About   Help   FAQ
Gene Expression Data
Assay Details
Assay
Reference: J:153498 Diez-Roux G, et al., A high-resolution anatomical atlas of the transcriptome in the mouse embryo. PLoS Biol. 2011;9(1):e1000582
Assay type: RNA in situ
MGI Accession ID: MGI:4827679
Gene symbol: Reep1
Gene name: receptor accessory protein 1
Probe: MGC clone 61280
Probe preparation: Antisense labelled with digoxigenin RNA
Visualized with: Alkaline phosphatase
Assay notes: Cryosections of fresh frozen material were fixed in 4% paraformaldehyde for 20 min. before further processing. A tyramide-biotin/streptavidin amplification step was included in the in situ hybridization procedure.
Results
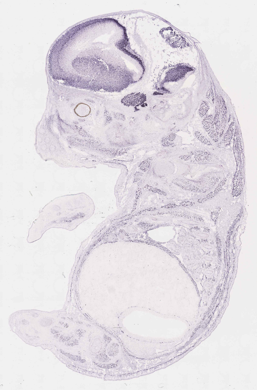
Specimen euxassay_005277_01: embryonic day 14.5 (more )
Structure Level Pattern Image Note
TS23: vertebral axis musculature Strong Regionally restricted euxassay_005277_01
TS23: diaphragm Strong Regionally restricted euxassay_005277_01
TS23: neural retina Strong Regionally restricted euxassay_005277_01
TS23: brain Strong Regionally restricted euxassay_005277_01

Specimen euxassay_005277_02: embryonic day 14.5 (more )
Structure Level Pattern Image Note
TS23: diaphragm Strong Regionally restricted euxassay_005277_02
TS23: vertebral axis musculature Strong Regionally restricted euxassay_005277_02
TS23: neural retina Strong Regionally restricted euxassay_005277_02
TS23: brain Strong Regionally restricted euxassay_005277_02

Specimen euxassay_005277_03: embryonic day 14.5 (more )
Structure Level Pattern Image Note
TS23: diaphragm Strong Regionally restricted euxassay_005277_03
TS23: vertebral axis musculature Strong Regionally restricted euxassay_005277_03
TS23: neural retina Strong Regionally restricted euxassay_005277_03
TS23: brain Strong Regionally restricted euxassay_005277_03

Specimen euxassay_005277_04: embryonic day 14.5 (more )
Structure Level Pattern Image Note
TS23: diaphragm Moderate Regionally restricted euxassay_005277_04
TS23: vertebral axis musculature Moderate Regionally restricted euxassay_005277_04
TS23: brain Strong Regionally restricted euxassay_005277_04
TS23: trigeminal ganglion Strong Regionally restricted euxassay_005277_04

Specimen euxassay_005277_05: embryonic day 14.5 (more )
Structure Level Pattern Image Note
TS23: diaphragm Strong Regionally restricted euxassay_005277_05
TS23: vertebral axis musculature Strong Regionally restricted euxassay_005277_05
TS23: brain Strong Regionally restricted euxassay_005277_05
TS23: trigeminal ganglion Strong Regionally restricted euxassay_005277_05
TS23: facial ganglion Strong Regionally restricted euxassay_005277_05

Specimen euxassay_005277_06: embryonic day 14.5 (more )
Structure Level Pattern Image Note
TS23: diaphragm Strong Regionally restricted euxassay_005277_06
TS23: vertebral axis musculature Strong Regionally restricted euxassay_005277_06
TS23: brain Strong Regionally restricted euxassay_005277_06
TS23: facial ganglion Strong Regionally restricted euxassay_005277_06
TS23: trigeminal ganglion Strong Regionally restricted euxassay_005277_06
TS23: vestibulo-cochlear ganglion Strong Regionally restricted euxassay_005277_06
TS23: glossopharyngeal ganglion Strong Regionally restricted euxassay_005277_06

