About   Help   FAQ
Gene Expression Data
Assay Details
Assay
Reference: J:153498 Diez-Roux G, et al., A high-resolution anatomical atlas of the transcriptome in the mouse embryo. PLoS Biol. 2011;9(1):e1000582
Assay type: RNA in situ
MGI Accession ID: MGI:4827695
Gene symbol: Ren1
Gene name: renin 1 structural
Probe: IMAGE clone 2372778
Probe preparation: Antisense labelled with digoxigenin RNA
Visualized with: Alkaline phosphatase
Assay notes: Cryosections of fresh frozen material were fixed in 4% paraformaldehyde for 20 min. before further processing. A tyramide-biotin/streptavidin amplification step was included in the in situ hybridization procedure.
Results
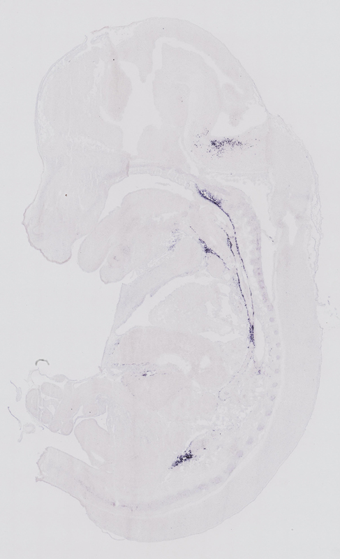
Specimen euxassay_007869_01: embryonic day 14.5 (more )
Structure Level Pattern Image Note
TS23: anterior abdominal wall musculature Moderate Regionally restricted euxassay_007869_01
TS23: axial musculature Moderate Regionally restricted euxassay_007869_01

Specimen euxassay_007869_02: embryonic day 14.5 (more )
Structure Level Pattern Image Note
TS23: anterior abdominal wall musculature Moderate Regionally restricted euxassay_007869_02
TS23: axial musculature Moderate Regionally restricted euxassay_007869_02

Specimen euxassay_007869_03: embryonic day 14.5 (more )
Structure Level Pattern Image Note
TS23: anterior abdominal wall musculature Moderate Regionally restricted euxassay_007869_03
TS23: axial musculature Moderate Regionally restricted euxassay_007869_03

Specimen euxassay_007869_04: embryonic day 14.5 (more )
Structure Level Pattern Image Note
TS23: anterior abdominal wall musculature Moderate Regionally restricted euxassay_007869_04
TS23: axial musculature Moderate Regionally restricted euxassay_007869_04

Specimen euxassay_007869_05: embryonic day 14.5 (more )
Structure Level Pattern Image Note
TS23: testis Strong Regionally restricted euxassay_007869_05
TS23: anterior abdominal wall musculature Moderate Regionally restricted euxassay_007869_05
TS23: axial musculature Moderate Regionally restricted euxassay_007869_05

Specimen euxassay_007869_06: embryonic day 14.5 (more )
Structure Level Pattern Image Note
TS23: testis Strong Regionally restricted euxassay_007869_06
TS23: anterior abdominal wall musculature Moderate Regionally restricted euxassay_007869_06

Specimen euxassay_007869_07: embryonic day 14.5 (more )
Structure Level Pattern Image Note
TS23: adrenal gland Strong Regionally restricted euxassay_007869_07
TS23: esophagus Moderate Regionally restricted euxassay_007869_07
TS23: pons mantle layer Strong Regionally restricted euxassay_007869_07
TS23: anterior abdominal wall musculature Moderate Regionally restricted euxassay_007869_07

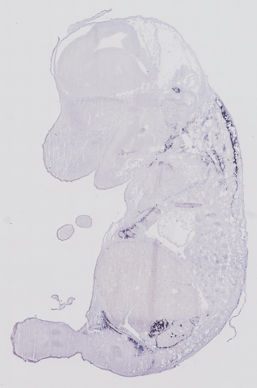
Specimen euxassay_007869_08: embryonic day 14.5 (more )
Structure Level Pattern Image Note
TS23: esophagus Moderate Regionally restricted euxassay_007869_08

Specimen euxassay_007869_09: embryonic day 14.5 (more )
Structure Level Pattern Image Note
TS23: esophagus Moderate Regionally restricted euxassay_007869_09
TS23: medulla oblongata basal plate mantle layer Strong Regionally restricted euxassay_007869_09

Specimen euxassay_007869_10: embryonic day 14.5 (more )
Structure Level Pattern Image Note
TS23: esophagus Moderate Regionally restricted euxassay_007869_10
TS23: pons mantle layer Strong Regionally restricted euxassay_007869_10

