About   Help   FAQ
Gene Expression Data
Assay Details
Assay
Reference: J:153498 Diez-Roux G, et al., A high-resolution anatomical atlas of the transcriptome in the mouse embryo. PLoS Biol. 2011;9(1):e1000582
Assay type: RNA in situ
MGI Accession ID: MGI:4827697
Gene symbol: Reps1
Gene name: RalBP1 associated Eps domain containing protein
Probe: IMAGE clone 3167266
Probe preparation: Antisense labelled with digoxigenin RNA
Visualized with: Alkaline phosphatase
Assay notes: Cryosections of fresh frozen material were fixed in 4% paraformaldehyde for 20 min. before further processing. A tyramide-biotin/streptavidin amplification step was included in the in situ hybridization procedure.
Results
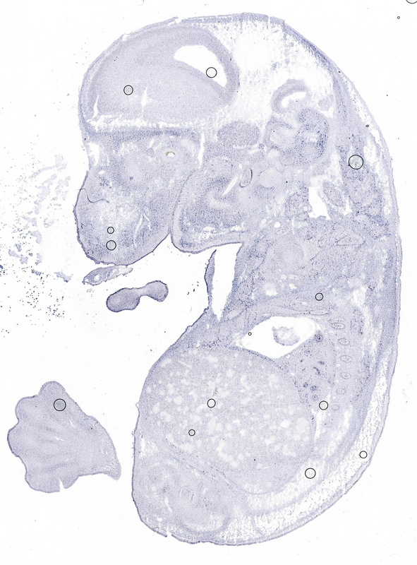
Specimen euxassay_000289_01: embryonic day 14.5 (more )
Structure Level Pattern Image Note
TS23: otic capsule Weak Regionally restricted euxassay_000289_01
TS23: cranium Weak Regionally restricted euxassay_000289_01

Specimen euxassay_000289_02: embryonic day 14.5 (more )
Structure Level Pattern Image Note
TS23: otic capsule Weak Regionally restricted euxassay_000289_02
TS23: cranium Weak Regionally restricted euxassay_000289_02

Specimen euxassay_000289_03: embryonic day 14.5 (more )
Structure Level Pattern Image Note
TS23: otic capsule Weak Regionally restricted euxassay_000289_03
TS23: cranium Weak Regionally restricted euxassay_000289_03

Specimen euxassay_000289_04: embryonic day 14.5 (more )
Structure Level Pattern Image Note
TS23: cranium Weak Regionally restricted euxassay_000289_04

Specimen euxassay_000289_05: embryonic day 14.5 (more )
Structure Level Pattern Image Note
TS23: cranium Weak Regionally restricted euxassay_000289_05
TS23: lung Moderate Spotted euxassay_000289_05

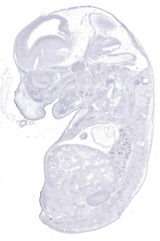
Specimen euxassay_000289_06: embryonic day 14.5 (more )
Structure Level Pattern Image Note
TS23: cranium Weak Regionally restricted euxassay_000289_06
TS23: lung Moderate Spotted euxassay_000289_06

Specimen euxassay_000289_07: embryonic day 14.5 (more )
Structure Level Pattern Image Note
TS23: lung Moderate Spotted euxassay_000289_07

Specimen euxassay_000289_08: embryonic day 14.5 (more )
Structure Level Pattern Image Note
TS23: tail dorsal root ganglion Weak Regionally restricted euxassay_000289_08
TS23: medulla oblongata basal plate mantle layer Weak Regionally restricted euxassay_000289_08
TS23: lung Moderate Spotted euxassay_000289_08

Specimen euxassay_000289_09: embryonic day 14.5 (more )
Structure Level Pattern Image Note
TS23: tail dorsal root ganglion Weak Regionally restricted euxassay_000289_09
TS23: medulla oblongata basal plate mantle layer Weak Regionally restricted euxassay_000289_09
TS23: lung Moderate Spotted euxassay_000289_09

Specimen euxassay_000289_10: embryonic day 14.5 (more )
Structure Level Pattern Image Note
TS23: tail dorsal root ganglion Weak Regionally restricted euxassay_000289_10
TS23: ventral grey horn Weak Regionally restricted euxassay_000289_10
TS23: lung Moderate Spotted euxassay_000289_10

Specimen euxassay_000289_11: embryonic day 14.5 (more )
Structure Level Pattern Image Note
TS23: tail dorsal root ganglion Weak Regionally restricted euxassay_000289_11
TS23: ventral grey horn Weak Regionally restricted euxassay_000289_11
TS23: thymus primordium Weak Regionally restricted euxassay_000289_11
TS23: lung Moderate Spotted euxassay_000289_11