Specimen euxassay_005277_07: embryonic day 14.5 (more )
Structure Level Pattern Image Note
TS23: diaphragm Moderate Regionally restricted euxassay_005277_07
TS23: vertebral axis musculature Moderate Regionally restricted euxassay_005277_07
TS23: brain Strong Regionally restricted euxassay_005277_07
TS23: dorsal root ganglion Strong Regionally restricted euxassay_005277_07
TS23: facial ganglion Strong Regionally restricted euxassay_005277_07
TS23: glossopharyngeal ganglion Strong Regionally restricted euxassay_005277_07
TS23: trigeminal ganglion Strong Regionally restricted euxassay_005277_07
TS23: vagus ganglion Strong Regionally restricted euxassay_005277_07
TS23: vestibulo-cochlear ganglion Strong Regionally restricted euxassay_005277_07

Specimen euxassay_005277_08: embryonic day 14.5 (more )
Structure Level Pattern Image Note
TS23: diaphragm Moderate Regionally restricted euxassay_005277_08
TS23: vertebral axis musculature Moderate Regionally restricted euxassay_005277_08
TS23: brain Strong Regionally restricted euxassay_005277_08
TS23: dorsal root ganglion Strong Regionally restricted euxassay_005277_08
TS23: trigeminal ganglion Strong Regionally restricted euxassay_005277_08
TS23: facial ganglion Strong Regionally restricted euxassay_005277_08
TS23: vagus ganglion Strong Regionally restricted euxassay_005277_08
TS23: vestibulo-cochlear ganglion Strong Regionally restricted euxassay_005277_08
TS23: cervical ganglion Strong Regionally restricted euxassay_005277_08

Specimen euxassay_005277_09: embryonic day 14.5 (more )
Structure Level Pattern Image Note
TS23: diaphragm Moderate Regionally restricted euxassay_005277_09
TS23: vertebral axis musculature Moderate Regionally restricted euxassay_005277_09
TS23: brain Strong Regionally restricted euxassay_005277_09
TS23: dorsal root ganglion Strong Regionally restricted euxassay_005277_09
TS23: trigeminal ganglion Strong Regionally restricted euxassay_005277_09
TS23: trigeminal nerve Strong Regionally restricted euxassay_005277_09
TS23: cervical ganglion Strong Regionally restricted euxassay_005277_09

Specimen euxassay_005277_10: embryonic day 14.5 (more )
Structure Level Pattern Image Note
TS23: diaphragm Moderate Regionally restricted euxassay_005277_10
TS23: vertebral axis musculature Moderate Regionally restricted euxassay_005277_10
TS23: brain Strong Regionally restricted euxassay_005277_10
TS23: spinal cord Strong Regionally restricted euxassay_005277_10
TS23: dorsal root ganglion Strong Regionally restricted euxassay_005277_10
TS23: cervico-thoracic ganglion Strong Regionally restricted euxassay_005277_10

Specimen euxassay_005277_11: embryonic day 14.5 (more )
Structure Level Pattern Image Note
TS23: diaphragm Moderate Regionally restricted euxassay_005277_11
TS23: vertebral axis musculature Moderate Regionally restricted euxassay_005277_11
TS23: brain Strong Regionally restricted euxassay_005277_11
TS23: spinal cord Strong Regionally restricted euxassay_005277_11
TS23: dorsal root ganglion Strong Regionally restricted euxassay_005277_11
TS23: cervico-thoracic ganglion Strong Regionally restricted euxassay_005277_11

Specimen euxassay_005277_12: embryonic day 14.5 (more )
Structure Level Pattern Image Note
TS23: diaphragm Moderate Regionally restricted euxassay_005277_12
TS23: vertebral axis musculature Moderate Regionally restricted euxassay_005277_12
TS23: brain Strong Regionally restricted euxassay_005277_12
TS23: spinal cord Strong Regionally restricted euxassay_005277_12
TS23: thoracic ganglion Strong Regionally restricted euxassay_005277_12
TS23: cervico-thoracic ganglion Strong Regionally restricted euxassay_005277_12
TS23: tongue muscle Moderate Regionally restricted euxassay_005277_12