Specimen euxassay_007869_11: embryonic day 14.5 (more )
Structure Level Pattern Image Note
TS23: pons mantle layer Strong Regionally restricted euxassay_007869_11
TS23: clavicle Weak Regionally restricted euxassay_007869_11

Specimen euxassay_007869_12: embryonic day 14.5 (more )
Structure Level Pattern Image Note
TS23: renal cortex Moderate Regionally restricted euxassay_007869_12
TS23: medulla oblongata basal plate mantle layer Moderate Regionally restricted euxassay_007869_12
TS23: clavicle Weak Regionally restricted euxassay_007869_12

Specimen euxassay_007869_13: embryonic day 14.5 (more )
Structure Level Pattern Image Note
TS23: adrenal gland Strong Regionally restricted euxassay_007869_13
TS23: renal cortex Moderate Regionally restricted euxassay_007869_13
TS23: medulla oblongata basal plate mantle layer Moderate Regionally restricted euxassay_007869_13
TS23: rib Weak Regionally restricted euxassay_007869_13
TS23: anterior abdominal wall musculature Moderate Regionally restricted euxassay_007869_13
TS23: axial musculature Moderate Regionally restricted euxassay_007869_13

Specimen euxassay_007869_14: embryonic day 14.5 (more )
Structure Level Pattern Image Note
TS23: adrenal gland Strong Regionally restricted euxassay_007869_14
TS23: renal cortex Moderate Regionally restricted euxassay_007869_14
TS23: rib Weak Regionally restricted euxassay_007869_14
TS23: axial musculature Moderate Regionally restricted euxassay_007869_14
TS23: anterior abdominal wall musculature Moderate Regionally restricted euxassay_007869_14

Specimen euxassay_007869_15: embryonic day 14.5 (more )
Structure Level Pattern Image Note
TS23: testis Strong Regionally restricted euxassay_007869_15
TS23: adrenal gland Strong Regionally restricted euxassay_007869_15
TS23: renal cortex Moderate Regionally restricted euxassay_007869_15
TS23: rib Weak Regionally restricted euxassay_007869_15
TS23: anterior abdominal wall musculature Moderate Regionally restricted euxassay_007869_15
TS23: axial musculature Moderate Regionally restricted euxassay_007869_15

Specimen euxassay_007869_16: embryonic day 14.5 (more )
Structure Level Pattern Image Note
TS23: testis Strong Regionally restricted euxassay_007869_16
TS23: renal cortex Moderate Regionally restricted euxassay_007869_16
TS23: rib Weak Regionally restricted euxassay_007869_16
TS23: anterior abdominal wall musculature Moderate Regionally restricted euxassay_007869_16
TS23: axial musculature Moderate Regionally restricted euxassay_007869_16

Specimen euxassay_007869_17: embryonic day 14.5 (more )
Structure Level Pattern Image Note
TS23: testis Strong Regionally restricted euxassay_007869_17
TS23: renal cortex Moderate Regionally restricted euxassay_007869_17
TS23: rib Weak Regionally restricted euxassay_007869_17
TS23: anterior abdominal wall musculature Moderate Regionally restricted euxassay_007869_17
TS23: axial musculature Moderate Regionally restricted euxassay_007869_17

Specimen euxassay_007869_18: embryonic day 14.5 (more )
Structure Level Pattern Image Note
TS23: rib Weak Regionally restricted euxassay_007869_18
TS23: anterior abdominal wall musculature Moderate Regionally restricted euxassay_007869_18
TS23: axial musculature Moderate Regionally restricted euxassay_007869_18

Specimen euxassay_007869_19: embryonic day 14.5 (more )
Structure Level Pattern Image Note
TS23: rib Weak Regionally restricted euxassay_007869_19
TS23: anterior abdominal wall musculature Weak Regionally restricted euxassay_007869_19

Specimen euxassay_007869_20: embryonic day 14.5 (more )
Structure Level Pattern Image Note
TS23: rib Weak Regionally restricted euxassay_007869_20
TS23: anterior abdominal wall musculature Moderate Regionally restricted euxassay_007869_20

Specimen euxassay_007869_21: embryonic day 14.5 (more )
Structure Level Pattern Image Note
TS23: anterior abdominal wall musculature Moderate Regionally restricted euxassay_007869_21


Contributing Projects:
Mouse Genome Database (MGD), Gene Expression Database (GXD), Mouse Models of Human Cancer database (MMHCdb) (formerly Mouse Tumor Biology (MTB)), Gene Ontology (GO)
Citing These Resources
Funding Information
Warranty Disclaimer, Privacy Notice, Licensing, & Copyright
Send questions and comments to User Support.
last database update
12/30/2025
MGI 6.24
The Jackson Laboratory