About   Help   FAQ
Gene Expression Data
Assay Details
Assay
Reference: J:153498 Diez-Roux G, et al., A high-resolution anatomical atlas of the transcriptome in the mouse embryo. PLoS Biol. 2011;9(1):e1000582
Assay type: RNA in situ
MGI Accession ID: MGI:4827722
Gene symbol: Rgs5
Gene name: regulator of G-protein signaling 5
Probe: IMAGE clone 1512124
Probe preparation: Antisense labelled with digoxigenin RNA
Visualized with: Alkaline phosphatase
Assay notes: Cryosections of fresh frozen material were fixed in 4% paraformaldehyde for 20 min. before further processing. A tyramide-biotin/streptavidin amplification step was included in the in situ hybridization procedure.
Results
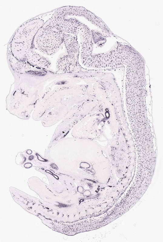
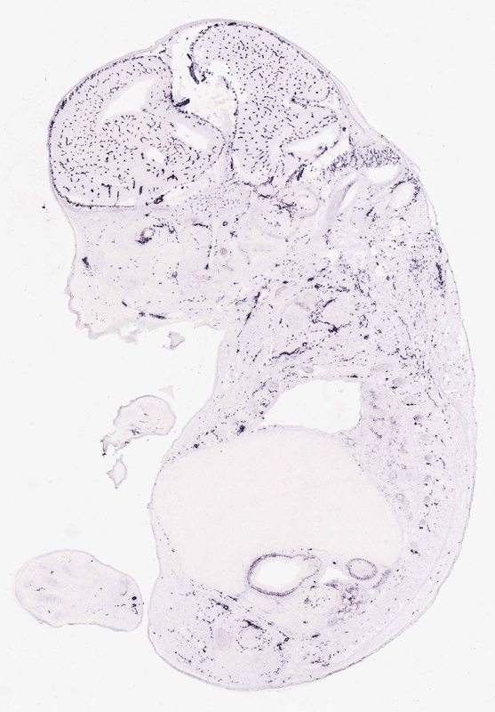
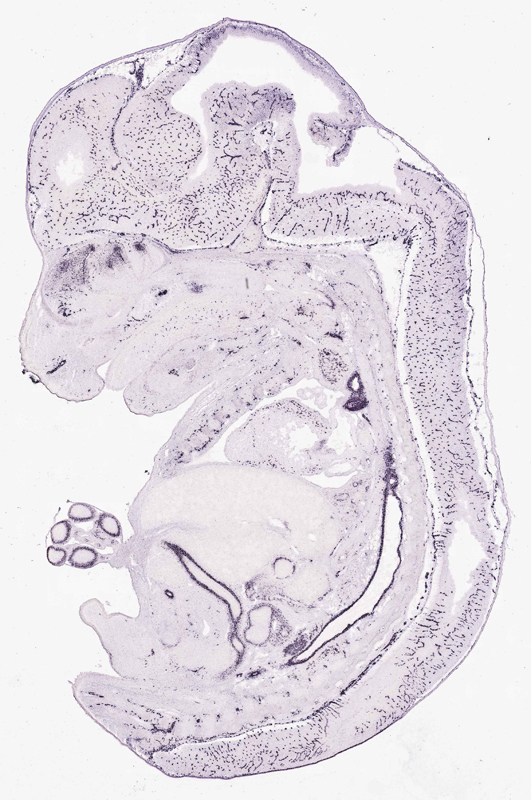
Specimen euxassay_005268_01: embryonic day 14.5 (more )
Structure Level Pattern Image Note
TS23: stomach Moderate Regionally restricted euxassay_005268_01
TS23: embryo mesenchyme Strong Regionally restricted euxassay_005268_01
TS23: brain Strong Regionally restricted euxassay_005268_01