Specimen euxassay_005277_13: embryonic day 14.5 (more )
Structure Level Pattern Image Note
TS23: diaphragm Moderate Regionally restricted euxassay_005277_13
TS23: vertebral axis musculature Moderate Regionally restricted euxassay_005277_13
TS23: brain Strong Regionally restricted euxassay_005277_13
TS23: spinal cord Strong Regionally restricted euxassay_005277_13
TS23: thoracic ganglion Strong Regionally restricted euxassay_005277_13
TS23: tongue muscle Moderate Regionally restricted euxassay_005277_13

Specimen euxassay_005277_14: embryonic day 14.5 (more )
Structure Level Pattern Image Note
TS23: diaphragm Moderate Regionally restricted euxassay_005277_14
TS23: vertebral axis musculature Moderate Regionally restricted euxassay_005277_14
TS23: brain Strong Regionally restricted euxassay_005277_14
TS23: spinal cord Strong Regionally restricted euxassay_005277_14
TS23: thoracic ganglion Strong Regionally restricted euxassay_005277_14
TS23: tongue muscle Moderate Regionally restricted euxassay_005277_14

Specimen euxassay_005277_15: embryonic day 14.5 (more )
Structure Level Pattern Image Note
TS23: diaphragm Moderate Regionally restricted euxassay_005277_15
TS23: vertebral axis musculature Moderate Regionally restricted euxassay_005277_15
TS23: brain Strong Regionally restricted euxassay_005277_15
TS23: spinal cord Strong Regionally restricted euxassay_005277_15
TS23: thoracic ganglion Strong Regionally restricted euxassay_005277_15
TS23: cervico-thoracic ganglion Strong Regionally restricted euxassay_005277_15
TS23: tongue muscle Moderate Regionally restricted euxassay_005277_15

Specimen euxassay_005277_16: embryonic day 14.5 (more )
Structure Level Pattern Image Note
TS23: diaphragm Moderate Regionally restricted euxassay_005277_16
TS23: vertebral axis musculature Moderate Regionally restricted euxassay_005277_16
TS23: brain Strong Regionally restricted euxassay_005277_16
TS23: spinal cord Strong Regionally restricted euxassay_005277_16
TS23: dorsal root ganglion Strong Regionally restricted euxassay_005277_16
TS23: trigeminal nerve Strong Regionally restricted euxassay_005277_16
TS23: cervico-thoracic ganglion Strong Regionally restricted euxassay_005277_16
TS23: thoracic ganglion Strong Regionally restricted euxassay_005277_16
TS23: tongue muscle Moderate Regionally restricted euxassay_005277_16

Specimen euxassay_005277_17: embryonic day 14.5 (more )
Structure Level Pattern Image Note
TS23: diaphragm Moderate Regionally restricted euxassay_005277_17
TS23: vertebral axis musculature Moderate Regionally restricted euxassay_005277_17
TS23: brain Strong Regionally restricted euxassay_005277_17
TS23: dorsal root ganglion Strong Regionally restricted euxassay_005277_17
TS23: trigeminal nerve Strong Regionally restricted euxassay_005277_17
TS23: trigeminal ganglion Strong Regionally restricted euxassay_005277_17
TS23: vestibulo-cochlear ganglion Strong Regionally restricted euxassay_005277_17
TS23: cervical ganglion Strong Regionally restricted euxassay_005277_17
TS23: cervico-thoracic ganglion Strong Regionally restricted euxassay_005277_17

Specimen euxassay_005277_18: embryonic day 14.5 (more )
Structure Level Pattern Image Note
TS23: diaphragm Moderate Regionally restricted euxassay_005277_18
TS23: vertebral axis musculature Moderate Regionally restricted euxassay_005277_18
TS23: brain Strong Regionally restricted euxassay_005277_18
TS23: dorsal root ganglion Strong Regionally restricted euxassay_005277_18
TS23: trigeminal ganglion Strong Regionally restricted euxassay_005277_18
TS23: facial ganglion Strong Regionally restricted euxassay_005277_18
TS23: vestibulo-cochlear ganglion Strong Regionally restricted euxassay_005277_18
TS23: vagus ganglion Strong Regionally restricted euxassay_005277_18
TS23: cervical ganglion Strong Regionally restricted euxassay_005277_18
TS23: cervico-thoracic ganglion Strong Regionally restricted euxassay_005277_18

