646_12
TS23: olfactory epithelium Moderate Regionally restricted euxassay_006646_12

Specimen euxassay_006646_13: embryonic day 14.5 (more )
Structure Level Pattern Image Note
TS23: olfactory epithelium Moderate Regionally restricted euxassay_006646_13

Specimen euxassay_006646_14: embryonic day 14.5 (more )
Structure Level Pattern Image Note
TS23: thoracic ganglion Moderate Regionally restricted euxassay_006646_14
TS23: olfactory epithelium Moderate Regionally restricted euxassay_006646_14

Specimen euxassay_006646_15: embryonic day 14.5 (more )
Structure Level Pattern Image Note
TS23: thoracic ganglion Moderate Regionally restricted euxassay_006646_15

Specimen euxassay_006646_16: embryonic day 14.5 (more )
Structure Level Pattern Image Note
TS23: dorsal root ganglion Moderate Regionally restricted euxassay_006646_16
TS23: thoracic ganglion Moderate Regionally restricted euxassay_006646_16
TS23: olfactory epithelium Moderate Regionally restricted euxassay_006646_16

Specimen euxassay_006646_17: embryonic day 14.5 (more )
Structure Level Pattern Image Note
TS23: dorsal root ganglion Moderate Regionally restricted euxassay_006646_17
TS23: olfactory epithelium Moderate Regionally restricted euxassay_006646_17

Specimen euxassay_006646_18: embryonic day 14.5 (more )
Structure Level Pattern Image Note
TS23: vestibulo-cochlear ganglion Moderate Regionally restricted euxassay_006646_18
TS23: trigeminal nerve Moderate Regionally restricted euxassay_006646_18
TS23: trigeminal ganglion Moderate Regionally restricted euxassay_006646_18
TS23: dorsal root ganglion Moderate Regionally restricted euxassay_006646_18
TS23: cervico-thoracic ganglion Moderate Regionally restricted euxassay_006646_18
TS23: cervical ganglion Moderate Regionally restricted euxassay_006646_18
TS23: olfactory epithelium Moderate Regionally restricted euxassay_006646_18

Specimen euxassay_006646_19: embryonic day 14.5 (more )
Structure Level Pattern Image Note
TS23: vestibulo-cochlear ganglion Moderate Regionally restricted euxassay_006646_19
TS23: trigeminal ganglion Moderate Regionally restricted euxassay_006646_19
TS23: glossopharyngeal ganglion Moderate Regionally restricted euxassay_006646_19
TS23: dorsal root ganglion Moderate Regionally restricted euxassay_006646_19
TS23: olfactory epithelium Moderate Regionally restricted euxassay_006646_19

Specimen euxassay_006646_20: embryonic day 14.5 (more )
Structure Level Pattern Image Note
TS23: glossopharyngeal ganglion Moderate Regionally restricted euxassay_006646_20
TS23: trigeminal ganglion Moderate Regionally restricted euxassay_006646_20
TS23: vestibulo-cochlear ganglion Moderate Regionally restricted euxassay_006646_20
TS23: olfactory epithelium Moderate Regionally restricted euxassay_006646_20

Specimen euxassay_006646_21: embryonic day 14.5 (more )
Structure Level Pattern Image Note
TS23: trigeminal ganglion Moderate Regionally restricted euxassay_006646_21
TS23: facial ganglion Moderate Regionally restricted euxassay_006646_21
TS23: olfactory epithelium Moderate Regionally restricted euxassay_006646_21

Specimen euxassay_006646_22: embryonic day 14.5 (more )
Structure Level Pattern Image Note
TS23: trigeminal ganglion Moderate Regionally restricted euxassay_006646_22
TS23: facial ganglion Moderate Regionally restricted euxassay_006646_22
TS23: vibrissa Moderate Regionally restricted euxassay_006646_22

Specimen euxassay_006646_23: embryonic day 14.5 (more )
Structure Level Pattern Image Note
TS23: trigeminal ganglion Moderate Regionally restricted euxassay_006646_23
TS23: facial ganglion Moderate Regionally restricted euxassay_006646_23
TS23: vibrissa Moderate Regionally restricted euxassay_006646_23

Specimen euxassay_006646_24: embryonic day 14.5 (more )
Structure Level Pattern Image Note
TS23: vibrissa Moderate Regionally restricted euxassay_006646_24
TS23: neural retina Moderate Regionally restricted euxassay_006646_24


Contributing Projects:
Mouse Genome Database (MGD), Gene Expression Database (GXD), Mouse Models of Human Cancer database (MMHCdb) (formerly Mouse Tumor Biology (MTB)), Gene Ontology (GO)
Citing These Resources
Funding Information
Warranty Disclaimer, Privacy Notice, Licensing, & Copyright
Send questions and comments to User Support.
last database update
10/07/2025
MGI 6.24
The Jackson Laboratory