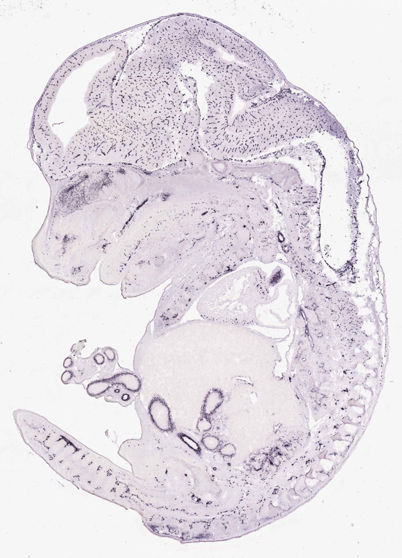
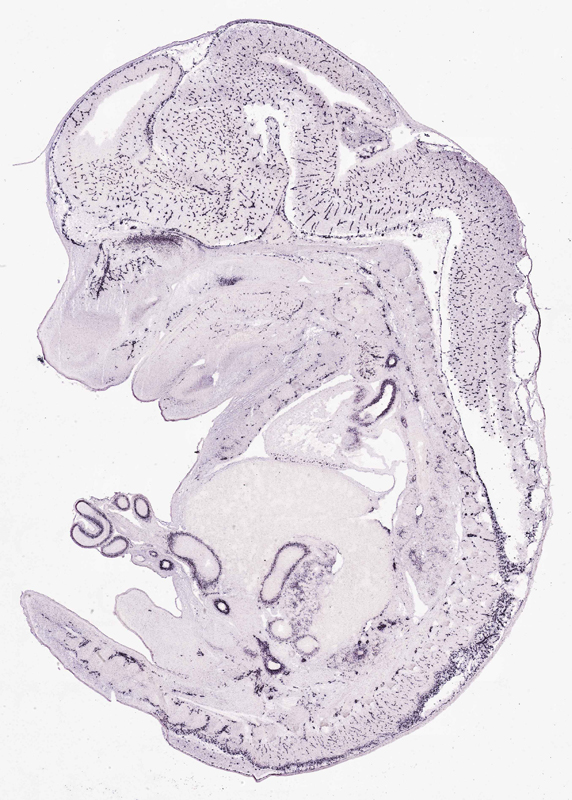
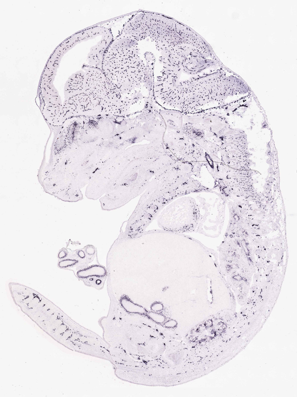
Specimen euxassay_005268_02: embryonic day 14.5 (more )
Structure Level Pattern Image Note
TS23: stomach Moderate Regionally restricted euxassay_005268_02
TS23: embryo mesenchyme Strong Regionally restricted euxassay_005268_02
TS23: brain Strong Regionally restricted euxassay_005268_02
TS23: lung Weak Regionally restricted euxassay_005268_02

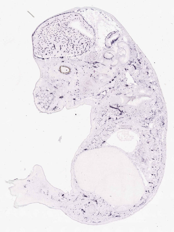
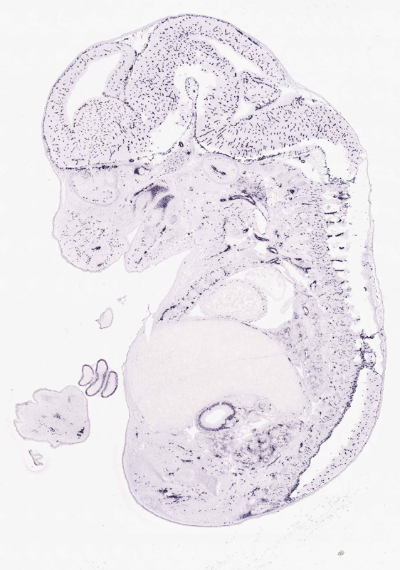
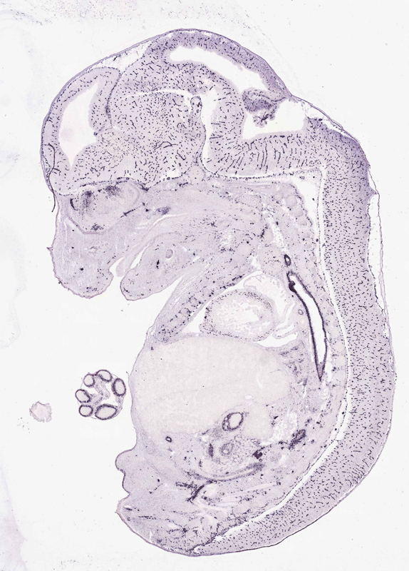
Specimen euxassay_005268_03: embryonic day 14.5 (more )
Structure Level Pattern Image Note
TS23: stomach Moderate Regionally restricted euxassay_005268_03
TS23: embryo mesenchyme Strong Regionally restricted euxassay_005268_03
TS23: brain Strong Regionally restricted euxassay_005268_03
TS23: lung Weak Regionally restricted euxassay_005268_03