Specimen euxassay_005277_19: embryonic day 14.5 (more )
Structure Level Pattern Image Note
TS23: diaphragm Moderate Regionally restricted euxassay_005277_19
TS23: vertebral axis musculature Moderate Regionally restricted euxassay_005277_19
TS23: brain Strong Regionally restricted euxassay_005277_19
TS23: dorsal root ganglion Strong Regionally restricted euxassay_005277_19
TS23: glossopharyngeal ganglion Strong Regionally restricted euxassay_005277_19
TS23: trigeminal ganglion Strong Regionally restricted euxassay_005277_19
TS23: facial ganglion Strong Regionally restricted euxassay_005277_19
TS23: vagus ganglion Strong Regionally restricted euxassay_005277_19
TS23: vestibulo-cochlear ganglion Strong Regionally restricted euxassay_005277_19

Specimen euxassay_005277_20: embryonic day 14.5 (more )
Structure Level Pattern Image Note
TS23: diaphragm Moderate Regionally restricted euxassay_005277_20
TS23: vertebral axis musculature Moderate Regionally restricted euxassay_005277_20
TS23: brain Strong Regionally restricted euxassay_005277_20
TS23: trigeminal ganglion Strong Regionally restricted euxassay_005277_20
TS23: vestibulo-cochlear ganglion Strong Regionally restricted euxassay_005277_20
TS23: glossopharyngeal ganglion Strong Regionally restricted euxassay_005277_20
TS23: facial ganglion Strong Regionally restricted euxassay_005277_20

Specimen euxassay_005277_21: embryonic day 14.5 (more )
Structure Level Pattern Image Note
TS23: diaphragm Strong Regionally restricted euxassay_005277_21
TS23: vertebral axis musculature Strong Regionally restricted euxassay_005277_21
TS23: brain Strong Regionally restricted euxassay_005277_21
TS23: trigeminal ganglion Strong Regionally restricted euxassay_005277_21
TS23: facial ganglion Strong Regionally restricted euxassay_005277_21

Specimen euxassay_005277_22: embryonic day 14.5 (more )
Structure Level Pattern Image Note
TS23: diaphragm Strong Regionally restricted euxassay_005277_22
TS23: vertebral axis musculature Strong Regionally restricted euxassay_005277_22
TS23: neural retina Strong Regionally restricted euxassay_005277_22
TS23: brain Strong Regionally restricted euxassay_005277_22
TS23: facial ganglion Strong Regionally restricted euxassay_005277_22
TS23: trigeminal ganglion Strong Regionally restricted euxassay_005277_22

Specimen euxassay_005277_23: embryonic day 14.5 (more )
Structure Level Pattern Image Note
TS23: diaphragm Moderate Regionally restricted euxassay_005277_23
TS23: vertebral axis musculature Moderate Regionally restricted euxassay_005277_23
TS23: neural retina Strong Regionally restricted euxassay_005277_23
TS23: brain Strong Regionally restricted euxassay_005277_23

Specimen euxassay_005277_24: embryonic day 14.5 (more )
Structure Level Pattern Image Note
TS23: diaphragm Moderate Regionally restricted euxassay_005277_24
TS23: vertebral axis musculature Moderate Regionally restricted euxassay_005277_24
TS23: neural retina Strong Regionally restricted euxassay_005277_24
TS23: brain Strong Regionally restricted euxassay_005277_24


Contributing Projects:
Mouse Genome Database (MGD), Gene Expression Database (GXD), Mouse Models of Human Cancer database (MMHCdb) (formerly Mouse Tumor Biology (MTB)), Gene Ontology (GO)
Citing These Resources
Funding Information
Warranty Disclaimer, Privacy Notice, Licensing, & Copyright
Send questions and comments to User Support.
last database update
12/30/2025
MGI 6.24
The Jackson Laboratory