About   Help   FAQ
Gene Expression Data
Assay Details
Assay
Reference: J:153498 Diez-Roux G, et al., A high-resolution anatomical atlas of the transcriptome in the mouse embryo. PLoS Biol. 2011;9(1):e1000582
Assay type: RNA in situ
MGI Accession ID: MGI:4827699
Gene symbol: Rerg
Gene name: RAS-like, estrogen-regulated, growth-inhibitor
Probe: MGC clone 31467
Probe preparation: Antisense labelled with digoxigenin RNA
Visualized with: Alkaline phosphatase
Assay notes: Cryosections of fresh frozen material were fixed in 4% paraformaldehyde for 20 min. before further processing. A tyramide-biotin/streptavidin amplification step was included in the in situ hybridization procedure.
Results
Specimen euxassay_004037_01: embryonic day 14.5 (more )
Structure Level Pattern Image Note
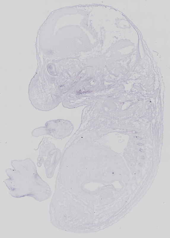
TS23: limb Moderate Regionally restricted euxassay_004037_01

Specimen euxassay_004037_02: embryonic day 14.5 (more )
Structure Level Pattern Image Note
TS23: limb Moderate Regionally restricted euxassay_004037_02

Specimen euxassay_004037_03: embryonic day 14.5 (more )
Structure Level Pattern Image Note
TS23: limb Moderate Regionally restricted euxassay_004037_03

Specimen euxassay_004037_04: embryonic day 14.5 (more )
Structure Level Pattern Image Note
TS23: Meckel's cartilage Moderate Regionally restricted euxassay_004037_04
TS23: limb Moderate Regionally restricted euxassay_004037_04

Specimen euxassay_004037_05: embryonic day 14.5 (more )
Structure Level Pattern Image Note
TS23: Meckel's cartilage Moderate Regionally restricted euxassay_004037_05
TS23: limb Moderate Regionally restricted euxassay_004037_05

Specimen euxassay_004037_06: embryonic day 14.5 (more )
Structure Level Pattern Image Note
TS23: Meckel's cartilage Moderate Regionally restricted euxassay_004037_06
TS23: limb Moderate Regionally restricted euxassay_004037_06

Specimen euxassay_004037_07: embryonic day 14.5 (more )
Structure Level Pattern Image Note
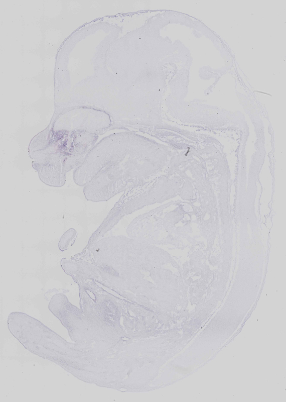
TS23: olfactory epithelium Moderate Regionally restricted euxassay_004037_07
TS23: Meckel's cartilage Moderate Regionally restricted euxassay_004037_07
TS23: limb Moderate Regionally restricted euxassay_004037_07

Specimen euxassay_004037_08: embryonic day 14.5 (more )
Structure Level Pattern Image Note
TS23: olfactory epithelium Moderate Regionally restricted euxassay_004037_08
TS23: Meckel's cartilage Moderate Regionally restricted euxassay_004037_08
TS23: limb Moderate Regionally restricted euxassay_004037_08

Specimen euxassay_004037_09: embryonic day 14.5 (more )
Structure Level Pattern Image Note
TS23: olfactory epithelium Moderate Regionally restricted euxassay_004037_09
TS23: Meckel's cartilage Moderate Regionally restricted euxassay_004037_09

Specimen euxassay_004037_10: embryonic day 14.5 (more )
Structure Level Pattern Image Note
TS23: olfactory epithelium Moderate Regionally restricted euxassay_004037_10
TS23: Meckel's cartilage Moderate Regionally restricted euxassay_004037_10

Specimen euxassay_004037_11: embryonic day 14.5 (more )
Structure Level Pattern Image Note
TS23: olfactory epithelium Moderate Regionally restricted euxassay_004037_11
TS23: bladder Weak Regionally restricted euxassay_004037_11

Specimen euxassay_004037_12: embryonic day 14.5 (more )
Structure Level Pattern Image Note
TS23: olfactory epithelium Moderate Regionally restricted euxassay_004037_12
TS23: bladder Weak Regionally restricted euxassay_004037_12

Specimen euxassay_004037_13: embryonic day 14.5 (more )
Structure Level Pattern Image Note
TS23: olfactory epithelium Moderate Regionally restricted euxassay_004037_13
TS23: bladder Weak Regionally restricted euxassay_004037_13

Specimen euxassay_004037_14: embryonic day 14.5 (more )
Structure Level Pattern Image Note
TS23: olfactory epithelium Moderate Regionally restricted euxassay_004037_14

Specimen euxassay_004037_15: embryonic day 14.5 (more )
Structure Level Pattern Image Note
TS23: olfactory epithelium Moderate Regionally restricted euxassay_004037_15
TS23: Meckel's cartilage Moderate Regionally restricted euxassay_004037_15

Specimen euxassay_004037_16: embryonic day 14.5 (more )
Structure Level Pattern Image Note
TS23: olfactory epithelium Moderate Regionally restricted euxassay_004037_16
TS23: Meckel's cartilage Moderate Regionally restricted euxassay_004037_16

Specimen euxassay_004037_17: embryonic day 14.5 (more )
Structure Level Pattern Image Note
TS23: olfactory epithelium Moderate Regionally restricted euxassay_004037_17
TS23: Meckel's cartilage Moderate Regionally restricted euxassay_004037_17
TS23: limb Moderate Regionally restricted euxassay_004037_17

Specimen euxassay_004037_18: embryonic day 14.5 (more )
Structure Level Pattern Image Note
TS23: olfactory epithelium Moderate Regionally restricted euxassay_004037_18
TS23: Meckel's cartilage Moderate Regionally restricted euxassay_004037_18
TS23: limb Moderate Regionally restricted euxassay_004037_18


Contributing Projects:
Mouse Genome Database (MGD), Gene Expression Database (GXD), Mouse Models of Human Cancer database (MMHCdb) (formerly Mouse Tumor Biology (MTB)), Gene Ontology (GO)
Citing These Resources
Funding Information
Warranty Disclaimer, Privacy Notice, Licensing, & Copyright
Send questions and comments to User Support.
last database update
01/20/2026
MGI 6.24
The Jackson Laboratory