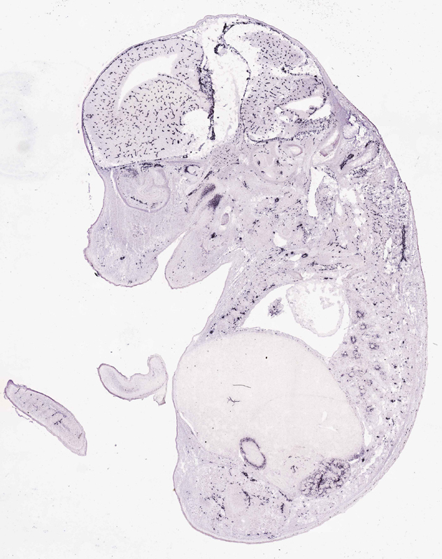
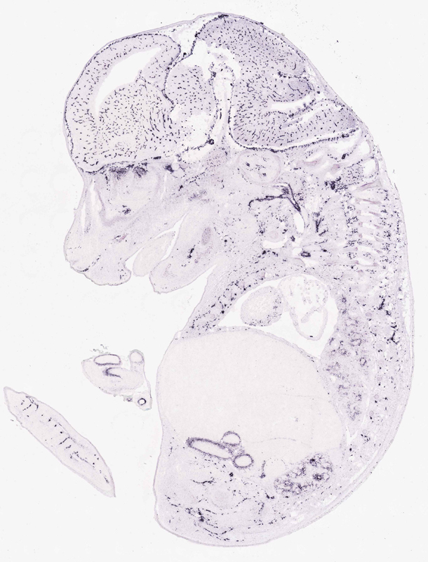
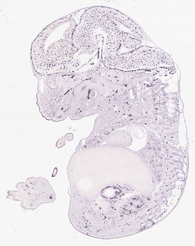
Specimen euxassay_005268_04: embryonic day 14.5 (more )
Structure Level Pattern Image Note
TS23: stomach Moderate Regionally restricted euxassay_005268_04
TS23: embryo mesenchyme Strong Regionally restricted euxassay_005268_04
TS23: brain Strong Regionally restricted euxassay_005268_04

Specimen euxassay_005268_05: embryonic day 14.5 (more )
Structure Level Pattern Image Note
TS23: stomach Moderate Regionally restricted euxassay_005268_05
TS23: metanephros Moderate Regionally restricted euxassay_005268_05
TS23: embryo mesenchyme Strong Regionally restricted euxassay_005268_05
TS23: brain Strong Regionally restricted euxassay_005268_05
TS23: lung Weak Regionally restricted euxassay_005268_05

Specimen euxassay_005268_06: embryonic day 14.5 (more )
Structure Level Pattern Image Note
TS23: stomach Moderate Regionally restricted euxassay_005268_06
TS23: metanephros Moderate Regionally restricted euxassay_005268_06
TS23: embryo mesenchyme Strong Regionally restricted euxassay_005268_06
TS23: brain Strong Regionally restricted euxassay_005268_06
TS23: lung Weak Regionally restricted euxassay_005268_06

Specimen euxassay_005268_07: embryonic day 14.5 (more )
Structure Level Pattern Image Note
TS23: stomach Moderate Regionally restricted euxassay_005268_07
TS23: midgut Moderate Regionally restricted euxassay_005268_07
TS23: metanephros Moderate Regionally restricted euxassay_005268_07
TS23: embryo mesenchyme Strong Regionally restricted euxassay_005268_07
TS23: brain Strong Regionally restricted euxassay_005268_07
TS23: pericardium Weak Regionally restricted euxassay_005268_07
TS23: upper jaw molar Moderate Regionally restricted euxassay_005268_07
TS23: lower jaw molar Moderate Regionally restricted euxassay_005268_07
TS23: lung Weak Regionally restricted euxassay_005268_07

Specimen euxassay_005268_08: embryonic day 14.5 (more )
Structure Level Pattern Image Note
TS23: stomach Moderate Regionally restricted euxassay_005268_08
TS23: midgut Moderate Regionally restricted euxassay_005268_08
TS23: embryo mesenchyme Strong Regionally restricted euxassay_005268_08
TS23: brain Strong Regionally restricted euxassay_005268_08
TS23: olfactory epithelium Moderate Regionally restricted euxassay_005268_08
TS23: pericardium Moderate Regionally restricted euxassay_005268_08
TS23: lung Weak Regionally restricted euxassay_005268_08