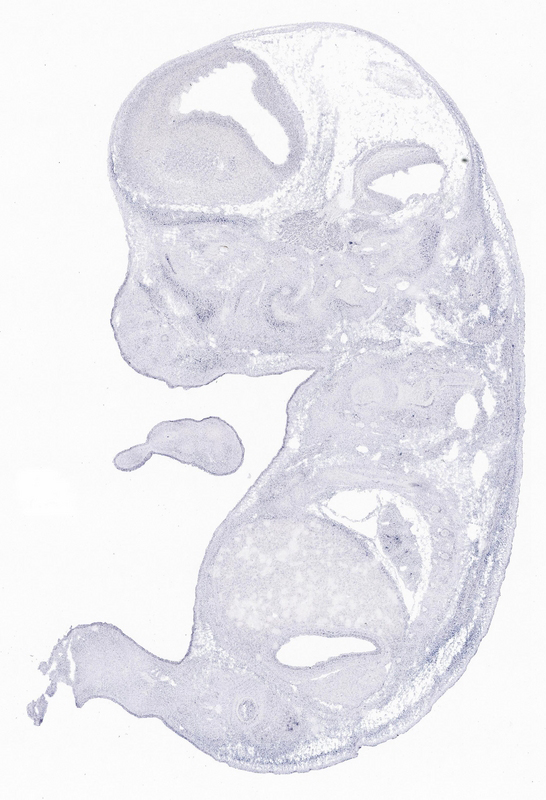
Specimen euxassay_000289_12: embryonic day 14.5 (more )
Structure Level Pattern Image Note
TS23: ventral grey horn Weak Regionally restricted euxassay_000289_12
TS23: thymus primordium Weak Regionally restricted euxassay_000289_12

Specimen euxassay_000289_13: embryonic day 14.5 (more )
Structure Level Pattern Image Note
TS23: ventral grey horn Weak Regionally restricted euxassay_000289_13

Specimen euxassay_000289_14: embryonic day 14.5 (more )
Structure Level Pattern Image Note
TS23: thymus primordium Weak Regionally restricted euxassay_000289_14

Specimen euxassay_000289_15: embryonic day 14.5 (more )
Structure Level Pattern Image Note
TS23: medulla oblongata basal plate mantle layer Weak Regionally restricted euxassay_000289_15
TS23: ventral grey horn Weak Regionally restricted euxassay_000289_15
TS23: thymus primordium Weak Regionally restricted euxassay_000289_15
TS23: lung Moderate Spotted euxassay_000289_15

Specimen euxassay_000289_16: embryonic day 14.5 (more )
Structure Level Pattern Image Note
TS23: tail dorsal root ganglion Weak Regionally restricted euxassay_000289_16
TS23: medulla oblongata basal plate mantle layer Weak Regionally restricted euxassay_000289_16
TS23: lung Moderate Spotted euxassay_000289_16

Specimen euxassay_000289_17: embryonic day 14.5 (more )
Structure Level Pattern Image Note
TS23: tail dorsal root ganglion Weak Regionally restricted euxassay_000289_17
TS23: lung Moderate Spotted euxassay_000289_17

Specimen euxassay_000289_18: embryonic day 14.5 (more )
Structure Level Pattern Image Note
TS23: tail dorsal root ganglion Weak Regionally restricted euxassay_000289_18
TS23: lung Moderate Spotted euxassay_000289_18

Specimen euxassay_000289_19: embryonic day 14.5 (more )
Structure Level Pattern Image Note
TS23: cranium Weak Regionally restricted euxassay_000289_19
TS23: lung Moderate Spotted euxassay_000289_19

Specimen euxassay_000289_20: embryonic day 14.5 (more )
Structure Level Pattern Image Note
TS23: cranium Weak Regionally restricted euxassay_000289_20
TS23: lung Moderate Spotted euxassay_000289_20

Specimen euxassay_000289_21: embryonic day 14.5 (more )
Structure Level Pattern Image Note
TS23: otic capsule Weak Regionally restricted euxassay_000289_21
TS23: cranium Weak Regionally restricted euxassay_000289_21
TS23: lung Moderate Spotted euxassay_000289_21

Specimen euxassay_000289_22: embryonic day 14.5 (more )
Structure Level Pattern Image Note
TS23: otic capsule Weak Regionally restricted euxassay_000289_22
TS23: cranium Weak Regionally restricted euxassay_000289_22
TS23: lung Moderate Spotted euxassay_000289_22

Specimen euxassay_000289_23: embryonic day 14.5 (more )
Structure Level Pattern Image Note
TS23: otic capsule Weak Regionally restricted euxassay_000289_23
TS23: cranium Weak Regionally restricted euxassay_000289_23

Specimen euxassay_000289_24: embryonic day 14.5 (more )
Structure Level Pattern Image Note
TS23: otic capsule Weak Regionally restricted euxassay_000289_24
TS23: cranium Weak Regionally restricted euxassay_000289_24


Contributing Projects:
Mouse Genome Database (MGD), Gene Expression Database (GXD), Mouse Models of Human Cancer database (MMHCdb) (formerly Mouse Tumor Biology (MTB)), Gene Ontology (GO)
Citing These Resources
Funding Information
Warranty Disclaimer, Privacy Notice, Licensing, & Copyright
Send questions and comments to User Support.
last database update
03/24/2026
MGI 6.24
The Jackson Laboratory