Specimen euxassay_005268_09: embryonic day 14.5 (more )
Structure Level Pattern Image Note
TS23: aorta Strong Regionally restricted euxassay_005268_09
TS23: midgut Moderate Regionally restricted euxassay_005268_09
TS23: embryo mesenchyme Strong Regionally restricted euxassay_005268_09
TS23: brain Strong Regionally restricted euxassay_005268_09
TS23: thymus primordium Moderate Regionally restricted euxassay_005268_09
TS23: olfactory epithelium Moderate Regionally restricted euxassay_005268_09
TS23: nephric duct of male Weak Regionally restricted euxassay_005268_09
TS23: pericardium Moderate Regionally restricted euxassay_005268_09
TS23: palatal shelf Moderate Regionally restricted euxassay_005268_09
TS23: lung Weak Regionally restricted euxassay_005268_09

Specimen euxassay_005268_10: embryonic day 14.5 (more )
Structure Level Pattern Image Note
TS23: aorta Strong Regionally restricted euxassay_005268_10
TS23: midgut Moderate Regionally restricted euxassay_005268_10
TS23: embryo mesenchyme Strong Regionally restricted euxassay_005268_10
TS23: brain Strong Regionally restricted euxassay_005268_10
TS23: thymus primordium Moderate Regionally restricted euxassay_005268_10
TS23: olfactory epithelium Moderate Regionally restricted euxassay_005268_10
TS23: pericardium Moderate Regionally restricted euxassay_005268_10
TS23: palatal shelf Moderate Regionally restricted euxassay_005268_10

Specimen euxassay_005268_11: embryonic day 14.5 (more )
Structure Level Pattern Image Note
TS23: aorta Strong Regionally restricted euxassay_005268_11
TS23: midgut Moderate Regionally restricted euxassay_005268_11
TS23: hindgut Moderate Regionally restricted euxassay_005268_11
TS23: brain Strong Regionally restricted euxassay_005268_11
TS23: olfactory epithelium Moderate Regionally restricted euxassay_005268_11
TS23: pericardium Moderate Regionally restricted euxassay_005268_11
TS23: palatal shelf Moderate Regionally restricted euxassay_005268_11
TS23: lung Weak Regionally restricted euxassay_005268_11

Specimen euxassay_005268_12: embryonic day 14.5 (more )
Structure Level Pattern Image Note
TS23: aorta Strong Regionally restricted euxassay_005268_12
TS23: hindgut Moderate Regionally restricted euxassay_005268_12
TS23: midgut Moderate Regionally restricted euxassay_005268_12
TS23: brain Strong Regionally restricted euxassay_005268_12
TS23: thymus primordium Weak Regionally restricted euxassay_005268_12
TS23: olfactory epithelium Moderate Regionally restricted euxassay_005268_12
TS23: nephric duct of male Weak Regionally restricted euxassay_005268_12
TS23: pericardium Moderate Regionally restricted euxassay_005268_12
TS23: palatal shelf Moderate Regionally restricted euxassay_005268_12
TS23: lung Moderate Regionally restricted euxassay_005268_12

Specimen euxassay_005268_13: embryonic day 14.5 (more )
Structure Level Pattern Image Note
TS23: aorta Strong Regionally restricted euxassay_005268_13
TS23: midgut Moderate Regionally restricted euxassay_005268_13
TS23: hindgut Moderate Regionally restricted euxassay_005268_13
TS23: metanephros Moderate Regionally restricted euxassay_005268_13
TS23: brain Strong Regionally restricted euxassay_005268_13
TS23: thymus primordium Moderate Regionally restricted euxassay_005268_13
TS23: olfactory epithelium Moderate Regionally restricted euxassay_005268_13
TS23: pericardium Moderate Regionally restricted euxassay_005268_13
TS23: palatal shelf Moderate Regionally restricted euxassay_005268_13
TS23: lung Moderate Regionally restricted euxassay_005268_13

Specimen euxassay_005268_14: embryonic day 14.5 (more )
Structure Level Pattern Image Note
TS23: aorta Strong Regionally restricted euxassay_005268_14
TS23: midgut Moderate Regionally restricted euxassay_005268_14
TS23: metanephros Moderate Regionally restricted euxassay_005268_14
TS23: embryo mesenchyme Strong Regionally restricted euxassay_005268_14
TS23: brain Strong Regionally restricted euxassay_005268_14
TS23: thymus primordium Moderate Regionally restricted euxassay_005268_14
TS23: olfactory epithelium Moderate Regionally restricted euxassay_005268_14
TS23: pericardium Moderate Regionally restricted euxassay_005268_14
TS23: palatal shelf Moderate Regionally restricted euxassay_005268_14
TS23: lung Moderate Regionally restricted euxassay_005268_14

Specimen euxassay_005268_15: embryonic day 14.5 (more )
Structure Level Pattern Image Note
TS23: midgut Moderate Regionally restricted euxassay_005268_15
TS23: metanephros Moderate Regionally restricted euxassay_005268_15
TS23: embryo mesenchyme Strong Regionally restricted euxassay_005268_15
TS23: brain Strong Regionally restricted euxassay_005268_15
TS23: olfactory epithelium Strong Regionally restricted euxassay_005268_15
TS23: pericardium Moderate Regionally restricted euxassay_005268_15
TS23: palatal shelf Moderate Regionally restricted euxassay_005268_15
TS23: lung Moderate Regionally restricted euxassay_005268_15

Specimen euxassay_005268_16: embryonic day 14.5 (more )
Structure Level Pattern Image Note
TS23: midgut Moderate Regionally restricted euxassay_005268_16
TS23: metanephros Moderate Regionally restricted euxassay_005268_16
TS23: embryo mesenchyme Strong Regionally restricted euxassay_005268_16
TS23: brain Strong Regionally restricted euxassay_005268_16
TS23: olfactory epithelium Strong Regionally restricted euxassay_005268_16
TS23: pericardium Moderate Regionally restricted euxassay_005268_16
TS23: lung Moderate Regionally restricted euxassay_005268_16

Specimen euxassay_005268_17: embryonic day 14.5 (more )
Structure Level Pattern Image Note
TS23: midgut Moderate Regionally restricted euxassay_005268_17
TS23: metanephros Moderate Regionally restricted euxassay_005268_17
TS23: embryo mesenchyme Strong Regionally restricted euxassay_005268_17
TS23: brain Strong Regionally restricted euxassay_005268_17
TS23: upper jaw molar Moderate Regionally restricted euxassay_005268_17
TS23: lower jaw molar Moderate Regionally restricted euxassay_005268_17
TS23: lung Moderate Regionally restricted euxassay_005268_17

Specimen euxassay_005268_18: embryonic day 14.5 (more )
Structure Level Pattern Image Note
TS23: embryo mesenchyme Strong Regionally restricted euxassay_005268_18
TS23: brain Strong Regionally restricted euxassay_005268_18
TS23: lung Moderate Regionally restricted euxassay_005268_18

Specimen euxassay_005268_19: embryonic day 14.5 (more )
Structure Level Pattern Image Note
TS23: embryo mesenchyme Strong Regionally restricted euxassay_005268_19
TS23: brain Strong Regionally restricted euxassay_005268_19
TS23: lung Moderate Regionally restricted euxassay_005268_19

Specimen euxassay_005268_20: embryonic day 14.5 (more )
Structure Level Pattern Image Note
TS23: embryo mesenchyme Strong Regionally restricted euxassay_005268_20
TS23: brain Strong Regionally restricted euxassay_005268_20
TS23: lung Weak Regionally restricted euxassay_005268_20

Specimen euxassay_005268_21: embryonic day 14.5 (more )
Structure Level Pattern Image Note
TS23: embryo mesenchyme Strong Regionally restricted euxassay_005268_21
TS23: brain Strong Regionally restricted euxassay_005268_21
TS23: lung Weak Regionally restricted euxassay_005268_21

Specimen euxassay_005268_22: embryonic day 14.5 (more )
Structure Level Pattern Image Note
TS23: embryo mesenchyme Strong Regionally restricted euxassay_005268_22
TS23: brain Strong Regionally restricted euxassay_005268_22

Specimen euxassay_005268_23: embryonic day 14.5 (more )
Structure Level Pattern Image Note
TS23: embryo mesenchyme Strong Regionally restricted euxassay_005268_23
TS23: brain Strong Regionally restricted euxassay_005268_23


Contributing Projects:
Mouse Genome Database (MGD), Gene Expression Database (GXD), Mouse Models of Human Cancer database (MMHCdb) (formerly Mouse Tumor Biology (MTB)), Gene Ontology (GO)
Citing These Resources
Funding Information
Warranty Disclaimer, Privacy Notice, Licensing, & Copyright
Send questions and comments to User Support.
last database update
03/24/2026
MGI 6.24
The Jackson Laboratory